غدة دهنية
الغدد الدُّهنية[1][2][3][4] أو الغُدد الزُهْمية[1][2][3][4][5] أو الغدد الشَّحمية[6] (بالإنجليزية: Sebaceous glands) وتُسمى أيضًا الغُدد الزيتية[2] (بالإنجليزية: Oil glands)[7]، هي غُدد مجهرية خارجية الإفراز، تتواجد في الجلد، حيث تُفرز مادة شمعية أو زيتية تُسمى الدُهْن[1] أو الزُهْم[lower-alpha 1][1] (بالإنجليزية: Sebum)، والتي تُشَحِّم وتُشمع جلد وشعر الثدييات. تتواجد الغدد الدهنية في البشر بأعدادٍ كبيرة في الوجه وفروة الرأس، وأيضًا تتواجد في جميع أجزاء الجلد ما عدا راحة اليد وأخمص القدم.[9] يُشار إلى النوع الإفرازي لهذه الغدد بالمُنفَرِزَة.
| غدة دهنية | |
|---|---|
| الاسم اللاتيني glandula sebacea | |
![]() مُخطط يُظهر جريب الشعر والغُدة الدهنية | |
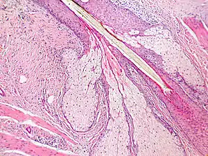
![]() مقطع عرضي في جميع طبقاتِ الجلد. جريب الشعر مع الهياكل المرتبطة بها. (الغدة الدهنية أو الزهمية في يسار المركز) مقطع عرضي في جميع طبقاتِ الجلد. جريب الشعر مع الهياكل المرتبطة بها. (الغدة الدهنية أو الزهمية في يسار المركز) | |
| تفاصيل | |
| نوع من | منفرزة |
| معرفات | |
| غرايز | ص |
| ترمينولوجيا أناتوميكا | 16.0.00.030 و A15.2.07.044 |
| FMA | 59160 |
| UBERON ID | 0001821 |
| ن.ف.م.ط. | A10.336.827 |
| ن.ف.م.ط. | D012627 |
| دورلاند/إلزيفير | 12392642 |
تُعتبر غدد ميبوميوس في الجُفون من أنواعِ الغدد الدُهنية التي تفرز نوعًا خاصًا من الدُهْن في الدموع،[10] وأيضًا غدد الهالة هي غددٌ دُهنية تُوجد في الهالة المُحيطة بحلمة الأنثى.[11] بقع فوردايس هي غدد دُهنية مُنتبذة (مغلوطة المَوضع)، تُوجد عادةً في الشفاه واللثة والوجنتين الداخليتين والأعضاء الجنسية.[9][12] هُناك ما يُسمى بالغُدد القُلْفية أو غدد تيسون، وهي غُددٌ دهنية مُعدلة،[13] تُوجد في الأعضاء التناسلية في كلا الجنسين لدى الفئران والجرذان.
هُناك العديد من الحالات الطِبية المُرتبطة، وتشمل حب الشباب المُتضمن للدُهْن والأكياس الدُهنية وفرط التَّنَسُّج والغُدُّوم الدُهني.[14] عادةً ما يُعزى السبب في جميعُ هذه الحالات إلى فرطِ نشاط الغُدد الدُهنية، حيثُ تفرز كمياتٍ زائدة من الدُهْن.[14]
الهيكل
الموقع
تُوجد الغدد الدهنية في جميع أجزاءِ الجلد باستثناء راحة اليد وأخمصِ القدم.[9] هُناك نوعين من الغدد الدُهنية، نوعٌ مٌتصلٌ بجريبات الشعرة في الوحدات الشعرية الدُهنية، ونوعٌ موجودٌ بشكلٍ مُستقل.[15]
تتواجد الغدد الدُهنية في مناطق مُغطاة بالشعر، حيثُ ترتبط في هذه المناطق مع جريبات الشعر، وقد تُحيط غُدة واحدة أو أكثر بجريب الشعرة، والغُدد نفسها مُحاطة بالعَضلة المُقِفَّة للشَّعرة.[16] تمتلك الغدد الدُهنية هيكل عُنَيبي شَبيه بالتوت كثير الفصوص، حيثُ تتفرع عدة غُدد من قناة مركزية. مقارنةً بالخلايا الكيراتينية التي تُشكل جُريبات الشعر، فإنَّ الغدد الدهنية تتكون من خلايا ضخمة ذات حويصلات كبيرة تحتوي على الدُهْن،[17] وتُظهر هذه الخلايا قنوات أيونية لأيونات الصوديوم والكلوريد، وتُظهر أيضًا قناة الصوديوم الظهارية (ENaC) ومنظم موصلية التليف الكيسي عبر الغشاء (CFTR).[17]
تُرسب الغدد الدُهْن على الشَعر، ثم تنقلهُ إلى سطح الجلد على طول ساق الشعرة. الوحدة الشعرية الدُهنية هي انغلاف بَشري يتكون من الشعرة وجريبها والعضلة المُقِقة لها والغدة الدُهنية.[15]
تتواجد الغدد الدُهنية أيضًا في مناطق خاليةٍ من الشعر في الجفون والأنف والقضيب والشفران الصغيران والحلمة والغشاء المخاطي الداخلي للوجنتين،[15] وبعضُها تمتلك أسماءً فريدة مُميزة لها، فمثلًا الغدد الدُهنية في الشفاه والغشاء المخاطي للوجنتين والأعضاء التناسلية، تُعرف باسم بقع فوردايس،[9][12] والغدد الدهنية في الجفون تُسمى بغدد ميبوميوس،[10] أما الغدد الدُهنية في الثدي فتسمى غدد الهالة (أو غدد مونتغمري).[11]
التطور
تظهر الغدد الدُهنية للمرةِ الأولى ما بين الأسبوع الثالث عشر والسادس عشر من تطور الجنين، حيثُ تظهر على شكلِ انتفاخاتٍ من جريباتِ الشعر.[18] تتطور الغدد الدهنية من الأديم الظاهر وهو نفس النسيج الذي تتطور منه بشرة الجلد.[19] يؤدي التعبير المفرط[lower-alpha 2] لعوامل التأشير Wnt وMyc وSHH إلى زيادةِ احتماليةِ وجودِ الغدد الدُهنية.[11]
تُفرز الغدد الدهنية في جنين الإنسان مادة تُسمى بالطلاء الدُهني، وهي مادة شمعية شفافة بيضاء تُغطي جلد الرُضع.[22] أما بعد الولادة، فإنَّ نشاط الغدد الدهنية يقل حتى يكاد أنَّ لا يكون لها أيُ نشاطٍ خلال الفترة العمرية من 2 إلى 6 سنوات، وبعد ذلك يزداد نشاط هذه الغدد إلى الذروة في مرحلة البلوغ؛ بسبب ارتفاع مستويات الأندروجينات.[18]
.jpg.webp)


الوظيفة

تُفرز الغدد الدهنية مادةً زيتية شَمعية تُسمى الدُهْن أو الزُهم (بالإنجليزية: Sebum) (باللاتينية: Fat) وتعني الوَدَك، وتتكون هذه المادة من ثلاثي الغليسريد وإستر الشمع وسكوالين والنواتج الأيضية للخلايا المُنتجة للدهون.[23][24] يُساعد الدُهْن في تشحيم جلد وشعر الثدييات وجَعلِها مقاومةً للماء.[25] تَلعب الإفرازات الدُهنية بالاشتراك مع الغددِ المفترزة دورًا هامًا في عمليةِ التنظيم الحراري. في الحالات الحارة، تَستَحلِبُ الإفرازاتُ العَرق الناتج عن الغدد العرقية المفرزة، وهذا بدورهِ يُنتج صحيفةً عرقية لا تُفقدُ بسهولةٍ في قطراتِ العرق، مما يساعدُ في تأخير حدوثِ الجَفاف، أما في الحالات الباردة، فإنَّ طبيعة الدُهْن تُصبحُ أكثرَ دُهنيةً وتُغطي الشعر والجلد، مما يُساعد في صدِ المطر بفعالية.[26]
يُنتج الدُهْن بعمليةٍ منفرزة، حيثُ تتمزقُ وتَتَفكك الخلايا ضمنَ الغدة الدُهنية مُطلقةً الدُهْن، وكما تُفرزُ بقايا الخلايا جنبًا إلى جنب مع الدُهن،[27][28] وفيما بعد تُستبدلُ الخلايا باستمرار بواسطة الانقسام المتساوي عندَ قاعدة القناة.[15]
الدهن

يَتكون الدُهْن (الزُهْم) الذي تفرزهُ الغدة الدُهنية في الإنسان بشكلٍ أساسي مِن ثلاثي الغليسريد (~41٪) وإسترات الشمع (~26٪) والسكوالين (~12٪) وأحماض دهنية حُرة (~16٪).[22][29] يختلف تركيب الدُهْن باختلاف أنواع الكائنات.[29] تُعتبر إسترات الشمع والسكوالين فريدةً من نوعِها في الدُهْن، ولا تنتج كمُنتجاتٍ نهائية في أيِ مكانٍ آخرٍ في الجسم.[11] حمض السابينيك هو حمض دُهني مُتعلق بالدُهْن المُفرز من الغدد العرقية، وهو فريد للبَشر، ويلعب دورًا في تطوير حب الشباب.[30] على الرغم من أنَّ الدُهْن عديم الرائحة، إلا أنَّ تكسيره بواسطه البكتيريا يُمكن أن يُنتج روائح قوية.[31]
تؤثر الهرمونات التناسلية على مُعدلِ إفرازِ الدُهْن، حيثُ تؤثر الأندروجينات مثل التستوستيرون عبر تحفيز إفراز الدُهْن، أما الإستروجينات فتثبط إفرازه.[32] يعملُ الديهدروتستوستيرون كأندروجينٍ أساسي في البروستاتا وجريبات الشَعر.[33][34]
الوظيفة المناعية والتغذية
الغُدة الدُهنية هي جُزء من الجهاز اللحافي وتُساعد في حماية الجِسم من الجراثيم، حيثُ تفرز الغُدة الدهنية أحماضًا تُشكل رداء الحمض، وهو غشاء حمضي قليلًا، رقيق جدًا، يعمل حاجزًا على سطح الجلد ضد البكتيريا والفيروسات وغيرها من المُلوثات المحتملة التي قد تخترق الجلد.[35] تبلغ درجة حموضة الجلد بين 4.5 حتى 6.2،[36] وتُساعد هذه الحُموضة على معادلةِ الطبيعةِ القلوية للمُلوثات.[37]

تُساهم الليبيدات الدُهنية مساهمةً هامة في الحفاظ على سلامةِ الحاجز الجِلدي، كما تُظهر خصائصًا سابقةً للالتهاب وأخرى مضادةً له.[38][39] قد يعمل الدُهْن كنظامٍ ناقلٍ لمضادات التأكسد ومضادات الميكروبات الليبيدية والفيرومونات ولتمييه الطبقة المتقرنة.[40] تمتلك الأحماض الدُهنية غير الذائبة الموجودة في الدُهن نشاطًا واسعًا مُضادًا للميكروبات.[40][41] علاوةً على هذا، فإنَّ إفرازات الغُدة الدهنية تُزود الطبقات العلوية لجلد الوجه بفيتامين إي.[42]
غدد دهنية فريدة
أثناءَ الأشهرِ الثلاثةِ الأخيرة من تطوير الجنين، تقومُ الغدد الدهنية في الجنين بإفراز الطلاء الدهني، وهو مادة شَمعية بيضاء تُغطي الجلد لحمايته من السائِل السلوي.[43]
تتواجد غدد الهالة في الهالة التي تُحيط بالحلمة في ثدي الإناث، حيثُ تفرز هذه العدد سائِلًا زيتي يُشحمُ الحَلمة، كما تُفرز أيضًا مُركباتٍ مُتطايرة تعمل على تحفيز حاسة الشَم في المواليد الجُدد. تُسمى هذه الغدد أثناء الحَمل والرضاعة بغدد مونتغمري، وتكون كبيرة الحجم.[44]
تُوجد غدد ميبوميوس في الجفون، وتُفرز على العين شكلًا من الدُهْن يُسمى ميبوم، حيثُ يعمل بشكلٍ أساسي على تقليل تبخر الدموع،[45] وأيضًا يُساعد في إنشاء قفل مُحكم عند إغلاق العينين، كما تُساعد جودة الدُهون فيه على منع التصاق الجفون ببعضها البعض. تُعرف غد ميبوميوس أيضًا باسم "الغدد الجفنية" و"غدد الجفن" و"غدد زايس".[46] ترتبط غدد ميبوميوس مباشرةً بجريبات أهداب العين، حيثُ تترتب طوليًا ضمن الصفائح الجفنية.
بقع فوردايس (أو حبيبات فوردايس) هي غدد دُهنية مُنتبذةَ تُوجد في الأعضاء التناسلية والغشاء المخاطي الفموي، وتظهر على شكل دخينات بيضاء مُصفرة (بقع حليبية).[47]
يتكون شمع الأذن (الصِمْلاَخ) بشكلٍ جزئي من الدُهْن المُنتج بواسطة الغدد الدهنية الموجودة بالقُرب من قناة الأذن، حيثُ أنَّ هذه الإفرازات لزجة وذات محتوى عالٍ من الليبيدات، والتي تُساعد في تَشحيم الأذن بشكلٍ جيد.[48]
الأهمية السريرية

تَدخل الغدد الدُهنية في عددٍ من المشاكل الجلدية مثل حب الشباب والتقران الشعري، كما يُمكن أن يؤدي وجود الدُهْن والكيراتين في مسامِ الجلد إلى حدوثِ سدادةٍ فرط تقرانية تُسمى الزؤان.
حب الشباب
مقالة مفصلة: حب الشباب
حب الشباب هو مشكلة شائعةً جدًا، خاصةً خلال مرحلة البلوغ لدى المراهقين، وهي ترتبط مع زيادة إنتاج الدُهْن نتيجةً لعواملَ هرمونية، كما قد تؤدي زيادةُ إنتاجهِ إلى انسداد قناةِ الغدة الدُهنية، وهذا قد يُسبب الزؤان (يُسمى أيضًا الرأس الأسود أو الرأس الأبيض)، والذي يؤدي إلى العدوى، خاصةً بالبكتيريا البروبيونية العُدية، مما يُسبب التهاب الزؤان، والذي فيما بعد يتغير إلى حب الشباب المعروف. يحدث الزؤان عادةً في المناطق كثيرة الغدد الدُهنية، وخاصةً في الوجه والأكتاف وأعلى الصدر والظهر، والزؤان قد يكون أسودًا أو أبيضًا، وذلك اعتمادًا على إذا ما كانت الوحدة الشعرية الدُهنية مُغلقة بشكلٍ كامل أم فقط الإغلاق في قناة الدُهْن.[14] عادةً ما يُخلط بين الرؤوس البيضاء والخيوط الدُهنية والتي هي عبارة عن تجمعاتٍ من صغيرة من الدُهن وخلايا الجلد الميتة حولَ جريبات الشعر.[49]
تتوافر العديد من العلاجات لحب الشباب، ابتداءً من تقليل السُكريات في الغذاء إلى العلاجِ بالأدوية والتي تتضمن المضادات الحيوية وبيروكسيد البنزويل وأشباه الراتينيات والهرمونات.[14] تُقلل أشباه الراتينيات من كمية الدُهن المُنتجة بواسطة الغدد الدُهنية.[50] في حال فشلِ العلاجات المُعتادة، فغالبًا ما تكون السبب هيَ السوسة الدويدية.[51]
أخرى
تشمل الحالات الأخرى المُتضمنة للغدد الدهنية:
- المَثّ أو السيلان الدُهني، يشير إلى فرطِ نشاط الغدد الدُهنية، مُؤديةً إلى تزيُتِ الجلد[11] أو الشعر.[31]
- فرطُ التنسج الدهني، يُشير إلى تكاثرٍ مُفرط في خلايا الغدد الدهنية، ويظهرُ مجهريًا على شكل حطاطاتٍ على الجلد، وخاصةً في جبهة الرأس والأنف والوجنتين.[52]
- التهاب الجلد الدهني، هو التهابٌ جلديٌ مزمن عادةً ما يكون بسيط، حيث يؤدي إلى تغييراتٍ في الغدد الدهنية.[53] قد يحدث التهاب الجلد الدهني في الرُضع حديثي الولادة على شكلِ قبعة المهد.
- الصَدَفية المَثِّية أو المُثَاث،[54] هي حالةٌ جلدية تتميز بوجود صدفية مُتداخلة مع التهاب الجلد الدهني.[9]:193
- الورم الغدي الدُهني أو الغدوم الدهني، هو ورم حميد بطيء النمو، نادرًا ما يكون سابقًا لمتلازمة سرطانية تُعرف باسم متلازمة موير تور.[11]
- السرطانة الدُهنية، هو ورمٌ جلدي عدوانيٌ غير شائعِ الحدوث.[55]
- الكيس الدهني، هو مُصطلحٌ يُشيرَ إلى كلٍ من الكيسة البشرانية والكيسة الشعرية، وذلك على الرغم أنَّ كلاهما لا يحتويانِ على الدُهْن، ولكن يحتويان على الكيراتين فقط، وأيضًا لا ينشأ هذا الكيس في الغدد الدهنية، وبالتالي لا تُعتبر أكياسًا دُهنيةً حقيقة. يندُرُ حدوث الكيس الدُهني الحقيقي، ويُعرف باسم الورم الكيسي الدُهني.[56]
- العُد الوردي، هي حالة جلدية تتميزُ بفرطِ نمو الغدد الدهنية.[54]
التاريخ
كلمةُ "sebaceous" تعني "يتكون من الدُهْن"، وقد استعملت للمرةَ الأولى عام 1728 وهي مُشتقة من الكلمة اللاتينية للشحم الحيواني (Tallow).[57] وُثقَ استعمالُ مُصطلح "الغدد الدُهنية" منذُ عام 1746 على الأقل بواسطةِ جان أستروك، والذي عرفها بأنها "...الغددُ التي تفصلُ الدهون."،[58]:viii وقد وصفها في تجويف الفم وعلى الرأس والجفن والأذن، ومن ثم أقرَت واعتمدت عالميًا.[58]:22–25. وصفها جان بأنها محصورة في "الحيوانات الصغيرة" حيثُ تتواجد في قنواتِ الطرح،[58]:64 ووصفَ وجودها في تجويف الفم بأنهُ ناجمٌ عن التهاب الفم القلاعي، حيثُ ذكر "تُفرز هذه الغدد طبيعيًا خلَطًا لزجًا، والذي يكون مُختلف الألوان والتماسك... وبشكلٍ طبيعي يكون خفيفًا جدًا وبلسميكيًا، ويهدفُ إلى ترطيب وتشحيم الفم"[58]:85–86. في كتابِ أساسياتِ علم وظائف الأعضاء (1834)، ذكر أندرو كومب أنَّ هذه الغدد لا تتواجد في راحة اليد أو أخمص القدم.[59]
في الحيوانات
الغدد القُلفية في الفئران والجرذان، هي غُددٌ دهنية مُعدلة كَبيرة،[13] تنتجُ الفيرومونات التي تُستعمل في تحديدِ منطقة الحيوان.[11] تمتلك هذه الغُدد بالإضافة إلى غددِ الرائحة في خواصرِ الأقداد (الهامسترات) تركيبًا مشابهًا لغدد الإنسان الدُهنية، حيثُ تستجيبُ للأندروجين، وبالتالي تستعملُ كأساسٍ في الأبحاث والدراسات.[11] بعضُ أنواعِ الخفاشيات والتي تتضمن الخفاش المكسيكي حُر الذيل، تمتلكُ غدةً دهنيةً خاصةُ توجدُ في الحلق وتسُمى "الغُدة الحلقية"،[61] وتوجدُ هذه الغدة في الذكور أكثر من الإناث، ويُفترض أنَّ إفرازاتِ هذه الغدة تستعمل كعلاماتِ الرائحة.[62]
التهاب الغدة الدهنية هو مرض مناعي ذاتي يُؤثرُ على الغدد الدُهنية، ويحدثُ غالبًا في الكلاب وخاصةً البطباط وأكيتا، ويعتقدُ بشكلٍ عام أنهُ يتبع لنمطِ الوراثة الجسمية المتنحية. وُصف هذا المرض أيضًا في القطط، ووصفَ مرةً واحدةً في الأرانب، حيثُ يؤثر على هذه الحيوانات، مؤديًا لفقدان شعرها، وذلك على الرغم من الاختلاف الكبير في طبيعة وتوزيع الشعر في هذه الحيوانات.[63]
انظر أيضًا
ملاحظات
- الزُهْم هو الشَحم، حيثُ يُسمى الشحم زُهْماً إِذا كان فيه زُهُومة، والزُهومة هي الريح المُنطلقة من اللحم السمين المُنتن.[8]
- التعبير المفرط أو فرط التعبير (بالإنجليزية: Overexpression) هو ارتفاع مُستوى التعبير الجيني بشكلٍ عالٍ غير طبيعي، والذي يؤدي إلى حدوث نمطٍ ظاهري مرتبطٍ بالجين.[20][21]
المراجع
- يُوسف حِتّي; أحمَد شفيق الخَطيب (2008). قامُوس حِتّي الطِبي للجَيب. بيروت، لبنان: مكتبة لبنان ناشرون. صفحة 376. ISBN 995310235X. الوسيط
|CitationClass=تم تجاهله (مساعدة);|access-date=بحاجة لـ|url=(مساعدة) - "معاني كلمة (Sebaceous gland) في موقع القاموس/طب". موقع القاموس. مؤرشف من الأصل في 10 فبراير 2018. اطلع عليه بتاريخ 9 فبراير 2018. الوسيط
|CitationClass=تم تجاهله (مساعدة) - "معاني كلمة (Sebaceous gland) في موقع المعاني/طب". موقع قاموس المعاني. مؤرشف من الأصل في 10 فبراير 2018. اطلع عليه بتاريخ 9 فبراير 2018. الوسيط
|CitationClass=تم تجاهله (مساعدة) - "معاني كلمة (Sebaceous gland) في البنك الآلي السعودي للمصطلحات". مدينة الملك عبد العزيز للعلوم والتقنية. مؤرشف من الأصل في 10 فبراير 2018. اطلع عليه بتاريخ 9 فبراير 2018. الوسيط
|CitationClass=تم تجاهله (مساعدة) - "معاني كلمة (Sebaceous gland) في المعجم الطبي الموحد". المعجم الطبي الموحد. مؤرشف من الأصل في 17 أبريل 2019. اطلع عليه بتاريخ 9 فبراير 2018. الوسيط
|CitationClass=تم تجاهله (مساعدة) - شفيق غربال (1965). الموسوعة العربية الميسرة. القاهرة، مصر: دار الشعب ومؤسسة فرانكلين للطباعة والنشر. الوسيط
|CitationClass=تم تجاهله (مساعدة);|access-date=بحاجة لـ|url=(مساعدة) - Anthony L. Mescher (2011). Junqueira's Basic Histology: Text and Atlas [علم الأنسجة الأساسية جونكويرا: النص وأطلس] (باللغة الإنجليزية) (الطبعة الثانية عشرة). إلزيفير. صفحة 397. ISBN 0071630201. الوسيط
|CitationClass=تم تجاهله (مساعدة);|access-date=بحاجة لـ|url=(مساعدة) - "تعريف و معنى "زُهْم" باللغة العربية في معجم المعاني الجامع والمعجم الوسيط واللغة العربية المعاصر". www.almaany.com. مؤرشف من الأصل في 28 فبراير 2018. اطلع عليه بتاريخ 28 فبراير 2018. الوسيط
|CitationClass=تم تجاهله (مساعدة) - James, William D.; Berger, Timothy; Elston, Dirk M. (2006). Andrews' Diseases of the Skin: Clinical dermatology. Saunders Elsevier. صفحة 7. ISBN 978-0-7216-2921-6. الوسيط
|CitationClass=تم تجاهله (مساعدة) - "eye, human." Encyclopædia Britannica. الأقراص المدمجة لموسوعة بريتانيكا. Chicago: Encyclopædia Britannica, 2010.
- Smith, K. R.; Thiboutot, D. M. (2007). "Thematic Review Series: Skin Lipids. Sebaceous Gland Lipids: Friend Or Foe?". Journal of Lipid Research. 49 (2): 271–281. doi:10.1194/jlr.R700015-JLR200. PMID 17975220. الوسيط
|CitationClass=تم تجاهله (مساعدة) - Scully C (2013). Oral and maxillofacial medicine : the basis of diagnosis and treatment (الطبعة 3rd). Edinburgh: Churchill Livingstone. صفحات 170, 392. ISBN 978-0-7020-4948-4. الوسيط
|CitationClass=تم تجاهله (مساعدة) - "Preputial gland - an overview - ScienceDirect Topics". www.sciencedirect.com. مؤرشف من الأصل في 13 أكتوبر 2017. اطلع عليه بتاريخ 12 فبراير 2018. الوسيط
|CitationClass=تم تجاهله (مساعدة) - Britton, the editors Nicki R. Colledge, Brian R. Walker, Stuart H. Ralston ; illustrated by Robert (2010). Davidson's principles and practice of medicine (الطبعة 21st). Edinburgh: Churchill Livingstone/Elsevier. صفحات 1267–1268. ISBN 978-0-7020-3085-7. الوسيط
|CitationClass=تم تجاهله (مساعدة) - Young, Barbra; Lowe, James S; Stevens, Alan; Heath, John W; Deakin, Philip J (مارس 2006). Wheater's Functional Histology (الطبعة 5). Elsevier Health Sciences. صفحات 175–178. ISBN 978-0-443-06850-8. الوسيط
|CitationClass=تم تجاهله (مساعدة) - David H. Cormack (1 يونيو 2001). Essential histology. Lippincott Williams & Wilkins. صفحات 1–. ISBN 978-0-7817-1668-0. مؤرشف من الأصل في 10 مارس 2020. اطلع عليه بتاريخ 15 مايو 2011. الوسيط
|CitationClass=تم تجاهله (مساعدة) - Hanukoglu I, Boggula VR, Vaknine H, Sharma S, Kleyman T, Hanukoglu A (يناير 2017). "Expression of epithelial sodium channel (ENaC) and CFTR in the human epidermis and epidermal appendages". Histochemistry and Cell Biology. 147 (6): 733–748. doi:10.1007/s00418-016-1535-3. PMID 28130590. الوسيط
|CitationClass=تم تجاهله (مساعدة) - Thiboutot, D (July 2004). "Regulation of human sebaceous glands". The Journal of Investigative Dermatology. 123 (1): 1–12. doi:10.1111/j.1523-1747.2004.t01-2-.x. PMID 15191536. الوسيط
|CitationClass=تم تجاهله (مساعدة) - LESLIE P. GARTNER; JAMES L. HIATT (2011). Concise Histology [المختصر في علم الأنسجة] (باللغة الإنجليزية). إلزيفير. صفحة 48. ISBN 9780702031144. الوسيط
|CitationClass=تم تجاهله (مساعدة);|access-date=بحاجة لـ|url=(مساعدة) - "overexpression". Oxford Living Dictionary. Oxford University Press. 2017. مؤرشف من الأصل في 20 أكتوبر 2018. اطلع عليه بتاريخ 18 مايو 2017.
The production of abnormally large amounts of a substance which is coded for by a particular gene or group of genes; the appearance in the phenotype to an abnormally high degree of a character or effect attributed to a particular gene.
الوسيط|CitationClass=تم تجاهله (مساعدة) - "overexpress". NCI Dictionary of Cancer Terms. National Cancer Institute at the National Institutes of Health. مؤرشف من الأصل في 23 يناير 2018. اطلع عليه بتاريخ 18 مايو 2017.
overexpress
الوسيط
In biology, to make too many copies of a protein or other substance. Overexpression of certain proteins or other substances may play a role in cancer development.|CitationClass=تم تجاهله (مساعدة) - Thody, A. J.; Shuster, S. (1989). "Control and Function of Sebaceous Glands". Physiological Reviews. 69 (2): 383–416. PMID 2648418. مؤرشف من الأصل في 13 نوفمبر 2017. الوسيط
|CitationClass=تم تجاهله (مساعدة) - "Exercise 15: Hair", VT.edu, 2008, webpage:Vetmed-lab15. [وصلة مكسورة]
- Lampe MA, Burlingame AL, Whitney J, Williams ML, Brown BE, Roitman E, Elias PM (1983). "Human stratum corneum lipids: characterization and regional variations". J. Lipid Res. 24 (2): 120–30. PMID 6833889. الوسيط
|CitationClass=تم تجاهله (مساعدة) - Dellmann's textbook of veterinary histology (405 pages), Jo Ann Coers Eurell, Brian L. Frappier, 2006, p.29, weblink: Books-Google-RTOC. "نسخة مؤرشفة". Archived from the original on 13 ديسمبر 2013. اطلع عليه بتاريخ 27 فبراير 2018. الوسيط
|CitationClass=تم تجاهله (مساعدة)صيانة CS1: BOT: original-url status unknown (link) - Porter AM (2001). "Why do we have apocrine and sebaceous glands?". J R Soc Med. 94 (5): 236–7. PMC 1281456. PMID 11385091. الوسيط
|CitationClass=تم تجاهله (مساعدة) - Victor Eroschenko, diFiore's Atlas of Histology with functional correlations, Lippincott Williams & Wilkins, 10th edition, 2005. p. 41
- Dorland's (2012). Dorland's Illustrated Medical Dictionary (الطبعة 32nd). Elsevier Saunders. صفحة 866. ISBN 978-0-19-856878-0. الوسيط
|CitationClass=تم تجاهله (مساعدة) - Cheng JB, Russell DW; Russell (September 2004). "Mammalian Wax Biosynthesis II: Expression cloning of wax synthase cDNAs encoding a member of the acyltransferase enzyme family" (PDF). The Journal of Biological Chemistry. 279 (36): 37798–807. doi:10.1074/jbc.M406226200. PMC 2743083. PMID 15220349. مؤرشف من الأصل (PDF) في 8 أغسطس 2017. الوسيط
|CitationClass=تم تجاهله (مساعدة) - Webster, Guy F.; Anthony V. Rawlings (2007). Acne and Its Therapy. 40. CRC Press. صفحة 311. ISBN 0-8247-2971-4. الوسيط
|CitationClass=تم تجاهله (مساعدة) - Draelos, Zoe Diana (2005). Hair care: an illustrated dermatologic handbook. London ;New York: Taylor & Francis. صفحة 26. ISBN 978-1-84184-194-6. مؤرشف من الأصل في 14 نوفمبر 2012. الوسيط
|CitationClass=تم تجاهله (مساعدة) - Sweeney, Thomas M (December 1968). "The Effect of Estrogen and Androgen on the Sebaceous Gland Turnover Time". The Journal of Investigative Dermatology. 53: 8–10. doi:10.1038/jid.1969.100. مؤرشف من الأصل في 7 فبراير 2015. الوسيط
|CitationClass=تم تجاهله (مساعدة) - Amory JK, Anawalt BD, Matsumoto AM, Page ST, Bremner WJ, Wang C, Swerdloff RS, Clark RV (June 2008). "The effect of 5alpha-reductase inhibition with dutasteride and finasteride on bone mineral density, serum lipoproteins, hemoglobin, prostate specific antigen and sexual function in healthy young men". J. Urol. 179 (6): 2333–8. doi:10.1016/j.juro.2008.01.145. PMC 2684818. PMID 18423697. الوسيط
|CitationClass=تم تجاهله (مساعدة) - Wilkinson, P.F. Millington, R. (1983). Skin (الطبعة Digitally printed version). Cambridge (GB) [etc.]: Cambridge university press. صفحة 151. ISBN 978-0-521-24122-9. الوسيط
|CitationClass=تم تجاهله (مساعدة) - Monika-Hildegard Schmid-Wendtner; Korting Schmid-Wendtner (2007). Ph and Skin Care. ABW Wissenschaftsverlag. صفحات 31–. ISBN 978-3-936072-64-8. مؤرشف من الأصل في 5 مارس 2020. اطلع عليه بتاريخ 19 يونيو 2012. الوسيط
|CitationClass=تم تجاهله (مساعدة) - Zlotogorski A (1987). "Distribution of skin surface pH on the forehead and cheek of adults". Arch. Dermatol. Res. 279 (6): 398–401. doi:10.1007/bf00412626. PMID 3674963. الوسيط
|CitationClass=تم تجاهله (مساعدة) - Schmid MH, Korting HC (1995). "The concept of the acid mantle of the skin: its relevance for the choice of skin cleansers" (PDF). Dermatology. 191 (4): 276–80. doi:10.1159/000246568. PMID 8573921. مؤرشف من الأصل (PDF) في 1 مارس 2011. الوسيط
|CitationClass=تم تجاهله (مساعدة) - Zouboulis, C. C. (2004). "Acne and Sebaceous Gland Function". Clinics in Dermatology. 22 (5): 360–366. doi:10.1016/j.clindermatol.2004.03.004. PMID 15556719. الوسيط
|CitationClass=تم تجاهله (مساعدة) - Youn, S. W. (2010). "The Role of Facial Sebum Secretion in Acne Pathogenesis: Facts and Controversies". Clinics in Dermatology. 28 (1): 8–11. doi:10.1016/j.clindermatol.2009.03.011. PMID 20082943. الوسيط
|CitationClass=تم تجاهله (مساعدة) - Mackenna, R. M. B.; Wheatley, V. R.; Wormall, A. (1950). "The Composition of the Surface Skin Fat ('Sebum') from the Human Forearm". Journal of Investigative Dermatology. 15 (1): 33–47. doi:10.1038/jid.1950.69. PMID 14774573. الوسيط
|CitationClass=تم تجاهله (مساعدة) - "Thematic Review Series: Skin Lipids. Antimicrobial lipids at the skin surface". 10 May 2011. مؤرشف من الأصل في 9 يناير 2020. الوسيط
|CitationClass=تم تجاهله (مساعدة) - Thiele, Jens J.; Weber, Stefan U.; Packer, Lester (1999). "Sebaceous Gland Secretion is a Major Physiologic Route of Vitamin E Delivery to Skin". Journal of Investigative Dermatology. 113 (6): 1006–1010. doi:10.1046/j.1523-1747.1999.00794.x. PMID 10594744. الوسيط
|CitationClass=تم تجاهله (مساعدة) - Zouboulis, Christos C.; et al. , Jens Malte; et al. (2008). "Frontiers in Sebaceous Gland Biology and Pathology". Experimental Dermatology. 17 (6): 542–551. doi:10.1111/j.1600-0625.2008.00725.x. PMID 18474083. الوسيط
|CitationClass=تم تجاهله (مساعدة) - Doucet, Sébastien; Soussignan, Robert; Sagot, Paul; Schaal, Benoist (2009). Hausberger, Martine (المحرر). "The Secretion of Areolar (Montgomery's) Glands from Lactating Women Elicits Selective, Unconditional Responses in Neonates". PLoS ONE. 4 (10): e7579. doi:10.1371/journal.pone.0007579. PMC 2761488. PMID 19851461. الوسيط
|CitationClass=تم تجاهله (مساعدة)CS1 maint: ref=harv (link) - McCulley, JP; Shine, WE (March 2004). "The lipid layer of tears: dependent on meibomian gland function". Experimental eye research. 78 (3): 361–5. doi:10.1016/s0014-4835(03)00203-3. PMID 15106913. الوسيط
|CitationClass=تم تجاهله (مساعدة) - Dorland's (2012). Dorland's Illustrated Medical Dictionary (الطبعة 32nd). Elsevier Saunders. صفحة 781. ISBN 978-0-19-856878-0. الوسيط
|CitationClass=تم تجاهله (مساعدة) - Dorland's (2012). Dorland's Illustrated Medical Dictionary (الطبعة 32nd). Elsevier Saunders. صفحة 802. ISBN 978-0-19-856878-0. الوسيط
|CitationClass=تم تجاهله (مساعدة) - Roeser, RJ; Ballachanda, BB (December 1997). "Physiology, pathophysiology, and anthropology/epidemiology of human earcanal secretions". Journal of the American Academy of Audiology. 8 (6): 391–400. PMID 9433685. الوسيط
|CitationClass=تم تجاهله (مساعدة) - Whiting, D. A. (1979). "Acne". The Western Journal of Medicine. 131 (6): 551–7. PMC 1271924. PMID 161830. الوسيط
|CitationClass=تم تجاهله (مساعدة) - Farrell LN, Strauss JS, Stranieri AM; Strauss; Stranieri (December 1980). "The treatment of severe cystic acne with 13-cis-retinoic acid. Evaluation of sebum production and the clinical response in a multiple-dose trial". Journal of the American Academy of Dermatology. 3 (6): 602–11. doi:10.1016/S0190-9622(80)80074-0. PMID 6451637. الوسيط
|CitationClass=تم تجاهله (مساعدة)صيانة CS1: أسماء متعددة: قائمة المؤلفون (link) - Zhao YE, Peng Y, Wang XL, Wu LP, Wang M, Yan HL, Xiao SX (2011). "Facial dermatosis associated with Demodex: a case-control study". J Zhejiang Univ Sci B. 12 (12): 1008–15. doi:10.1631/jzus.B1100179. PMC 3232434. PMID 22135150. الوسيط
|CitationClass=تم تجاهله (مساعدة) - James, William D.; Berger, Timothy G. (2006). Andrews' Diseases of the Skin: clinical Dermatology. Saunders Elsevier. صفحة 662. ISBN 0-7216-2921-0. الوسيط
|CitationClass=تم تجاهله (مساعدة) - Dessinioti, C.; Katsambas, A. (2013). "Seborrheic dermatitis: etiology, risk factors, and treatments: facts and controversies". Clin Dermatol. 31 (4): 343–51. doi:10.1016/j.clindermatol.2013.01.001. PMID 23806151. الوسيط
|CitationClass=تم تجاهله (مساعدة) - Rapini, Ronald P.; Bolognia, Jean L.; Jorizzo, Joseph L. (2007). Dermatology: 2-Volume Set. St. Louis: Mosby. ISBN 1-4160-2999-0. الوسيط
|CitationClass=تم تجاهله (مساعدة) - Nelson BR, Hamlet KR, Gillard M, Railan D, Johnson TM; Hamlet; Gillard; Railan; Johnson (July 1995). "Sebaceous carcinoma". J. Am. Acad. Dermatol. 33 (1): 1–15, quiz 16–8. doi:10.1016/0190-9622(95)90001-2. PMID 7601925. مؤرشف من الأصل في 27 يونيو 2018. الوسيط
|CitationClass=تم تجاهله (مساعدة)صيانة CS1: أسماء متعددة: قائمة المؤلفون (link) - Neville BW, Damm DD, Allen CA, Bouquot JE (2002). Oral & maxillofacial pathology (الطبعة 2nd). Philadelphia: W. B. Saunders. صفحة 31. ISBN 0-7216-9003-3. الوسيط
|CitationClass=تم تجاهله (مساعدة) - Harper, Douglas. "Sebaceous". Etymology Online. مؤرشف من الأصل في 1 مارس 2017. اطلع عليه بتاريخ 05 أبريل 2014. الوسيط
|CitationClass=تم تجاهله (مساعدة) - Astruc, Jean (1746). A General and Compleat Treatise on All the Diseases Incident to Children. J. Nourse. مؤرشف من الأصل في 5 مارس 2020. الوسيط
|CitationClass=تم تجاهله (مساعدة) - Rosenthal, Stanley A; Furnari, Domenica (1958). "Slide Agglutination as a Presumptive Test in the Laboratory Diagnosis of Candida Albicans1". The Journal of Investigative Dermatology. 31 (5): 251–253. doi:10.1038/jid.1958.50. PMID 13598929. الوسيط
|CitationClass=تم تجاهله (مساعدة) - Dobson, G. E. (1878). Catalogue of the Chiroptera in the collection of the British Museum. Order of the Trustees.
- Gutierrez, M., & Aoki, A. (1973). Fine structure of the gular gland of the free‐tailed bat Tadarida brasiliensis. Journal of morphology, 141(3), 293-305.
- Heideman, P. D., Erickson, K. R., & Bowles, J. B. (1990). Notes on the breeding biology, gular gland and roost habits of Molossus sinaloae (Chiroptera, Molossidae). Zeitschrift für Säugetierkunde, 55(5), 303-307.
- Lars Mecklenburg; Monika Linek; Desmond J. Tobin (15 September 2009). Hair Loss Disorders in Domestic Animals. John Wiley & Sons. صفحات 269–. ISBN 978-0-8138-1934-1. مؤرشف من الأصل في 11 مارس 2017. الوسيط
|CitationClass=تم تجاهله (مساعدة)
كتب
- Richard A. Ellis; William Montagna; Alene F. Silver (2013). The Sebaceous Glands [الغدد الدهنية] (باللغة الإنجليزية). إلزيفير. ISBN 9781483279176. الوسيط
|CitationClass=تم تجاهله (مساعدة);|access-date=بحاجة لـ|url=(مساعدة) - LESLIE P. GARTNER; JAMES L. HIATT (2011). Concise Histology [المختصر في علم الأنسجة] (باللغة الإنجليزية). Philadelphia: إلزيفير. ISBN 9780702031144. الوسيط
|CitationClass=تم تجاهله (مساعدة);|access-date=بحاجة لـ|url=(مساعدة) - Ashton Acton (2012). Sebaceous Gland Diseases [أمراض الغدد الدهنية] (باللغة الإنجليزية). إلزيفير. ISBN 9781481636711. الوسيط
|CitationClass=تم تجاهله (مساعدة);|access-date=بحاجة لـ|url=(مساعدة)
وصلات خارجية
- Sebaceous Glands في المَكتبة الوَطنية الأمريكية للطب نظام فهرسة المواضيع الطبية (MeSH).
- صور نسيجية: 08801loa — نظام تعلم علم الأنسجة في جامعة بوسطن - "جلد: فروة الرأس"
- بوابة تشريح
- بوابة طب
- بوابة علم وظائف الأعضاء



