ورم عصبي عقدي
الورم العصبي العقدي (بالانجليزية:ganglioneuroma) هو ورم نادر وحميد من الألياف العصبية الودية ينشأ من خلايا السليفة الودية للعرف العصبي وهي عبارة عن خلايا لا متمايزة للجهاز العصبي الودي.[1] على الرغم من أن الأورام العصبية العقدية ذات نفسها تتكون من خلايا ناضجة ومتمايزة ولا تحتوي على أية خلايا غير ناضجة.[2]
| ورم عصبي عقدي | |
|---|---|
![]() صورة بالأشعة المقطعية لورم عصبي عقدي كبير الحجم في التجويف الصدري. صورة بالأشعة المقطعية لورم عصبي عقدي كبير الحجم في التجويف الصدري. | |
| معلومات عامة | |
| الاختصاص | علم الأورام |
تنشأ الأورام العقدية في الغالب في البطن، ولكنها قد تنمو في أي مكان يحتوي على نسيج عصبي ودي. الأماكن الأخرى التي قد يظهر فيها الورم الغدة الكظرية، الحيز خلف الصفاق المحيط بالنخاع، المنصف الخلفي، الرأس والرقبة.[1]
الأعراض
تعتمد الأعراض على مكان الورم والأعضاء المجاورة له التي قد تتأثر بوجوده. على سبيل المثال، ورم في منطقة الصدر قد يسبب صعوبة في التنفس، ألم بالصدر، وانضغاط على القصبة الهوائية. إذا كان الورم يقع في البطن من الأسفل، قد يسبب آلالماً بالبطن وانتفاخ. أما إذا كان الورم يقع بجوار الحبل الشوكي، فإنه قد يسبب تشوهات بالنخاع أو يسبب انضغاط على الحبل الشوكي مما قد يسبب آلاماً، فقد التحكم العضلي وفقدان الإحساس في الرجلين أو في الذراعين.[3] قد تنتج تلك الأورام بعض الهرمونات التي قد تسبب بعض الأعراض منها: الإسهال، تضخم البظر، ارتفاع في ضغط الدم، زيادة كثافة شعر الجسم والتعرق.[3]
الباثولوجيا

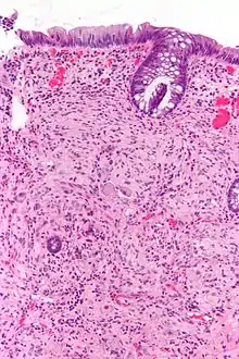
بالفحص النسيجي لعينة من الورم العصبي العقدي، يوجد أنه يتكون من خلايا عقدية، خلايا شوان ونسيج ليفي ضام.[4] أما بالعين المجردة، فيظهر الورم العصبي العقدي على أنه كتلة صلبة وفي الغالب بيضاء اللون.
السبب
لا توجد عوامل خطر معروفة للورم العقدي العصبي ولكن قد يرتبط حدوثه ببعض الأمراض الجينية مثل الورم العصبي الليفي من النوع الأول.[3]
التشخيص
يمكن تشخيص الأورام العقدية العصبية عن طريق التصوير باستخدام الأشعة المقطعية أو الرنين المغناطيسي أو عن طريق عمل مسح بالموجات فوق الصوتية على الرأس، البطن والحوض. يمكن عمل اختيارات للبول والدم لتحديد إذا ما كان الورم يفرز هرمونات أو أي مواد كيميائية أخرى. يمكن أخذ خزعة من الورم لتأكيد التشخيص.[3]
العلاج

ليس من الضروري علاج الورم العصبي العقدي لأنه ورم حميد وعلاجه قد يعرض المريض لمخاطر أكثر من ترك الورم. إذا ظهرت أعراض أو تشوهات جسدية عظمى، قد يتطلب الأمر في تلك الحالة إجراء جراحة لإزالة الورم.
توقعات سير المرض
في الغالب كل الأورام العقدية العصبية غير مسرطنة وبالتالي توقعات سير المرض جيدة. مع ذلك، قد يتحول الورم إلى سرطان وقد ينتشر إلى أماكن أخرى أو قد ينمو مجدداً بعد إزالته.
إذا وُجد الروم لفترة طويلة وتسبب في الانضغاط على الحبل الشوكي أو في ظهور أعراض، في تلك الحالة قد يكون قد تسبب في أضرار غير قابلة للعكس حتى مع إزالة الورم جراحياً. انضغاط الحبل الشوكي قد يؤدي إلى حدوث شلل خاصة إذل لم يتم معرفة السبب بسرعة.[3]
أورام الخلايا الجنينية العصبية
تشمل الأورام التالية:[5]
- الورم العصبي العقدي (حميد)
- الوَرَمُ الأَرُوْمِيُّ العَصَبِيُّ العُقْدِيّ (متوسط)
- ورم الخلايا البدائية العصبية (خبيث)
انظر أيضاً
المراجع
- Jedynak, Andrzej. L Gill Naul (المحرر). "Imaging in Ganglioneuroma and Ganglioneuroblastoma". Medscape. WedbMD. مؤرشف من الأصل في 28 أبريل 2019. اطلع عليه بتاريخ 06 فبراير 2014. الوسيط
|CitationClass=تم تجاهله (مساعدة) - Shin, JH.; Lee, HK.; Khang, SK.; Kim, DW.; Jeong, AK.; Ahn, KJ.; Choi, CG.; Suh, DC. "Neuronal tumors of the central nervous system: radiologic findings and pathologic correlation". Radiographics. 22 (5): 1177–89. doi:10.1148/radiographics.22.5.g02se051177. PMID 12235346. الوسيط
|CitationClass=تم تجاهله (مساعدة) - Dugdale, David; Jasmin, Luc (29 August 2012). "Ganglioneuroma". MedlinePlus. A.D.A.M. Medical Encyclopedia. مؤرشف من الأصل في 05 يوليو 2016. اطلع عليه بتاريخ 06 فبراير 2014. الوسيط
|CitationClass=تم تجاهله (مساعدة); تحقق من التاريخ في:|تاريخ أرشيف=(مساعدة) - Weerakkody, Yuranga. "Ganglioneuroma". Radiopaedia.org. Radiopaedia. مؤرشف من الأصل في 19 أكتوبر 2018. اطلع عليه بتاريخ 06 فبراير 2014. الوسيط
|CitationClass=تم تجاهله (مساعدة) - Shimada H, Ambros IM, Dehner LP, Hata J, Joshi VV, Roald B (July 1999). "Terminology and morphologic criteria of neuroblastic tumors: recommendations by the International Neuroblastoma Pathology Committee". Cancer. 86 (2): 349–63. doi:10.1002/(sici)1097-0142(19990715)86:2<349::aid-cncr20>3.0.co;2-y. PMID 10421272. الوسيط
|CitationClass=تم تجاهله (مساعدة)
- بوابة طب
