ورم قحفي بلعومي
الورم القحفي البلعومي أو الورم الجمجمي البلعومي[1] (بالإنجليزية: Craniopharyngioma) هو نوع نادر من أورام المخ المشتقة من الأنسجة الجنينية للغدة النخامية التي تحدث بشكل شائع عند الأطفال ولكنها تؤثر أيضًا على البالغين، قد تظهر في أي عمر حتى في الفترة السابقة للولادة وفترة حديثي الولادة، لكن معدلات الإصابة العليا تبدأ في مرحلة الطفولة من 5 إلى 14 عامًا وتبدأ من سن 50 إلى 74 عامًا،[2] قد يصاب الأشخاص بعمى ربعي ساقي باطني يؤدي إلى عمى نصفي صدغي مزدوج حيث أن الورم قد يضغط على تصالبة بصرية،[3] تختلف الأورام القحفية عن أورام فلح الراتكة والأكياس العنكبوتية داخل الخلايا.[4]
| ورم قحفي بلعومي | |
|---|---|
| معلومات عامة | |
| الاختصاص | علم الأورام |
الأعراض
الورم القحفي البلعومي دائمًا ما يكون حميدًا،[5] ومع ذلك كما هو الحال مع العديد من أورام المخ يمكن أن يكون علاجهم صعباً وترتبط الأمراض الهامة بكل من الورم والعلاج.
- الصداع (استسقاء الانسداد)
- فرط النوم
- الوذمة المخاطية
- زيادة الوزن بعد الجراحة[6]
- عطاش
- بوال (مرض السكري الكاذب)
- ضعف البصر (عمى نصفي صدغي مزدوج)
- قيء
- غالبا ما يحدث بعد العلاج قصور هرمون النمو (GH)، ويُسبب انخفاض إنتاج هرمون النمو ما يلي:
- النمو المتوقف والبلوغ المتأخر (عند الأطفال)
- التعب العام وفقدان كتلة وتوتر العضلات (عند البالغين)
- قصور الغدة النخامية
غالبًا ما يحدث إلى درجة ما لأن الأورام القحفية البلعومية تتطور في منطقة ساق الغدة النخامية والتي يمكن أن تؤثر على وظيفة الغدة النخامية[7]
- انخفاض في إنتاج البرولاكتين غير شائع للغاية ويحدث مع قصور حاد في الغدة النخامية.
- يمكن للأورام الغدة النخامية الكبيرة رفع مستويات البرولاكتين في الدم بسبب "تأثير الساق"، يحدث هذا الارتفاع نتيجة لضغط ساق الغدة النخامية والذي يتداخل مع سيطرة الدماغ على إنتاج البرولاكتين.
- في النساء قبل انقطاع الطمث يمكن أن يؤدي البرولاكتين المرتفع إلى تقليل أو فقد فترات الحيض و/ أو إنتاج حليب الثدي (ثر اللبن).
- مع تأثير الساق عادة ما تكون مستويات البرولاكتين مرتفعة قليلًا بسبب الورم البرولاكتيني التي يكون فيها مستوى البرولاكتين عادة مرتفع جدًا.
- يحدث مرض السكري الكاذب[8] بسبب عدم وجود هرمون الغدة النخامية الخلفي يسمى هرمون المضاد لإدرار البول. تشمل الأعراض:
- العطش الشديد
- التبول المفرط
- يحدث قصور الغدة الكظرية بسبب انخفاض في إنتاج ACTH وانخفاض في الكورتيزول في الحالات الشديدة يمكن أن تكون قاتلة، وتشمل الأعراض:
آليات
الورم القحفي البلعومي هو ورم نادر غالبًا ما يكون في السرج التركي[9] والذي قد يكون كيسيًا ينشأ من أعشاش الظهارة المستمدة من حافظة راتكه،[10][11] وتُعد جيبة راتكه هي مقدمة جنينية للغدة النخامية الأمامية.
الأورام القحفية عادة ما تكون أورام بطيئة جدًا في النمو، وهي تنشأ من الخلايا على طول السويقة النخامية، وتحديدًا من أعشاش الظهارة السنية المنشأ (تشكِّل الأسنان) داخل المنطقة فوق السرج التركي/ الدماغ البيني، وبالتالي تحتوي على رواسب من الكالسيوم واضحة على الأشعة السينية.
التشخيص
التصوير بالتفريس للورم القحفي البلعومي
هناك بعض الفحوصات والاختبارات التي يمكن للطبيب إجراؤها من أجل تشخيص شخص مصاب بورم قحفي بلعومي،[12] ويُعد التصوير بالرنين المغناطيسي عالي الدقة (MRI) ذا قيمة لأنه يتيح لأخصائي الأشعة العصبية رؤية الورم من زوايا مختلفة.
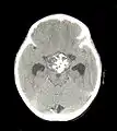
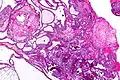
في بعض الحالات يمكن أن يساعد ماسح التصوير بالرنين المغناطيسي 3T (Tesla) القوي في تحديد موقع بنى ة الدماغ الحرجة التي تتأثر بالورم، يتكون النمط النسيجي من تداخل الظهارة الحرشفية المحاطة بخلايا مرتبة شعاعيًا، وغالبًا ما يكون مصحوبًا بترسب الكالسيوم وقد يكون له بنية حليمية مجهرية، يعد التصوير المقطعي المحوسب (CT) أيضًا أداة تشخيصية جيدة لأنه يكتشف التكلس في الورم.[13]
يتم التعرف على نوعين متميزين:[14]
- الورم القحفي البلعومي المينائي التي تشبهالأورام الأرومية المينائية (النوع الأكثر شيوعا من الأورام سنية المنشأ)، وتتميز من خلال تفعيل الطفرات CTNNB1.
- الورم القحفي البلعومي الحليمي الذي يتميز بطفرات BRAFv600E.[15]
في النوع الورمي المينائي تكون التكلسات مرئية على التصوير العصبي وتكون مفيدة في التشخيص.
نادرًا ما يتكلس النوع الحليمي، الغالبية العظمى من الورم القحفي البلعومي لدى الأطفال تكون مينائية في حين أن كلا النوعين الفرعيين شائعان في البالغين، كما تحدث أيضًا أورامًا مختلطة.[16]
في الفحص العياني تكون الأورام القحفية البلعومية إما كيسية أو جزئية مع مناطق صلبة، في ضوء الفحص المجهري يُنظر إلى الخراجات على أنها مصطنعة من ظهارة الحرشفية الطبقية، ويُمكن أيضًا أن تُرى لآلئ الكيراتين، تمتلئ الخراجات عادة بسائل لزج أصفر غني ببلورات الكوليسترول، من بين قائمة طويلة من الأعراض المحتملة تشمل العروض الأكثر شيوعًا ما يلي: الصداع وفشل النمو وعمى نصفي صدغي مزدوج.
فحص بالأشعة المقطعية يظهر ورمًا بلعوميًا قحفيًا.
التصوير بالرنين المغناطيسي المحكم لورم قحفي بلعومي T1 المعزز.
صورة مجهرية توضح السمات المميزة للأورام البلعومية القحفية المينائية - المساحات الكيسية والتكلسات والكيراتين "الرطب". بصبغة HPS.
صورة مجهرية توضح ورمًا قحفيًا بلعوميًا حليميًا بصبغة HPS.
ورم قحفي بلعومي خبيث
يُمكن إدارة الأورام القحفية البلعومية بنجاح عادةً بواسطة توليفة من الجراحة العصبية والعلاج الكيميائي المساند، تصف الأبحاث مؤخرًا التحول النادر لتلك الأورام الحميدة إلى أورام خبيثة، وتحدث الأورام القحفية البلعومية في أي عمر ولكنها أكثر شيوعًا لدى النساء وتكون عادة من النوع الورمي المينائي.[17]
يُمكن أن يستغرق التحول لورم خبيث سنوات كي يحدث (بالرغم من أن 1 كل 5 حالات مشخصّة تكون تحولات معاودة من جديد)، ولذلك كانت هناك حاجة للمتابعة المستمرة للمرضى المُشخصين بالأنواع الحميدة الشائعة.[17]
لا يوجد رابط بين الورم الخبيث والعلاج الكيميائي الأولي، ويكون معدل البقاء على قيد الحياة ضعيف بمعدل 6 أشهر بعد تشخيص خباثة المرض.[17]
الوقاية
بالرغم من أن أسباب الورم القحفي البلعومي غير معروفة لكنه يمكن أن يحدث في كل من الأطفال والبالغين وتكون قمة حدوثه في أعمار من 9 إلى 14 عامًا، يتم تشخيص حوالي 120 حالة في الولايات المتحدة سنويًا لمرضى تقل أعمارهم عن 19 عامًا، أكثر من 50% من المرضى المصابين بالورم القحفي البلعومي أعمارهم تقل عن 18 عامًا، لا يوجد ارتباط واضح بين تواجد الورم وجنس أو عرق معين، وتُعد أسباب الورم القحفي البلعومي غير معلومة حتى الآن لكن لا يبدو أنه يتوالى في العائلة أو يتوارث مباشرة من الآباء.
العلاج
يتكون العلاج عادةً من استئصال تحت جبهي أو بطريق الوتدي، يتم تنفيذ الجراحة التي تستخدم الطريق الوتدي بواسطة فريق مشترك من جراحي الأعصاب والأذن والأنف و الحنجرة،[18] وبسبب موقع الورم القحفي البلعومي بالقرب من الدماغ وقاعدة الجمجمة فإنه يُمكن استخدام نظام الجراحة بمساعدة الحاسوب للتأكد من موقع الأدوات الجراحية أثناء العملية.[19]
يُمكن أن يُستخدم العلاج الإشعاعي الإضافي أيضًا إذا كان الاستئصال الكامل ممكنًا، ونتيجة للنتائج السيئة المرتبطة بدمار الغدة النخامية والهيبوثالامس بسبب الاستئصال الجراحي والإشعاع فإن العلاجات التجريبية التي تستخدم أي من فوسفور-32 أو الإيتريوم أو البليوميسين داخل التجويف التي تصل عن طريق المخزن الخارجي تعمل أحيانًا خاصةً في المرضى الصغار، يمكن أن يسبب المرض مشاكل صحية ثانوية نظرًا لكونه في الغدة النخامية، كما يمكن أن يتعرض كل من الجهاز المناعي والغدة الدرقية وهرمون النمو والتستستيرون للخطر بسبب الورم القحفي البلعومي، يمكن أن تُعالَج جميع المشاكل الصحية السابقة بالطب الحديث،[20] لا يوجد دليل قطعي على استخدام البليوميسين في هذه الحالة.[21]
في مقالة لبريدلي وآخرين تم نشرها عام 2014 بعنوان "الورم البلعومي القحفي والعلاج بالبروتون" قاموا بجمع بيانات متوافرة ووجدوا أنَّ الدراسات التي تقيس الجرعات توحي بأن العلاج بالبروتون يوفر انخفاضًا في جرعة التراكيب الحساسة مقارنةً بالإشعاع التقليدي بالفوتون.[22]
يعد أكثر علاج فاعليةً للورم القحفي البلعومي الخبيث -والذي وُصِف في مطبوعة طبية- هو جراحة "استئصال كلية إجمالية" مع العلاج بالإشعاع والعلاج الكيميائي المساند، أظهرت عقاقير العلاج الكيميائي باكليتاكسيل وكاربوبلاتين أهمية سريرية -ولكن ليست إحصائية- في زيادة معدل البقاء على قيد الحياة لدى المرضى الذين عانوا من عمليات الاستئصال الكلية الإجمالية لأورامهم الخبيثة.[17]
المآل
تكون الأورام القحفية البلعومية عمومًا أورامًا حميدة ولكن من المعروف أنها تتكرر بعد الاستئصال، وقد أظهرت الأبحاث الحديثة ميلًا خبيثًا -ولكن نادرًا- للأورام البلعومية القحفية. هذه الأورام تكون نادرة جدًا ولكنها ترتبط بمآل سيء.[17]
المراجع
- Al-Qamoos القاموس | English Arabic dictionary / قاموس إنجليزي عربي نسخة محفوظة 17 ديسمبر 2019 على موقع واي باك مشين.
- Hermann L. Müller Endocrine Reviews, Volume 35, Issue 3, 1 June 2014, Pages 513–543, https://doi.org/10.1210/er.2013-1115
- "Craniopharyngioma". Orphanet Journal of Rare Diseases. 2: 18. 2007. doi:10.1186/1750-1172-2-18. PMID 17425791. الوسيط
|CitationClass=تم تجاهله (مساعدة) - Jennifer L. Shin, Sylvia L. Asa, Linda J. Woodhouse, Harley S. Smyth, Shereen Ezzat, The Journal of Clinical Endocrinology & Metabolism, Volume 84, Issue 11, 1 November 1999, pp3972–3982. https://doi.org/10.1210/jcem.84.11.6114
- "Craniopharyngioma: modern concepts in pathogenesis and treatment". Curr. Opin. Pediatr. 19 (4): 471–9. 2007. doi:10.1097/MOP.0b013e3282495a22. PMID 17630614. الوسيط
|CitationClass=تم تجاهله (مساعدة) - "Weight gain in craniopharyngioma--a model for hypothalamic obesity". Journal of Pediatric Endocrinology & Metabolism : JPEM. 19 (2): 121–7. 2006. doi:10.1515/jpem.2006.19.2.121. PMID 16562584. الوسيط
|CitationClass=تم تجاهله (مساعدة) - "Craniopharyngioma | UCLA Pituitary Tumor Program". pituitary.ucla.edu. مؤرشف من الأصل في 28 أكتوبر 2018. اطلع عليه بتاريخ 09 ديسمبر 2017. الوسيط
|CitationClass=تم تجاهله (مساعدة) - "Diabetes insipidus - Symptoms and causes - Mayo Clinic". www.mayoclinic.org (باللغة الإنجليزية). مؤرشف من الأصل في 30 أبريل 2019. اطلع عليه بتاريخ 09 ديسمبر 2017. الوسيط
|CitationClass=تم تجاهله (مساعدة) - "The spectrum of malignancy in craniopharyngioma". Am. J. Surg. Pathol. 31 (7): 1020–8. 2007. doi:10.1097/PAS.0b013e31802d8a96. PMID 17592268. الوسيط
|CitationClass=تم تجاهله (مساعدة) - Moore, Kraig D.; Couldwell, William T. (15 يناير 2000). "41. Craniopharyngioma". In Bernstein, Mark; Berger, Mitchel S. (المحررون). Neuro-oncology: the essentials. Endorsed by the Joint Tumor Section of the American Association of Neurological Surgeons & the Congress of Neurological Surgeons. Thieme. صفحات 409–418. ISBN 978-0-86577-880-1. مؤرشف من الأصل في 29 يوليو 2016. اطلع عليه بتاريخ 8 أغسطس 2011. الوسيط
|CitationClass=تم تجاهله (مساعدة) - "Endocrine Pathology". مؤرشف من الأصل في 20 يوليو 2017. اطلع عليه بتاريخ 08 مايو 2009. الوسيط
|CitationClass=تم تجاهله (مساعدة) - "Craniopharyngioma - Childhood: Diagnosis | Cancer.Net". Cancer.Net (باللغة الإنجليزية). 2012-06-25. مؤرشف من الأصل في 17 يونيو 2018. اطلع عليه بتاريخ 09 ديسمبر 2017. الوسيط
|CitationClass=تم تجاهله (مساعدة) - "Craniopharyngioma". UCLA Health. مؤرشف من الأصل في 28 أكتوبر 2018. الوسيط
|CitationClass=تم تجاهله (مساعدة) - "Expression of enamel proteins and LEF1 in adamantinomatous craniopharyngioma: evidence for its odontogenic epithelial differentiation". Histopathology. 45 (6): 573–9. ديسمبر 2004. doi:10.1111/j.1365-2559.2004.02029.x. PMID 15569047. الوسيط
|CitationClass=تم تجاهله (مساعدة) - Brastianos, Priscilla K.; Taylor-Weiner, Amaro; Manley, Peter E.; Jones, Robert T.; Dias-Santagata, Dora; Thorner, Aaron R.; Lawrence, Michael S.; Rodriguez, Fausto J.; Bernardo, Lindsay A. (فبراير 2014). "Exome sequencing identifies BRAF mutations in papillary craniopharyngiomas". Nature Genetics. 46 (2): 161–165. doi:10.1038/ng.2868. ISSN 1546-1718. PMID 24413733. الوسيط
|CitationClass=تم تجاهله (مساعدة) - Weiner, HL; Miller, DC; et al. (ديسمبر 1994). "Craniopharyngiomas: a clinicopathological analysis of factors predictive of recurrence and functional outcome". Neurosurgery. 35 (6): 1001–10, discussion 1010–1. doi:10.1227/00006123-199412000-00001. PMID 7885544. الوسيط
|CitationClass=تم تجاهله (مساعدة) - Sofela, AA; Hettige, S; Curran, O; Bassi, S (سبتمبر 2014). "Malignant transformation in craniopharyngiomas". Neurosurgery. 75 (3): 306–14, discussion 314. doi:10.1227/NEU.0000000000000380. PMID 24978859. الوسيط
|CitationClass=تم تجاهله (مساعدة) - "Mayfield". مؤرشف من الأصل في 7 مارس 2019. الوسيط
|CitationClass=تم تجاهله (مساعدة) - Use of surgical navigation for craniopharyngioma removal[وصلة مكسورة] "نسخة مؤرشفة". Archived from the original on 6 سبتمبر 2017. اطلع عليه بتاريخ 12 مايو 2020. الوسيط
|CitationClass=تم تجاهله (مساعدة)صيانة CS1: BOT: original-url status unknown (link) - Wisoff, JH (فبراير 2008). "Craniopharyngioma". Journal of Neurosurgery. Pediatrics. 1 (2): 124–5, discussion 125. doi:10.3171/PED/2008/1/2/124. PMID 18352780. الوسيط
|CitationClass=تم تجاهله (مساعدة) - Zheng, J; Fang, Y; Cai, BW; Zhang, H; Liu, W; Wu, B; Xu, JG; You, C (سبتمبر 19, 2014). "Intracystic bleomycin for cystic craniopharyngiomas in children". The Cochrane Database of Systematic Reviews. 9 (9): CD008890. doi:10.1002/14651858.CD008890.pub3. PMID 25233847. الوسيط
|CitationClass=تم تجاهله (مساعدة) - "TREATING PEDIATRIC TUMORS WITH PROTON THERAPY CURRENT PRACTICE, OPPORTUNITIES AND CHALLENGES". أكتوبر 2015. مؤرشف من الأصل في 2 أبريل 2019. الوسيط
|CitationClass=تم تجاهله (مساعدة)
- بوابة طب
صور وملفات صوتية من كومنز