ورم عضلي أملس
الورم العضلي الأملس أو ورم العضلات الملساء (بالإنجليزية: leiomyoma) وهو ورم حميد نادرًا ما يتحول إلى ورم خبيث (نسبة أقل من 0.1%) .من الممكن ان يتكوّن في أي عضو، ولكن غالباً ما يظهر في الرحم والأمعاء الدقيقة والمريء.[1]
| ورم عضلي أملس | |
|---|---|
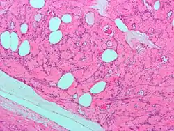
![]() عينة من ورم عضلي أملس في الرحم مصبوغة ومفحوصة تحت المجهر الضوئي. عينة من ورم عضلي أملس في الرحم مصبوغة ومفحوصة تحت المجهر الضوئي. | |
| معلومات عامة | |
| الاختصاص | علم الأورام |
| من أنواع | نمط خلوي لورم حميد ، وورم عضلي |
| الإدارة | |
| أدوية | |
السبب
الورم العضلي الأملس كمعظم الأورام والسرطانات لا يُعرف سبب واضح وأكيد لوجوده.[1]
الأعراض والعلامات

تختلف أعراض الورم العضلي الأملس باختلاف مكانه في الجسم :
الرحم
يسبب تكوين ورم عضلي أملس في الرحم عدة أعراض منها العقم و نزيف الحيض المفرط (غزارة الطمث) مما قد ينتج عنه فقر الدم. ويعد أحد الأنواع النادرة من الأورام العضلية الملساء التي تظهر في الرحم هو الورم العضلي الشحمي ، وهو ورم حميد يتكون من خليط من الخلايا الشحميه وخلايا العضلات الملساء. وقد لوحظ ترافق ظهور الأورام العضلية الملساء في الرحم مع بعض أورام وأمراض المبيض> [2][3][4]
الجلد
يظهر الورم العضلي الأملس في الجلد بعدة أشكال هي:[5]
- ورم عضلي املس ظاهري فردي
- ورم عضلي املس متعدد وينشأ من العضلات المحركة لبصيلات الشعر وأشهر أعراضه هو الألم في مكان الورم وذلك بسبب ضغط الورم على الأعصاب المسؤولة عن الإحساس في الجلد.
- ورم عضلي املس وعائي، وينشأ من العضلات الملساء في جدار الأوعية الدموية وأشهر أعراضه هو الألم في مكان الورم وذلك بسبب انقباض جدار الوعاء الدموي المصاب مما يقلل من وصول الدم إلى الأنسجة.
- ورم عضلي املس تناسلي، وتنشأ من العضلات الملساء في الأعضاء التناسلية وغالبًا لا يسبب أية أعراض.
الأمعاء الدقيقة
الورم العضلي الأملس هو الورم الحميد الأكثر شيوعًا في الامعاء الدقيقة. وفي نصف الحالات يكون حجم الورم أقل من 5سم.
العلاج
تعد جراحة استئصال الورم هي العلاج الأساسي لحالة الأورام العضلية الملساء ويمكن استخدام الأدوية لتسكين آلام المريض فقط.[1]
المضاعفات
تختلف مضاعفات الأورام العضلية الملساء باختلاف العضو الذي توجد فيه، وفي حالة عدم التدخل العلاجي قد يؤدي نمو الورم إلى انسداد العضو أو النزيف الشديد أو تحول الورم نفسه إلى ورم خبيث.[1]
مصادر
- "ورم عضلي أملس". altibbi.com. 6-5-2013. مؤرشف من الأصل في 30 أغسطس 2014. اطلع عليه بتاريخ 04 مارس 2016. الوسيط
|CitationClass=تم تجاهله (مساعدة); تحقق من التاريخ في:|تاريخ الوصول=, |تاريخ=(مساعدة) - Pedeutour, F.; Quade, B. J.; Sornberger, K.; Tallini, G.; Ligon, A. H.; Weremowicz, S.; Morton, C. C. (2000). "Dysregulation ofHMGIC in a uterine lipoleiomyoma with a complex rearrangement including chromosomes 7, 12, and 14". Genes, Chromosomes and Cancer. 27 (2): 209–215. doi:10.1002/(SICI)1098-2264(200002)27:2<209::AID-GCC14>3.0.CO;2-U. PMID 10612811. الوسيط
|CitationClass=تم تجاهله (مساعدة) - McDonald, A. G.; Cin, P. D.; Ganguly, A.; Campbell, S.; Imai, Y.; Rosenberg, A. E.; Oliva, E. (2011). "Liposarcoma Arising in Uterine Lipoleiomyoma". The American Journal of Surgical Pathology. 35 (2): 221–227. doi:10.1097/PAS.0b013e31820414f7. PMID 21263242. الوسيط
|CitationClass=تم تجاهله (مساعدة) - Walid MS, Heaton RL. "Case report of a cervical lipoleiomyoma with an incidentally discovered ovarian granulosa cell tumor – imaging and minimal-invasive surgical procedure". GMS Ger Med Sci. 8 (26). الوسيط
|CitationClass=تم تجاهله (مساعدة) - Leiomyoma Clinical Presentation: History, Physical Examination, Causes نسخة محفوظة 24 سبتمبر 2017 على موقع واي باك مشين.
- بوابة طب
