ورم حبيبي للأجسام الغريبة
الورم الحبيبي للأجسام الغريبة عبارة عن استجابة النسيج الحيوي لأي مواد غريبة في النسيج.[1] ويُعد تمحفظ الأنسجة جزءًا من ذلك. والعدوى الكائنة حول الشَظِيَّة هي أيضًا جزء من ذلك.[2]
| ورم حبيبي للأجسام الغريبة | |
|---|---|
| معلومات عامة | |
| الاختصاص | طب الجلد |
| من أنواع | ورم حبيبي |

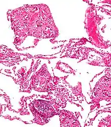
استجابة الأجسام الغريبة للتالك (السحار التلكي) نتيجة استخدام العقاقير عبر الوريد. صبغة الهيماتوكسيلين والأيوزين.
يؤدي وجود الطعم المغروس في الجسم إلى تغيير مدى استجابة الالتئام، وهذا ما يسمى بـتفاعل الجسم الغريب (FBR). يتضمن تفاعل الجسم الغريب : امتصاص البروتين والبلاعم والخلايا العملاقة للأجسام الغريبة متعددة النواة (انصهار البلعم) والأرومة الليفية و تولد الأوعية.
ويمكن أن يحدث بسبب البيريليوم.[3]
اقرأ أيضاً
المراجع
- Rapini, Ronald P.; Bolognia, Jean L.; Jorizzo, Joseph L. (2007). Dermatology: 2-Volume Set. St. Louis: Mosby. صفحة 1443. ISBN 1-4160-2999-0. الوسيط
|CitationClass=تم تجاهله (مساعدة)صيانة CS1: أسماء متعددة: قائمة المؤلفون (link) - Biomaterials Science Second edition, Ratner et al. Pp. 296-304
- Haley PJ (1991). "Mechanisms of granulomatous lung disease from inhaled beryllium: the role of antigenicity in granuloma formation". Toxicologic pathology. 19 (4 Pt 1): 514–25. doi:10.1177/019262339101900417. PMID 1813991. الوسيط
|CitationClass=تم تجاهله (مساعدة)
- بوابة طب
- بوابة علم الأحياء
ورم حبيبي للأجسام الغريبة في المشاريع الشقيقة
صور وملفات صوتية من كومنز
This article is issued from Wikipedia. The text is licensed under Creative Commons - Attribution - Sharealike. Additional terms may apply for the media files.