ورم عنقودي
الورم الحُبيبي المُقيّح[1] (بالإنجليزية: pyogenic granuloma) أو الورم العنقودي (بالإنجليزية: botryomycoma)، يُعرف أيضًا "بالورم الوعائي المُتفجّر"، و"النسيج الحبيبي-ورم وعائيّ النوع"، و"الورم الحُبيبي الحملي"، و"الورم الشعري المُفصص"، و"الورم الحَملي"، و" ورم الحمل"[2][3]). وهو آفة وعائيّة تحدث في المخاطية والجلد، وتظهر كفرط نمو في النسيج نتيجة التهيّج أو رضّ فيزيائي أو عوامل هرمونيّة.[4][5] وغالبًا ما يشمل هذا المرض اللثّة، والجلد، والحاجز الأنفي و أيضًا قد يوجد بعيدًا عن منطقة الرأس، مثل منطقة الفخذ.[6]
| ورم حبيبي مقيح | |
|---|---|
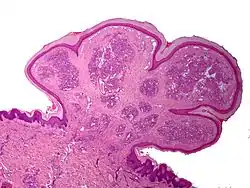
![]() صورة نسيجية لورم حبيبي مقيح صورة نسيجية لورم حبيبي مقيح | |
| معلومات عامة | |
| الاختصاص | طب الجلد |
| من أنواع | ورم حبيبي |
الأعراض والعلامات
العرض السريري
يظهر الورم الحُبيبي المُقيّح عادةً بلون متراوح بين الوردي والأحمر إلى البنفسجي أحيانًا، ويمكن أن يكون مُفصص أو مُسطّح، وتميل الآفات الأصغر أكثر لتبدو حمراء؛ بسبب العدد الكبير للأوعية الدمويّة، بينما تكون قابلية الآفات الأقدم من هذا المرض أكبر للتغيّر إلى اللون الوردي. ويتراوح الحجم بين عدّة ميليميترات إلى عدّة سينتيمترات، وهذا لا يعني أنّ الورم الحُبيبي المُقيِّح لا يمكن أن يكون أكبر، ولكن الأكثر شيوعا أن نرى الآفة بهذه القياسات. وممكن أن تكون الآفّة مؤلمة، وبشكلِ خاص عند وجودها في منطقة من الجسم بحيث تكون هذه المنطقة مضطربة دائما "غير مستقرّة". وباستطاعة الورم الحُبيبي المُقيّح النمو بسرعة، وغالبا ما ينزف بإسراف عن طريق رضّ صغير أو حتّى بدونه. وقد تتضمن بعض الحالات الورم "نضح" لمادّة زيتيّة القوام، تسبب جعل سطح الآفّة رطبا، ويحدث ذلك بشكل خاص عندما يتواجد الورم على فروة الرأس.
قد تحدث هذه الآفّة في أيّ عمر، وهناك اختلاف جنسي مُحَدّد للمرض، حيث أنّ الإناث أكثر تأثرا من الذكور. ويمكن أن تظهر الآفّة عند المرأة الحامل في الثلث الأوّل من الحمل حتّى الشهر السابع مع زيادة الوارد الدموي إلى منطقة تشكّل الآفة، وغالبا ما تُشاهَد على الحاجز الأنفي الأمامي كمصدر مألوف للنزف الأنفي، بينما الأورام اللثويّة بشكلها الحُبيبي المُقيّح هي نوع من الورم العنقودي يتشكّل فقط على اللثّة. وغالباً ما تُشاهد مُتشكّلةً في الجيب الحديث الناتج عن عملية خلع الأسنان. ويظهر الورم الحُبيبي المُقيّح على اللثّة بنسبة تصل إلى 75% من الحالات، غالبا في الفك العلوي أكثر من الفك السفلي، والمناطق الأماميّة أكثر تأثراً من المناطق الخلفيّة. ويمكن أن يتواجد هذا المرض على الشفاه، واللسان، وباطن الخدّ. وغالبا ما يؤهب سوء العناية الفموية أو الرض للورم الحبيبي المقيِّح .
وقد اقترحت دراسة ما وجود ارتباط بين الورم الحُبيبي المُقيّح والبرتونيلة إيجابيّة المصل.[7]، ولكن تلك العلاقة مازالت محل تساؤل من قِبَل آخرين.[8] ويبين المظهر المجهري للأورام الحُبيبيّة المُقيّحة نسيج وعائي مُتحبب، مع وجود التهاب، كما يمكن أن تمتلك الآفّة مظهر ليفي في حال كانت هَرمة وسطحها يحوي تقرّحات. وقد يظهر الورم الحُبيبي المُقيّح نادرا في المُلتحمة، أو القرنيّة، أو النسيج الضّام للعين حتّى بعدَ رضّ موضعي بسيط، وتكون كُتل هذه الآفات مشابهة تلك التي تظهر في الأماكن الأكثر شيوعا.
أمراض مرتبطة بالورم الحبيبي المقيح
تبعًا لظهوره على اللثّة، فغالبا ما يكون المرض مرتبطا بمرضين آخرين، وذلك نظريّا وليس بسبب ظهورهما معا. بدلاً عن ذلك، فهم مرتبطون ببعضهم البعض؛ لأنّهم يظهرون بشكل مُتفرّق على اللثّة، وهما (الورم الحُبيبي الترميمي المحيطي ذو الخلايا العملاقة) و(الورم الليفي المتعظّم المحيطي). وعلى أيّ حال، فيمكن استخدام التحاليل المفُصّلة لتمييز هذه الأمراض.[9]
توقع سير المرض والعلاج
توقع سير المرض عادةً جيّد، وبالرغم من ذلك فإنّ التنكس يمكن أن يحدث بمعدّل يصل إلى 16%، ويمكن اعتبار وجود تراكيب مخاطية الشكل في الورم الحُبيبي المُقيّح السبب الرئيسي للتنكس.[10]
على الرغم من أن الأورام الحبيبية القيحية ليست معدية أو خبيثة، إلا أن اللجوء للعلاج يكون بسبب النزيف أو التقرح. وفي كثير من الأحيان، يتم التعامل مع الأورام الحبيبية القيحية عن طريق الكيّ أو الكحت، وعادة ما يكون العلاج بالليزر باستخدام ليزر صبغي نابض أو ليزر ثاني أكسيد الكربون فعالا.[11][12]
وأثبتت عدة تقارير فعالية التطبيق الموضعي للتيمولول المضاد لمستقبلات بيتا الأدرينالية في علاج الورم الحبيبي القيحي للأطفال.[13]
عادةً لا يوجد علاج في حال ظهور الورم الحُبيبي المُقيّح خلال فترة الحمل، حيث أنّ الآفة يمكن أن تُشفى من تلقاء نفسها بشكل عفوي. وقد يوحي النزف المتكرر في الآفات الفمويّة أو الأنفيّة بحاجة مُلّحة للكحت أو الكيّ العاجل. وعلى أيّ حال، إذا كان المعيار التجميلي مطلوب، فيمكن مُتابعة العلاج أيضا. وقد تكون هناك حاجة عادة لعملية جراحية بسيطة، جنبا إلى جنب مع تنظيف الأسنان من الآفات الفموية لإزالة أي جير أو أي مصدر آخر للتهيج.
تاريخ المرض والمصطلحات
وُصِفَ الورم الحُبيبي المُقيّح للمرة الأولى عام 1897م من قِبَل الجرّاحَين الفرنسيين بونست ودوغ، اللذينِ سميّا هذه الآفة داء العنقوديّة البشريّة.[14]
إنّ اسم الورم الحُبيبي المُقيّح هو اسم مخادع، حيث أنّه ليسَ بورم حقيقي. وفي الحقيقة هو ورم وعائي شعيري من النمط المُفصص، والذي هو السبب في كونهِ عُرضةً للنزف.[5] بالإضافة لذلك فهو ليسَ مولِّدًا حقيقيًا للقيح "ليس منتجا للقيح"، حيث أن سببه هرموني أو رضّي وليسَ له علاقة بالإنتان أو إنتاج القيح.
معرض الصور
ورم حبيبي مقيح على الإصبع
ورم حبيبي على الإبهام
ورم جبيبي على الإبهام
انظر أيضًا
المراجع
- ترجمة pyogenic granuloma في المعجم الطبي الموحد.
- James, William D.; Berger, Timothy G.; et al. (2006). Andrews' Diseases of the Skin: Clinical Dermatology. Saunders Elsevier. ISBN 0-7216-2921-0. الوسيط
|CitationClass=تم تجاهله (مساعدة) - Rapini, Ronald P.; Bolognia, Jean L.; Jorizzo, Joseph L. (2007). Dermatology: 2-Volume Set. St. Louis: Mosby. ISBN 1-4160-2999-0. الوسيط
|CitationClass=تم تجاهله (مساعدة) - Freedberg, et al. (2003). Fitzpatrick's Dermatology in General Medicine. (6th ed.). McGraw-Hill. (ردمك 0-07-138076-0).
- Jafarzadeh H, Sanatkhani M, Mohtasham N (December 2006). "Oral pyogenic granuloma: a review". J Oral Sci. 48 (4): 167–75. doi:10.2334/josnusd.48.167. PMID 17220613. مؤرشف من الأصل (– Scholar search) في 16 ديسمبر 2019. اطلع عليه بتاريخ 04 يناير 2009. الوسيط
|CitationClass=تم تجاهله (مساعدة) [وصلة مكسورة] - Nthumba PM (2008). "Giant pyogenic granuloma of the thigh: a case report". J Med Case Reports 2 (1): 95. doi:10.1186/1752-1947-2-95. PMC 2329656. ببمد 18377654
- Lee J, Lynde C (2001). "Pyogenic granuloma: pyogenic again? Association between pyogenic granuloma and Bartonella". J Cutan Med Surg 5 (6): 467–70. doi:10.1007/s10227-001-0022-0. ببمد 11907853.
- Levy I, Rolain JM, Lepidi H, et al. (December 2005). "Is pyogenic granuloma associated with Bartonella infection?". J. Am. Acad. Dermatol. 53 (6): 1065–6. doi:10.1016/j.jaad.2005.08.046. PMID 16310070. مؤرشف من الأصل في 19 يونيو 2018. الوسيط
|CitationClass=تم تجاهله (مساعدة) - Salum FG, Yurgel LS, Cherubini K, De Figueiredo MA, Medeiros IC, Nicola FS (May 2008). "Pyogenic granuloma, peripheral giant cell granuloma and peripheral ossifying fibroma: retrospective analysis of 138 cases". Minerva Stomatol 57 (5): 227–32. ببمد 18496485.
- Al-shiaty, RA; Ottoman, BAE (May 2015). "Recurrent pyogenic granuloma: an update". International journal of scientific reports 1 (1): 22-31. doi:10.18203/issn.2454-2156.intjscirep20150196.
- Pagliai KA, Cohen BA. Pyogenic granuloma in children. Pediatr Dermatol. 2004;21(1):10.
- Tay YK, Weston WL, Morelli JG. Treatment of pyogenic granuloma in children with the flashlamp-pumped pulsed dye laser. Pediatrics. 1997;99(3):368.
- Wine Lee L, Goff KL, Lam JM, Low DW, Yan AC, Castelo-Soccio L. Treatment of pediatric pyogenic granulomas using B-adrenergic receptor antagonists. Pediatr Dermatol. 2014 Mar;31(2)203–7.
- Ferry AP, Zimmerman LE. Granuloma pyogenicum of limbus. Arch Ophthalmol 74:229-230, 1965.
