ورم شحمي نقوي
الورم الشحمي النقوي (بالإنجليزية: Myelolipoma) هو ورم حميد يتكون من نسيج دهني والخلايا المكوِّنة للدم بنسب مختلفة.[1] قد يظهر في الغدة الكظرية[2] أو خارجها.[3]
| ورم شحمي نقوي | |
|---|---|
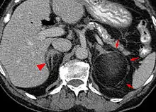
![]() ورم شحمي نقوي في الغدة الكظرية ورم شحمي نقوي في الغدة الكظرية | |
| معلومات عامة | |
| الاختصاص | علم الأورام |
الأسباب
بالرغم من وجود عدة فرضيات تفسر نشوء الورم، إلا أن سببه غير معروف حتى الآن.[4] تشير الدلائل الحديثة إلى أن المكوِّن الشحمي والنقوي أحاديا النسيلة؛ مما يرجح الطبيعة الورمية له.[4]
توجد نظريات قديمة تفترض أن نشأته غير ورمية كالآتي:
- خلايا القشرة الكظرية لها القدرة على التحول إلى خلايا دهنية أو نقوية بفعل هرمونات القشرة الكظرية ذاتها أو هرمونات الغدة النخامية التي تعمل على الغدة الكظرية كالهرمون الموجه لقشر الكظر.[5]
- قد تنشأ الخلايا النقوية من تمايز الخلايا داخل الشعيرات الدموية للغدة الكظرية.[6]
- يمثل الورم الشحمي النقوية مصدرًا لتصنيع خلايا الدم خارج النقي.[6]
الانتشار
الورم الشحمي النقوي نادر جدًّا، يعثر عليه بشكل غير متوقع خلال التشريح الجنائي في 0.08% إلى 0.4% من الحالات. ينشأ عادة في الغدة الكظرية، لكنه لا يمثل أكثر من 3% من أورام الكظر. وقد يتكون في مناطق أخرى من الجسم كالمنصف والكبد والقناة الهضمية.[1]
يصاب الذكور والإناث بالورم بشكل متساوٍ، ويتراوح سن الذروة عند التشخيص من 40 إلى 79 عامًا.[1]
الأعراض والعلامات



في الغالب لا يسبب الورم أعراضًا ظاهرةً، ولا ينتج أي هرمونات كظرية، وقد يكتشف خلال إجراء فحوصات لأمراض أخرى.[6]
تظهر الأعراض عندما يزداد حجم الورم ليضغط على الأنسجة المجاورة فيسبب ألمًا في البطن أو الخاصرة، بولًا دمويًّا، كتلةً مجسوسةً أو ارتفاعًا في ضغط الدم.[1]
ونظرًا لكونه ورمًا حميدًا؛ لا ينتشر الورم الشحمي النقوي إلى أجزاء أخرى من الجسم. وتسبب الأورام ذات الحجم الكبير موت الخلايا الحية ونزيفًا خلف الغشاء البريتوني.[1]
الفحص الطبي
في الغالب لا يظهر الورم من خلال الأشعة المقطعية أو أشعة الرنين المغناطيسي، وقد يظهر عن طريق التصوير الشعاعي بالأشعة السينية.
قد يتم أخذ عينة بالإبرة لفحصها مجهريًّا.[1]
العلاج
الأورام الصغيرة التي لا تسبب أعراضًا لا تتطلب علاجًا، أما الأورام كبيرة الحجم فينبغي إزالتها جراحيًّا لتجنب حدوث مضاعفات كالنزيف.[5]
علم الأمراض
عيانيًّا
يظهر الورم في إحدى الغدتين الكظريتين لا كليهما، ويتراوح قطره من ملليميترات صغيرة إلى 34 سم، ويتنوع لونه بين الأصفر والأحمر والبني تبعًا لتوزيع الشحم والدم والخلايا المكوِّنة للدم. وقد يحتوي الورم الكبير على بقع من النزيف والاحتشاء.[1]
ورم شحمي نقوي في الغدة الكظرية، وبقايا الغدة على قمة الورم.
قطاع في الورم يوضح تنوع لونه من الأصفر للأحمر للبني تبعًا لتوزيع الدم والشحم والخلايا المكونة للدم.
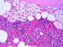
مجهريًّا
الورم الشحمي النقوي النمطي يظهر في الصورة، ويتكون من خلايا الغدة الكظرية الطبيعية وخلايا دهنية والخلايا المكوِّنة للدم بأنواعها الثلاثة: الخلايا النخاعية (المكونة لكرا الدم البيضاء)، الخلايا المكونة لكرات الدم الحمراء والخلايا المكونة للصفائح الدموية.[1]
المراجع
- Thompson, LDR (2006). Endocrine Pathology. ISBN 978-0-443-06685-6. الوسيط
|CitationClass=تم تجاهله (مساعدة) - Ong K, Tan KB, Putti TC (July 2007). "Myelolipoma within a non-functional adrenal cortical adenoma" (PDF). Singapore Med J. 48 (7): e200–2. PMID 17609815. مؤرشف من الأصل (PDF) في 19 فبراير 2012. الوسيط
|CitationClass=تم تجاهله (مساعدة) - Zieker D, Königsrainer I, Miller S, et al. (2008). "Simultaneous adrenal and extra-adrenal myelolipoma — an uncommon incident: case report and review of the literature". World J Surg Oncol. 6: 72. doi:10.1186/1477-7819-6-72. PMC 2474838. PMID 18601731. مؤرشف من الأصل في 16 ديسمبر 2019. الوسيط
|CitationClass=تم تجاهله (مساعدة) - McNicol AM (Winter 2008). "A diagnostic approach to adrenal cortical lesions". Endocr Pathol. 19 (4): 241–251. doi:10.1007/s12022-008-9055-x. PMID 19089656. الوسيط
|CitationClass=تم تجاهله (مساعدة) - Olobatuyi FA, Maclennan GT (September 2006). "Myelolipoma". J Urol. 176 (3): 1188. doi:10.1016/j.juro.2006.06.095. PMID 16890722. مؤرشف من الأصل في 9 فبراير 2019. الوسيط
|CitationClass=تم تجاهله (مساعدة) - Ramchandani, P. Adrenal Myelolipoma Imaging في موقع إي ميديسين
- بوابة طب