خلية متعادلة
العَدِلَةُ[2] أو الخلايا الحبيبية المتعادلة [3][4] (بالإنجليزية: Neutrophil granulocytes)، عادة يشار إليها بالخلايا المتعادلة (بالإنجليزية: neutrophils) هي أكثر أنواع كريات الدم البيضاء غزارة لدى الإنسان حيث تشكل ما نسبته 60-70% من كريات الدم البيضاء وتكون نواتها متعددة الفصوص وتحتوي النواة عند الإناث على الكروموسوم X الذي يكون على شكل زائدة تشبه عصا الطبل التي يضرب بها الطبال عندما يستخدم الطبلة وهي تحتوي على حبيبات متناثرة لذلك فهي تصنف على أنها من خلايا الدم البيضاء ذات الحبيبات (المحببة) وهذه الخلايا تنشأ خارج النسيج الضام ثم تأتي إليه وتبقى فيه لفترة قصيرة وهي تنصبغ بشكل متغير وتشكل قسماً رئيسيا من الجهاز المناعي ولها دور في عملية البلعمة. أتت التسمية من صفات تصبغها -أخذها للون- جراء عملية التحضير النسيجي والخلوي وذلك باستخدام الهيماتوكسيلين والإيوسين. حيث أن المكونات الخلوية المحبة للقواعد تأخذ اللون الأزرق الغامق، والمكونات المحبة للحمض تأخذ اللون الأحمر، أما المكونات المتعادلة تأخذ اللون الزهري. هذه الخلايا البالعة تتواجد في الحالات الطبيعية في مجرى الدم، وعند حدوث التهاب حاد وتحديداً نتيجة الإصابة بعدوى جرثومية تغادر الخلايا المتعادلة جهاز الدوران وتهاجر باتجاه موضع الالتهاب في عملية تدعى الجذب الكيميائي. تكون الخلايا المتعادلة غزيرة وسائدة في القيح مما يفسر لونه الأبيض المصفر. تعمل العدلات خلال ساعة من الأذية النسيجية وتعد العلامة المحددة والواسمة للالتهاب الحاد.[5]
| خلية حبيبية متعادلة | |
|---|---|
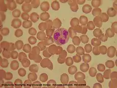
![]() الخلايا الحبيبية المتعادلة التي تحتوي على نوى مقسمة محاطة بخلايا الدم الحمراء، يمكن ملاحظة الحبيبات داخل السيتوبلازم (صورة مجهرية مصبوغة بصبغة جيمزا) | |
| تفاصيل | |
| نوع من | خلية محببة [1] |
| جزء من | مناعة فطرية |
| ترمينولوجيا هستولوجيكا | H2.00.04.1.02012 |
| FMA | 62860 |
| ن.ف.م.ط. | A11.118.637.415.583، وA11.627.340.583، وA11.733.689، وA15.145.229.637.415.583، وA15.382.490.315.583، وA15.382.680.689 |
| ن.ف.م.ط. | D009504 |

قياسات الخلايا المتعادلة

للخلايا الحبيبية المتعادلة حجم وسطي يعادل 330 فيمتوليتر وقطر يعادل 10-12 ميكرومتر وذلك في لطاخات الدم المحيطي. تشكل مع الحمضات والأسسات مجموعة الخلايا مفصصات النوى حيث تأتي هذه التسمية من صفة التفصص لنوى هذه الكريات (بالمقارنة مع اللمفاويات والوحيدات –الأنواع الأخرى للكريات البيض-). الخلايا المتعادلة هي الكريات البيض الأكثر وفرة لدى الإنسان (تقريباً 10^11 تنتج يومياً) وتشكل 70% من جميع الكريات البيض. المدى الطبيعي المحدد لتعداد كريات الدم يختلف بين المخابر، لكن تبلغ الخلايا المتعادلة وكمدى طبيعي نظامي 2.5-7.5 x 109/L. قد ينخفض العدد عند سكان أفريقيا والشرق الأوسط ومع ذلك يعتبر طبيعياً. قسّم أحد التقارير الخلايا المتعادلة إلى مفصصة وأخرى مأطورة (بالإنجليزية: band cell).
فترة الحياة
يبلغ معدل نصف عمر الخلايا المتعادلة غير المفعّلة في الدوران حوالي 4-10 ساعات. عند التنشيط، تتهمش (تتوضع بالقرب من بطانة الوعاء الدموي)، وتخضع لالتقاط معتمد على السلكتين selectin متبوعاً بالتصاق معتمد على الإنتغرين integrin في معظم الحالات، ثم تهاجر للنسج حيث تعيش ليوم أو يومين. عدد الخلايا المتعادلة أكبر بكثير من الوحيدات / بلاعم التي تعيش فترة أطول من الخلايا المتعادلة. أول البالعات مجابهة للعامل الممرض هي غالبًا الخلايا المتعادلة. بعض الخبراء يعتقدون أن فترة الحياة القصيرة للخلايا المتعادلة هي تكيف تطوري لتقليل توالد العوامل الممرضة التي تتطفل على الخلايا البالعة. كلما قضت الطفيليات فتر أكبر خارج خلية مضيفة كلما كان احتمال تدميرها من قبل أحد المكونات الدفاعية للجسم أكبر. على أية حال، نظرا لأن منتجات الخلايا المتعادلة المضادة للجراثيم تسبب ضرراً للنسج المضيفة، تميل بعض المصادر الأخرى[ما هي؟] للاعتقاد أن فترة الحياة القصيرة للخلايا المتعادلة هو تكيف للحد من الضرر للإنسان خلال الالتهاب.
الانجذاب الكيميائي
تخضع الخلايا المتعادلة لعملية تسمى بالانجذاب الكيميائي مما يسمح لها بالهجرة تجاه مكان العدوى أو الالتهاب. المستقبلات السطحية للخلية قادرة على تحديد المدروج الكيميائي للجزيئات مثل: إنترلوكين-8 (IL-8)وإنترفيرون غاما (INF-gamma) وc5a وتستخدم الخلايا هذه الجزيئات لتحديد طريق هجرتها.
الوظيفة

تحتشد الخلايا المتعادلة في مكان العدوى وذلك بسبب حركيتها العالية، وتنجذب بواسطة السيتوكينات الصادرة عن الخلايا البدينة والخلايا البطانية والبلاعم المفعلة.
البلعمة
الخلايا المتعادلة هي خلايا بالعة، قادرة على بلع المتعضيات الصغيرة والجزئيات، وقادرة على أن تُدخِل الجراثيم وتقتلها، كل عملية بلعمة تنتهي بتشكيل الجسيم البلعمي الذي تفرز بداخله إنزيمات الحلمهة ومشتقات أكسيجينية ارتكاسية. إن استهلاك الأكسجين في توليد المشتقات الأكسيجينية الارتكاسية أعطي اسم الهبة التنفسية على الرغم من أن العملية لا علاقة لها بالتنفس أو إنتاج الطاقة. الهبة التنفسية تتضمن تفعيل أنظيم NADPH oxidase الذي ينتج كمية كبيرة من فوق الأكسيد أحد المشتقات الأكسجينية الارتكاسية. يتطافر فوق الأكسيد تلقائياً أو بواسطة تحفيز أنظيمي بواسطة أنظيمات تعرف بسوبر أوكسيد دسموتاز (Cu/ZnSOD and MnSOD) ويعطي ماء أكسجيني الذي يتحول بعدها إلى حمض هيبوكلوروز HOCL (معروف أيضاً بمبيض الكلور) بتواسط أنظيم الميلوبيروكسيداز myeloperoxidase. يعتقد أن الخاصية المبيدة للجراثيم التي يتمتع بها الـHOCL كافية للقضاء على الجراثيم المبتلعة من قبل الخلية المتعادلة، ولكن ذلك ما زال نظرية لم تثبت بشكل نهائي.
إزالة الحبيبات
الخلايا المتعادلة أيضاً تطلق مجموعة من البروتينات توجد في ثلاثة أصناف من الحبيبات بواسطة عملية تسمى إزالة الحبيبات:
| نوع الحبيبة | البروتين |
| الحبيبات النوعية (الحبيبات الثانوية) | لاكتوفيرين [الإنجليزية] and كاثليسدسن |
| حبيات لازوردية(الحبيبات الأولية) | ميلوبيروكسيداز, bactericidal/permeability increasing protein (BPI), دفنسين بروتييز السيرين neutrophil elastase cathepsinكاثبسين G |
| الحبيبات الثالثية | كاثبسين, جيلاتيناز |
الشبكات الخارج خلوية
يوجد خلاف حول ما إذا كانت الخلايا المتعادلة قادرة على إفراز شباك خارج خلوية، شبكة من الألياف مكونة من كروماتين وسرين بروتياز التي تحيط وتقتل الجراثيم وهي خارج الخلية. تم اقتراح أن الشباك الخارج خلوية توفر تركيز عال خارج خلوي موضعي للمواد المبيدة للجراثيم وترتبط وتجرد وتقتل الجراثيم بدون بلعمة. بالإضافة للخصائص المحتملة المضادة للجراثيم، الشباك خارج الخلوية يمكن أن تشكل حاجز فيزيائي يمنع انتشار العامل الممرض بشكل أكبر. حديثاً بدا أن الشباك الخارج الخلوية تلعب دوراً في الأمراض الالتهابية فهي تشاهد في مقدمات الارتعاج، اضطراب التهابي مرتبط بالحمل فيه تكون الخلايا المتعادلة مفعّلة. [بحاجة لمصدر]
الوظيفة في المرض
يشار لقلة عدد الخلايا المتعادلة "بقلة الخلايا المتعادلة" ممكن لذلك أن يكون خلقي (اضطراب وراثي) أو من الممكن أن يتطور لاحقاً، كما في حالة فقر الدم اللا تصنعي أو في بعض حالات الأبيضاضات. كما يمكن أن يكون ذلك تأثيراً جانبياً لمعالجة دوائية، وبشكل ملحوظ في العلاج الكيميائي. قلة الخلايا المتعادلة تؤهب بشدة للعدوى. أخيراً قلة الخلايا المتعادلة من الممكن أن تكون نتيجة لنمو وتكاثر الطفيلي داخلها. الاضطرابات الوظيفية للخلايا المتعادلة غالباً ما تكون متوارثة. هي اضطرابات بالبلعمة أو عوز في الهبة التنفسية (كما في داء الورم الحبيبي المزمن، عوز مناعي نادر, عوز الميلوبيروكسيداز. في حالة عوز alpha-1-antitrypsin: أنزيم الخلايا المتعادلة الهام الـ إيلاستاز لا يثبط بشكل كافي بواسطة alpha-1-antitrypsin مما يؤدي إلى ضرر نسيجي مفرط في حال وجود الالتهاب، -الأكثر وضوحاً هو النفاخ الرئوي-. في حمى البحر الأبيض المتوسط العائلية، تحدث طفرة في مورثة pyrin (أو marenostrin) التي يعبر عنها بشكل رئيسي في الخلايا المتعادلة مما يؤدي وبشكل أساسي جواب طور حاد فعال وتسبب هجمات من الحمى، آلام مفصلية، التهاب صفاق، والداء النشواني.
وسائط
- هل تواجه مشكلة في رؤية الفيديو؟ انظر مساعدة الميديا.
صور إضافية
صورة لإحدى الخلايا المتعادلة(صفراء) بالمجهر الالكتروني الماسح تبتلع جرثومة جمرة خبيثة (برتقالية).
سلالة خلية دموية
السلالة بشكل تام أكثر (كبيرة).
مصادر
- معرف النموذج التأسيسي في التشريح: 62860 — تاريخ الاطلاع: 1 أغسطس 2019
- ترجمة مصطلح neutrophil الإنجليزي على موقع المعجم الطبي الموحد.
- جامعة أم القرى، تاريخ الولوج 15 نوفمبر 2014 نسخة محفوظة 08 سبتمبر 2012 على موقع واي باك مشين.
- كتاب الأحياء للصف الثاني ثانوي علمي، المملكة الأردنية الهاشمية، طبعة عام 1997، صفحة 231.
- Cohen, Stephen. Burns, Richard C. Pathways of the Pulp, 8th Edition. St. Louis: Mosby, Inc. 2002. page 465.
- بوابة طب
- بوابة تشريح
