جلطة معوية
الجلطة المعوية أو الإقفار المساريقي[6] (بالإنجليزية: Mesenteric ischemia) هو حالة طبية تحدث فيها إصابة للأمعاء الدقيقة بسبب عدم كفاية إمدادات الدم،[2] وقد تحدث فجأة وتُعرف باسم الإقفار المساريقي الحاد، أو تدريجيا وتُعرف باسم الإقفار المساريقي المزمن.[1] وغالبًا ما يظهر المرض الحاد بألم شديد مفاجئ،[1] وقد تظهر الأعراض ببطء شديد لدى المصابين بأمراض مزمنة.[2] وتشمل علامات وأعراض المرض المزمن: الألم البطني بعد تناول الطعام، وفقدان الوزن غير المتعمد، والتقيؤ، والخوف من تناول الطعام.[1][2]
| جلطة معوية | |
|---|---|
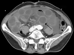
![]() تصوير مقطعي يبين حلقات متوسعة من الأمعاء الدقيقة مع جدران سميكة (السهم الأسود)، ونتائج مميِزة للأمعاء الإقفارية بسبب تخثر الوريد المساريقي العلوي. تصوير مقطعي يبين حلقات متوسعة من الأمعاء الدقيقة مع جدران سميكة (السهم الأسود)، ونتائج مميِزة للأمعاء الإقفارية بسبب تخثر الوريد المساريقي العلوي. | |
| تسميات أخرى | الإقفار المساريقي، مرض وعائي مساريقي |
| معلومات عامة | |
| الاختصاص | طب الجهاز الهضمي |
| من أنواع | احتشاء ، واحتشاء الأمعاء |
| الأنواع | حاد، مزمن[1] |
| الأسباب | |
| عوامل الخطر | رجفان أذيني، فشل القلب، فشل كلوي مزمن، الميل إلى تكون جلطات، نوبة قلبية سابقة[2] |
| المظهر السريري | |
| البداية المعتادة | > 60 سنة[3] |
| الأعراض | حاد: ألم مفاجئ شديد[1] مزمن: ألم بطني بعد الأكل، فقدان الوزن غير المتعمد، قيء[2][1] |
| الإدارة | |
| التشخيص | تصوير الأوعية, تصوير مقطعي محوسب[1] |
| العلاج | دعامة، أدوية لتكسير الجلطات، جراحة[1][2] |
| المآل | خطر الموت ~80%[3] |
| الوبائيات | |
| انتشار المرض | حاد: 5 من كل 100,000 في السنة (العالم المتقدم)[4] مزمن: 1 من كل 100,000[5] |
تشمل عوامل الخطر الرجفان الأذيني، وفشل القلب، والفشل الكلوي المزمن، واحتشاء عضلة القلب السابق، وكون المريض عرضة لتشكيل جلطات الدم.[2] وهناك أربع آليات يتم بواسطتها حدوث تدفق دمّ ضعيف هي: تجلط دموي من مكان آخر يصل للشريان ويسده، وتشكل جلطة دموية جديدة في الشريان، وتشكل جلطة دموية في الوريد المساريقي العلوي، والتدفق الغير كافي للدم بسبب انخفاض ضغط الدم أو تضيق الشرايين،[3][7] كما أن المرض المزمن هو أحد عوامل الخطر للمرض الحاد.[8] وأفضل طريقة للتشخيص هي تصوير الأوعية، مع استخدام التصوير المقطعي المحوسب عندما لا يكون تصوير الأوعية متاحًا.[1]
قد يشمل علاج الجلطة المعوية الحادة الدعامات أو الأدوية لتكسير الجلطة التي يتم توفيرها في موقع العرقلة عن طريق الأشعة التداخلية،[1] ويمكن أيضًا استخدام الجراحة المفتوحة لإزالة أو تجاوز العائق، وقد يكون إزالة أي أمعاء قد تكون ماتت مطلوبا،[2] وإذا لم يتم التعامل مع الحالة بسرعة فغالبا ما تكون النتائج ضعيفة.[1] ويصل خطر الوفاة بين المصابين حتى مع العلاج إلى 70٪ إلى 90٪.[3] وفي أولئك الذين يعانون من أمراض مزمنة فإن جراحة تحويل المسار هي العلاج الأمثل.[1] ويمكن علاج أولئك الذين لديهم تخثر في الوريد بمضادات تخثر الدم، مثل الهيبارين والوارفارين، مع اللجوء للجراحة إذا لم تتحسن الحالة.[2][9]
تصيب الجلطة المعوية الحادة حوالي خمسة من كل مائة ألف شخص سنويا في العالم المتقدم،[4] بينما تصيب الجلطة المعوية المزمنة واحد من كل مائة ألف شخص.[5] وأكثر المرضي في سن أكبر من 60 سنة.[3] والمعدلات متساوية في الذكور والإناث من نفس العمر.[3] وتم وصف نقصه لأول مرة في عام 1895.[1]
الأسباب
في غالب الأحيان يكون السبب هو صمة وريدية تنتقل عن طريق الدم حتى تصل الشريان المعوي وتقوم بسده، أو يكون السبب هو جلطة تتكون في الشريان نفسه، وعوامل الخطورة للجلطة المعوية هي مرض تصلب الشرايين، أو الرجفان الأذيني، أو عملية جراحية في البطن، مثل عملية أم الدم.
الأعراض والعلامات
تمر الأعراض بثلاث مراحل:[10][11]
- المرحلة الأولى: مرحلة النشاط المفرط، حيث تكون الأعراض الأولية ألم شديد في البطن، ومرور براز دموي. ويتحسن العديد من المرضى ولا يتقدمون بعد هذه المرحلة.
- المرحلة الثانية: يمكن أن تتبع مرحلة الشلل المرحلة الأولى إذا استمر نقص التروية. وفي هذه المرحلة، يصبح ألم البطن أكثر انتشارًا، وتصبح البطن أكثر إيلاما عند اللمس، وتقل حركة الأمعاء، مما يؤدي إلى انتفاخ البطن، مع عدم وجود المزيد من البراز الدموي، وغياب أصوات الأمعاء عند الفحص.
- المرحلة الاخيرة: أخيرًا، يمكن أن تتطور مرحلة الصدمة عندما تبدأ السوائل بالتسرب عبر بطانة القولون التالفة، مما قد يؤدي إلى الصدمة، والحماض الأيضي مع الجفاف، وانخفاض ضغط الدم، وتسرع القلب، والارتباك. وغالبا ما تكون حالة المرضى الذين يتقدمون إلى هذه المرحلة خطيرة، ويتطلبون رعاية مكثفة.
الأعراض السريرية
تتنوع أعراض الإقفار المساريق، ويمكن أن تكون حادة،[12] أو تحت الحادة، أو مزمنة.[13]
ويُظهر تقرير مجاميع من الحالات انتشار النتائج السريرية وتوفير أفضل تقدير متاح، ولكن متحيز، من حساسية النتائج السريرية.[14][15] ومن الأعراض التي ظهرت في سلسلة من 58 مريضا يعانون من الأقفار المساريقي بسبب أسباب مختلطة:[15]
- كان ألم البطن موجودا في 95% (متوسط مدة 24 ساعة)، وتقدم ثلاثة مرضى آخرين إلى الصدمة والحماض الأيضي.
- غثيان في 44%
- تقيؤ في 35%
- إسهال في 35%
- معدل ضربات القلب > 100 في 33%
- نزف من المستقيم في 16%
- إمساك في 7%
الاستدلال التشخيصي
في غياب الدراسات الكَميّة الكافية لتوجيه التشخيص، هناك استدلالات مختلفة تساعد في التشخيص:
- يجب أن يشتبه في نقص التروية المساريقي عندما يطور الأفراد، وخاصة أولئك المعرضين لخطر كبير لنقص التروية المساريقي الحاد، آلام البطن الحادة والمستمرة التي لا تتناسب مع نتائج فحص البطن الخاصة بهم.[16]
- فيما يتعلق بالتخثر الشرياني المساريقي أو الانسداد: "الأعراض المبكرة تكون موجودة وهي خفيفة نسبياً في 50٪ من الحالات لمدة ثلاثة إلى أربعة أيام قبل أن يتم طلب العناية الطبية".[17]
- فيما يتعلق بالتخثر الشرياني المساريقي أو الانسداد: "أي مريض يعاني من عدم انتظام ضربات القلب، مثل الرجفان الأذيني، ويشكو من آلام في البطن يشتبه بدرجة عالية في وجود انصمام في الشريان المساريقي العلوي حتى يثبت العكس."[17]
التشخيص
من الصعب تشخيص الإقفار المساريقي في وقت مبكر،[18] ويجب التفريق بين التهاب القولون الإقفاري، والذي غالبا ما يُشفى من تلقاء نفسه ونقص التروية المساريقي الحاد في الأمعاء الدقيقة الذي يهدد الحياة.
تحاليل الدم
في سلسلة من 58 مريضا يعانون من الإقفار المساريقي بسبب أسباب مختلطة:[15]
- عدد خلايا الدم البيضاء >10.5 في 98٪ (ربما يكون تقديرًا زائديًا حيث تم اختباره فقط في 81٪ من المرضى)
- ارتفع حمض اللاكتيك بنسبة 91٪ (من المحتمل أن يكون مبالغًا فيه حيث تم اختباره فقط في 57٪ من المرضى)
خلال التنظير
تم استخدام عدد من الأجهزة لتقييم مدى كفاية وصول الأكسجين إلى القولون، وكانت الأجهزة المبكرة مبنية على قياس التوتر، واستخدم أول جهاز معتمد من قِبَل إدارة الغذاء والدواء الأمريكية (في عام 2004) التحليل الطيفي للضوء المرئي لتحليل مستويات الأكسجين الشعرية، وتم استخدامه خلال إصلاح تمدد الأوعية الدموية الأبهري الذي تم اكتشافه عندما انخفضت مستويات الأكسجين في القولون إلى ما دون المستويات المستدامة، مما يسمح بالإصلاح في الوقت الفعلي. وفي العديد من الدراسات، كانت الخصوصية 83٪ للإقفار المساريقي المزمن و90٪ أو أعلى لنقص تروية القولون الحاد، مع حساسية من 71٪-92٪، ويجب وضع هذا الجهاز باستخدام التنظير.[19][20][21]
الأشعة السينية
عادة ما تكون الأشعة السينية العادية طبيعية أو تُظهِر نتائج غير محددة.[22]
التصوير المقطعي المحوسب
غالبا ما يُستخدم التصوير المقطعي،[23][24] وتعتمد دقة التصوير المقطعي على مكان وجود انسداد الأمعاء الدقيقة.[25]
في وجود انسداد في الأمعاء الدقيقة
- معدل انتشار الإقفار المساريقي 23٪
- الحساسية 64٪
- الخصوصية 92٪
- القيمة التنبؤية الإيجابية (عند انتشار 23٪) 79٪
- القيمة التنبؤية السلبية (عند انتشار 23٪) 95٪
في عدم وجود انسداد في الأمعاء الدقيقة
- معدل انتشار الإقفار المساريقي 62٪
- حساسية 83٪
- خصوصية 93٪
- القيمة التنبؤية الإيجابية (عند انتشار 62٪) 93٪
- القيمة التنبؤية السلبية (عند انتشار 62٪) 61٪
وتشمل النتائج على الأشعة المقطعية:
تصوير الأوعية
بما أن سبب نقص التروية يمكن أن يكون بسبب انسداد أو تجلط في الأوعية المساريقية أو قد يكون نقص الروية غير انسدادي، فإن أفضل طريقة للتمييز بين المسببات هي من خلال استخدام تصوير الأوعية المساريقي. وعلى الرغم من أنه ينطوي على مخاطر كبيرة، يوفر تصوير الأوعية إمكانية ضخ مباشر لموسعات الأوعية في وضع نقص التروية غير الانسدادي.[26]
المعالجة
يعتمد علاج الإقفار المساريقي على السبب، ويمكن أن يكون العلاج دوائيا أو جراحيا. ومع ذلك، إذا حدث نخر الأمعاء، فإن العلاج الوحيد هو الإزالة الجراحية للأجزاء الميتة من الأمعاء.
في حالة الإقفار المساريقي غير الانسدادي، حيث لا يوجد انسداد في الشرايين التي تغذي الأمعاء، يكون العلاج دوائيا وليس جراحيا. ويتم إدخال الناس إلى المستشفى للإنعاش بالسوائل عن طريق الوريد، مع مراقبة دقيقة من الاختبارات المعملية، ووظيفة القلب والأوعية الدموية. ويمكن استخدام أنبوب أنفي معدي لإزالة الضغط والهيبارين للحد من إجهاد الأمعاء وتحسين التروية على التوالي.
وتبقى إعادة التوعية الجراحية العلاج الأمثل للإقفار المساريقي المتعلق بانسداد الأوعية التي تغذي الأمعاء، ولكن العلاج الدوائي باستخدام مذيبات التخثر والتقنيات الإشعاعية التداخلية الوعائية لها دور متزايد.[27]
إذا تقدم نقص التروية إلى درجة أن الأجزاء المعوية المتأثرة تكون غنغرينية، يتم استئصال تلك الأجزاء. وفي كثير من الأحيان، يتم إزالة الأجزاء الميتة الواضحة في العملية الأولى، وتخطيط إجراء عملية بحث ثانوية لتقييم المقاطع التي تكون حدًا فاصلاً والتي يمكن الحفاظ عليها بعد إعادة التوعي.[28]
توقع سير المرض
يعتمد توقع سير المرض على التشخيص الفوري (أقل من 12-24 ساعة وقبل حدوث الغرغرينا)[29] والسبب الأساسي:[30]
- تخثر وريدي: نسبة الوفيات 32٪
- انسداد الشرايين: نسبة وفيات 54٪
- تجلط الدم الشرياني: نسبة الوفيات 77٪
- نقص التروية غير الانسدادي: نسبة الوفيات 73٪.
وفي حالة التشخيص والعلاج الفوري، يمكن أن يكون نقص التروية المساريقي الحاد قابل للعكس.[31]
التاريخ
تم وصف الإقفار المساريقي الحاد لأول مرة في عام 1895، بينما تم وصف المرض المزمن لأول مرة في أربعينيات القرن العشرين،[1] وكان المرض المزمن يُعرف في البداية باسم الذبحة البطنية.[1]
المراجع
- Bobadilla, JL (August 2013). "Mesenteric ischemia". The Surgical clinics of North America. 93 (4): 925–40, ix. doi:10.1016/j.suc.2013.04.002. PMID 23885938. الوسيط
|CitationClass=تم تجاهله (مساعدة) - Yelon, Jay A. (2014). Geriatric Trauma and Critical Care (الطبعة Aufl. 2014). New York: Springer Verlag. صفحة 182. ISBN 9781461485018. مؤرشف من الأصل في 08 سبتمبر 2017. الوسيط
|CitationClass=تم تجاهله (مساعدة) - Britt, L.D. (2012). Acute care surgery (الطبعة 1st). Philadelphia: Wolters Kluwer Health/Lippincott Williams & Wilkins. صفحة 621. ISBN 9781608314287. مؤرشف من الأصل في 08 سبتمبر 2017. الوسيط
|CitationClass=تم تجاهله (مساعدة) - Geoffrey D. Rubin (2012). CT and MR Angiography: Comprehensive Vascular Assessment. Lippincott Williams & Wilkins. صفحة 318. ISBN 9781469801834. مؤرشف من الأصل في 08 سبتمبر 2017. الوسيط
|CitationClass=تم تجاهله (مساعدة) - Gustavo S. Oderich (2014). Mesenteric Vascular Disease: Current Therapy. Springer. صفحة 105. ISBN 9781493918478. مؤرشف من الأصل في 08 سبتمبر 2017. الوسيط
|CitationClass=تم تجاهله (مساعدة) - Al-Qamoos القاموس | English Arabic dictionary / قاموس إنجليزي عربي نسخة محفوظة 23 يونيو 2018 على موقع واي باك مشين.
- Creager, Mark A. (2013). Vascular medicine : a companion to Braunwald's heart disease (الطبعة 2nd). Philadelphia, PA: Elsevier/Saunders. صفحات 323–324. ISBN 9781437729306. مؤرشف من الأصل في 08 سبتمبر 2017. الوسيط
|CitationClass=تم تجاهله (مساعدة) - Sreenarasimhaiah, J (April 2005). "Chronic mesenteric ischemia". Best practice & research. Clinical gastroenterology. 19 (2): 283–95. doi:10.1016/j.bpg.2004.11.002. PMID 15833694. الوسيط
|CitationClass=تم تجاهله (مساعدة) - Liapis, C.D. (2007). Vascular surgery. Berlin: Springer. صفحة 420. ISBN 9783540309567. مؤرشف من الأصل في 08 سبتمبر 2017. الوسيط
|CitationClass=تم تجاهله (مساعدة) - Boley, SJ, Brandt, LJ, Veith, FJ (1978). "Ischemic disorders of the intestines". Curr Probl Surg. 15 (4): 1–85. doi:10.1016/S0011-3840(78)80018-5. PMID 365467. الوسيط
|CitationClass=تم تجاهله (مساعدة)صيانة CS1: أسماء متعددة: قائمة المؤلفون (link) - Hunter G, Guernsey J (1988). "Mesenteric ischemia". Med Clin North Am. 72 (5): 1091–115. PMID 3045452. الوسيط
|CitationClass=تم تجاهله (مساعدة) - Oldenburg WA, Lau LL, Rodenberg TJ, Edmonds HJ, Burger CD (2004). "Acute mesenteric ischemia: a clinical review". Arch. Intern. Med. 164 (10): 1054–62. doi:10.1001/archinte.164.10.1054. PMID 15159262. الوسيط
|CitationClass=تم تجاهله (مساعدة) - Font VE, Hermann RE, Longworth DL (1989). "Chronic mesenteric venous thrombosis: difficult diagnosis and therapy". Cleveland Clinic journal of medicine. 56 (8): 823–8. doi:10.3949/ccjm.56.8.823. PMID 2691119. الوسيط
|CitationClass=تم تجاهله (مساعدة) - Levy PJ, Krausz MM, Manny J (1990). "Acute mesenteric ischemia: improved results--a retrospective analysis of ninety-two patients". Surgery. 107 (4): 372–80. PMID 2321134. الوسيط
|CitationClass=تم تجاهله (مساعدة) - Park WM, Gloviczki P, Cherry KJ, Hallett JW, Bower TC, Panneton JM, Schleck C, Ilstrup D, Harmsen WS, Noel AA (2002). "Contemporary management of acute mesenteric ischemia: Factors associated with survival". J. Vasc. Surg. 35 (3): 445–52. doi:10.1067/mva.2002.120373. PMID 11877691. الوسيط
|CitationClass=تم تجاهله (مساعدة)صيانة CS1: أسماء متعددة: قائمة المؤلفون (link) - "American Gastroenterological Association Medical Position Statement: guidelines on intestinal ischemia". Gastroenterology. 118 (5): 951–3. May 2000. doi:10.1016/s0016-5085(00)70182-x. PMID 10784595. الوسيط
|CitationClass=تم تجاهله (مساعدة) -
Cope, Zachary; Silen, William (April 2005). Cope's Early Diagnosis of the Acute Abdomen (الطبعة 21st). New York: دار نشر جامعة أكسفورد. ISBN 978-0-19-517545-5. LCCN 2004058138. OCLC 56324163. مؤرشف من الأصل في 26 يناير 2020. الوسيط
|CitationClass=تم تجاهله (مساعدة) - Evennett NJ, Petrov MS, Mittal A, Windsor JA (July 2009). "Systematic review and pooled estimates for the diagnostic accuracy of serological markers for intestinal ischemia". World J Surg. 33 (7): 1374–83. doi:10.1007/s00268-009-0074-7. PMID 19424744. الوسيط
|CitationClass=تم تجاهله (مساعدة) - Lee ES, Bass A, Arko FR, et al. (2006). "Intraoperative colon mucosal oxygen saturation during aortic surgery". The Journal of surgical research. 136 (1): 19–24. doi:10.1016/j.jss.2006.05.014. PMID 16978651. الوسيط
|CitationClass=تم تجاهله (مساعدة) - Friedland S, Benaron D, Coogan S, et al. (2007). "Diagnosis of chronic mesenteric ischemia by visible light spectroscopy during endoscopy". Gastrointest Endosc. 65 (2): 294–300. doi:10.1016/j.gie.2006.05.007. PMID 17137857. الوسيط
|CitationClass=تم تجاهله (مساعدة) - Lee ES, Pevec WC, Link DP, et al. (2008). "Use of T-stat to Predict Colonic Ischemia during and after Endovascular Aneurysm Repair: A case report". J Vasc Surg. 47 (3): 632–634. doi:10.1016/j.jvs.2007.09.037. PMC 2707776. PMID 18295116. الوسيط
|CitationClass=تم تجاهله (مساعدة) - Smerud M, Johnson C, Stephens D (1990). "Diagnosis of bowel infarction: a comparison of plain films and CT scans in 23 cases". AJR Am J Roentgenol. 154 (1): 99–103. doi:10.2214/ajr.154.1.2104734. PMID 2104734. الوسيط
|CitationClass=تم تجاهله (مساعدة) - Alpern M, Glazer G, Francis I (1988). "Ischemic or infarcted bowel: CT findings". Radiology. 166 (1 Pt 1): 149–52. doi:10.1148/radiology.166.1.3336673. PMID 3336673. الوسيط
|CitationClass=تم تجاهله (مساعدة) - Taourel P, Deneuville M, Pradel J, Régent D, Bruel J (1996). "Acute mesenteric ischemia: diagnosis with contrast-enhanced CT" (PDF). Radiology. 199 (3): 632–6. doi:10.1148/radiology.199.3.8637978. PMID 8637978. مؤرشف من الأصل (PDF) في 27 فبراير 2008. الوسيط
|CitationClass=تم تجاهله (مساعدة) - Staunton M, Malone DE (2005). "Can acute mesenteric ischemia be ruled out using computed tomography? Critically appraised topic |". Canadian Association of Radiologists Journal. 56 (1): 9–12. PMID 15835585. مؤرشف من الأصل في 27 سبتمبر 2007. الوسيط
|CitationClass=تم تجاهله (مساعدة) - Kao, Lillian S., and Tammy Lee. PreTest Surgery: PreTest Self-assessment and Review. New York: McGraw-Hill Medical, 2009.
- Sreenarasimhaiah J (2003). "Diagnosis and management of intestinal ischaemic disorders". BMJ. 326 (7403): 1372–6. doi:10.1136/bmj.326.7403.1372. PMC 1126251. PMID 12816826. الوسيط
|CitationClass=تم تجاهله (مساعدة) - Meng, X; Liu, L; Jiang, H (August 2010). "Indications and procedures for second-look surgery in acute mesenteric ischemia". Surgery today. 40 (8): 700–5. doi:10.1007/s00595-009-4140-4. PMID 20676851. الوسيط
|CitationClass=تم تجاهله (مساعدة) - Brandt, LJ; Boley, SJ (May 2000). "AGA technical review on intestinal ischemia. American Gastrointestinal Association". Gastroenterology. 118 (5): 954–968. doi:10.1016/s0016-5085(00)70183-1. PMID 10784596. الوسيط
|CitationClass=تم تجاهله (مساعدة) - Schoots IG, Koffeman GI, Legemate DA, Levi M, van Gulik TM (2004). "Systematic review of survival after acute mesenteric ischaemia according to disease aetiology". The British journal of surgery. 91 (1): 17–27. doi:10.1002/bjs.4459. PMID 14716789. الوسيط
|CitationClass=تم تجاهله (مساعدة) - Nuzzo, Alexandre; Corcos, Olivier (13 October 2016). "Reversible Acute Mesenteric Ischemia". New England Journal of Medicine. 375 (15): e31. doi:10.1056/NEJMicm1509318. الوسيط
|CitationClass=تم تجاهله (مساعدة)
- بوابة طب
صور وملفات صوتية من كومنز
