تعظم غشائي
التعظم الغشائي (بالإنجليزية: Intramembranous ossification)، هو واحد من عمليتين أساسيتين تحدثان أثناء التطور الجنيني ل ganthostome (باستثناء chondrichthyans مثل أسماك القرش ) ، والجهاز الهيكلي حيث بواسطته تتكون بقايا أنسجة العظم. التعظم الغشائي هو أيضا عملية ضرورية أثناء الالتئام الطبيعي لكسور العظام، والتشكيل البدائي لرأس العظم.علي العكس من التعظم داخل الغضروف ،حيث أنها عملية يتم بواسطتها تكوين أنسجة العظم خلال نمو الجنين ، الغضروف غير موجود أثناء التعظم الغشائي.[1] [2]
إنشاء أنسجة العظم
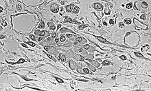
الخلايا الجذعية للحمة المتوسطة في اللحمة المتوسطة أو تجويف النخاع في العظم المكسور تقوم ببدء عملية التعظم الغشائي. الخلايا الجذعية للحمة المتوسطة هي خلايا غير متخصصة يمكنها ان تتطور الي بانيات العظم. قبل بدأها في التطور، الخصائص المورفولوجية ل MSC هي ؛ جسم الخلية الصغير، عدد قليل من البروزات الطويلة والرفيعة، نواة كبيرة مستديرة مع نوية بارزة محاطة بأجزاء كروماتين مميزة تعطي النواة مظهر واضح، وكمية صغيرة من جهاز جولجي ، شبكة اندوبلازمية خشنة، ميتكوندريا وبولي ريبوزوم. بالإضافة الي ذلك، الخلايا الجذعية للحمة المتوسطة منتشره علي نطاق واسع في المصفوفة خارج الخلايا الخالية من كل أنواع الكولاجين ماعدا القليل من الألياف الشبكية.

عملية التعظم الغشائي تبدأ عندما تبدأ مجموعة صغيرة من MSCS في التضاعف لتكوين كتلة كثيفة وصغيرة من الخلايا تدعي بؤرة مرضية.عندما تتكون البؤرة، يتوقف تضاعف MSCS بداخلها.عند هذه النقطة، التغيرات الموروفولجية في MSCs تبدأ في الحدوث في جسم الخلية ويصبح مستدير وأكبر ؛ عملية الخلايا الرقيقة والطويلة لم تعد موجودة .كمية جهاز جولجي و الشبكة الاندوبلازمية الخشنة تتزايد .في النهاية، جميع الخلايا داخل البؤرة تتطور وتقوم بعرض الخصائص المورفولوجية لخلية سليفة العظمية.

في هذه المرحلة من التطور، التغييرات في مورفولجية الخلايا سليفة العظمية تحدث، شكلها يصبح عمودي وأطول، كمية جهاز جولجي والشبكة الاندوبلازمية الخشنة تتزايد .في النهاية، جميع الخلايا داخل البؤرة تتطور وتعرض الخصائص المورفولوجية لبانيات العظم. بعد ذلك تخلق بانيات العظم مصفوفة خارج الخلية، والتي تحتوي النوع الأول من ألياف الكولاجين حيث تكون عظمية. بانيات العظم التي تغطي الجزء المحيطي للعقيدات تستمر لتكوين العظماني في منتصف البؤرة. بعض من بانيات العظم تصبح مشاركة في العظماني لكي تصبح خلية عظمية.


نظرة عامة
الخطوة الاولي في هذه العملية هي تشكيل الشويكات العظمية التي تندمج في النهاية مع بعضها كي تصبح ترابيق .يتكون السمحاق ،نمو العظم يستمر علي سطح الترابيق .مثل الكثير من الشويكات، زيادة نمو الترابيق تؤدي الي ترابط وهذه الشبكة تدعي منسوجة العظام وفي النهاية منسوجة العظام يتم استبدالها بالعظم الرقائقي.
تكوين أشواك العظام
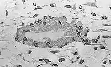
خلايا اللحمة المتوسطة الامبريولوجية (MSC) تتحول الي طبقات بدائية من الأنسجة الضامة الوعائية. بعض خلايا اللحمة المتوسطة تتحد مع بعضها عادة بالقرب من أو حول الاوعية الدموية، حيث تتمايز الي خلايا مكونة للعظم، وتترسب بدورها بالتتابع في المصفوفة. تسمي هذه التجمعات من المصفوفة العظمية شويكات العظم. خلايا اللحمة المتوسطة المتفرقة تتمايز الي بانيات العظم حيث تتراص علي طول سطح الشوكة، وتفرز المزيد من العظماني ، حيث تزيد حجم الشوكة.
تكوين منسوجة العظام
كلما استمرت الأشواك في النمو، كلما التحمت الأشواك مع المجاورة لها وهذا يؤدي الي تكوين الترابيق.عندما يتم حجز بانيات العظم في المصفوفة، سوف تتحول الي خلايا عظمية .بانيات العظم تستمر في التراصّ فوق بعضها علي السطح كي تزيد من الحجم. كلما استمر النمو، الترابيق تصبح مترابطة وتكون منسوجة العظام. مصطلح الاسفنجي البدائي تستخدم ايضا للإشارة الي شبكة تربيقية أولية.
المركز الرئيسي للتعظم
السمحاق يتكون حول الترابيق عن طريق تمايز خلايا اللحمة المتوسطة.المركز الرئيسي للتعظم عبارة عن منطقة حيث نمو العظام يحدث بين السمحاق والعظم.الخلايا المكونة للعظم التي تنشأ من السمحاق، تزيد النمو المصاقب والتي تشكل طوق العظم.طوق العظم في النهاية يصبح معدني ويتم تشكيل العظم الرقائقي.
تكوين العظمون
العظمون من المكونات، أو البنية الاساسية للعظم المضغوط (القشري). أثناء تكوين أشواك العظم، البروزات السيتوبلازمية من بانيات العظم تتواصل، وتلك ستصبح قناة العظمون. عندما تنوي الأشواك في التكوين حول الأوعية الدموية ، المساحة المحيطة بالأوعية الدموية ستقل كلما يتزايد العظم في النمو .عندما يحدث استبدال للعظم المضغوط (القشري)، تلك الأوعية الدموية ستصبح القناة الرئيسية للعظمون.
مراجع
- Brighton, Carl T. and Robert M. Hunt (1991), "Early histological and ultrastructural changes in medullary fracture callus", Journal of Bone and Joint Surgery, 73-A (6): 832-847
- فرانك نيتتير (1987), Musculoskeletal system: anatomy, physiology, and metabolic disorders. Summit, New Jersey: Ciba-Geigy Corporation (ردمك 0-914168-88-6), p.129
- بوابة طب
- بوابة علم وظائف الأعضاء