بانية العظم
الخلية بانية العظم (بالإنجليزية: Osteoblast) هي خلية ذات نواة واحدة تُصنّع العظم.[1][2][3] لكن عند تكوين العظام تعمل بانية العظم على هيئة مجموعة خلايا متصلة، حيث لا تستطيع الخلية الواحدة تكوين عظم. عادة ما تسمى مجموعة بانيات العظم مع العظم نفسه المكون من مجموعة خلايا بالعظمون.
| بانية العظم | |
|---|---|
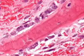
![]() بانيات العظم (بنفسجي) حواف السويقة العظمية (وردي - في قطر الصورة). في هذا النسيج الثابت والمنزوع من الكلس بشكل تلقائي (إزالة معادن العظام)، تراجعت بانيات العظم وانفصلت عن بعضها البعض وعن المصفوفة الأساسية. في العظام الحية، الخلايا مترابطة ترابطا محكما وفجويا، ومدموجة بالخلايا العظمية والمصفوفة صبغة الهيماتوكسيلين واليوزين. | |
![]() رسم توضيحي يظهر بانية عظم واحدة رسم توضيحي يظهر بانية عظم واحدة | |
| تفاصيل | |
| الاسم الإغريقي | osteoblast |
| وظيفة | تكوين العظم |
| معرفات | |
| ترمينولوجيا هستولوجيكا | H2.00.03.7.00002 |
| FMA | 66780 |
| ن.ف.م.ط. | A11.329.629 |
| ن.ف.م.ط. | D010006 |
إن بانيات العظم خلايا متخصصة ومتمايزة، مشتقة أصلا من الخلايا الجذعية الميزنكيمية. هذه الخلايا تصنع ألياف كولاجينية كثيفة وشبكية، وبروتينات متخصصة بكميات أقل، بما في ذلك الأوستيوكالسين والأوستيوبونتين، اللذان يشكلان المصفوفة العضوية للعظم.
تنتج بانيات العظم -على هيئة مجموعات منظمة من الخلايا المتصلة- الهيدروكسيل أباتيت (معدن العظام)، الذي يترسب بطريقة منظمة للغاية، في المصفوفة العضوية مكونا نسيجًا معدنيًا قويًا وكثيفًا - المصفوفة المعدنية. الهيكل العظمي المعدني هو الدعامة الرئيسية لأجسام الفقاريات التي تتنفس الهواء. إنه مخزن مهم للمعادن للتوازن الفسيولوجي بما في ذلك التوازن الحمضي القاعدي وصيانة الكالسيوم أو الفوسفات.
انظر أيضا
روابط خارجية
- William F. Neuman and Margaret W. Neuman. (1958). The Chemical Dynamics of Bone Mineral. Chicago: The University of Chicago Press. ISBN 0-226-57512-8.
- فرانك نيتتير Netter, Frank H. (1987). Musculoskeletal system: anatomy, physiology, and metabolic disorders. Summit, New Jersey: Ciba-Geigy Corporation ISBN 0-914168-88-6.
مراجع
- "معلومات عن بانية العظم على موقع zthiztegia.elhuyar.eus". zthiztegia.elhuyar.eus. مؤرشف من الأصل في 13 ديسمبر 2019. الوسيط
|CitationClass=تم تجاهله (مساعدة) - "معلومات عن بانية العظم على موقع jstor.org". jstor.org. مؤرشف من الأصل في 9 يناير 2020. الوسيط
|CitationClass=تم تجاهله (مساعدة) - "معلومات عن بانية العظم على موقع treccani.it". treccani.it. مؤرشف من الأصل في 13 ديسمبر 2019. الوسيط
|CitationClass=تم تجاهله (مساعدة)
- بوابة علم الأحياء الخلوي والجزيئي
- بوابة طب

