ورم ظهاري عضلي
الورم الظهاري العضلي (بالإنجليزية: myoepithelioma) ورم ينشأ من الغدد اللعابية في الرأس والرقبة ويكون في الغالب حميد.[1] كما في الاسم فإنه يتكون من الخلايا الظهارية العضلية التي توجد في الغدة النكافية وفي الحلق.[1] قد يوجد ورم مشابه في اللسان ويطلق عليه ectomesenchymal chondromyxoid tumor.[2]
| ورم ظهاري عضلي | |
|---|---|
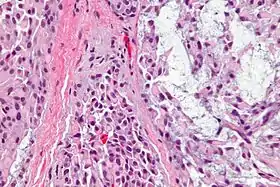
![]() ورم ظهاري عضلي | |
| معلومات عامة | |
| الاختصاص | علم الأورام |
| من أنواع | ورم الغدد العرقية |
التشخيص
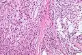
يتم تشخيص الورم الظهاري العضلي عن طريق فحص أنسجة الورم بواسطة أخصائي الباثولوجيا.
باثولوجيا الورم
قد تكون الخلايا الظهارية العضلية مغزلية الشَّكْل، بلازماوية أو واضحة. يغيب وجود الأنابيب أو الخلايا الظهارية وقد توجد بنسبة صغيرة أقل من 5% كما هي مسمَّاه. الأورام الظهارية العضلية التي تحتوي على نسبة كبيرة من الأنابيب تصنف كأورام غديَّة متعددة الأشكال ( والتي يجب أن تحتوي على اللحمة الغضروفية المخاطية المميِزة للورم الغدي متعدد الأشكال، والتي لا تكون موجودة في الورم الظهاري العضلي ).
العلاج
الورم الظهاري العضلي الحميد يتم علاجه عن طريق الإستئصال الجراحي البسيط. وتكون فرصة تجدد جدوثه أقل من الورم الغدي متعدد الأشكال.
انظر أيضاً
المراجع
- Barnes, L.; Appel, BN.; Perez, H.; El-Attar, AM. (Jan 1985). "Myoepithelioma of the head and neck: case report and review". J Surg Oncol. 28 (1): 21–8. doi:10.1002/jso.2930280107. PMID 2982059. الوسيط
|CitationClass=تم تجاهله (مساعدة) - Smith BC1, Ellis GL, Meis-Kindblom JM, Williams SB (May 1995). "Ectomesenchymal chondromyxoid tumor of the anterior tongue. Nineteen cases of a new clinicopathologic entity". Am J Surg Pathol. 19: 519–30. doi:10.1097/00000478-199505000-00003. PMID 7726361. الوسيط
|CitationClass=تم تجاهله (مساعدة)صيانة CS1: يستخدم وسيط المؤلفون (link)
- بوابة طب


