ورم برينر
ورم برينر (بالإنجليزية: Brenner tumour) هو نوع غير شائع من أنواع سرطان المبيض التي تشمل النسيج الطلائي والضام، في الغالب يكون حميداً، لكنه قد يكون خبيثاً.[1] وغالباً ما يُكتشف صدفةً أثناء فحص الحوض أو إجراء استكشاف بطني[2]، ونادراً ما يحدث في مناطق أخرى من الجسم كالخصية.[3]
| ورم برينر | |
|---|---|
![]() صورة عيانية لسرطان المبيض. صورة عيانية لسرطان المبيض. | |
| معلومات عامة | |
| من أنواع | سرطانة الخلايا الانتقالية ، وأورام ظهارية ليفية |
مواصفاته
بالفحص الباثولوجي العياني يظهر ككتلة صلبة حادة الحواف صفراء شاحبة، في 90% من الحالات يكون أحادي الجهة، ويتنوع حجمه من أقل من 1سم (0.39 إنش) إلى 30 سم (12 إنش)، ونادراً ما يكون ورم حدياً أو خبيثاً.
التشخيص
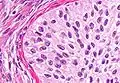
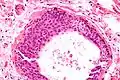
طبقاً لعلم الأنسجة، يتكون الورم من أعشاش خلوية من خلايا انتقالية نواتها بها شقوق طولية (كبذرة القهوة)، وبين الأعشاش توجد أنسجة ضامة ليفية.
ورم برينر بصبغة الهيماتوكسيلين والأيوزين
صورة لورم برينر توضح نواة بذرة القهوة بصبغة الهيماتوكسيلين والأيوزين
عش والثارد الخلوي الذي يُعتقد أنه مصدر نشوء ورم برينر بصبغة الهيماتوكسيلين والأيوزين
حالات شبيهة
سرطان الخلايا الانتقالية وهو نادر، تظهر خلايا انتقالية تشبه خلايا المثانة في المبيض، بنمط مختلف بالطبع عن نمط الأعشاش الخلوية لورم برينر الواقعة في نسيج ضام ليفي.
التسمية
أطلق فريتز برينر الاسم عام 1907[4]، واستخدم الاسم لأول مرة بواسطة روبرت ماير في 1932.[5]
المراجع
- Marwah N, Mathur SK, Marwah S, Singh S, Karwasra RK, Arora B (2005). "Malignant Brenner tumour--a case report". Indian J Pathol Microbiol. 48 (2): 251–2. PMID 16758686. الوسيط
|CitationClass=تم تجاهله (مساعدة)صيانة CS1: أسماء متعددة: قائمة المؤلفون (link) - Green GE, Mortele KJ, Glickman JN, Benson CB (2006). "Brenner tumors of the ovary: sonographic and computed tomographic imaging features". J Ultrasound Med. 25 (10): 1245–51, quiz 1252–4. PMID 16998096. مؤرشف من الأصل في 16 ديسمبر 2019. الوسيط
|CitationClass=تم تجاهله (مساعدة)صيانة CS1: أسماء متعددة: قائمة المؤلفون (link) - Caccamo D, Socias M, Truchet C (1991). "Malignant Brenner tumor of the testis and epididymis". Arch. Pathol. Lab. Med. 115 (5): 524–7. PMID 2021324. الوسيط
|CitationClass=تم تجاهله (مساعدة)صيانة CS1: أسماء متعددة: قائمة المؤلفون (link) - Lamping JD, Blythe JG (1977). "Bilateral Brenner tumors: a case report and review of the literature". Hum. Pathol. 8 (5): 583–5. doi:10.1016/S0046-8177(77)80117-2. PMID 903146. الوسيط
|CitationClass=تم تجاهله (مساعدة) - Philipp, Elliot Elias; O'Dowd, Michael J. (2000). The history of obstetrics and gynaecology. Carnforth, Lancs: Parthenon. صفحة 586. ISBN 1-85070-040-0. الوسيط
|CitationClass=تم تجاهله (مساعدة)صيانة CS1: أسماء متعددة: قائمة المؤلفون (link)
- بوابة طب
- بوابة صحة المرأة
