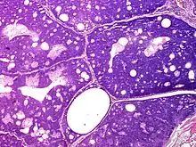
ورم ظهاري زهمي
ورم ظهاري زهمي[1] (بالإنجليزية: Sebaceous epithelioma) هو حالة جلدية تَظهر على شكل حطاطة صفراء أو برتقالية.[2]:662

ورم ظهاري زهمي
انظر أيضًا
المراجع
- "Al-Qamoos القاموس - English Arabic dictionary / قاموس إنجليزي عربي". www.alqamoos.org. مؤرشف من الأصل في 22 ديسمبر 2017. اطلع عليه بتاريخ 20 ديسمبر 2017. الوسيط
|CitationClass=تم تجاهله (مساعدة) - James, William D.; Berger, Timothy G.; et al. (2006). Andrews' Diseases of the Skin: clinical Dermatology. Saunders Elsevier. ISBN 0-7216-2921-0. الوسيط
|CitationClass=تم تجاهله (مساعدة)
- بوابة طب
This article is issued from Wikipedia. The text is licensed under Creative Commons - Attribution - Sharealike. Additional terms may apply for the media files.