تصلب جانبي ضموري
التصلب الجانبي الضموري (بالإنجليزية: Amyotrophic lateral sclerosis) يرمز له اختصاراً ALS) هو شكل من أشكال أمراض الأعصاب الحركية.[3][4][5] التصلب العضلي الجانبي (أحيانا يلقب Maladie de Charcot) سريع الانتشار، قاتل، يسبب ضمور الجهاز العصبي بسبب ضمور الاعصاب الحركية والخلايا العصبية في الجهاز العصبي المركزي التي تتحكم في حركة العضلات الارادية. غالبا ما يطلق على هذا المرض(Lou Gehrig's Disease) في أمريكا الشمالية بعد إصابة يانكيز النيويوركي نجم البيسبول بهذا المرض حيث تم تشخيصه في 1939 ثم توفي في 1941، عن عمر يناهز سبعة وثلاثين. اليوم، عالم الفيزياء الشهير ستيفن هوكينغ هو الأكثر شهرة بين المصابين بهذا المرض والذي توفي في 14 مارس 2018 ، ويسبب هذا المرض ضعف وضمور في جميع عضلات الجسم ويرجع ذلك لضمور الاعصاب الحركية السفلية والعلوية وبالتالي تكف عن إرسال الرسائل العصبية إلى العضلات. وتضعف العضلات تدريجيا، ولا تقوى على أداء مهامها ويفقد التحكم بجسمه، ويحدث بها اختلاجات (الرعشات غير المرئية) بسبب فقد الامداد العصبى وأحيانا ضمور هذه العضلات نتيجة فقد هذا الامداد العصبي. وقد يفقد المريض القدرة على بدء أو السيطرة على كل الحركات الإرادية ؛ بينما العضلات العاصرة للأمعاء والمثانة والعضلات المسؤولة عن حركة العين عادة (و لكن ليس دائماً) ما تنجوا من هذا التأثير.[2][3]
| التصلب العضلي الجانبي [1] | |
|---|---|
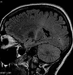
![]() This MRI (parasagittal استعادة السائل الموهن بالانقلاب) demonstrates increased T2 signal within the posterior part of the محفظة غائرة and can be tracked to the subcortical white matter of the قشرة حركية, outlining the سبيل قشري نخاعي, consistent with the clinical diagnosis of ALS.[2][2][3] This MRI (parasagittal استعادة السائل الموهن بالانقلاب) demonstrates increased T2 signal within the posterior part of the محفظة غائرة and can be tracked to the subcortical white matter of the قشرة حركية, outlining the سبيل قشري نخاعي, consistent with the clinical diagnosis of ALS.[2][2][3] | |
| معلومات عامة | |
| الاختصاص | طب الجهاز العصبي |
| من أنواع | مرض العصبون الحركي ، وتحلل عصبي |
| الإدارة | |
| أدوية | |
| التاريخ | |
| سُمي باسم | لو جيرج ، وجان مارتن شاركو |
الوظائف المعرفية عموما لا تتأثر إلا في حالات معينة كما هو الحال عندما يرتبط هذا المرض مع خرف الفص الامامي الجانبي، حيث أن بعض التقارير أوضحت أن هناك تغيرات معرفية في كثير من المرضى ترى عند اخضاعهم لبعض اختبارات النفسية العصبية. الأعصاب الحسية، والجهاز العصبي الذاتي، الذي يتحكم في وظائف مثل التعرق، عادة ما يحافظوا على وظائفهم.
لا يوجد علاج لـلحالة معروف.[6] قد يديم الدواء المسمى ريلوزول الحياة حوالي شهرين إلى ثلاثة أشهر.[6] قد يؤدي التنفس الصناعي إلى تحسين الجودة ومدة الحياة.[6] يمكن أن يصيب المرض الأشخاص في أي عمر، ولكن عادة ما يبدأ في سن الستين وفي الحالات الموروثة في سن الخمسين تقريبًا.[7] معدل البقاء على قيد الحياة من بداية المرض حتى الموت هو من سنتين إلى أربع سنوات.[6] حوالي 10 ٪ على قيد الحياة لفترة أطول من 10 سنوات.[8] يموت معظمهم من فشل في الجهاز التنفسي.[7] في معظم أنحاء العالم، معدلات المرض غير معروفة.[7] في أوروبا، يصيب المرض حوالي اثنين إلى ثلاثة أشخاص لكل 100,000 في السنة.[8]
ويعود تاريخ المرض إلى ما لا يقل عن 1824 من قبل تشارلز بيل.[9] في عام 1869، وصف جان مارتن شاركو العلاقة بين الأعراض والمشاكل العصبية الأساسية، والذي بدأ في عام 1874 باستخدام مصطلح التصلب الجانبي الضموري.[9] أصبحت معروفة في الولايات المتحدة في القرن العشرين عندما أثرت في عام 1939 على لاعب البيسبول لو جيريج وفي وقت لاحق في جميع أنحاء العالم بعد تشخيص الكوسمولوجي ستيفن هوكينج عام 1963.[10][11] في عام 2014، انتشرت مقاطع الفيديو الخاصة بتحدي دلو الثلج على الإنترنت وزاد الوعي العام بهذه الحالة.[12]
الأعراض
الأعراض الأولية
بداية المرض قد تكون غامضة وقد لا يتم الانتباه للاعراض.[13] الاعراض الأولى تشمل ضعف واضح و/ أو ضمور في العضلات. ويلي ذلك الوخز، والتقلص، أو تصلب العضلات المتأثرة ؛ وضعف عضلات الذراع أو الساق، و/ أو صعوبة الكلام أو الكلام من الانف. حيث ينتج الوخز، التقلص، وغيرها من الاعراض المرتبطة بهذا المرض نتيجة لموت الخلايا العصبية الحركية، وبالتالي إذا وجدت هذه الأعراض دون ضعف أو ضمور في العضلات المتأثرة على الارجح ليس مرض التصلب العضلي الجانبي.[14][lower-alpha 1] [16]
الأجزاء من الجسم التي تظهر عليها الاعراض الأولى تعتمد على أي الخلايا العصبية في الجسم التي أصيبت أولا. ويواجه نحو 75 ٪ من الاشخاص (بدءا من الاطراف) مرض التصلب العضلي الداخلي.[17] وفي بعض هذه الحالات تبدا الأعراض في واحدة من الساقين، حيث يشعر المرضى بالاحراج عند المشي أو الجري أو يشعرون أنهم ينطلقون أو يتعثرون أكثر من المعتاد.[18] بعض المرضى الآخرين الذين يبدأ المرض فيهم بالتأثير على طرف واحد قد يلاحظون تأثير المرض على الكف أو الذراع حيث أنهم يجدون صعوبة في أداء المهام البسيطة التي تتطلب مهارة يدوية مثل تزرير القميص، الكتابة، أو لف المفتاح في القفل. وأحيانا تظل الأعراض محصورة في طرف واحد، الأمر الذي يعرف تصلب العضلات ذو الطرف الواحد.[19]
نحو 25 ٪ من الحالات يبدأ مرض تصلب العضلات الجانبي، (ذو البداية البصلية من النخاع الشوكي). فيلاحظ هؤلاء المرضى صعوبة ملحوظة في الكلام بوضوح.[20] حيث يصبح الكلام ملعثم وغير مرتب. الكلام من الانف وفقد قوة الصوت غالبا ما تكون الأعراض الأولى. وصعوبة في البلع، ويتبع ذلك عدم المقدرة على تحريك اللسان. وأحيانا فقد النطق تماما مع عدم القدرة على حماية المجرى الهوائي عند البلع.[21]
بغض النظر عن أي الأعضاء يتأثر أولاً، فإن ضمور وضعف العضلات يمتد إلى الأجزاء الأخرى من الجسم أثناء انتشار المرض.[22] المرضى الذين يعانون من صعوبة متزايدة في الحركة، والبلع (عسر البلع)،أو التحدث أو تكوين الكلمات (التلعثم أو صعوبة التكلم). وتشمل الأعراض الناتجة عن تاثر الاعصاب الحركية العلوية تصلب العضلات (التحجر) والمبالغة في ردود الفعل بما في ذلك رد الفعل جاج المفرط. كما يشير رد الفعل الغير طبيعي الذي يدعى علامة بابينيسكي(اصبع القدم الكبير يتمدد إلى أعلى والاصابع الأخرى تنفرج عن بعضها) إلى وجود تلف في الاعصاب الحركية العليا.أما الأعراض التي تصحب تلف الاعصاب الحركية السفلى تشمل ضعف وضمور في العضلات، وتقلصات العضلات، والإحساس باختلاجات في العضلات التي يمكن رؤيتها تحت الجلد (التحزم). نحو 15-45 ٪ من المرضى بالتصلب العضلي ذو التأثير الغير صلبي والذي يعرف أيضا باسم "عدم الاستقرار العاطفي"، والذي يشمل الانفلات في الضحك، والبكاء أو الابتسام، ويعزى ذلك إلى تدهور الاعصاب الحركية الصلبية العليا مما يؤدى إلى المبالغة في التعبير الحركي عن المشاعر.[23]
حتى يتم تشخيص أي شخص بأنه مصاب بتصلب العضلات الجانبى لابد أن يعاني من أعراض وعلامات تلف كل من الاعصاب الحركية العليا والسفلى التي لا يمكن أن تعزى إلى أسباب أخرى.[24]
الأعراض الناشئة
على الرغم من أن تسلسل الأعراض الناشئة ومعدلات تقدم المرض تختلف من شخص لآخر، إلا أن المرضى في نهاية المطاف سيفقدون القدرة على الوقوف أو المشي، أو الإضجاع على أو النهوض من السرير، أو استعمال اليدين أو الذراعين. صعوبة المضغ والبلع ستعيق المريض من تناول الطعام بشكل طبيعي ويزيد من فرصة حدوث الشرقة. وبذلك يصبح الحفاظ على الوزن مشكلة.[25] لأن المرض عادة لا يؤثر على القدرات الإدراكية، فإن المرضى يدركون فقدهم التدريجي لوظائفهم، لذلك يمكن أن يصابوا بالاكتئاب والقلق. وهناك نسبة صغيرة من المرضى الذين ينتهي بهم الأمر إلى الخرف الامامي الجنبي والذي يتميز بتغييرات كبيرة في الشخصية،[26] وهذا أكثر شيوعا بين أولئك الذين لهم تاريخ عائلي من الخرم. وهناك نسبة كبيرة من المرضى تعانى من مشاكل طفيفة مع تكوين الكلمة، الانتباه، أو اتخاذ القرارات. الوظائف المعرفية يمكن أن تتأثر، كجزء من تقدم المرض وقد يرتبط بصعوبة التنفس أثناء الليل. يجب على متخصصي الرعاية الصحية أن يقوموا بشرح سير المرض ووصف خيارات العلاج المتاحة للمرضى بحيث يمكن اتخاذ قرارات مدروسة فيما بعد.[27][28]
عندما تضعف عضلات الحجاب الحاجز والعضلات البين ضلعية (القفص الصدري)، يقل كلا من كمية الهواء المتنفسة اراديا والضغط التنفسي. في النوع ذو البداية الصلبية، [29] قد يحدث هذا من قبل ظهور ضعف واضح في الأطراف. الضغط الإيجابي للممر الهوائى الثنائى (والمعروف تجاريا باسم تهوية غير باضعة) كثيرا ما يستخدم لدعم التنفس، في البداية ليلا وفيما بعد أثناء النهار أيضا. ومن المفضل قبل أن يصبح ال BiPAP غير كاف بوقت طويل، [30] يجب أن يقرر المريض ما إذا كان سيكمل بعمل شق حنجري وتنفس ميكانيكي طويل المدى. في هذه المرحلة، بعض المرضى يختارون الرعاية الديرية الملطفة. معظم مرضى تصلب العضلات الجانبي يموتون من فشل التنفس أو الالتهاب الرئوي، وليس المرض نفسه.[31]
غالبا ما يؤثر المرض على الخلايا العصبية الحركية،[32] في معظم الحالات لا ينتقص المرض من عقل مريض، أو شخصيته، أو ذكائه، أو ذاكرته. كما أنه لا يؤثر على قدرة الشخص على الرؤية والشم والتذوق، والسمع أو الإحساس باللمس.[33] السيطرة على عضلات العين هي أكثر الوظائف التي يتم الحفاظ عليها، على الرغم من أن بعض المرضى الذين أصيبوا بالمرض منذ فترة طويلة جدا (+ 20 عاما) قد يفقد السيطرة على التحكم في العين أيضا. على عكس التصلب المتعدد، التحكم في المثانة والامعاء عادة ما يتم الحفاظ عليهم هنا، على الرغم، نتيجة لعدم الحركة وتغيير النظام الغذائي، قد تحدث بعض مشاكل الأمعاء مثل الإمساك والذي يتطلب عناية مكثفة.[34]
السبب وعوامل الخطر
العلماء لم يجدوا سببا محددا لهذا المرض وبداية المرض ترتبط ذلك بعوامل عدة، منها : فيروس ؛ التعرض لسم عصبى أو للمعادن الثقيلة ؛ عيوب في الحمض النووي ؛ عيوب في جهاز المناعة ؛ عوامل مهنية مثل الخدمة العسكرية والنخبة الرياضية : وعيوب في الانزيمات. العمليات الجراحية التي تشمل الحبل الشوكي يعتقد أن تلعب دورا في ظهور المرض بسبب اضطراب عمل الألياف العصبية.[35] هناك عوامل وراثية واضحة في النوع العائلي من المرض، إلا أنه لا يوجد أي عنصر وراثي واضح في 90-95 ٪ من الحالات والتي تشخص على أنها حالات فردية. هناك خلل جينى موروث على الكروموسوم 21 موجود في حوالي 20 ٪ من الحالات العائلية للمرض وهذا التحور يعتقد أن يكون تحور قاهر على الجين. المرضى الذين يعانون من النوع العائلى للمرض، أطفالهم أكثر عرضة للإصابة بالمرض، بينما أقارب المرضى الذين أصيبوا بالنوع الفردى من المرض ليس لديهم عوامل خطورة لاكتساب لمرض أكثر من عموم الناس.[36]
هناك بعض العوامل المرجح انها تكون سببا في زيادة نسبة الإصابة في غرب المحيط الهادئ. التعرض لفترات طويلة للسم العصبي الموجود في الطعام المسمى (BMAA) هو عامل الخطر المشتبه به في غوام ؛ هذا السم العصبي هو مركب موجود في البذور السيكاد(سيكاد مستدير) وهو نبات استوائى موجود في غوام، والذي استخدم في الغذاء البشري خلال الخمسينات وأوائل الستينات.
الارتفاع الشديد في معدل انتشار المرض بين لاعبي كرة القدم الإيطاليين (أكثر من خمس مرات أعلى من المتوقع) أثارت القلق من احتمال وجود صلة بين المرض واستخدام مبيدات الآفات في ملاعب كرة قدم.[37][38] العديد من الدراسات العلمية [39][40][41][42] وقد وجدت ارتباطات دالة إحصائيا بين ALS وبعض المبيدات الزراعية.
و وفقا لرابطة مرض تصلب العضلات الجانبى، قدامى المحاربين كانوا معرضين أكثر لاكتساب المرض. حيث ذكرت الرابطة في تقرير لها "تصلب العضلات الجانبى والجيش " أن قدامى المحاربين معرضين حوالي 60 ٪ لاكتساب المرض أكثر من جموع الناس.و بالنسبة للمحاربين في حرب الخليج، فان فرصة اكتساب المرض ضعف الجنود الآخرين هذا ما أقرته دراسة مشتركة قامت بها إدارة شؤون قدامى المحاربين ووزارة الدفاع.
قد تبين في عدة دراسات، أن إضافة الأحماض الدهنية الغير مشبعة للطعام تقلل من مخاطر الإصابة بالمرض.
وراثة
يمكن تصنيف المرض على أنه عائلي أو متقطع، اعتمادًا على ما إذا كان هناك تاريخ عائلي للمرض أم لا.[43] لا يوجد إجماع بين أطباء الأعصاب على التعريف الدقيق لـلتصلب الجانبي الضموري العائلي. التعريف الأكثر صرامة هو أن الشخص المصاب بمرض تصلب العضلات الجانبى يجب أن يكون لديه أقارب أو أكثر من الأقارب من الدرجة الأولى (الأطفال، الأشقاء، أو الآباء) الذين لديهم أيضا تصلب العضلات الجانبى.[44] التعريف الأقل صرامة هو أن الشخص المصاب بمرض تصلب العضلات الجانبى يجب أن يكون له قريب واحد على الأقل من الدرجة الأولى أو من الدرجة الثانية (الأجداد، الأحفاد، العمات، الأعمام، أبناء الأخ، البنات أو نصف الأشقاء) الذين لديهم أيضا تصلب العضلات الجانبى.[45] عادة ما يقال أن تصلب العضلات الجانبى العائلي يمثل 10 ٪ من جميع حالات تصلب العضلات الجانبى، على الرغم من أن التقديرات تتراوح من 5 ٪ [46] إلى 20 ٪.[47] تستخدم التقديرات الأعلى تعريفاً أوسع لمرض الاعتلال الصدري العائلي وتفحص تاريخ العائلة للأشخاص المصابين بمرض تصلب العضلات الجانب أكثر شمولاً.[48]
وقد ارتبط أكثر من 20 جين مع تصلب جانبي ضموري العائلي، منها أربعة تمثل غالبية الحالات العائلية:[49] C9orf72 (40٪) ، SOD1 (20٪) ، FUS (1-5٪) ، و TARDBP (1–) 5٪). [16] يتم فهم جينات مرض التصلب العصبي العائلي بشكل أفضل من وراثيات متلازمة التصلب العصبي المتقطع؛[50] واعتبارًا من عام 2016 ، أوضحت جينات تصلب جانبي ضموري المعروفة حوالي 70٪ منتصلب جانبي ضموريالعائلي وحوالي 15٪ من تصلب جانبي ضموري المتقطع.[51][52] بشكل عام، لدى الأقارب من الدرجة الأولى لفرد مصاب بمرض تصلب العضلات الجانبى خطر الإصابة بنسبة تصل إلى 1 ٪ لتطور المرض.[53][54] لدى تصلب جانبي ضموري طريقة موروثة للانتقال، وهذا يعني أن الطفرات في جينات أو أكثر مطلوبة لتسبب المرض.[55]
العوامل البيئية
حيث لا يوجد تاريخ عائلي للمرض - حوالي 90 ٪ من الحالات - لا يوجد سبب معروف. الروابط المحتملة التي لا تحتوي على أدلة غير حاسمة تشمل الخدمة العسكرية والتدخين.[56] على الرغم من أن الدراسات حول التاريخ العسكري وحدوث تصلب جانبي ضموري غير متناسقة، فهناك دليل ضعيف على وجود علاقة إيجابية.[57] تشمل العوامل المقترحة المختلفة التعرض للسموم البيئية (المستنتجة من دراسات الانتشار الجغرافي)، وكذلك تعاطي الكحول والتبغ أثناء الخدمة العسكرية.[57]
في دراسة عام 2017 من قبل مراكز الولايات المتحدة للسيطرة على الأمراض والوقاية منها والتي تحلل الوفيات الأمريكية في الفترة من 1985 إلى 2011، [58] كانت المهن المرتبطة بوفاة ALS من ذوي الياقات البيضاء، مثل الوظائف الإدارية والمالية والمعمارية والحاسوبية والقانونية والتعليمية.[59] تبقى عوامل الخطر المحتملة الأخرى غير مؤكدة، بما في ذلك التعرض الكيميائي، التعرض للمجال الكهرومغناطيسي، المهنة، الصدمة الجسدية، والصدمة الكهربائية.[60][61] هناك ارتباط مؤقت مع التعرض لمبيدات الآفات المختلفة، بما في ذلك المبيدات الحشرية التي تحتوي الكلور العضوي organochlorine ألدرين، الديلدرين، DDT ، والتوكسافين.[62][63][64]
إصابة الرأس / الصدمة
وجدت مراجعة أجريت في عام 2015 أن إصابة الدماغ المتوسطة والصعبة هي عامل خطر لمرض تصلب العضلات الجانبى، ولكن ما إذا كانت إصابات الدماغ المصابة بارتفاع في معدلات الإصابة غير واضحة.[65] وجد التحليل التلوي لعام 2017 وجود علاقة بين إصابات الرأس و ALS. ومع ذلك، اختفت هذه الرابطة عندما اعتبر المؤلفون إمكانية وجود علاقة سببية عكسية، وهي فكرة أن إصابات الرأس هي أعراض مبكرة لـ ALS غير المشخصة، بدلاً من سبب المرض.[66]
النشاط البدني
لم تجد مراجعة منهجية عام 2005 أي علاقة بين مقدار النشاط البدني وخطر الإصابة بتطور المرض، لكنها وجدت أن النشاط البدني المتزايد لوقت الفراغ كان مرتبطا بقوة بعمر مبكر من بداية الإصابة بمرض تصلب العضلات الضموري.[67] وخلصت مراجعة عام 2007 إلى أن النشاط البدني ربما لم يكن عاملاً خطيراً في الإصابة بمرض تصلب العضلات الضموري.[68] وجدت مراجعة أجريت في عام 2009 أن الأدلة على النشاط البدني كعامل خطر لـ ALS كانت محدودة، ومتضاربة، ونوعية غير كافية للوصول إلى استنتاج قاطع.[69] وخلص استعراض عام 2014 إلى أن النشاط البدني بشكل عام ليس عامل خطر لمرض تصلب العضلات الجانبى،.[70] ومن المحتمل أن تكون كرة القدم وكرة القدم الأمريكية مرتبطة بـ ALS، وأنه لم يكن هناك ما يكفي من الأدلة لتوضيح ما إذا كانت المهن الجسدية مرتبطة بمرض تصلب العضلات الجانبى أم لا. وجدت مراجعة عام 2016 أن الأدلة غير حاسمة وأشارت إلى أن الاختلافات في تصميم الدراسة تجعل من الصعب مقارنة الدراسات، لأنها لا تستخدم نفس مقاييس النشاط البدني أو نفس المعايير التشخيصية لـ ALS.[71]
الرياضة
وقد تم تحديد كل من كرة القدم وكرة القدم الأمريكية كعوامل خطر لـ ALS في العديد من الدراسات، على الرغم من أن هذا الارتباط يعتمد على أعداد صغيرة من حالات المرض.[72] وجدت دراسة أترابية عام 2012 استعادية من 3,3939 لاعبي اتحاد كرة القدم الأميركي السابق أن خطر الوفاة من أسباب العصبية كان أعلى ثلاث مرات من سكان الولايات المتحدة العامة، وكان خطر الوفاة من المرض أو مرض الزهايمر أربعة أضعاف.[73] ومع ذلك، تم حساب هذا الخطر المتزايد على أساس وفاة اثنين من مرض الزهايمر وستة وفيات من المرض من أصل 334 حالة وفاة في هذه المجموعة، وهذا يعني أن هذه الدراسة لا تثبت بشكل قاطع أن لعب كرة القدم الأمريكية هو عامل خطر ل ALS.[65][74][75] بعض لاعبي اتحاد كرة القدم الأميركي الذين يُعتقد أنهم ماتوا من مرض التصلب الجانبي الضموري قد يكون لديهم بالفعل اعتلال دماغي مزمن (CTE)، وهو اضطراب تنكسي عصبي مرتبط بإصابات متعددة في الرأس يمكن أن تظهر مع أعراض مشابهة جدًا لـ ALS.[76]
التدخين
ربما يرتبط التدخين مع المرض. خلصت مراجعة عام 2009 إلى أن التدخين كان عامل خطر قائم للإصابة بمرض تصلب العضلات الضموري.[77] استنتجت المراجعة المنهجية والتحليل التلوي لعام 2010 أنه لم يكن هناك ارتباط قوي بين التدخين و ALS، لكن التدخين قد يكون مرتبطا بزيادة خطر الإصابة بمرض تصلب العضلات الجانبى عند النساء.[78] استنتج التحليل التلوي لعام 2011 أن التدخين يزيد من خطر الإصابة بمرض تصلب العضلات الجانبى مقابل التدخين. من بين المدخنين، الأصغر سناً الذين بدأوا التدخين، كلما زاد احتمال حصولهم على المرض. ومع ذلك، فإن عدد السنوات التي يدخن فيها ولا عدد السجائر التي يدخنونها يوميا يؤثر على خطر الإصابة بتصلب العضلات الضموري.[79]
الفيسيولوجيا المرضية (التغيرات الفسيولوجية الناتجة عن المرض)
SOD1
سبب مرض تصلب العضلات الجانبى غير معروف، وإن كان هناك خطوة هامة نحو الإجابة على هذا التساؤل جاءت في عام 1993 عندما اكتشف العلماء ان الطفرة التي تحدث في الجين الذي ينتج انزيم النحاس / الزنك الفائق الاكسجة (SOD1) ترتبط ببعض الحالات (20 في المائة تقريبا) من تصلب العضلات العائلى. هذا الانزيم مضاد للأكسدة قوى حيث يحمي الجسم من الأضرار التي يسببها المؤكسدات الفائقة، والذرات والجزيئات السامة الحرة. الذرات والجزيئات الحرة هي جزيئات عالية التفاعل تنتجها الخلايا الطبيعية خلال عملية التمثيل الغذائي. هذه الجزيئات الحرة يمكن أن تتراكم وتسبب ضررا للحامض النووي والبروتينات داخل الخلايا. على الرغم من أنه ليس من الواضح بعد كيف ان الطفرة التي تحدث للجين SOD1 تؤدي إلى ضمورالاعصاب الحركية، رجح الباحثون أن تراكم الجزيئات الحرة قد تنجم عن عيوب في عمل هذا الجين. إلا أن البحوث الجارية، تشير إلى أن موت الاعصاب الحركية من غير المرجح أن يكون نتيجة لفقد أو تشوه نشاط الانزيم المضاد للاكسدة، مرجحين أن الجين SOD1 المشوه قد يسبب التسمم بطريقة أخرى (كسب وظيفة).[80][81]
الدراسات الجينية التي اجريت على الفئران المحورة جينيا قد أسفرت عن العديد من النظريات حول دور SOD1 في طافرة SOD1 تصلب العضلات الجانبي العائلي. الفئران التي تفتقر تماما لجين SOD1 لا تصاب بالمرض كلية، على الرغم من أنها تصاب بضمور العضلات المتعلق بالسن سريعا(ضمور اللحم)، ويموتون سريعا(تابع مقالة الفائق للاكسجة). وهذا يدل على أن الخصائص السامة للSOD1 المشوه هي نتيجة للحصول على وظيفة وليس فقدان وظيفة. بالإضافة إلى ذلك، فقد وجد أن تجمع البروتينات هي سمة مرضية مشتركة بين النوعين العائلى والفردى من المرض (تابع مقالة عن امراض البروتين). مما يثير الاهتمام، أنه وجد في الفئران الذين بهم SOD1 المشوه تجمعات من الجين المشوه في الانسجة المريضة، وكميات أكبر وجدت عنما يحدث الضمور في الخلايا العصبية الحركية. وقد وجد أن وجود تجمعات من الجين المشوه تؤدى إلى اضطراب في الوظائف الخلوية من خلال تدمير الميتوكوندريا، البروتيزومس، مرافقين طى البروتينات وغيرها من البروتينات. أي اضطراب، إن صح، سوف يتضفي مصداقية كبيرة للنظرية التي تقول أن هذه التجمعات بسبب سمية الجين المشوه.وقد لاحظ النقاد على أن في البشر SOD1 المشوه لا يسبب سوى 2 ٪ من مجمل الحالات والعوامل المسببة قد تختلف عن هؤلاء المسؤولين عن الحالات الفردية من المرض. حتى الآن، لا يزال نموذج الفأر المصاب بتصلب العضلات الجانبى ذو الطفرة في الجين SOD1 هو أفضل نموذج للدراسات على المرض ولكن الأمل معقود على أن تطوير نماذج أكثر فائدة.
عوامل أخرى
كما أن الدراسات أيضا ركزت على دور الجلوتامات في ضمور الخلايا العصبية الحركية. الجلوتامات هي واحدة من الرسائل الكيميائية أو سعاة الارسال العصبية في المخ. وقد وجد العلماء، بالمقارنة مع الأشخاص الأصحاء، أن مستويات الجلوتامات في الدم والسائل الشوكي أعلى في مرضى تصلب العضلات الجانبى. وقد أثبتت الدراسات المعملية أن الخلايا العصبية تموت عندما تتعرض لفترات طويلة لكميات مفرطة من الجلوتامات (تسمم الاثارة). الآن، العلماء يحاولون فهم الآليات التي تؤدي إلى تراكم الجلوتامات الزائد في السائل الشوكي وكيف يسهم هذا الخلل في حدوث المرض. فشل خلايا الاستروسيت في التخلص من الجلوتامات الموجود في السوائل الخارجية التي تحيط بالخلايا العصبية قد يكون السبب في حدوث ضمور الخلايا العصبية.
ريلوزول حاليا هو العقار الوحيد الذي حصل على اجازة من منظمة الاغذية والدواء وهو يستهدف ناقلات الجلوتامات. التأثير المتواضع جدا للعقار عزز النظرية التي تقول بأن الجلوتامات ليس السبب الرئيسي للمرض. المضاد الحيوي سيفترياكسون أظهر تأثير له غير متوقع على الجلوتامات وبدا ذو فائدة في علاج مرضى تصلب العضلات الجانبى. ويتم اجراء الاختبارات الآن على سيفترياكسون.
الاستجابات الذاتية التي تحدث عندما يهاجم جهاز المناعة خلايا الجسم العادية، من المرجح أن تكون واحدة من الأسباب الممكنة لضمور الخلايا العصبية الحركية في مرض تصلب العضلات الجانبى. يظن بعض العلماء أن الأجسام المضادة قد تضر بشكل مباشر أو غير مباشر وظيفة الخلايا العصبية الحركية، عن طريق التدخل في نقل الإشارات بين المخ والعضلات. الأدلة الحديثة تشير إلى أن الخلايا المناعية للجهاز العصبي {{0}microglia}، تشارك بشكل كبير في المراحل اللاحقة لهذا المرض.
و بالبحث عن سبب هذا المرض، قام الباحثون أيضا بدراسة العوامل البيئية مثل التعرض للعوامل المعدية أو السامة. بحث آخر قام بدراسة الدور المحتمل للنقص الغذائي أو الصدمات النفسية. ولكن، اعتبارا من بعد ذلك، لا توجد أدلة كافية لادراج هذه العوامل كأسباب لتصلب العضلات الجانبى.
الابحاث المستقبلية قد تظهر أن العديد من العوامل، منها الاستعداد الوراثي، قد يشاركون في حدوث هذا المرض.
التشخيص

لا يوجد اختبار محدد يمكنه تشخيص المرض، سوى أن علامات تأثر الاعصاب الحركية العليا والسفلى في طرف واحد يرجح بقوة وجود المرض. لذلك يعتمد التشخيص في المقام الأول على الأعراض والعلامات التي يلاحظها الطبيب على المريض وسلسلة من الاختبارات لاستبعاد الأمراض الأخرى. الأطباء يحصلون على التاريخ المرضى الكامل من المرضى، وعادة ما يجرون فحص الأعصاب على فترات منتظمة لتقييم ما إذا كانت الأعراض مثل ضعف العضلات وضمور العضلات، والمبالغة في رد الفعل والشلل التشنجي تزداد سوءا بشكل تدريجي.[82][83]
و لأن أعراض هذا المرض تتشابه مع اعراض الكثير من الامراض الأخرى التي يمكن معالجتها، لذلك يجب اجراء الفحوصات الازمة لاستبعاد الامراض الأخرى.واحدة من هذه التجارب هو رسم العضلات الكهربى، وهو تقنية تسجيلية خاصة حيث يتم تسجيل نشاط العضلة الكهربى. بعض النتائج المعينة لهذا الاختبار ترجح وجود المرض.[84] وهناك اختبار آخر مشهور الذي يقيس سرعة التوصيل قي الاعصاب. بعض النتائج الغير طبيعية في هذا الاختبار ترجح وجود أمراض أخرى، على سبيل المثال، إذا كان المريض يعانى من التهاب الاعصاب الطرفية (تلف الأعصاب الطرفية) أو خلل في العضلات (مرض في العضلات) وليس مرض تصلب العضلات الجانبى.[85] قد يطلب الطبيب عمل الرنين المغناطيسي، وهو إجراء غير تدخلى يستخدم المجال مغناطيسي وموجات الراديو للحصول على صورا تفصيلية للمخ والحبل الشوكي.[86] وعلى الرغم أن نتائج الرنين المغناطيسي طبيعية في هذا المرض إلا أنه قد يساعد على كشف غيره من المشاكل التي قد تكون سببا لهذه الاعراض، مثل ورم الحبل الشوكي، والتصلب المتعدد، انزلاق غضروفى في فقرات الرقبة، ناصور النخاع الشوكى أو تقوس فقرات الرقبة.[87][88]
بناء على أعراض المريض والعلامات التي يجدها الطبيب ونتائج هذه الاختبارات، يمكن أن يطلب الطبيب اجراء بعض الاختبارات على عينات الدم والبول بالإضافة إلى الفحوصات المخبرية الروتينية لاستبعاد احتمالية وجود الامراض الأخرى.في بعض الحالات، على سبيل المثال، إذا كان الطبيب يشتبه في أن المريض قد يكون لديه خلل في العضلات وليس تصلب العضلات الجانبى، يمكن أخذ عينة من العضلة لتحليلها.[89]
بعض الأمراض المعدية مثل فيروس نقص المناعة البشرية (أو الايدز)، فيروس تي- الليمفاوي البشري، مرض ليم، الزهري،[90][91] فيروسات التهاب المخ المنقولة بالقرادة يمكنها في بعض الحالات أن تسبب أعراض تشبه مرض تصلب العضلات الجانبى. الاضطرابات العصبية مثل التصلب المتعدد، متلازمة ما بعد الشلل، علة الاعصاب الحركية متعدد النقط العصبي وضمور العضلات بسبب العمود الفقري، يمكن أن يتشابهوا في بعض الجوانب مع هذا لابد أن يكونوا في فكر الأطباء الذين يحاولون تشخيص هذا المرض.[92]
نظرا للمستقبل المرضى لهذا المرض ونظرا لوجود أمراض عديدة تشبه هذا المرض في مراحله الأولى، على المرضى أن يحصلوا على استشارة طبيب عصبى آخر.[93] أوضحت دراسة اجراها باحثون في كلية الطب بجبل سيناء، أن هناك ثلاثة بروتينات توجد في السائل المخي الشوكي بتركيزات قليلة جدا في مرضى تصلب العضلات الجانبى وليس في الاشخاص الاصحاء. هذا الاكتشاف تم نشره في فبراير 2006 من مجلة الجهاز العصبي. وبتقييم مستويات هذه البروتينات الثلاثة ثبت أن دقة التشخيص تصل إلى 95%. علامات البروتين الثلاثة هم تى تى ار، سيستاتين سى، النهاية الكربونية للبروتين العصبى 7B2. وهذه هي أول العلامات الحيوية لهذا المرض ويمكن أن تكون الأدوات الأولى لتأكيد تشخيص المرض. مع الأساليب الحالية، وبمساعدة الوسائل الحالية، متوسط الوقت من ظهور الأعراض حتى تشخيص المرض حوالى 12 شهرا.علامات التشخيص المحسنة قد توفر وسائل للتشخيص المبكر، وتتيح للمرضى الحصول على التخفيف من الأعراض سنوات باكرا.[94]
العلاج
الادوية التي حصلت على اجازة
فإن منظمة الغذاء والدواء (FDA) أجازت أول عقار لعلاج هذا المرض : ريلوزول (ريلوتيك). ويعتقد أن الريلوزول يحد من تلف الخلايا العصبية الحركية عن طريق تقليل افراز الجلوتامات عبر تفعيل حاملات الجلوتامات. وبالإضافة إلى ذلك، يقدم تأثيرات كثيرة أخرى حامية للاعصاب عن طريق اغلاق قنوات الصوديوم وسدادات قناة الكالسيوم، تثبيط البروتين كيناز سى، وتحفيز معرضة المستقبلات للمادة NMDA.[95][96] التجارب الاكلينيكية لعقار الريلوزول على المرضى اثبتت أنه يطيل بقائهم على قيد الحياة لعدة شهور، ويمكن أن يكون له فائدة أكبر بالنسبة للبقاء للمرضى ذو البداية الصلبية. العقار يطيل الوقت قبل أن يحتاج المريض لتنفس صناعي. ريلوزول لا يمحو الضرر الحاصل بالفعل للخلايا العصبية الحركية، والمرضى الذين يتناولون العقار يجب أن يفحصوا دوريا لاحتمالية حدوث تلف للكبد أو غيرها من الآثار الجانبية المحتملة. ومع ذلك، فان هذا العقار الأول من نوعه الخاص بهذا المرض يبعث الامل على وجود عقارات أخرى أو توليفات من العقارات التي تقلل من سرعة تقدم المرض. هناك دراسة صغيرة ومفتوحة أثبتت مؤخرا أن عقار الليثيوم الذي يستخدم عادة في علاج الاضطرابات الثنائي التأثير، قد بطء التقدم في كل من النماذج الحيوانية والبشرية للمرض. ومع ذلك، ثمة حاجة إلى مزيد من البحث لتحديد ما إذا كان هذا التأثير حقيقي أم لا.[97]
العقاقير التجريبية
عدد من التجارب الاكلينيكية جارية عالميا على مرض تصلب العضلات الجانبى.
تجري الابحاث حول تاثير عقار ال(KNS-760704) على مرضى تصلب العضلات الجانبى. والأمل معقود على أن العقار سيكون له أثر حامى للاعصاب. انه جزئ البراميبيكسول الذي تم اجازته لعلاج مرض الشلل الرعاش ومتلازمة الساقين المرهقتان.[98] ومع ذلك، فان عقار ال(KNS - 760704)، التي تم تصنيعها على درجة عالية من النقاء الجزيئى والتي في الأساس غير نشطة عند مستقبلات الدوبامين، لا يتم احباط نشاطه بجرعات معينة من عقار البراميبيكسول الذي له خصائص تشبه الدوبامين. ولقد زاد استخدام عقار ال(KNS-760704) في الدراسات الاكلينيكية بواسطة شركة علوم الاعصاب (نوب) في بتسبرج بنسلفانيا.
المضاد الحيوي تتراسكلين (المينوسيكلين)أيضا تحت الاختبار في علاج تصلب العضلات الجانبى من بين الاضطرابات العصبية الأخرى. في القوارض التي عندها طفرة في الجين (SOD1) والتي كانت تعانى من مرض تصلب العضلات الجانبى، عقار المينوسيكلين كان له نفس تأثير عقار الريلوزول في اطالة مدة البقاء على قيد الحياة وأيضا آخر ظهور مشاكل الحركة.[99] ومن المعتقد أن يقوم بوظيفة الحماية للاعصاب لا بالتأثير على افراز الجلوتامات مثل ريلوزول،[100] ولكن باحباط افراز بروتين السيتوكروم سى الذي يفرز من الميتوكوندريا إلى جسد الخلية.[101]
الاكتشاف الجديد (تداخل الحمض النووي الريبوزي) اعطى بعض الامال في علاج مرضى تصلب العضلات الجانبى. في بعض الدراسات الحديثة تم استخدام هذا العقار في فئران التجارب لوقف عمل بعض الجينات المحددة التي تؤدي إلى مرض تصلب العضلات الجانبى. وقامت شركة سيتيكس برعاية البحث الذي قام على علاج مرض تصلب العضلات الجانبى بتقنية وقف عمل الجينات الذي استهدف جين ال SOD1 المشوه. جين ال SOD1 المشوه مسؤول عن التسبب في مرض تصلب العضلات الجانبى في 10 ٪ من مجموع المرضى الذين يعانون من الاشكال العائلية أو الوراثية من أشكال المرض. عقار الاريموكلومول الذي يؤخذ بالفم تقوم شركة سيتريكس حاليا باجراء الاختبارات عليه كعلاج لمرض تصلب العضلات الجانبى.عامل النمو 1 المشابه للانسولين تم دراسته هو الآخر كعلاج لمرض تصلب العضلات الجانبى.[102] وقام كل من سيفالون وتشيرون بعمل دراستين على عامل النمو 1 المشابه للانسولين وعلى الرغم من أن دراسة واحدة أثبتت فعاليته، إلا أن الثانية كانت حيادية، ولم يتم اجازة هذا المنتج من قبل منظمة الاغذية والعقاقير. في يناير 2007، وزارة الصحة الإيطالية طرحت عقار جديد لتجريبه على مرضى تصلب العضلات الجانبى في إيطاليا، قدمت هذا العقار منظمة ال (INSMED)، وهو يدعى ايبليكس (IPLEX) وهو عبارة عن توليفة من عامل النمو 1 المشابه للانسولين والبروتين الناقل 3.[103]
يتم اختبار عقار الميثيل كوبالامين الآن في اليابان ؛ وتشير النتائج الأولية إلى حد كبير انه يطيل فترة بقاء المرضى على قيد الحياة.
أخرى
الادوية الأخرى المستخدمة لعلاج مرض تصلب العضلات الجانبى مصممة لتخفيف الأعراض وتحسين جودة الحياة للمرضى. هذا العلاج التدعيمى من الأفضل ان يقدمه فرق متعددة من المهنيين المتخصصين في مجالات الرعاية الصحية المختلفة مثل الأطباء ؛ الصيادلة ؛ المعالجين النفسيين، والمهنيين، ومدربى التخاطب ؛ ومتخصصى التغذية ؛ والعاملين الاجتماعيين، والرعاية المنزلية والتمريض في المستشفيات. العمل مع المرضى ومقدمي الرعاية، هذه الفرق يمكنها تصميم خطط فردية للخدمات الطبية والعلاج الطبيعي وتوفير المعدات الخاصة التي تهدف إلى إبقاء المرضى قادرين على الحركة ومرتاحين قدر الإمكان.
و يمكن للأطباء وصف أدوية للمساعدة في الحد من التعب، وتخفيف حدة التقلصات العضلية، والتحكم في تشنج العضلات، والحد من الفائض من اللعاب والبلغم. كما تتوفر أدوية لمساعدة المرضى الذين يعانون من الألم والاكتئاب، واضطراب النوم، والإمساك. الصيادلة يمكن تقديم المشورة بشأن الاستخدام الأفضل للأدوية. وهذا مفيدا بشكل خاص بالنسبة إلى المرضى الذين يعانون من عسر البلع، الذي يحدث في كثير من مرضى تصلب العضلات الجانبى.كما أنه يجب متابعة الادوية التي يتناولها المرضى للحد من خطر التفاعلات بين الادوية.
العلاج الطبيعي وبعض المعدات الخاصة، مثل المساعدات التقنية يمكن أن تساعد المرضى على العيش مستقلين وبسلامة طول فترة المرض. ممارسة بعض التمارين الهوائية البسيطة الغير مجهدة مثل المشي، والسباحة، وركوب الدراجات الثابتة يمكن أن تقوى العضلات التي لم يصيبها المرض وتحسين صحة القلب والأوعية الدموية، ويساعد المرضى على محاربة التعب والاكتئاب. الحفاظ على القليل من المشى والتمارين المقوية يمكن أن تمنع التشنجات المؤلمة وتقصير (انكماش) العضلات. اخصائى العلاج الطبيعى يستطيعون وصف التمرينات المفيدة والتي لا ترهق العضلات.أخصائى العلاج الطبيعي يمكن أن يقترحوا بعض الوسائل المفيدة مثل السلالم، الاقواس، المشايات، والكراسى المتحركة التي تساعد المرضى على الابقاء على الحركة. المعالجين المهنيين يمكن أن يقدموا أو يقترحوا معدات أو مكيفات لتمكين المرضى من الاحتفاظ بقدر من الاستقلال في أنشطة الحياة اليومية قدر المستطاع.
المرضى الذين يجدون صعوبة في الكلام يمكنهم الاستفادة من التعامل مع أخصائى اللغة والكلام. هؤلاء العاملين في المجال الطبي يمكنهم تعليم المرضى استراتيجيات للتكيف مثل التقنيات لمساعدتهم على التحدث بصوت أعلى وأكثر وضوحا. وبتقدم المرض أخصائى اللغة والكلام يمكنهم التوصية باستخدام طرق الاتصال المعززة البديلة، مثل مكبرات الصوت، والأجهزة المولدة للصوت (أو أجهزة إخراج الصوت) و/ أو التقنيات التكنولوجيا الاقل كفاءة منخفضة مثل جلسات التخاطب أو إشارات نعم / لا. هذه الوسائل والأجهزة تساعد المرضى على التواصل إذا لم يعد هناك أي قدرة على الكلام أو إصدار الأصوات. بمساعدة المعالجين المهنيين، الأجهزة المولدة للكلام يمكن أن تفعل من خلال المفاتيح أو تقنيات محاكاة الماوس التي تسيطر عليها الحركات الجسدية الصغيرة، على سبيل المثال، الرأس، الاصبع أو العينين.
يمكن للمرضى ومقدمي الرعاية أن يتعلموا من اخصائى اللغة والكلام كيفية تخطيط وإعداد وجبات صغيرة عديدة على مدار اليوم تقدم ما يكفي من السعرات الحرارية والألياف والسوائل وكيفية تجنب الأطعمة التي يصعب بلعها. كما يمكن للمرضى أيضا ان يستخدموا أجهزة الشفط لا زالة السوائل الزائدة أو لإزالة اللعاب، ومنع الشرقة. عندما لايستطيع المرضى الحصول على ما يكفي من الغذاء من الأكل، يجوز للأطباء إدخال أنبوب تغذية في معدتهم. استخدام انبوب التغذية يقلل أيضا خطر الشرقة والالتهاب الرئوي والتي يمكن أن تنجم عن استنشاق السوائل إلى الرئتين. الانبوبة ليست مؤلمة ولا تمنع المرضى من تناول الطعام بالفم، إذا رغبوا في ذلك.
عندما تضعف عضلات التنفس، يجب استخدام أجهزة التنفس الصناعي ليلا (التهوية متقطعة الضغط الإيجابي(IPPV)أو الضغط الإيجابي للممر الهوائى (BIPAP) لمساعدة التنفس أثناء النوم. هذه الأجهزة تنفخ رئتي المريض صناعيا من مصادر خارجية مختلفة، التي تطبق مباشرة على الوجه أو الجسم. وعندما تفشل هذه العضلات في الحفاظ على التوازن بين مستويات الأوكسجين وثاني أكسيد الكربون، يمكن استخدام هذه الأجهزة طوال الوقت.
في النهاية، قد يحتاج المرضى لبعض أشكال التهوية الميكانيكية، حيث تستخدم بعض التي الآلات التي تنفخ وتفرغ الرئتين. ولكي تكون هذه الآلات فعالة، قد يتطلب هذا امرار انبوب من الأنف أو الفم إلى القصبة الهوائية (القصبة الهوائية)، اما على المدى الطويل يجب عمل شق حنجرى، حيث يتم إدخال أنبوب تنفس بلاستيكية مباشرة في القصبة الهوائية من خلال فتحة في الرقبة. ينبغي على المرضى وأسرهم، الاخذ في الاعتبار عدة عوامل عند البت فيما إذا كانوا سيستخدمون واحد من هذه الخيارات وايهم يستخدمونه. أجهزة التنفس الصناعي تختلف في تأثيرها على المرضى من حيث نوعية الحياة والتكلفة. على الرغم من أجهزة دعم التنفس تساعد على تخفيف بعض مشاكل التنفس وكذلك اطالة البقاء على قيد الحياة، فإنها ليس لها تأثير على تطور المرض. ويجب أن يكون المريض على دراية بهذه المعلومات كاملة حول هذه الاعتبارات والآثار طويلة المدى للحياة من دون حركة قبل اتخاذ القرارات بشأن دعم التنفس. ويجدر الإشارة إلى أن بعض المرضى الذين يعيشون بالشق الحنجرى المصحوب بالتهوية متقطعة الضغط الإيجابي طويل المرتبط بالاصفاد المقلصة أو انابيب الشق الحنجرى التي بدون الاصفاد (تسرب التهوية)، قادرين على الكلام. هذه الطريقة تحافظ على القدرة عل الكلام عند بعض المرضى الذين يعيشون بالتنفس الميكانيكي على المدى الطويل.
المرشدين الاجتماعيين، والرعاية المنزلية والممرضات بالدير كل هؤلاء يساعدون المرضى وأسرهم والقائمين على الرعاية بالمساعدات الطبية، والعاطفية، والمالية لمواجهة هذا المرض، خاصة خلال المراحل الأخيرة من المرض. المرشدين الاجتماعيين يقدمون المساعدة في الحصول على المساعدات المالية، وترتيب التوكيل الدائم، وإعداد المعيشة، وإيجاد مجموعات دعم للمرضى ومقدمي الرعاية. دور الممرضات بالمنازل، ليس فقط لتوفير الرعاية الطبية ولكن أيضا أخبار مقدمي الرعاية بالمهام مثل الحفاظ على التنفس، وإعطاء الطعام، ونقل المرضى لتجنب المشاكل الجلدية المؤلمة وتقلص العضلات. ممرضات المستشفيات الذين يوجدون بالمنازل يعملون تحت اشراف الأطباء لضمان العلاج المناسب، والسيطرة على الألم، وأنواع الرعاية الأخرى التي تؤثر على نوعية الحياة للمرضى الذين يرغبون في البقاء في المنزل. فريق الرعاية المنزلية يمكنهم أيضا مناقشة المرض ومقدمى الرعاية عن مشاكل ما قبل الموت.
الابحاث التي اجريت على الحيوانات والبشر على حد سواء اشارت إلى أن البحوث نقص السعرات الحرارية شيء ممنوع عند المرضى بهذا المرض. حيث اثبتت البحوث الجينية التي اجريت على الفئران المحورة جينيا أن نقص السعرات الحرارية قد يسرع من لحظة الموت. وفي تلك الدراسة، حمادة وآخرون أيضا أشاروا إلى اثنين من الدراسات البشرية التي اوضحت أن "انخفاض أخذ الطاقة يرتبط بالوفاة قي مرضى تصلب العضلات الجانبى. ولكن في الدراسة الأولى، سلواى، بيج، وانتيل قالوا: "إن تخفيض استهلاك الطاقة قي مرضى تصلب العضلات الجانبى ليس له علاقة بتقديم لحظة الوفاة وإنما هو جانب من جوانب هذا المرض." حيث أنهم يتجهون نحو استنتاج : "اننا نخلص إلى ان مرضى تصلب العضلات الجانبى لديهم قصور مزمن قي مدخول الطاقة ويوصى بزيادة امداد الطاقة." [104]
في السابق، بيدرسن وماتسون لاحظوا على نموذج الفأر المصاب بهذا المرض أن نقص الطاقة "يعجل بتقدم المرض" وليس له فوائد. معتقدا أن الغذاء الغنى بالسعرات الحرارية يبطئ من تقدم المرض وهذا ما حدث على نموذج الفأر.[105]
التكهن بمستقبل المرض
بغض النظر أي الاعضاء يتأثر اولا، فان ضمور وضعف العضلات يمتد إلى الأجزاء الأخرى من الجسم أثناء انتشار المرض. من المهم أن نذكر أن بعض المرضى الذين يعانون من هذا المرض قد يقف تقدم المرض عند حد معين مع المتابعة الجيدة. هذا النمط ينطبق بصفة خاصة على الشباب الذكور مع الغالب فيهم ضعف الأطرافهم العليا وخاصة على جانب واحد (يسمى أحادى الطرف ومن مرض الاعصاب الحركية من النوع هيراياما). في نهاية المطاف الاشخاص المصابين بمرض تصلب العضلات الجانبى لن يكونوا قادرين على الوقوف أو المشي، الاسترخاء في أو النهوض من السرير، أو استعمال اليدين والذراعين. في مراحل المتاخرة يعانى المرضى من صعوبة التنفس نتيجة لضعف عضلات الجهاز التنفسي. على الرغم من أن التنفس الصناعي يمكن أن يخفف من مشاكل في التنفس وإطالة البقاء على قيد الحياة، فإنه لا يؤثر على تطور المرض. معظم المرضى يموتون من فشل في التنفس، عادة في خلال ما بين 3 و5 سنوات من بداية ظهور الأعراض. على الرغم من ذلك ولكن، حوالى 10-20 في المائة من هؤلاء الأفراد يبقون على قيد الحياة لمدة 10 سنوات أو أكثر.
انتشار المرض
هذا المرض من أكثر امراض العضلات والاعصاب على مستوى العالم، والناس من جميع الأجناس والأعراق والخلفيات يتأثرون به. واحد إلى 2 من كل 100,000 شخص يصابون بهذا المرض كل عام. حيث عادة يصيب الناس ما بين 40 و60 سنة من العمر، ولكن الشباب والمسنون يمكن أيضا أن يصابوا به. الرجال يتأثرون أكثر من النساء قليلا.
"مرض تصلب العضلات العائلي" يمثل نحو 5 ٪ -10 ٪ من مجموع الحالات المصابة وينتج عن عوامل وراثية. ومن هؤلاء هذه، تقريبا من 1 إلى كل 10 متعلقين بوجود طفرة في انزيم النحاس / الزنك الفائق الاكسجة، وهو الإنزيم المسؤول عن جمع الذرات والجزيئات الحرة. وهناك دراسة حديثة أوضحت أن جين يدعى FUS (المصهور في الورم اللحمى) مسئول عن 1 من كل 20 حالة من تصلب العضلات الجانبى.
على الرغم من أن نسبة حدوث هذا المرض يعتقد أنها موحدة على الصعيد الإقليمي، هناك ثلاث مناطق في غرب المحيط الهادئ كان معدل حدوث المرض فيهم أعلى. ولكن بدا هذا في الانخفاض في العقود الأخيرة. أكبر منطقة فيهم كانت منطقة غوام التي كانت مأهولة من قبل شعب التشامورو الذين كان لديهم نسبة عالية (بقدر 143 حالة لكل 100,000 نسمة سنويا) من (Lytico - Bodig disease) وهو عبارة عن مزيج من ALS، تصلب العضلات الجانبى، الشلل الرعاش، والخرف. والمنطقتان الاخريتان اللاتى كانت نسبة حدوث المرض عاليا هما كاى بنينسولا في اليابان وشبه جزيرة بابوا الغربية.[106][107]
و رغم وجود تقارير بأن هناك مجموعات تصاب بالمرض من بينهم ثلاثة من لاعبي كرة القدم بأمريكا من سان فرانسيسكو 49ers، أكثر من خمسين لاعب كرة القدم في إيطاليا، وثلاثة لاعبى كرة القدم اللعب اصدقاء في جنوب إنجلترا، وهناك تقارير لوجوده بين حالات زوجية(الزوج والزوجة) في جنوب فرنسا، هذه الحالات تعتبر فرص إحصائية معقولة. ورغم أن العديد من الباحثين يرون أن هذا المرض ينجم عن مجموعة من العوامل الجينات والبيئة، لكن العامل الأخير لم يتم ثبوته بشكل صارم سوى زيادة معمل الخطورة لاكتساب المرض بزيادة العمر.
الإتيمولجي (علوم أصول الكلام)
كلمة Amyotrophic تأتي من اللغة اليونانية : A تعنى "لا" ،و myo تشير إلى "العضلات" وtrophic تعنى التغذية ؛ لذلك كلمة amyotrophic تصف الضمور المميز الذي يصيب الأنسجة العضلية الغير مستخدمة. الجانبي يشير إلى أماكن الحبل الشوكى التي توجد بها الخلايا العصبية التي تصاب بهذا المرض. ونظرا لتلف هذه المناطق يحدث ندبات أو تصلب ("التصلب") في المنطقة.
نبذة تاريخية
| العام | الحدث |
|---|---|
| 1850 | العالم الإنجليزي أوجست والر وصف ظهور ذبل الألياف العصبية |
| 1869 | الطبيب الفرنسي جان مارتن شاركوت وصف المرض لاول مرة في محاضرة علمية |
| 1881 | "تصلب العضلات الجانبي " ترجمت إلى اللغة الإنكليزية، ونشرت في ثلاثة مجلدات من مراجع أمراض الجهاز العصبي |
| 1939 | أصبح مرض تصلب العضلات الجانبى يسبب مشكلة في الولايات المتحدة عندما أصيب به البيسبول أسطورة لو جيهريج، وبعد عامين فقد حياته بسبب هذا المرض. حيث ألقى خطاب الوداع الرابع من يوليو. |
| 1950 | حدوث وباء من المرض بين شعب الشامورو في غوام |
| (1991) | يربط الباحثون بين الكروموسوم 21 وتصلب العضلات العائلي. |
| 1993 | جين ال SOD1، على الكروموسوم 21 وجد أنه يلعب دور في بعض الحالات. |
| 1996 | تم اجازة عقار الريلوتيك كاول دواء لعلاج تصلب العضلات الجانبى من قبل منظمة الغذاء والدواء. |
| (1998) | الاسكوريال أصبح المعيار لتأكيد تشخيص مرض تصلب العضلات الجانبى |
| (2001) | جين (السين) على الكروموسوم وجد أنه يسبب مرض تصلب العضلات الجانبى من النوع الثاني |
المجتمع والثقافة
في أغسطس 2014، تحول التحدي إلى موجة منتشرة على الإنترنت، والمعروف باسم "ALS Ice Bucket Challenge".[108] يملأ المتسابقون دلوًا مليئًا بالثلج والماء، ثم يذكرون من قام بترشيحهم للقيام بالتحدي، ويرشّح ثلاثة أفراد آخرين من اختيارهم للمشاركة فيه. ثم يقوم المتسابقون بتفريغ دلاء الثلج والماء على أنفسهم. ومع ذلك، يمكن القيام به بترتيب مختلف. ثم يقوم المتسابقون بالتبرع بمبلغ 10 دولارات أمريكية على الأقل (أو مبلغ مماثل بعملتهم المحلية) لأبحاث تصلب جانبي ضموري في جمعية تصلب جانبي ضموري، أو معهد تطوير علاج تصلب جانبي ضموري، أو جمعية تصلب جانبي ضموري في كندا، أو جمعية الأمراض العصبية الحركية في المملكة المتحدة. من المتوقع أن يتبرع المتسابقون الذين يرفضون الحصول على الثلج والماء الملقاة عليهم بما لا يقل عن 100 دولار أمريكي في أبحاث تصلب جانبي ضموري. اعتبارا من يوليو عام 2015، جمع تحدي دلو الثلج 115 مليون دولار لجمعية تصلب جانبي ضموري.[109] شارك العديد من المشاهير في هذا التحدي.[110] يرجع الفضل إلي تحدي دلو الثلج إلى المساعدة في جمع الأموال التي ساهمت في اكتشاف أن الجين NEK1 قد يساهم على الأرجح في تطور المرض.[111][112]
ابحاث
العلاج
تمت دراسة التحفيز المغناطيسي المتكرر عبر الجمجمة في مرض التصلب العصبي المتعدد في التجارب السريرية الصغيرة سيئة التصميم؛ اعتبارا من عام 2013، كانت الأدلة غير كافية لمعرفة ما إذا كان التحفيز المغناطيسي المتكرر آمن أو فعال لـمرض التصلب العصبي المتعدد .[113] وجدت مراجعة واحدة عام 2016 لتجارب العلاج بالخلايا الجذعية أدلة مبدئية على أن زرع الخلايا الجذعية داخل النخاع كان آمنًا نسبيًا وربما فعالًا.[114] وجدت مراجعة كوكرين لعام 2016 للعلاجات المستندة إلى الخلية أنه لا توجد أدلة كافية للتكهن حول الفعالية.[115] يمكن أن يوفر العلاج بالخلايا الجذعية بروتينات وإنزيمات إضافية أثبتت أنها تساعد على إطالة البقاء على قيد الحياة والتحكم في الأعراض المصاحبة لـ ALS.[102][116] تشتمل هذه البروتينات على عوامل التغذية العصبية وعامل النمو الشبيه بالأنسولين 1. لا تزال كل من هذه البروتينات تحت التجارب السريرية وتحتاج إلى مزيد من الدراسة لتقييم كفاءتها والتأثيرات الجانبية المرتبطة بها.[102][116]
تمت الموافقة على المسطِّن كعقار يتيم في أوروبا والولايات المتحدة، مع استمرار الدراسات حتى عام 2016.[117] الأدوية التي تم اختبارها ، ولكن بدون دليل على فعاليتها تشمل لاموتريجين، دكستروميثورفان، جابابنتي ، BCAAs ، فيتامين E، أسيتيل سيستين، سيليجيلين، أمانتدين، سيكلوفوسفاميد، عوامل عصبية مختلفة، والتي أظهرت الوعد في النماذج في المختبر وفي الجسم الحي من ALS ، ولكن حتى الآن لتكون فعالة في النماذج البشرية من ALS [102][116][118] وكرياتين.[119] تم اقتراح أدوية ناهضة لبيتا الأدرينالية كعلاج لآثارها على نمو العضلات والعصبية، لكن الأبحاث في البشر غير كافية لتحديد فعاليتها.[120]
السبب
مع اكتشاف أن TDP-43 ، FUS ، و C9orf72 يمكن أن يسبب التصلب الجانبي المتعدد وكذلك الأشكال ذات الصلة من الخرف الجبهي الصدغي (FTD / ALS) [121][122] كان هناك جهد مكثف لفهم كيف تسبب هذه الطفرات المرض، وما إذا كان ضعف البروتين مهمًا. اعتبارا من عام 2013 ظهر أن الاختلافات في مثيلة مخلفات أرجينين في بروتين FUS قد تكون ذات صلة، وقد تكون حالة المثيلة وسيلة لتمييز بعض أشكال الـ الخرف الجبهي الصدغي من التصلب الجانبي المتعدد.[123]
المراجع
- Koehler PJ, Bruyn GW, Pearce J (2000). Neurological Eponyms (باللغة الإنجليزية). Oxford University Press, US. صفحة 275. ISBN 9780195133660. مؤرشف من الأصل في 8 سبتمبر 2017. الوسيط
|CitationClass=تم تجاهله (مساعدة) - "Motor Neuron Diseases Fact Sheet". المعهد الوطني للاضطرابات العصبية والسكتة الدماغية. مؤرشف من الأصل في 13 أبريل 2014. اطلع عليه بتاريخ 7 نوفمبر 2010. الوسيط
|CitationClass=تم تجاهله (مساعدة) - Zarei S, Carr K, Reiley L, Diaz K, Guerra O, Altamirano PF, et al. (2015-11-16). "A comprehensive review of amyotrophic lateral sclerosis". Surgical Neurology International. 6: 171. doi:10.4103/2152-7806.169561. PMC 4653353. PMID 26629397. الوسيط
|CitationClass=تم تجاهله (مساعدة) - "Amyotrophic Lateral Sclerosis (ALS) Fact Sheet". المعهد الوطني للاضطرابات العصبية والسكتة الدماغية. 19 سبتمبر 2014. مؤرشف من الأصل في 5 يناير 2017. اطلع عليه بتاريخ 2 يناير 2015. الوسيط
|CitationClass=تم تجاهله (مساعدة) - "Motor neurone disease". NHS Choices. مؤرشف من الأصل في 29 ديسمبر 2014. اطلع عليه بتاريخ 2 يناير 2015. الوسيط
|CitationClass=تم تجاهله (مساعدة) - Miller RG, Mitchell JD, Moore DH (March 2012). "Riluzole for amyotrophic lateral sclerosis (ALS)/motor neuron disease (MND)". The Cochrane Database of Systematic Reviews. 3 (3): CD001447. doi:10.1002/14651858.CD001447.pub3. PMID 22419278. الوسيط
|CitationClass=تم تجاهله (مساعدة) - Hobson EV, McDermott CJ (September 2016). "Supportive and symptomatic management of amyotrophic lateral sclerosis". Nature Reviews. Neurology. 12 (9): 526–38. doi:10.1038/nrneurol.2016.111. PMID 27514291. الوسيط
|CitationClass=تم تجاهله (مساعدة) - Hardiman O, Al-Chalabi A, Brayne C, Beghi E, van den Berg LH, Chio A, Martin S, Logroscino G, Rooney J (July 2017). "The changing picture of amyotrophic lateral sclerosis: lessons from European registers". Journal of Neurology, Neurosurgery, and Psychiatry. 88 (7): 557–63. doi:10.1136/jnnp-2016-314495. PMID 28285264. مؤرشف من الأصل (Submitted manuscript) في 21 ديسمبر 2019. الوسيط
|CitationClass=تم تجاهله (مساعدة) - Rowland LP (March 2001). "How amyotrophic lateral sclerosis got its name: the clinical-pathologic genius of Jean-Martin Charcot". Archives of Neurology. 58 (3): 512–15. doi:10.1001/archneur.58.3.512. PMID 11255459. الوسيط
|CitationClass=تم تجاهله (مساعدة) - Kelly, Evelyn B. (2013). Encyclopedia of human genetics and disease. Santa Barbara, CA: Greenwood. صفحات 79–80. ISBN 978-0-313-38713-5. مؤرشف من الأصل في 8 سبتمبر 2017. الوسيط
|CitationClass=تم تجاهله (مساعدة) - Youngson, David B. Jacoby, Robert M. (2004). Encyclopedia of family health (الطبعة 3rd). Tarrytown, NY: Marshall Cavendish. صفحة 1256. ISBN 978-0-7614-7486-9. مؤرشف من الأصل في 8 سبتمبر 2017. الوسيط
|CitationClass=تم تجاهله (مساعدة) - Song P (August 2014). "The Ice Bucket Challenge: The public sector should get ready to promptly promote the sustained development of a system of medical care for and research into rare diseases". Intractable & Rare Diseases Research. 3 (3): 94–96. doi:10.5582/irdr.2014.01015. PMC 4214244. PMID 25364651. الوسيط
|CitationClass=تم تجاهله (مساعدة) - Grad LI, Rouleau GA, Ravits J, Cashman NR (August 2017). "Clinical Spectrum of Amyotrophic Lateral Sclerosis (ALS)". Cold Spring Harbor Perspectives in Medicine. 7 (8): 1–16. doi:10.1101/cshperspect.a024117. PMID 28003278. الوسيط
|CitationClass=تم تجاهله (مساعدة) - Lui AJ, Byl NN (June 2009). "A Systematic Review of the Effect of Moderate Intensity Exercise on Function and Disease Progression in Amyotrophic Lateral Sclerosis". Journal of Neurologic Physical Therapy. 33 (2): 68–87. doi:10.1097/NPT.0b013e31819912d0. PMID 19556916. الوسيط
|CitationClass=تم تجاهله (مساعدة) - McCluskey L, Vandriel S, Elman L, Van Deerlin VM, Powers J, Boller A, et al. (October 15, 2014). "ALS-Plus syndrome: Non-pyramidal features in a large ALS cohort". Journal of the Neurological Sciences. 345 (1–2): 118–24. doi:10.1016/j.jns.2014.07.022. PMC 4177937. PMID 25086858. الوسيط
|CitationClass=تم تجاهله (مساعدة) - Brown RH, Al-Chalabi A (July 13, 2017). "Amyotrophic Lateral Sclerosis". The New England Journal of Medicine. 377 (2): 162–172. doi:10.1056/NEJMra1603471. PMID 28700839. الوسيط
|CitationClass=تم تجاهله (مساعدة) - Hardiman O, Al-Chalabi A, Chio A, Corr EM, Logroscino G, Robberecht W, Shaw PJ, Simmons Z, van den Berg LH (October 2017). "Amyotrophic lateral sclerosis". Nature Reviews. Disease Primers. 3 (17071): 17071. doi:10.1038/nrdp.2017.71. PMID 28980624. الوسيط
|CitationClass=تم تجاهله (مساعدة) - Swinnen B, Robberecht W (November 2014). "The phenotypic variability of amyotrophic lateral sclerosis". Nature Reviews. Neurology. 10 (11): 661–70. doi:10.1038/nrneurol.2014.184. PMID 25311585. مؤرشف من الأصل في 31 ديسمبر 2018. الوسيط
|CitationClass=تم تجاهله (مساعدة) - Al-Chalabi A, Hardiman O, Kiernan MC, Chiò A, Rix-Brooks B, van den Berg LH (October 2016). "Amyotrophic lateral sclerosis: moving towards a new classification system". The Lancet. Neurology. 15 (11): 1182–94. doi:10.1016/S1474-4422(16)30199-5. PMID 27647646. مؤرشف من الأصل (Submitted manuscript) في 28 أكتوبر 2019. الوسيط
|CitationClass=تم تجاهله (مساعدة) - Raaphorst J, Beeldman E, De Visser M, De Haan RJ, Schmand B (October 2012). "A systematic review of behavioural changes in motor neuron disease". Amyotrophic Lateral Sclerosis. 13 (6): 493–501. doi:10.3109/17482968.2012.656652. PMID 22424127. الوسيط
|CitationClass=تم تجاهله (مساعدة) - Jawdat O, Statland JM, Barohn RJ, Katz JS, Dimachkie MM (November 2015). "Amyotrophic Lateral Sclerosis Regional Variants (Brachial Amyotrophic Diplegia, Leg Amyotrophic Diplegia, and Isolated Bulbar Amyotrophic Lateral Sclerosis)". Neurologic Clinics. 33 (4): 775–85. doi:10.1016/j.ncl.2015.07.003. PMC 4629514. PMID 26515621. الوسيط
|CitationClass=تم تجاهله (مساعدة) - Beeldman E, Raaphorst J, Klein Twennaar M, de Visser M, Schmand BA, de Haan RJ (June 2016). "The cognitive profile of ALS: a systematic review and meta-analysis update". Journal of Neurology, Neurosurgery, and Psychiatry. 87 (6): 611–19. doi:10.1136/jnnp-2015-310734. PMID 26283685. الوسيط
|CitationClass=تم تجاهله (مساعدة) - Chiò A, Mora G, Lauria G (February 2017). "Pain in amyotrophic lateral sclerosis". The Lancet. Neurology. 16 (2): 144–57. doi:10.1016/S1474-4422(16)30358-1. PMID 27964824. الوسيط
|CitationClass=تم تجاهله (مساعدة) - "Motor neurone disease – Symptoms". NHS Choices. مؤرشف من الأصل (Page last reviewed: Jan 15, 2015) في 19 سبتمبر 2016. اطلع عليه بتاريخ 18 سبتمبر 2016. الوسيط
|CitationClass=تم تجاهله (مساعدة) - Teoh HL, Carey K, Sampaio H, Mowat D, Roscioli T, Farrar M (2017). "Inherited Paediatric Motor Neuron Disorders: Beyond Spinal Muscular Atrophy". Neural Plasticity. 2017: 1–22. doi:10.1155/2017/6509493. PMC 5467325. PMID 28634552. الوسيط
|CitationClass=تم تجاهله (مساعدة) - Gautier G, Verschueren A, Monnier A, Attarian S, Salort-Campana E, Pouget J (August 2010). "ALS with respiratory onset: Clinical features and effects of non-invasive ventilation on the prognosis". Amyotrophic Lateral Sclerosis. 11 (4): 379–82. doi:10.3109/17482960903426543. PMID 20001486. الوسيط
|CitationClass=تم تجاهله (مساعدة) - Tard C, Defebvre L, Moreau C, Devos D, Danel-Brunaud V (May 2017). "Clinical features of amyotrophic lateral sclerosis and their prognostic value". Revue Neurologique. 173 (5): 263–72. doi:10.1016/j.neurol.2017.03.029. PMID 28477850. الوسيط
|CitationClass=تم تجاهله (مساعدة) - Gordon PH, Miller RG, Moore DH (September 2004). "ALSFRS-R". Amyotrophic Lateral Sclerosis and Other Motor Neuron Disorders. 5 Suppl 1: 90–93. doi:10.1080/17434470410019906. PMID 15512883. الوسيط
|CitationClass=تم تجاهله (مساعدة) - Creemers H, Grupstra H, Nollet F, van den Berg LH, Beelen A (June 2015). "Prognostic factors for the course of functional status of patients with ALS: a systematic review". Journal of Neurology. 262 (6): 1407–23. doi:10.1007/s00415-014-7564-8. PMID 25385051. الوسيط
|CitationClass=تم تجاهله (مساعدة) - "Stephen Hawking serves as role model for ALS patients". CNN. 20 أبريل 2009. مؤرشف من الأصل في 15 أغسطس 2016. الوسيط
|CitationClass=تم تجاهله (مساعدة) - Castrillo-Viguera C, Grasso DL, Simpson E, Shefner J, Cudkowicz ME (2010). "Clinical significance in the change of decline in ALSFRS-R". Amyotrophic Lateral Sclerosis (Journal Article). 11 (1–2): 178–80. doi:10.3109/17482960903093710. PMID 19634063. الوسيط
|CitationClass=تم تجاهله (مساعدة) - Sabatelli M, Madia F, Conte A, Luigetti M, Zollino M, Mancuso I, Lo Monaco M, Lippi G, Tonali P (September 2008). "Natural history of young-adult amyotrophic lateral sclerosis". Neurology. 71 (12): 876–81. doi:10.1212/01.wnl.0000312378.94737.45. PMID 18596241. الوسيط
|CitationClass=تم تجاهله (مساعدة) - Paganoni S, Deng J, Jaffa M, Cudkowicz ME, Wills AM (July 2011). "Body mass index, not dyslipidemia, is an independent predictor of survival in amyotrophic lateral sclerosis". Muscle & Nerve. 44 (1): 20–24. doi:10.1002/mus.22114. PMC 4441750. PMID 21607987. ضع ملخصا – Massachusetts General Hospital (May 11, 2011). الوسيط
|CitationClass=تم تجاهله (مساعدة) - Chiò A, Calvo A, Moglia C, Mazzini L, Mora G (July 2011). "Phenotypic heterogeneity of amyotrophic lateral sclerosis: a population based study". Journal of Neurology, Neurosurgery, and Psychiatry. 82 (7): 740–46. doi:10.1136/jnnp.2010.235952. PMID 21402743. الوسيط
|CitationClass=تم تجاهله (مساعدة) - Al-Chalabi A, Hardiman O (November 2013). "The epidemiology of ALS: a conspiracy of genes, environment and time". Nature Reviews. Neurology. 9 (11): 617–28. doi:10.1038/nrneurol.2013.203. PMID 24126629. الوسيط
|CitationClass=تم تجاهله (مساعدة) - ALS Clinic at the Penn State Milton S. Hershey Medical Center
- "Sla, indagini nei club. Pesticidi nel mirino". مؤرشف من الأصل في 12 مايو 2019. اطلع عليه بتاريخ 02 أكتوبر 2008. الوسيط
|CitationClass=تم تجاهله (مساعدة) - "Sla, una strage nel calcio". مؤرشف من الأصل في 10 أبريل 2018. اطلع عليه بتاريخ 02 أكتوبر 2008. الوسيط
|CitationClass=تم تجاهله (مساعدة) - Exposure to pesticides and risk of amyotrophic lateral sclerosis: a population-based case-control study.By Bonvicini F, Marcello N, Mandrioli J, Pietrini V, Vinceti M. In Ann Ist Super Sanita. 2010; 46(3):284-7.PMID 20847462 نسخة محفوظة 03 يونيو 2016 على موقع واي باك مشين.
- Pesticide exposure as a risk factor for amyotrophic lateral sclerosis: A meta-analysis of epidemiological studies: Pesticide exposure as a risk factor for ALS. By Malek AM, Barchowsky A, Bowser R, Youk A, Talbott EO. In Environ Res. 2012 Aug; 117:112-9. PMID 22819005 نسخة محفوظة 06 مارس 2016 على موقع واي باك مشين.
- Are environmental exposures to selenium, heavy metals, and pesticides risk factors for amyotrophic lateral sclerosis?. By Vinceti M, Bottecchi I, Fan A, Finkelstein Y, Mandrioli J. In Rev Environ Health. 2012; 27(1):19-41. PMID 22755265 نسخة محفوظة 07 أكتوبر 2017 على موقع واي باك مشين.
- Pesticide exposure and amyotrophic lateral sclerosis. By Kamel F, Umbach DM, Bedlack RS, Richards M, Watson M, Alavanja MC, Blair A, Hoppin JA, Schmidt S, Sandler DP. In Neurotoxicology. 2012 Jun; 33(3):457-62. PMID 22521219 نسخة محفوظة 30 يوليو 2016 على موقع واي باك مشين.
- Brown RH, Al-Chalabi A (July 13, 2017). "Amyotrophic Lateral Sclerosis". The New England Journal of Medicine. 377 (2): 162–172. doi:10.1056/NEJMra1603471. PMID 28700839. الوسيط
|CitationClass=تم تجاهله (مساعدة) - Nguyen HP, Van Broeckhoven C, van der Zee J (June 2018). "ALS Genes in the Genomic Era and their Implications for FTD". Trends in Genetics. 34 (6): 404–423. doi:10.1016/j.tig.2018.03.001. PMID 29605155. الوسيط
|CitationClass=تم تجاهله (مساعدة) - Vajda A, McLaughlin RL, Heverin M, Thorpe O, Abrahams S, Al-Chalabi A, Hardiman O (March 2017). "Genetic testing in ALS: A survey of current practices". Neurology. 88 (10): 991–999. doi:10.1212/WNL.0000000000003686. PMC 5333513. PMID 28159885. الوسيط
|CitationClass=تم تجاهله (مساعدة) - Byrne S, Walsh C, Lynch C, Bede P, Elamin M, Kenna K, McLaughlin R, Hardiman O (June 2011). "Rate of familial amyotrophic lateral sclerosis: a systematic review and meta-analysis". Journal of Neurology, Neurosurgery, and Psychiatry. 82 (6): 623–7. doi:10.1136/jnnp.2010.224501. PMID 21047878. الوسيط
|CitationClass=تم تجاهله (مساعدة) - He J, Mangelsdorf M, Fan D, Bartlett P, Brown MA (December 2015). "Amyotrophic Lateral Sclerosis Genetic Studies: From Genome-wide Association Mapping to Genome Sequencing". The Neuroscientist. 21 (6): 599–615. doi:10.1177/1073858414555404. PMID 25378359. الوسيط
|CitationClass=تم تجاهله (مساعدة) - Couratier P, Corcia P, Lautrette G, Nicol M, Marin B (May 2017). "ALS and frontotemporal dementia belong to a common disease spectrum". Revue Neurologique. 173 (5): 273–279. doi:10.1016/j.neurol.2017.04.001. PMID 28449882. الوسيط
|CitationClass=تم تجاهله (مساعدة) - Corcia P, Couratier P, Blasco H, Andres CR, Beltran S, Meininger V, Vourc'h P (May 2017). "Genetics of amyotrophic lateral sclerosis". Revue Neurologique. 173 (5): 254–262. doi:10.1016/j.neurol.2017.03.030. PMID 28449881. الوسيط
|CitationClass=تم تجاهله (مساعدة) - van Es MA, Hardiman O, Chio A, Al-Chalabi A, Pasterkamp RJ, Veldink JH, van den Berg LH (November 2017). "Amyotrophic lateral sclerosis". Lancet. 390 (10107): 2084–2098. doi:10.1016/S0140-6736(17)31287-4. PMID 28552366. الوسيط
|CitationClass=تم تجاهله (مساعدة) - Chia R, Chiò A, Traynor BJ (January 2018). "Novel genes associated with amyotrophic lateral sclerosis: diagnostic and clinical implications". The Lancet. Neurology. 17 (1): 94–102. doi:10.1016/S1474-4422(17)30401-5. PMC 5901717. PMID 29154141. الوسيط
|CitationClass=تم تجاهله (مساعدة) - Zou ZY, Liu CY, Che CH, Huang HP (January 2016). "Toward precision medicine in amyotrophic lateral sclerosis". Annals of Translational Medicine. 4 (2): 27. doi:10.3978/j.issn.2305-5839.2016.01.16. PMC 4731596. PMID 26889480. الوسيط
|CitationClass=تم تجاهله (مساعدة) - Wingo TS, Cutler DJ, Yarab N, Kelly CM, Glass JD (2011). "The heritability of amyotrophic lateral sclerosis in a clinically ascertained United States research registry". PLOS One. 6 (11): e27985. Bibcode:2011PLoSO...627985W. doi:10.1371/journal.pone.0027985. PMC 3222666. PMID 22132186. الوسيط
|CitationClass=تم تجاهله (مساعدة) - Sontheimer, Harald (2015). Diseases of the Nervous System. Academic Press. صفحة 170. ISBN 978-0-12-800403-6. مؤرشف من الأصل في 8 سبتمبر 2017. اطلع عليه بتاريخ 2 مايو 2015. الوسيط
|CitationClass=تم تجاهله (مساعدة) - Renton AE, Chiò A, Traynor BJ (January 2014). "State of play in amyotrophic lateral sclerosis genetics". Nature Neuroscience. 17 (1): 17–23. doi:10.1038/nn.3584. hdl:2318/156177. PMC 4544832. PMID 24369373. الوسيط
|CitationClass=تم تجاهله (مساعدة) - Martin S, Al Khleifat A, Al-Chalabi A (2017). "What causes amyotrophic lateral sclerosis?". F1000Research. 6: 371. doi:10.12688/f1000research.10476.1. PMC 5373425. PMID 28408982. الوسيط
|CitationClass=تم تجاهله (مساعدة) - Beard JD, Kamel F (1 January 2015). "Military service, deployments, and exposures in relation to amyotrophic lateral sclerosis etiology and survival". Epidemiologic Reviews. 37 (1): 55–70. doi:10.1093/epirev/mxu001. PMC 4325667. PMID 25365170. الوسيط
|CitationClass=تم تجاهله (مساعدة) - Belbasis L, Bellou V, Evangelou E (March 2016). "Environmental Risk Factors and Amyotrophic Lateral Sclerosis: An Umbrella Review and Critical Assessment of Current Evidence from Systematic Reviews and Meta-Analyses of Observational Studies". Neuroepidemiology. 46 (2): 96–105. doi:10.1159/000443146. PMID 26731747. الوسيط
|CitationClass=تم تجاهله (مساعدة) - Beard JD, Steege AL, Ju J, Lu J, Luckhaupt SE, Schubauer-Berigan MK (يوليو 2017). "Mortality from Amyotrophic Lateral Sclerosis and Parkinson's Disease Among Different Occupation Groups - United States, 1985-2011". MMWR. Morbidity and Mortality Weekly Report. 66 (27): 718–722. doi:10.15585/mmwr.mm6627a2. PMC 5687590. PMID 28704346. مؤرشف من الأصل في 22 ديسمبر 2017. الوسيط
|CitationClass=تم تجاهله (مساعدة) - Sutedja NA, Fischer K, Veldink JH, van der Heijden GJ, Kromhout H, Heederik D, Huisman MH, Wokke JJ, van den Berg LH (2009). "What we truly know about occupation as a risk factor for ALS: a critical and systematic review". Amyotrophic Lateral Sclerosis. 10 (5–6): 295–301. doi:10.3109/17482960802430799. PMID 19922116. الوسيط
|CitationClass=تم تجاهله (مساعدة) - Ingre C, Roos PM, Piehl F, Kamel F, Fang F (2015). "Risk factors for amyotrophic lateral sclerosis". Clinical Epidemiology. 7: 181–93. doi:10.2147/CLEP.S37505. PMC 4334292. PMID 25709501. الوسيط
|CitationClass=تم تجاهله (مساعدة) - Kamel F, Umbach DM, Bedlack RS, Richards M, Watson M, Alavanja MC, Blair A, Hoppin JA, Schmidt S, Sandler DP (June 2012). "Pesticide exposure and amyotrophic lateral sclerosis". Neurotoxicology. 33 (3): 457–62. doi:10.1016/j.neuro.2012.04.001. PMC 3358481. PMID 22521219. الوسيط
|CitationClass=تم تجاهله (مساعدة) - Bozzoni V, Pansarasa O, Diamanti L, Nosari G, Cereda C, Ceroni M (2016). "Amyotrophic lateral sclerosis and environmental factors". Functional Neurology. 31 (1): 7–19. PMC 4819821. PMID 27027889. الوسيط
|CitationClass=تم تجاهله (مساعدة) - Malek AM, Barchowsky A, Bowser R, Youk A, Talbott EO (August 2012). "Pesticide exposure as a risk factor for amyotrophic lateral sclerosis: a meta-analysis of epidemiological studies: pesticide exposure as a risk factor for ALS". Environmental Research. 117: 112–9. Bibcode:2012ER....117..112M. doi:10.1016/j.envres.2012.06.007. PMID 22819005. الوسيط
|CitationClass=تم تجاهله (مساعدة) - Gardner RC, Yaffe K (May 2015). "Epidemiology of mild traumatic brain injury and neurodegenerative disease". Molecular and Cellular Neurosciences. 66 (Pt B): 75–80. doi:10.1016/j.mcn.2015.03.001. PMC 4461453. PMID 25748121. الوسيط
|CitationClass=تم تجاهله (مساعدة) - Watanabe Y, Watanabe T (October 2017). "Meta-analytic evaluation of the association between head injury and risk of amyotrophic lateral sclerosis". European Journal of Epidemiology. 32 (10): 867–879. doi:10.1007/s10654-017-0327-y. PMID 29080013. الوسيط
|CitationClass=تم تجاهله (مساعدة) - Veldink JH, Kalmijn S, Groeneveld GJ, Titulaer MJ, Wokke JH, van den Berg LH (January 2005). "Physical activity and the association with sporadic ALS". Neurology. 64 (2): 241–5. doi:10.1212/01.WNL.0000149513.82332.5C. PMID 15668420. الوسيط
|CitationClass=تم تجاهله (مساعدة) - Armon C (November 2007). "Sports and trauma in amyotrophic lateral sclerosis revisited". Journal of the Neurological Sciences. 262 (1–2): 45–53. doi:10.1016/j.jns.2007.06.021. PMID 17681549. الوسيط
|CitationClass=تم تجاهله (مساعدة) - Harwood CA, McDermott CJ, Shaw PJ (August 2009). "Physical activity as an exogenous risk factor in motor neuron disease (MND): a review of the evidence". Amyotrophic Lateral Sclerosis. 10 (4): 191–204. doi:10.1080/17482960802549739. PMID 19263258. الوسيط
|CitationClass=تم تجاهله (مساعدة) - Lacorte E, Ferrigno L, Leoncini E, Corbo M, Boccia S, Vanacore N (July 2016). "Physical activity, and physical activity related to sports, leisure and occupational activity as risk factors for ALS: A systematic review". Neuroscience and Biobehavioral Reviews. 66: 61–79. doi:10.1016/j.neubiorev.2016.04.007. PMID 27108217. الوسيط
|CitationClass=تم تجاهله (مساعدة) - Hamidou B, Couratier P, Besançon C, Nicol M, Preux PM, Marin B (July 2014). "Epidemiological evidence that physical activity is not a risk factor for ALS". European Journal of Epidemiology. 29 (7): 459–75. doi:10.1007/s10654-014-9923-2. PMID 24986107. الوسيط
|CitationClass=تم تجاهله (مساعدة) - Couratier P, Corcia P, Lautrette G, Nicol M, Preux P, Marin B (January 2016). "Epidemiology of amyotrophic lateral sclerosis: A review of literature". Neuroepidemiology. 172 (1): 37–45. doi:10.1016/j.neurol.2015.11.002. PMID 26727307. الوسيط
|CitationClass=تم تجاهله (مساعدة) - Tharmaratnam T, Iskandar M, Tabobondung T, Tobbia I, Gopee-Ramanan P, Tabobondung T (June 19, 2018). "Chronic Traumatic Encephalopathy in Professional American Football Players: Where Are We Now?". Frontiers in Neurology. 19 (9): 445. doi:10.3389/fneur.2018.00445. PMC 6018081. PMID 29971037. الوسيط
|CitationClass=تم تجاهله (مساعدة) - Gardner A, Iverson G, McCrory P (January 2014). "Chronic traumatic encephalopathy in sport: a systematic review". British Journal of Sports Medicine. 48 (2): 84–90. doi:10.1136/bjsports-2013-092646. PMID 23803602. الوسيط
|CitationClass=تم تجاهله (مساعدة) - Belson, Ken (April 22, 2015). "Judge Approves Deal in N.F.L. Concussion Suit". New York Times. مؤرشف من الأصل في 11 أغسطس 2018. اطلع عليه بتاريخ 10 أغسطس 2018. الوسيط
|CitationClass=تم تجاهله (مساعدة) - "Kevin Turner, N.F.L. Player Who Later Fought the League, Dies at 46". نيويورك تايمز. 24 مارس 2016. مؤرشف من الأصل في 28 مارس 2016. اطلع عليه بتاريخ 27 مارس 2016. الوسيط
|CitationClass=تم تجاهله (مساعدة) - Armon C (November 2009). "Smoking may be considered an established risk factor for sporadic ALS". Neurology. 73 (20): 1693–8. doi:10.1212/WNL.0b013e3181c1df48. PMC 2788806. PMID 19917993. الوسيط
|CitationClass=تم تجاهله (مساعدة) - Alonso A, Logroscino G, Hernán MA (November 2010). "Smoking and the risk of amyotrophic lateral sclerosis: a systematic review and meta-analysis". Journal of Neurology, Neurosurgery, and Psychiatry. 81 (11): 1249–52. doi:10.1136/jnnp.2009.180232. PMID 20639382. الوسيط
|CitationClass=تم تجاهله (مساعدة) - Wang H, O'Reilly ÉJ, Weisskopf MG, Logroscino G, McCullough ML, Thun MJ, Schatzkin A, Kolonel LN, Ascherio A (February 2011). "Smoking and risk of amyotrophic lateral sclerosis: a pooled analysis of 5 prospective cohorts". Archives of Neurology. 68 (2): 207–13. doi:10.1001/archneurol.2010.367. PMC 3319086. PMID 21320987. الوسيط
|CitationClass=تم تجاهله (مساعدة) - Reaume A, Elliott J, Hoffman E, Kowall N, Ferrante R, Siwek D, Wilcox H, Flood D, Beal M, Brown R, Scott R, Snider W (1996). "Motor neurons in Cu/Zn superoxide dismutase-deficient mice develop normally but exhibit enhanced cell death after axonal injury". Nat Genet. 13 (1): 43–7. doi:10.1038/ng0596-43. PMID 8673102. الوسيط
|CitationClass=تم تجاهله (مساعدة)صيانة CS1: أسماء متعددة: قائمة المؤلفون (link) - Bruijn L, Houseweart M, Kato S, Anderson K, Anderson S, Ohama E, Reaume A, Scott R, Cleveland D (1998). "Aggregation and motor neuron toxicity of an ALS-linked SOD1 mutant independent from wild-type SOD1". Science. 281 (5384): 1851–4. doi:10.1126/science.281.5384.1851. PMID 9743498. الوسيط
|CitationClass=تم تجاهله (مساعدة)صيانة CS1: أسماء متعددة: قائمة المؤلفون (link) - Xu Z, Henderson RD, David M, McCombe PA (2016). "Neurofilaments as Biomarkers for Amyotrophic Lateral Sclerosis: A Systematic Review and Meta-Analysis". PLOS One. 11 (10): e0164625. Bibcode:2016PLoSO..1164625X. doi:10.1371/journal.pone.0164625. PMC 5061412. PMID 27732645. الوسيط
|CitationClass=تم تجاهله (مساعدة) - Vu LT, Bowser R (January 2017). "Fluid-Based Biomarkers for Amyotrophic Lateral Sclerosis". Neurotherapeutics. 14 (1): 119–134. doi:10.1007/s13311-016-0503-x. PMC 5233638. PMID 27933485. الوسيط
|CitationClass=تم تجاهله (مساعدة) - Costa J, Swash M, de Carvalho M (November 2012). "Awaji Criteria for the Diagnosis of Amyotrophic Lateral Sclerosis: A Systematic Review". Archives of Neurology. 69 (11): 1410–1416. doi:10.1001/archneurol.2012.254. PMID 22892641. الوسيط
|CitationClass=تم تجاهله (مساعدة) - Belsh JM (March 2000). "ALS diagnostic criteria of El Escorial Revisited: do they meet the needs of clinicians as well as researchers?". Amyotrophic Lateral Sclerosis and Other Motor Neuron Disorders. 1 (Supplement 1): S57–S60. PMID 11464928. الوسيط
|CitationClass=تم تجاهله (مساعدة) - Silani V, Messina S, Poletti B, Morelli C, Doretti A, Ticozzi N, Maderna L (March 2011). "The diagnosis of Amyotrophic lateral sclerosis in 2010". Archives Italiennes de Biologie. 149 (1): 5–27. doi:10.4449/aib.v149i1.1260. PMID 21412713. الوسيط
|CitationClass=تم تجاهله (مساعدة) - "Lambert-Eaton Myasthenic Syndrome (LEMS)". Misc.medscape.com. مؤرشف من الأصل في 14 مايو 2013. اطلع عليه بتاريخ 18 أبريل 2013. الوسيط
|CitationClass=تم تجاهله (مساعدة) - "LEMS.com, Lambert-Eaton Myasthenic Syndrome: About". Lems.com. مؤرشف من الأصل في 20 يناير 2013. اطلع عليه بتاريخ 18 أبريل 2013. الوسيط
|CitationClass=تم تجاهله (مساعدة) - Mills KR (November 2010). "Characteristics of fasciculations in amyotrophic lateral sclerosis and the benign fasciculation syndrome". Brain. 133 (11): 3458–69. doi:10.1093/brain/awq290. PMID 20959307. الوسيط
|CitationClass=تم تجاهله (مساعدة) - Eisen A (2002). "Amyotrophic lateral sclerosis: A review". BCMJ. 44 (7): 362–366. مؤرشف من الأصل في 21 يونيو 2013. اطلع عليه بتاريخ أكتوبر 2020. الوسيط
|CitationClass=تم تجاهله (مساعدة); تحقق من التاريخ في:|تاريخ الوصول=(مساعدة) - Davenport RJ, Swingler RJ, Chancellor AM, Warlow CP (February 1996). "Avoiding false positive diagnoses of motor neuron disease: lessons from the Scottish Motor Neuron Disease Register". Journal of Neurology, Neurosurgery, and Psychiatry. 60 (2): 147–51. doi:10.1136/jnnp.60.2.147. PMC 1073793. PMID 8708642. الوسيط
|CitationClass=تم تجاهله (مساعدة) - Chieia MA, Oliveira AS, Silva HC, Gabbai AA (December 2010). "Amyotrophic lateral sclerosis: considerations on diagnostic criteria". Arquivos de Neuro-Psiquiatria. 68 (6): 837–42. doi:10.1590/S0004-282X2010000600002. PMID 21243238. الوسيط
|CitationClass=تم تجاهله (مساعدة) - Al-Asmi A, Nandhagopal R, Jacob PC, Gujjar A (February 2012). "Misdiagnosis of Myasthenia Gravis and Subsequent Clinical Implication: A case report and review of literature". Sultan Qaboos University Medical Journal. 12 (1): 103–8. doi:10.12816/0003095. PMC 3286704. PMID 22375266. الوسيط
|CitationClass=تم تجاهله (مساعدة) - Pasinetti G, Ungar L, Lange D, Yemul S, Deng H, Yuan X, Brown R, Cudkowicz M, Newhall K, Peskind E, Marcus S, Ho L (2006). "Identification of potential CSF biomarkers in ALS". Neurology. 66 (8): 1218–22. doi:10.1212/01.wnl.0000203129.82104.07. PMID 16481598. الوسيط
|CitationClass=تم تجاهله (مساعدة)صيانة CS1: أسماء متعددة: قائمة المؤلفون (link) - Carlesi C, Pasquali L, Piazza S, Lo Gerfo A, Caldarazzo Ienco E, Alessi R, Fornai F, Siciliano G (March 2011). "Strategies for clinical approach to neurodegeneration in Amyotrophic lateral sclerosis". Archives Italiennes de Biologie. 149 (1): 151–67. doi:10.4449/aib.v149i1.1267. PMID 21412722. الوسيط
|CitationClass=تم تجاهله (مساعدة) - Miller RG, Mitchell JD, Moore DH (March 2012). "Riluzole for amyotrophic lateral sclerosis (ALS)/motor neuron disease (MND)". The Cochrane Database of Systematic Reviews. 3 (3): CD001447. doi:10.1002/14651858.CD001447.pub3. PMID 22419278. الوسيط
|CitationClass=تم تجاهله (مساعدة) - Andersen PM, Abrahams S, Borasio GD, de Carvalho M, Chio A, Van Damme P, et al. (March 2012). "EFNS guidelines on the Clinical Management of Amyotrophic Lateral Sclerosis (MALS) – revised report of an EFNS task force". European Journal of Neurology. 19 (3): 360–75. doi:10.1111/j.1468-1331.2011.03501.x. PMID 21914052. الوسيط
|CitationClass=تم تجاهله (مساعدة) - Hardiman O, van den Berg LH (July 2017). "Edaravone: a new treatment for ALS on the horizon?". The Lancet. Neurology. 16 (7): 490–91. doi:10.1016/S1474-4422(17)30163-1. PMID 28522180. الوسيط
|CitationClass=تم تجاهله (مساعدة) - Abe K, Masashi A, Tsuji S, Itoyama Y, Sobue G, Togo M, et al. (July 2017). "Safety and efficacy of edaravone in well defined patients with amyotrophic lateral sclerosis: a randomised, double-blind, placebo-controlled trial". The Lancet. Neurology. 16 (7): 505–12. doi:10.1016/S1474-4422(17)30115-1. PMID 28522181. الوسيط
|CitationClass=تم تجاهله (مساعدة) - Takei K, Watanabe K, Yuki S, Akimoto M, Sakata T, Palumbo J (October 2017). "Edaravone and its clinical development for amyotrophic lateral sclerosis". Amyotrophic Lateral Sclerosis. 18 (sup 1): 5–10. doi:10.1080/21678421.2017.1353101. PMID 28872907. الوسيط
|CitationClass=تم تجاهله (مساعدة) - Dorst J, Ludolph A, Huebers A (October 9, 2017). "Disease-modifying and symptomatic treatment of amyotrophic lateral sclerosis". Therapeutic Advances in Neurological Disorders. 11: 1756285617734734. doi:10.1177/1756285617734734. PMC 5784546. PMID 29399045. الوسيط
|CitationClass=تم تجاهله (مساعدة) - Orrell RW (2010). "Motor neuron disease: systematic reviews of treatment for ALS and SMA". British Medical Bulletin. 93: 145–59. doi:10.1093/bmb/ldp049. PMID 20015852. الوسيط
|CitationClass=تم تجاهله (مساعدة) - Baldinger R, Katzberg HD, Weber M (April 2012). "Treatment for cramps in amyotrophic lateral sclerosis/motor neuron disease". The Cochrane Database of Systematic Reviews (4): CD004157. doi:10.1002/14651858.CD004157.pub2. PMID 22513921. الوسيط
|CitationClass=تم تجاهله (مساعدة) - Kasarskis EJ, Berryman S, Vanderleest JG, Schneider AR, McClain CJ (Jan 1996). "Nutritional status of patients with amyotrophic lateral sclerosis: relation to the proximity of death". Am J Clin Nutr. 63 (1): 130–7. doi:10.1093/ajcn/63.1.130. PMID 8604660. مؤرشف من الأصل في 14 مارس 2020. الوسيط
|CitationClass=تم تجاهله (مساعدة) - Zhao Z, Lange DJ, Voustianiouk A; et al. (2006). "A ketogenic diet as a potential novel therapeutic intervention in amyotrophic lateral sclerosis". BMC Neurosci. 7: 29. doi:10.1186/1471-2202-7-29. PMC 1488864. PMID 16584562. الوسيط
|CitationClass=تم تجاهله (مساعدة); Explicit use of et al. in:|مؤلف=(مساعدة)صيانة CS1: أسماء متعددة: قائمة المؤلفون (link)
ذكر تقرير لوسائل الاعلام عن زهاو وآخرون.. نسخة محفوظة 13 يناير 2016 على موقع واي باك مشين. - س. Kuzuhara، Y. Kokubo P3 - 146Marked زيادة parkinsonism - العته (شعبة المشتريات) phenotypes في ارتفاع معدل amyotrophic التصلب الجانبي (ALS) Kii التركيز في شبه الجزيرة الكورية في اليابان. مرض الزهايمر والخرف، المجلد 2، العدد 3، الصفحات S417 - S417
- Spencer PS, Palmer VS, Ludolph AC (2005). "On the decline and etiology of high-incidence motor system disease in West Papua (southwest New Guinea)". Mov. Disord. 20 (Suppl 12): S119–26. doi:10.1002/mds.20552. PMID 16092101. الوسيط
|CitationClass=تم تجاهله (مساعدة)صيانة CS1: أسماء متعددة: قائمة المؤلفون (link) - "George Bush delivers possibly the best ALS ice bucket challenge yet". Independent. مؤرشف من الأصل في 21 أغسطس 2014. اطلع عليه بتاريخ 20 أغسطس 2014. الوسيط
|CitationClass=تم تجاهله (مساعدة) - "Ice Bucket Challenge funds gene discovery in ALS (MND) research". BBC News. 27 يوليو 2016. مؤرشف من الأصل في 28 يوليو 2016. اطلع عليه بتاريخ 27 يوليو 2016. الوسيط
|CitationClass=تم تجاهله (مساعدة) - Alexander, Ella. "Ice Bucket Challenge: Lady Gaga, Justin Bieber, G-Dragon and Oprah – the most entertaining reactions so far". الوسيط
|CitationClass=تم تجاهله (مساعدة) - "Ice Bucket Challenge funds discovery of gene linked to ALS". مؤرشف من الأصل في 27 يوليو 2016. اطلع عليه بتاريخ 27 يوليو 2016. الوسيط
|CitationClass=تم تجاهله (مساعدة) - Kenna KP, van Doormaal PT, Dekker AM, Ticozzi N, Kenna BJ, Diekstra FP, et al. (September 2016). "NEK1 variants confer susceptibility to amyotrophic lateral sclerosis". Nature Genetics. 48 (9): 1037–42. doi:10.1038/ng.3626. PMC 5560030. PMID 27455347. الوسيط
|CitationClass=تم تجاهله (مساعدة) - Fang J, Zhou M, Yang M, Zhu C, He L (May 2013). "Repetitive transcranial magnetic stimulation for the treatment of amyotrophic lateral sclerosis or motor neuron disease". The Cochrane Database of Systematic Reviews (5): CD008554. doi:10.1002/14651858.CD008554.pub3. PMID 23728676. الوسيط
|CitationClass=تم تجاهله (مساعدة) - Chen KS, Sakowski SA, Feldman EL (March 2016). "Intraspinal stem cell transplantation for amyotrophic lateral sclerosis". Annals of Neurology. 79 (3): 342–53. doi:10.1002/ana.24584. PMC 4789073. PMID 26696091. الوسيط
|CitationClass=تم تجاهله (مساعدة) - Abdul Wahid SF, Law ZK, Ismail NA, Azman Ali R, Lai NM (November 2016). "Cell-based therapies for amyotrophic lateral sclerosis/motor neuron disease". The Cochrane Database of Systematic Reviews. 11: CD011742. doi:10.1002/14651858.CD011742.pub2. PMID 27822919. الوسيط
|CitationClass=تم تجاهله (مساعدة) - Ekestern E (2004). "Neurotrophic factors and amyotrophic lateral sclerosis". Neuro-Degenerative Diseases. 1 (2–3): 88–100. doi:10.1159/000080049. PMID 16908980. الوسيط
|CitationClass=تم تجاهله (مساعدة) - "Public summary of opinion on orphan designation Masitinib mesilate for treatment of amyotrophic lateral sclerosis" (PDF). EMA. European Medicines Agency, Committee for Orphan Medicinal Products. 22 سبتمبر 2016. مؤرشف من الأصل (PDF) في 6 نوفمبر 2016. اطلع عليه بتاريخ 6 نوفمبر 2016. الوسيط
|CitationClass=تم تجاهله (مساعدة) - Rowland LP, Shneider NA (May 2001). "Amyotrophic lateral sclerosis". The New England Journal of Medicine. 344 (22): 1688–700. doi:10.1056/NEJM200105313442207. PMID 11386269. الوسيط
|CitationClass=تم تجاهله (مساعدة) - Pastula DM, Moore DH, Bedlack RS (December 2012). "Creatine for amyotrophic lateral sclerosis/motor neuron disease". The Cochrane Database of Systematic Reviews. 12: CD005225. doi:10.1002/14651858.CD005225.pub3. PMID 23235621. الوسيط
|CitationClass=تم تجاهله (مساعدة) - Bartus RT, Bétourné A, Basile A, Peterson BL, Glass J, Boulis NM (January 2016). "β2-Adrenoceptor agonists as novel, safe and potentially effective therapies for Amyotrophic lateral sclerosis (ALS)". Neurobiology of Disease. 85: 11–24. doi:10.1016/j.nbd.2015.10.006. PMID 26459114. الوسيط
|CitationClass=تم تجاهله (مساعدة) - Bräuer S, Zimyanin V, Hermann A (April 2018). "Prion-like properties of disease-relevant proteins in amyotrophic lateral sclerosis". Journal of Neural Transmission. 125 (4): 591–613. doi:10.1007/s00702-018-1851-y. PMID 29417336. الوسيط
|CitationClass=تم تجاهله (مساعدة) - Lau DH, Hartopp N, Welsh NJ, Mueller S, Glennon EB, Mórotz GM, Annibali A, Gomez-Suaga P, Stoica R, Paillusson S, Miller CC (February 2018). "Disruption of ER-mitochondria signalling in fronto-temporal dementia and related amyotrophic lateral sclerosis". Cell Death & Disease. 9 (3): 327. doi:10.1038/s41419-017-0022-7. PMC 5832427. PMID 29491392. الوسيط
|CitationClass=تم تجاهله (مساعدة) - Neumann M (October 2013). "Frontotemporal lobar degeneration and amyotrophic lateral sclerosis: molecular similarities and differences". Revue Neurologique. 169 (10): 793–98. doi:10.1016/j.neurol.2013.07.019. PMID 24011641. الوسيط
|CitationClass=تم تجاهله (مساعدة)
مصادر أخرى
- "ALS Hope Foundation". مؤرشف من الأصل في 12 أبريل 2015. اطلع عليه بتاريخ 21 يونيو 2008.
Dedicated to the care and cure of people with Lou Gehrig's Disease. (from site page us.php)
الوسيط|CitationClass=تم تجاهله (مساعدة) - "Lou Gehrig: The Official Web Site". CMG Worldwide. مؤرشف من الأصل في 13 فبراير 2020. اطلع عليه بتاريخ 21 يونيو 2008.
The Official Web site of Lou Gehrig is an informational Web site intended to honor the life, the legend and the career of Lou Gehrig. (from site page siteinfo/index.htm)
الوسيط|CitationClass=تم تجاهله (مساعدة) - Patrick Aebischer (نوفمبر 2007). "Playing defense against Lou Gehrig's Disease". ساينتفك أمريكان. Verlagsgruppe Georg von Holtzbrinck. صفحات 86–93. مؤرشف من الأصل (Paper) في 08 مارس 2020. اطلع عليه بتاريخ 21 يونيو 2008.
Researchers have proposed potential therapies for a paralyzing disorder once thought to be untreatable (sub-title)
الوسيط|CitationClass=تم تجاهله (مساعدة)
روابط إضافية
- رابطة التصلب العضلي الجانبي
- المعاهد الوطنية للصحة Amyotrophic تصلب الأنسجة الجانبي صحيفة وقائع
- الحياة مع داء لو جيهريج—قصة NPR
- بوابة طب
- بوابة علوم عصبية
- بوابة علم النفس
- According to one cohort study, 11.5% of people with ALS have extraocular muscle dysfunction.[15]
