التهاب رئوي خلالي حاد
الالتهاب الرئوي الخلالي الحاد (بالإنجليزية: Acute interstitial pneumonitis) وكذلك يسمى بذات الرئة الخلالي الحاد (بالإنجليزية: Acute interstitial pneumonia) أو متلازمة هامان ريتش (بالإنجليزية: Hamman–Rich syndrome)، هو مرض رئوي شديد ونادر، يصيب الأشخاص الأصحاء، ولا يعرف سببه ولا علاجه.
| الالتهاب الرئوي الخلالي الحاد متلازمة هامان ريتش | |
|---|---|
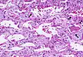
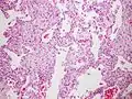
![]() صورة مجهرية لتأذي سنخي منتشر، وهو صفة نسيجية للالتهاب الرئوي الخلالي الحاد. الصورة باستخدام صبغة الهيماتوكسيلين والأيوزين. صورة مجهرية لتأذي سنخي منتشر، وهو صفة نسيجية للالتهاب الرئوي الخلالي الحاد. الصورة باستخدام صبغة الهيماتوكسيلين والأيوزين. | |
| معلومات عامة | |
| الاختصاص | طب الرئة |
| من أنواع | متلازمة الضائقة التنفسية الحادة ، ومرض رئوي خلالي ، والتهاب رئوي خلالي مجهول السبب |
يصنف الالتهاب الرئوي الخلالي الحاد ضمن التأذي السنخي المنتشر وشكل من أشكال متلازمة الضائقة التنفسية الحادة لكنه يتميز عن الأشكال المزمنة للالتهاب الرئوي الخلالي مثل التليف الرئوي المجهول السبب.[1]
معرض صور
المصادر
- Hamman L., Rich A.R. (1944). "Acute diffuse interstitial fibrosis of the lungs". Bull. Johns Hopkins Hosp. 74: 177–212. الوسيط
|CitationClass=تم تجاهله (مساعدة)
| الالتهاب الرئوي الخلالي الحاد متلازمة هامان ريتش | |
|---|---|
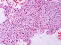
![]() صورة تمتاز بتقريب عالي تظهر انتشار الدمار في تقيح دواعم السنّ السنخي، والعلاقة النسيجية بينه وبين التهاب رئوي خلالي حاد. صورة تمتاز بتقريب عالي تظهر انتشار الدمار في تقيح دواعم السنّ السنخي، والعلاقة النسيجية بينه وبين التهاب رئوي خلالي حاد. | |
| معلومات عامة | |
| الاختصاص | طب الرئة |
| من أنواع | متلازمة الضائقة التنفسية الحادة ، ومرض رئوي خلالي ، والتهاب رئوي خلالي مجهول السبب |
الالتهاب الرئوي الخلالي الحاد هو مرض نادر يصيب الرئتين بشكل حاد وشديد، لا سبب معروف له ولا علاج، وعادةً ما يؤثر على الأشخاص الأصحاء. هو مرض ينتمي إلى عائلة الأمراض الرئوية الخلالية، وهو شكل من أشكال متلازمة الضائقة التنفسية الحادة، ولكن يتم تمييزه عن الحالات المزمنة من الالتهاب الرئوي الخلالي مثل تليّف الرئة المجهول السبب والذي يصيب النسيج الخلالي والضام، ويقلل من مرونة ومطاوعة الرئتين .[1]
الأعراض
من أكثر الأعراض شيوعاً للالتهاب الرئوي الخلالي هو سعال ينتج كميات كبيرة من البلغم مع مخاط سميك، وحمى، بالإضافة إلى صعوبات بالتنفس. بالعادة تظهر هذه الأعراض لمده أسبوع إلى أسبوعين قبل أن يكون هناك انتباه طبي للمرض. صعوبة التنفس قد تتطور إلى عدم التمكن من التنفس دون مزود للأكسجين (فشل في التنفس). التهاب الرئوي الخلالي الحاد يتطور بسرعة ويصبح إدخال المريض إلى المستشفى والتنفس الصناعي أموراً لابد منها لأيام وأسابيع بعد ظهور الأعراض الأولية كالحمى والكحة وفشل في التنفس.
التشخيص
المفتاح الأساسي هو التطور السريع من الأعراض الابتدائية (سعال-حمى-صعوبة تنفس) إلى فشل تام في عملية التنفس. تحت الأشعة السينية تظهر علامة متلازمة الضائقة التنفسية الحادة وأبرزها امتلاء الحويصلات الهوائية بالسائل في كلا الرئتين. أيضاً، عند أخذ خزعة من الرئتين فإنه يظهر على شكل ضرر سنخي منتشر. هناك اختبارات تشخيصية تسهم في استثناء حالات مشابهة، وهذه الاختبارات تتضمن اختبارات الدم وغسل القصبات والأسناخ، ولكن الصورة الإشعاعية والخزعة ضروريان. الصورة الطبية للمرض مشابهة لمتلازمة الضائقة التنفسية الحادة ولكن يختلف هذا المرض في أن سببه غير معروف.
العلاج
العلاج بشكل أساسي هو علاج دعامي، يقوم على الإدخال في وحده العناية المركزة والتزويد الدائم بالتنفس الصناعي. العلاج بالكورتيكوستيرويد لم يؤكد فعاليته لكنه قد يستخدم.العلاج الوحيد الذي أثبت كفاءته هو زراعه الرئة.
علم الأوبئة
أكثر الفئات العمرية التي تصاب بمرض التهاب الرئوي الخلالي الحاد هم ممن فوق الأربعين. يصيب هذا المرض الرجال والنساء بالتساوي. لا يوجد أي عوامل خطر معروفة، ولا يوجد أي دليل على ارتباط التدخين به.
التنبؤ بسير المرض
60% من المرضى يموتون في أول ستة أشهر من المرض.[2] العمر المتوسط هو سنة ونصف. لكن من يصاب بالمرض ويشفى منه، يستعيد وظائف الرئة بشكل كامل، وعلى الأغلب أنه لن يصاب به مره أخرى.
تاريخ المرض
كان أول من وصف المرض هو لويس هامان و أرنولد ريتش في 1935 لذلك سمي أيضا (متلازمة هامان-ريتش) .[3]
روابط خارجية
- synd/3010 على قاموس من سمى هذا؟
- 00181 على النص التشعبي التعاوني للأشعة (CHORUS)
- 1241907254 في مفكرة المُمارِس العام
- بوابة طب
مراجع
- Bouros, D; Nicholson AC; Polychronopoulos V; du Bois RM (2000). "Acute interstitial pneumonia". Eur. Respir. J. 15 (2): 412–8. doi:10.1034/j.1399-3003.2000.15b31.x. PMID 10706513. مؤرشف من الأصل في 11 ديسمبر 2019. الوسيط
|CitationClass=تم تجاهله (مساعدة) - Hamman, L; Rich AR (1935). "Fulminating diffuse interstitial fibrosis of the lungs". Transactions of the American Clinical and Climatological Association. European Respiratory Society. 51: 154–163. الوسيط
|CitationClass=تم تجاهله (مساعدة)
صور وملفات صوتية من كومنز


_Idiopathic_DAD_2.jpg.webp)
_Idiopathic_DAD.jpg.webp)
_Idiopathic_DAD_3.jpg.webp)