غدة كظرية
الغدة الكظرية أو الغدة فوق الكلوية (بالإنجليزية: Adrenal gland). يحتوي جسم الإنسان على غدتين كظريتين، تنتميان إلى جهاز الغدد الصماء، وتفرزان عدداً من الهرمونات كالأدرينالين والستيرويدات كالألدوسترون والكورتيزول.[1][2] تقع هاتان الغدتان فوق الكلية، وكل واحدة منهما لها قشرة خارجية تنتج الهرمونات الستيرويدية ولب داخلي. تنقسم قشرة الغدة الكظرية إلى ثلاث مناطق وهي بالترتيب من الخارج إلى الداخل: المنطقة الكبيبية والمنطقة الحزمية والمنطقة الشبكية.[3]
| غدة كظرية | |
|---|---|
| الاسم اللاتيني glandula suprarenalis | |
![]() تقع الغدة الكُظْرية فوق الكلية | |
| تفاصيل | |
| نظام أحيائي | جهاز الغدد الصماء |
| الشريان المغذي | الشرايين الكظرية العلوية والسفلية والشريان الكظري الأوسط |
| الوريد المصرف | الوريد الكظري الأيمن والوريد الكظري الأيسر |
| الأعصاب | الضفيرة البطنية، الضفيرة الكلوية |
| تصريف اللمف | العقد اللمفية القطنية |
| سلف | الأديم المتوسط والعرف العصبي |
| يتكون من | قشرة الغدة الكظرية ، ولب الغدة الكظرية |
| نوع من | غدة صماء |
| معرفات | |
| غرايز | ص |
| ترمينولوجيا أناتوميكا | 11.5.00.001 |
| FMA | 9604 |
| UBERON ID | 0002369 |
| ن.ف.م.ط. | |
| ن.ف.م.ط. | D000311 |
| دورلاند/إلزيفير | 12392729 |
تنتج قشرة الغدة الكظرية ثلاث أنواع رئيسية من الهرمونات الستيرويدية وهي: الهرمونات القشرية المعدنية والهرمونات القشرية السكرية والأندروجينات الكظرية. فأما القشرانيات المعدنية كالألدوستيرون فتُنتَج في المنطقة الكبيبية من القشرة الكظرية وتُساعد في تنظيم ضغط الدم والحفاظ على توزان الكهارل في الجسم. وتُنتَج القشرانيات السكرية كالكورتيزول في المنطقة الحزمية وتنظم عمليات الأيض في الجسم وتثبط جهاز المناعة. تفرز المنطقة الشبكية وهي الجزء الأعمق من القشرة الكظرية، الأندروجينات الكظرية والتي تحولها الغدد التناسلية أو الأعضاء الأخرى التي تستهدفها هذه الهرمونات إلى هرمونات فعالة قادرة على القيام بوظائفها.[4] تُسمى عملية تصنيع الستيرويدات بعملية توليد الستيرويد وتتضمن عدداً من التفاعلات والعمليات الكيميائية التي تتم في خلايا القشرة الكظرية.[5] بينما ينتج لب القشرة الكظرية الكاتيكولامينات وهي هرمونات تجعل الجسم يصدر استجابة سريعة عندما يتعرض للضغط والإجهاد.[4]
يندرج الخلل الوظيفي الذي يصيب الغدة الكظرية ضمن أمراض الغدد الصماء. حيث يسبب زيادة إفراز هرمون الكورتيزول في الدم متلازمة كوشينغ، في حين يصاحب داء أديسون نقصٌ في إفراز ذات الهرمون. ويؤثر مرضٌ وراثيٌ على الغدة الكظرية يسمى فرط تنسج الكظرية الخلقي، وينشأ هذا المرض من خللٍ في تنظيم آليات التحكم في الغدد الصماء.[4][6] وقد تنشأ أنواعٌ مختلفةٌ من الأورام من نسيج الغدة الكظرية والتي غالباً ما تكتشف عند استخدام التصوير الطبي لفحص أمراضٍ أخرى.[7]
البنية التشريحية
تقع كل غدة كظرية على إحدى جانبي جسم الإنسان في تجويفٍ خلف الصفاق، وكل غدة موجودة فوق إحدى الكليتين بحيث تميل قليلاً إلى الجانب الأنسي. وتختلف الغدتان في شكليهما وحجميهما؛ فالغدة الكظرية اليمنى تتخذ شكلاً هرمياً بينما تتخذ اليسرى شكلاً هلالياً، والغدة اليسرى أكبر حجماً.[8] يبلغ طول الغدتان الكظريان 5 سم وعرضهما 3 سم وسمكهما 1 سم.[9] والغدتان الكظريان صفراوا اللون[8] ويتراوح وزن الواحدة منهما في الإنسان البالغ من 7 إلى 10 غم.[10]
تُحاط الغدتان الكظريان بمحفظة دهنية وتقعان داخل اللفافة الكلوية التي تحيط بالكلية أيضاً ويفصل بين الكلية والغدة جدار واهن من النسيج الضام.[11] وتتواجد الغدتان الكظريان أسفل الحجاب الحاجز مباشرةً وتربطهما اللفافة الكلوية بساقي الحجاب الحاجز.[11]
تتكون كل غدة من جزئين مستقلين ولكل جزء وظيفة خاصة؛ وهما القشرة الكظرية الخارجية ولب الكظرية الداخلي وكلاهما يفرزان هرمونات.[12]
قشرة الكظرية
مقالة مفصلة: قشرة الكظرية

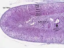
تحتل قشرة الكظرية الجزء الخارجي للغدة ويوجد داخلها ثلاث طبقات تسمى بالمناطق. وعند فحص هذه المناطق تحت المجهر الضوئي، يتجلى المظهر المميز لكل منطقة والتي تختلف عن بعضها أيضاً في الوظيفة.[13] وتنتج القشرة هرمون الألدوستيرون والكورتيزول والأندروجينات.[14]
المنطقة الكبيبية
تشكل المنطقة الكبيبية المنطقة الخارجية من قشرة الكظر، وتقع مباشرة تحت المحفظة الليفية المحيطة بالغدة الكظرية. تشكل خلايا هذه الطبقة مجموعاتٍ بيضاوية يفصل بينها حزمة خيوط رفيعة من النسيج الضام المتفرعة من المحفظة الليفية والتي تحمل الشعيرات المغذية.[15]
ينتج في هذه المنطقة أحد القشرانيات المعدنية، فهي المكان الرئيسي لإنتاج الألدوستيرون وذلك باستخدام الإنزيم المخلق للألدوسيترون (aldosterone synthase).[16][17] ويلعب هذا الهرمون دورًا مهمًا في تنظيم ضغط الدم على المدى البعيد.[18]
المنطقة الحزمية
تقع المنطقة الحزمية في وسط قشرة الكظر بين المنطقة الكبيبية والمنطقة الشبكية. وتُنتج خلايا هذه المنطقة القشرانيات السكرية مثل الكورتيزول.[19] وتنتظم هذه الخلايا في أعمدة تتجه نحو لب الغدة. وتحتوي على العديد من القطرات الدهنية والميتوكوندريا وشبكة إندوبلازمية ملساء معقدة التركيب.[15] كما تمتاز هذه المنطقة بأنها تشغل الحجم الأكبر مقارنة بالمنطقتين الأخريين بما يعادل 80% من حجم القشرة.[3]
المنطقة الشبكية
هي المنطقة الداخلية والأعمق من طبقات القشرة الكظرية، وتقع قرب لب الكظرية مباشرة. تنتج هذه الطبقة الأندروجينات مثل: هرمون ديهايدرو إيبى أندروستيرون وكبريتات الديهايدرو إيبى أندروستيرون والأندروستندويون (السابق والوسيط الحيوي لهرمون التستوستيرون) في الإنسان.[19] تشكل خلاياها مجموعاتٍ وحبال يفصلها عن بعضها شعيرات دموية ونسيج ضام. تتكون هذه الخلايا من كميات قليلة من السيتوبلازم والقطرات الدهنية، وقد تظهر صبغة الليبوفيوسين البنية فيها أحيانًا.[15]
لب الكظرية
مقالة مفصلة: لب الغدة الكظرية
تحيط القشرة الكظرية باللب المتمركز في وسط كلتا الغدتين. يتألف لب الكظر من خلايا قاتمة تُدعى خلايا لبية، أو خلايا أليفة للكروم أي كرومافينية؛ تعتبر هذه الخلايا مصدر الجسم الرئيسي للكاتيكولامينات المفرزة (الأدرينالين والنُورأدرينالين). إذ يُفرز 80% من الأدرينالين (الإبينفرين) و20% من النورأدرينالين (النورإبنيفرين) هنا في لب الكظرية.[19]
تأتي الإشارات العصبية التي تتحكم في لب الكظرية من الجهاز العصبي الودي عبر الألياف العصبية قبل العقديّة التي تتفرع من الشدف الصدرية للحبل الشوكي وتحديدًا من الفقرات الصدرية 5 – 11 (ص5 – ص11).[20] ونتيجة طبيعة هذا التعصيب القادم من الألياف العصبية قبل العقدية، فإن لب الكظرية يعتبر نوع متخصص من العقد الودية (العقد الخاصة بالجهاز العصبي الودي).[20] ويفتقر هذا النوع المتخصص إلى التشابك العصبي مما يجعلها تطرح ما تفرزه في الدم.
التروية الدموية
تملك الغدة الكظرية أكبر معدل للتروية الدموية التي تصل كل غرامٍ من نسيجها مقارنة بأي عضوٍ آخر؛ ويمكن أن يصل عدد الشرايين الصغيرة التي تدخل الغدة الواحدة إلى ستين شريانًا.[21] تتم ترويّة كل غدة كظريّة عبر ثلاث شرايين:[8]
- الشريان الكظري العلوي المتفرع من الشريان الحجابي السفلي.
- الشريان الكظري المتوسط المتفرع من الشريان الأبهر البطني مباشرةً.
- الشريان الكظري السفلي المتفرع من الشريان الكلوي.
يتفرع من هذه الشرايين التي تروي الغدة عددٌ كبيرٌ من الشرينات المغذية مشكلة شبكة في المحفظة المحيطة بالغدة الكظرية. تشكل المحفظة حزم خيطية رفيعة لتدخل الغدة وتحمل الدم القاني معها.[8]
يُصرف الدم الوريدي من الغدة عبر الأوردة الكظرية، إذ يتفرع كل وريد من إحدى الغدتين، وهما:[8]
- الوريد الكظري الأيمن الذي يصب في الوريد الأجوف السفلي.
- الوريد الكظري الأيسر الذي يصب في الوريد الكلوي الأيسر أو في الوريد الحجابي السفلي.
يوجد وريد مركزي في لب الكظرية، والذي يختلف في بنيته عن سائر أورد الجسم، فالعضلات الملساء الموجود في الغلالة الوسطانية (الطبقة الوسطى من طبقات الأوعية الدموية) مرتبة في حزم طولية بارزة.[3]
التنوع التشريحي للغدة بين البشر
قد لا تتطور الغدة الكظرية على الإطلاق وفي أحيانٍ أخرى قد تلتصق في المنتصف خلف الشريان الأبهر.[12] وقد تأتي هذه التنوعات في تشريح الغدة مع عيوبٍ خَلقيةٍ، مثل: فشل تطور الكلية أو التصاق الكليتين.[12] ويمكن أن توجد الغدة بجزء من القشرة أو بلا قشرة على الإطلاق، وحتى يمكن أن تظهر في غير مكانها الطبيعي.[12]
الوظيفة

تتمثل وظيفة الغدة الكظرية بإفراز العديد من الهرمونات؛ التي تخضع للتأييض في الغدة نفسها أو في أجزاء أخرى من الجسم بفعل الإنزيمات. تنفذ هذه الهرمونات العديد من الوظائف الحيوية.[23]
الستيرويدات القشرية
تمثل الستيرويدات القشرية مجموعةً من الهرمونات الستيرويدية التي تنتجها قشرة الغدة الكظرية، وتسمى بهذا الاسم نسبة إلى مكان تصنيعها هناك.[24] وتُسمى الستيروئيدات القشرية حسب وظيفتها كما يلي:
- الستيرويدات القشرية المعدنية (القشرانيات المعدنية) ومن أمثلتها: الألدوستيرون الذي يحافظ على التوزان بين الأملاح المعدنية وحجم الدم في الجسم.[25]
- الستيرويدات القشرية السكرية (القشرانيات السكرية) ومن أمثلتها: الكورتيزول الذي يؤثر على معدل أيض البروتين والدهون والسكر (الجلوكوز).[26]
- القشرانيات المعدنية
الألدوستيرون من الهرمونات القشرية المعدنية التي تنتجها الغدة الكظرية، وهو صاحب دور مهم في الحفاظ على توازن الأملاح والمعادن وحجم الدم في جسم الإنسان. هذا الدور يتمثل بأثر الألدوستيرون على أجزاء معينة من الوحدة الكلوية وهي النبيبات الملتفة البعيدة والقنوات الجامعة بحيث يزيد من إعادة امتصاص شوارد الصوديوم بالتبادل مع إطراح أيونات البوتاسيوم وأيونات الهيدروجين.[18] ويعتبر الألدوستيرون مسؤولاً عن إعادة امتصاص حوالي 2% من السائل الكبيبي الراشح.[27] كما أن للهرمون تأثيرًا حابسًا للصوديوم بفعل تحفيز مستقبلاته في الغدد اللعابية ونهاية القولون. يوجد منظمان رئيسيان لإفراز الألدوستيرون، وهما هرمون الأنجيوتنسين II والبوتاسيوم في السائل خارج الخلوي.[19] إن أثر الألدوستيرون الحابس للصوديوم والمؤثر على كميته في جسم الإنسان يوضح أهمية الألدوستيرون في تنظيم ضغط الدم فكمية الصوديوم تؤثر على حجم السائل خارج الخلوي وضغط الدم.[28]
انظر أيضا
- قشر الكظر
- الكر والفر
- توتر نفسي
- جيوفري بورن
- ورم القواتم
مصادر
- Santulli G. MD (2015). Adrenal Glands: From Pathophysiology to Clinical Evidence. Nova Science Publishers, New York, NY. ISBN 978-1-63483-570-1. مؤرشف من الأصل في 19 أبريل 2017. الوسيط
|CitationClass=تم تجاهله (مساعدة) - "Adrenal gland". Medline Plus/Merriam-Webster Dictionary. مؤرشف من الأصل في 11 فبراير 2015. اطلع عليه بتاريخ 11 فبراير 2015. الوسيط
|CitationClass=تم تجاهله (مساعدة) - Ross M, Pawlina W (2011). Histology: A Text and Atlas (الطبعة 6th). Lippincott Williams & Wilkins. صفحات 708, 780. ISBN 978-0-7817-7200-6. مؤرشف من الأصل في 16 يونيو 2020. الوسيط
|CitationClass=تم تجاهله (مساعدة) - Melmed, S; Polonsky, KS; Larsen, PR; Kronenberg, HM (2011). Williams Textbook of Endocrinology (الطبعة 12th). Saunders. ISBN 978-1437703245. الوسيط
|CitationClass=تم تجاهله (مساعدة) - Miller, WL; Auchus, RJ (2011). "The molecular biology, biochemistry, and physiology of human steroidogenesis and its disorders". Endocrine Reviews. 32 (1): 81–151. doi:10.1210/er.2010-0013. PMC 3365799. PMID 21051590. الوسيط
|CitationClass=تم تجاهله (مساعدة) - Longo, D; Fauci, A; Kasper, D; Hauser, S; Jameson, J; Loscalzo, J (2012). Harrison's Principles of Internal Medicine (الطبعة 18th). New York: McGraw-Hill. ISBN 978-0071748896. الوسيط
|CitationClass=تم تجاهله (مساعدة) - Nieman, LK (2010). "Approach to the patient with an adrenal incidentaloma". The Journal of Clinical Endocrinology and Metabolism. 95 (9): 4106–13. doi:10.1210/jc.2010-0457. PMC 2936073. PMID 20823463. الوسيط
|CitationClass=تم تجاهله (مساعدة) - Thomas, edited by Paul; Molecular, School of; Australia, Biomedical Science, University of Adelaide, Adelaide, South Australia (2013). Endocrine Gland Development and Disease. Burlington: Elsevier Science. صفحة 241. ISBN 9780123914545. الوسيط
|CitationClass=تم تجاهله (مساعدة)صيانة CS1: نص إضافي: قائمة المؤلفون (link) - Antonio Carlos A. Westphalen and Bonnie N. Joe (2006). "CT and MRI of Adrenal Masses". Appl Radiol. 35 (8): 10–26. مؤرشف من الأصل في 26 ديسمبر 2019. الوسيط
|CitationClass=تم تجاهله (مساعدة) - O'Hare, A. Munro Neville, Michael J. (1982). The Human Adrenal Cortex Pathology and Biology – An Integrated Approach. Springer London. صفحات Chapter 4: Structure of the adult cortex. ISBN 9781447113171. الوسيط
|CitationClass=تم تجاهله (مساعدة) - Moore KL, Dalley AF, Agur AM (2013). Clinically Oriented Anatomy, 7th ed. Lippincott Williams & Wilkins. صفحات 294, 298. ISBN 978-1-4511-8447-1. الوسيط
|CitationClass=تم تجاهله (مساعدة) - Kay, Saundra. "Adrenal Glands". Medscape. مؤرشف من الأصل في 26 ديسمبر 2019. اطلع عليه بتاريخ 01 أغسطس 2015. الوسيط
|CitationClass=تم تجاهله (مساعدة) - Whitehead, Saffron A.; Nussey, Stephen (2001). Endocrinology: an integrated approach. Oxford: BIOS. صفحة 122. ISBN 978-1-85996-252-7. الوسيط
|CitationClass=تم تجاهله (مساعدة) - Jefferies, William McK (2004). Safe uses of cortisol. Springfield, Ill: Charles C. Thomas. ISBN 978-0-398-07500-2. الوسيط
|CitationClass=تم تجاهله (مساعدة) - Young B, Woodford P, O'Dowd G (2013). Wheater's Functional Histology: A Text and Colour Atlas (الطبعة 6th). Elsevier. صفحة 329. ISBN 978-0702047473. الوسيط
|CitationClass=تم تجاهله (مساعدة) - Curnow KM, Tusie-Luna MT, Pascoe L, Natarajan R, Gu JL, Nadler JL, White PC (October 1991). "The product of the CYP11B2 gene is required for aldosterone biosynthesis in the human adrenal cortex" (PDF). Mol. Endocrinol. 5 (10): 1513–1522. doi:10.1210/mend-5-10-1513. PMID 1775135. مؤرشف من الأصل (PDF) في 23 يونيو 2020. الوسيط
|CitationClass=تم تجاهله (مساعدة) - Zhou M, Gomez-Sanchez CE (July 1993). "Cloning and expression of a rat cytochrome P-450 11 beta-hydroxylase/aldosterone synthase (CYP11B2) cDNA variant". Biochem Biophys Res Commun. 194 (1): 112–117. doi:10.1006/bbrc.1993.1792. PMID 8333830. الوسيط
|CitationClass=تم تجاهله (مساعدة) - Marieb, EN; Hoehn, K (2012). Human anatomy & physiology (الطبعة 9th). Pearson. صفحة 629. ISBN 978-0321743268. الوسيط
|CitationClass=تم تجاهله (مساعدة) - Dunn R. B.; Kudrath W.; Passo S.S.; Wilson L.B. (2011). "10". Kaplan USMLE Step 1 Physiology Lecture Notes. صفحات 263–289. الوسيط
|CitationClass=تم تجاهله (مساعدة) - Sapru, Hreday N.; Siegel, Allan (2007). Essential Neuroscience. Hagerstown, MD: Lippincott Williams & Wilkins. ISBN 978-0-7817-9121-2. مؤرشف من الأصل في 24 يونيو 2020. الوسيط
|CitationClass=تم تجاهله (مساعدة) - Mirilas P, Skandalakis JE, Colborn GL, Weidman TA, Foster RS, Kingsnorth A, Skandalakis LJ, Skandalakis PN (2004). Surgical Anatomy: The Embryologic And Anatomic Basis Of Modern Surgery. McGraw-Hill Professional Publishing. ISBN 978-960-399-074-1. الوسيط
|CitationClass=تم تجاهله (مساعدة) - "OpenStax CNX". cnx.org. مؤرشف من الأصل في 15 ديسمبر 2018. اطلع عليه بتاريخ 01 أغسطس 2015. الوسيط
|CitationClass=تم تجاهله (مساعدة) - Britton, the editors Nicki R. Colledge, Brian R. Walker, Stuart H. Ralston; illustrated by Robert (2010). Davidson's principles and practice of medicine (الطبعة 21st). Edinburgh: Churchill Livingstone/Elsevier. صفحات 768–778. ISBN 978-0-7020-3085-7. الوسيط
|CitationClass=تم تجاهله (مساعدة) - "Corticosteroid". TheFreeDictionary. مؤرشف من الأصل في 26 يوليو 2020. اطلع عليه بتاريخ 23 سبتمبر 2015. الوسيط
|CitationClass=تم تجاهله (مساعدة) - Marieb Human Anatomy & Physiology 9th edition, chapter:16, page:629, question number:14
- "Corticosteroid". TheFreeDictionary. مؤرشف من الأصل في 26 يوليو 2020. اطلع عليه بتاريخ 23 سبتمبر 2015. الوسيط
|CitationClass=تم تجاهله (مساعدة) - Sherwood, Lauralee (2001). Human physiology: from cells to systems. Pacific Grove, CA: Brooks/Cole. ISBN 978-0-534-56826-9. OCLC 43702042. الوسيط
|CitationClass=تم تجاهله (مساعدة) - Boron, WF.; Boulapep, EL. (2012). Medical Physiology (الطبعة 2nd). Philadelphia: Saunders. ISBN 978-1437717532. الوسيط
|CitationClass=تم تجاهله (مساعدة)
- Adrenal Gland, from Colorado State University
- بوابة تشريح
- بوابة طب
- بوابة علم وظائف الأعضاء

