تسرب الكريات البيضاء
تسرب كريات الدم البيضاء (بالإنجليزية: Leukocyte extravasation) هو حركة خلايا الدم البيضاء من الجهاز الدوري إلى موقع التلف النسيجي أو العدوى.[1][2][3] وتشكل هذه العملية جزء من المناعة الفطرية، حيث من خلالها يتم توظيف كريات الدم البيضاء غير المتخصصة. كما أن الخلايا الوحيدة تقوم بهذه العملية أثناء تطورها إلى بلاعم من دون وجود التهاب.

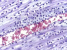
تسرب خلايا متعادلة من الوعاء الدموي إلى موقع الإصابة أو العدوى.
نظرة عامة

تسرب كريات الدم البيضاء عادة ما يحدث في الأوردة ما بعد الشعيرات الدموية حيث تكون إجهادات القص للدم ضئيلة نسبياً. وتجري عملية التسرب في عدة خطوات، ألا وهي الانجذاب الكيميائي، والالتصاق المتدحرج، والالتصاق المحكم، والانسلال.
المراجع
- "معلومات عن تسرب الكريات البيضاء على موقع meshb.nlm.nih.gov". meshb.nlm.nih.gov. مؤرشف من الأصل في 24 يوليو 2019. الوسيط
|CitationClass=تم تجاهله (مساعدة) - "معلومات عن تسرب الكريات البيضاء على موقع amigo.geneontology.org". amigo.geneontology.org. مؤرشف من الأصل في 20 أكتوبر 2017. الوسيط
|CitationClass=تم تجاهله (مساعدة) - "معلومات عن تسرب الكريات البيضاء على موقع wikiskripta.eu". wikiskripta.eu. مؤرشف من الأصل في 14 ديسمبر 2019. الوسيط
|CitationClass=تم تجاهله (مساعدة)
- بوابة علم الأحياء الخلوي والجزيئي
- بوابة طب
This article is issued from Wikipedia. The text is licensed under Creative Commons - Attribution - Sharealike. Additional terms may apply for the media files.