ورم حليمي كاذب صلب
الورم الحليمي الكاذب الصلب (بالإنجليزية: Solid pseudopapillary tumour) هو ورم منخفض الخباثة يحدث في التركيب الحليمي للبنكرياس ويُصيب عادة النساء الشابات.[1][2]
| ورم حليمي كاذب صلب | |
|---|---|
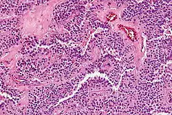
![]() صورة مجهرية لورم حليمي كاذب صلب بصبغة الهيماتوكسيلين واليوزين. صورة مجهرية لورم حليمي كاذب صلب بصبغة الهيماتوكسيلين واليوزين. | |
| تسميات أخرى | ورم فرانتز |
| معلومات عامة | |
| الاختصاص | علم الأورام |
| من أنواع | سرطان البنكرياس |
العلامات والأعراض
غالبًا ما تكون الأورام الحليمية الكاذبة الصلبة بدون أعراض ويتم تحديدها بالمصادفة في التصوير الذي يتم إجراؤه لأسباب غير ذات صلة. لكن في كثير من الأحيان قد تسبب آلام في البطن، تميل الأورام الحليمية الكاذبة الصلبة إلى الحدوث عند النساء وغالبًا ما تظهر في العقد الثالث من العمر.[2]
التشريح
الشكل العياني
عادة ما تكون الأورام الحليمية الكاذبة الصلبة مستديرة ومحددة جيدًا يتراوح قطرها 2-17 سم (متوسط 8 سم) مع وجود مناطق صلبة وكيسية مع نزف في المقاطع المقطوعة.[3]
علم الأنسجة
تتكون الأورام الحليمية الكاذبة الصلبة من صفائح صلبة من الخلايا غير متماسكة بؤريًا، عادةً ما تكون الخلايا في الآفة موحدة النوى بالإضافة إلى وجود الأخاديد النووية في بعض الأحيان والسيتوبلازم اليوزيني أو الواضح وكريات يوزينية إيجابية حمض شيف الدوري داخل السيتوبلازم.[4]
الكيمياء المناعية
تظهر الأورام الحليمية الكاذبة الصلبة ملونًا نوويًا إيجابيًا لبيتا كاتينين بالإضافة إلى التلوين المناعي الإيجابي لكل من: نيبريليسين وجزىء الالتصاق بالخلية العصبية وفيمنتين وألفا 1-أنتيتريبسين و إينولاز2، بينما تكون سلبية للكروموغرانين وإنزيمات البنكرياس.[5][6]
انظر أيضًا
المراجع
- "Solid pseudopapillary neoplasm of the pancreas: a single institution experience of 14 cases". HPB. 8 (2): 148–50. 2006. doi:10.1080/13651820510035721. PMID 18333264. الوسيط
|CitationClass=تم تجاهله (مساعدة) - Ng, Kheng Hong; Tan, Puay Hoon; Thng, Choon Hua; Ooi, London Lucien (2003). "Solid pseudopapillary tumour of the pancreas". ANZ Journal of Surgery (باللغة الإنجليزية). 73 (6): 410–415. doi:10.1046/j.1445-2197.2003.t01-1-02634.x. ISSN 1445-2197. مؤرشف من الأصل في 6 يونيو 2020. الوسيط
|CitationClass=تم تجاهله (مساعدة) - Fletcher CDM (2007). Diagnostic Histopathology of Tumors. I (الطبعة 3rd). Elsevier. صفحة 478. الوسيط
|CitationClass=تم تجاهله (مساعدة) - "Revision 2: an immunohistochemical approach and evaluation of solid pseudopapillary tumour of the pancreas". J. Clin. Pathol. 61 (11): 1153–9. November 2008. doi:10.1136/jcp.2008.057828. PMID 18708424. مؤرشف من الأصل في 27 سبتمبر 2020. الوسيط
|CitationClass=تم تجاهله (مساعدة) - "Solid and cystic pancreatic tumors. Clinical, histochemical, and electron microscopic features in ten cases". Cancer. 67 (6): 1635–41. March 1991. doi:10.1002/1097-0142(19910315)67:6<1635::aid-cncr2820670627>3.0.co;2-m. PMID 1900454. الوسيط
|CitationClass=تم تجاهله (مساعدة) - "Papillary cystic tumor of the pancreas. A clinicopathologic study of 20 cases with cytologic, immunohistochemical, ultrastructural, and flow cytometric observations, and a review of the literature". Am. J. Clin. Pathol. 98 (5): 478–88. November 1992. doi:10.1093/ajcp/98.5.478. PMID 1283055. الوسيط
|CitationClass=تم تجاهله (مساعدة)
- بوابة طب
