خلية بينية
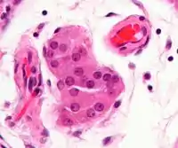
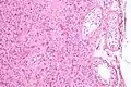
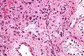
خلايا لايديغ البينية (بالإنجليزية: Leydig-cells)، هي خلايا خاصة بالخصيتين توجد في الفراغ المملوء بالنسيج الضام بين الأنانبيب المنوية، وتفرز 95% من نسبة التستوستيرون في الدم، تشكل حوالي 10-20% من كتلة الخصيتين[1]، إكتشفها العالم الألماني فرانز لايديغ عام 1850م.

الصفات الخلوية
تتميز الخلايا البينية بنواة حمضية، فاتحة اللون، مكورة ودائرية. يحيط بها سيتوبلازم مليء بالشبكات الإندوبلازمية الملساء والميتوكوندريا. وبكميات أقل يوجد في السيتوبلازما ايضاً فجوات دهنية وكريستالات.[2]
الوظيفة
تلعب خلايا لايديغ البينية دوراً هاماً في نضوج الجهاز التناسلي الذكري لدى الجنين خلال فترة الحمل، وابتداءً من الأسبوع الثامن وحتى الأسبوع الثامن عشر من عمر الجنين تكون هذة الخلايا نشطة بشكل مميز حيث تنتج هرمون تستوستيرون.[3] بعد الولادة بإسبوعين تعود هذة الخلايا لتنشط من جديد لدى المولود ولكن بشكل متناقص حتى عمر البلوغ . ابتداءً من عمر البلوغ يحفزها الهرمون المنشط للجسم الأصفر (LH) القادم من الغدة النخامية الأمامية ويستمر نشاطها هذا حتى عمر متأخر لدى الذكر. 95٪ من نسبة التستوستيرون في الدم يتم أفرازها عن طريق هذة الخلايا البينية، بينما يشكل ماتنتجه الغدة الكظرية مانسبته 5٪ فقط.[1][3]
معرض صور
المراجع
- Leydig-Zelle - DocCheck Flexikon نسخة محفوظة 20 يوليو 2015 على موقع واي باك مشين.
- خلية لايديغ ( Leydig cell ) | القاموس الطبي نسخة محفوظة 1 أغسطس 2016 على موقع واي باك مشين.
- مصطلحات طبية تبدأ بحرف خاء - صفحة 5 - ويب طب نسخة محفوظة 20 يوليو 2015 على موقع واي باك مشين.
- بوابة علم الأحياء الخلوي والجزيئي
- بوابة طب
- بوابة تشريح
صور وملفات صوتية من كومنز



