ورم دموي تحت الجافية
الورم الدموي تحت الجافية (بالإنجليزية: subdural hematoma) هو التجمع الدموي بين الأم الجافية وسطح المخ. عادة ما يكون بسبب النزف نتيجة للصدمات العنيفة على الرأس. يكون هذا النزف بسبب تمزق الأوردة التي تعبر من خلال الحيز تحت الجافية. من الممكن أن يتسبب النزف المستمر في زيادة الضغط على المخ والذي قد يصل لمرحلة تهدد حياة المصاب. بعض الأورام الدموية تحت الجافية تتوقف من تلقاء نفسها وبعضها يحتاج التدخل والنزح الجراحي.
| ورم دموي تحت الجافية | |
|---|---|
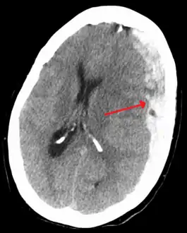
![]() ورم دموي تحت الجافية مُشار إليه بالسهم الأسود، ويتميز بتغير كبير في مكان خط الوسط. ورم دموي تحت الجافية مُشار إليه بالسهم الأسود، ويتميز بتغير كبير في مكان خط الوسط. | |
| معلومات عامة | |
| الاختصاص | جراحة الأعصاب |
الأنواع
تنقسم الأورام الدموية تحت الجافية إلى ثلاثة أنواع:[1]
- الورم الدموي تحت الجافية الحاد: وهو النوع الأكثر خطورة، وينتج عن الإصابات الشديدة في الرأس، وغالباً ما تظهر الأعراض في الحال.[2]
- الورم الدموي تحت الجافية تحت الحاد: وتأخذ الأعراض وقتاً حتى تبدأ في الظهور، قد يكون أياماً وقد يمتد حتى أسابيع بعد الإصابة.
- الورم الدموي تحت الجافية المزمن: نتيجة لإصابات الرأس الأقل شدة، وتأخذ الأعراض وقتاً أطول حتى تبدأ في الظهور.
وتتطلب الأنواع الثلاثة العناية الطبية الفورية، وإلا قد ينتج عنها ضرر دائم في المخ. غالباً ما ينتج النوع الحاد نتيجة التعرض للإصابات التسارعية أو التباطؤية عالية السرعة. وبالرغم من كون النزف في النوع الحاد أسرع من النزف في النوع المزمن، إلا أن مصدر النزف الحاد غالباً ما يكون وريدياً، وبالتالي أبطأ من النزف الشرياني في حالات نزف ما فوق الجافية، وله معدل وفيات أعلى. وذلك لكون القوة اللازمة لإحداث النزف تحت الجافية تسبب العديد من الإصابات الشديدة الأخرى.[3] وتتراوح معدلات الوفيات في حالات نزف ما تحت الجافية بين 60 : 80% . أما النوع المزمن فغالباً ما يتكون في خلال أيام إلى أسابيع، ويكون أكثر شيوعاً في كبار السن. وغالباً ما ينتج نتيجة الإصابات الطفيفة المتكررة في الرأس. وقد لا يتم اكتشافه حتى ظهور الأعراض بعد الإصابة بمدة طويلة قد تمتد لسنوات. كما قد يتوقف عادة من تلقاء نفسه.
الأعراض
وتشمل ما يلي :[4]
- صداع
- ارتباك
- تغيرات في السلوك
- دوخة
- قيء وغثيان
- نعاس
- ضعف عام
- نوبات صرعية
- خمول
- صعوبة في حفظ التوازن
- فقدان الوعي
- كلام متداخل
- اضطرابات بصرية
- فقدان الذاكرة
الأعراض في الأطفال: [5]
الأسباب
إصابة الرأس هي المتهم الأساسي والمسبب الأول للأورام الدموية تحت الجافية. تنتج الأورام الدموية الحادة بسبب حوادث السيارات، ضربات الرأس، أو السقوط عن المرتفعات. بينما تنتج الأورام الدموية المزمنة نتيجة التعرض للإصابات الطفيفة والمتكررة في الرأس، وتكون أكثر شيوعاً في كبار السن الذين يتعرضون للسقوط باستمرار على رؤوسهم.
عوامل الخطر
تزيد العوامل التالية من احتمالية الإصابة بالأورام الدموية تحت الجافية [5]
التشخيص
تعتبر التقنيات التصويرية هي أفضل الطرق المتبعة لتحديد موقع وحجم الورم الدموي، [6] وتشمل:
الأكثر استخداماً في تشخيص الأورام الدموية الدماغية.
لا تستخدم بكثرة مثل الأشعة المقطعية، لكونها أقل توفراً، كما تتطلب وقتاً أطول لتنفيذها.
العلاج
يتوقف علاج الأورام الدموية تحت الجافية على حجم الورم ومعدل نموه. بعض الأورام الدموية الصغيرة يتطلب فقط المتابعة المستمرة حتى يُشفى من تلقاء نفسه. البعض الآخر قد يتطلب إدراج قثطرة مؤقتة من خلال ثقب في الجمجمة لامتصاص الورم الدموي، ويمكن إجراء هذه العملية بجانب السرير. ولكن إذا كان الورم الدموي كبير الحجم فقد يتطلب حج القحف (فتح الجمجمة جراحياً). من ثم يقطع الطبيب الجراح الأم الجافية، يزيل الجلطة الدموية، مع المص أو الإرواء، ويتحكم في موقع النزف عن طريق إصلاح الوعاء الدموي النازف.[7][8][9]
المضاعفات العلاجية
- زيادة الضغط داخل القحف
- وذمة دماغية
- عودة النزيف
- عدوى بكتيرية
- نوبات صرعية
المراجع
- Subdural Hematoma Surgery at eMedicine
- UCLA Neurosurgery [1] retrieved on 7/21/2011. ^ Jump up to: a b c d e f g h
- Penetrating Head Trauma at eMedicine Jump up ^
- Subdural Hematoma: Symptoms, Causes, and Treatments نسخة محفوظة 12 سبتمبر 2016 على موقع واي باك مشين.
- Subdural hematoma : MedlinePlus Medical Encyclopedia نسخة محفوظة 05 يوليو 2016 على موقع واي باك مشين.
- Intracranial hematoma Tests and diagnosis - Mayo Clinic نسخة محفوظة 03 يوليو 2017 على موقع واي باك مشين.
- Koivisto T, Jääskeläinen JE (2009). "Chronic subdural haematoma—to drain or not to drain?". Lancet 374 (9695): 1040–1041. doi:10.1016/S0140-6736(09)61682-2. Jump up ^
- Santarius T, Kirkpatrick PJ, Dharmendra G, et al. (2009). "Use of drains versus no drains after burr-hole evacuation of chronic subdural haematoma: a randomised controlled trial". Lancet 374 (9695): 1067–1073. doi:10.1016/S0140-6736(09)61115-6. Jump up ^
- de Araújo Silva, DO; Matis GK, Costa LF, Kitamura MA, de Carvalho Junior EV, Silva Md, Barbosa BA, Pereira CU, da Silva JC, Birbilis TA, de Azevedo Filho HR (March 25, 2013). "Chronic subdural hematomas and the elderly: Surgical results from a series of 125 cases: Old "horses" are not to be shot!.". Surg Neurol Int 3 (1): 150. doi:10.4103/2152-7806.104744. Retrieved 25 March 2013. Cite uses deprecated parameter |coauthors= (help) Jump up ^
- بوابة طب
