سرطانة خلايا الدم
سرطانة خلايا الدم (بالإنجليزية: Carcinocythemia) هي حالة تظهر فيها خلايا من الأورام الخبيثة ذات الأصل غير المكون للدم على شريحة دم المحيطية.[2][3] وهي حالة نادرة للغاية[4] حيث تم تحديد 33 حالة في الأدبيات العلمية من 1960 إلى 2018.[3] تحدث سرطانة خلايا الدم عادةً نتيجة لتسلل انبثاث سرطاني لنخاع العظم[5] وتكون إمكانية تشخيصها سيئة للغاية.[2][3][4]
| سرطانة خلايا الدم | |
|---|---|
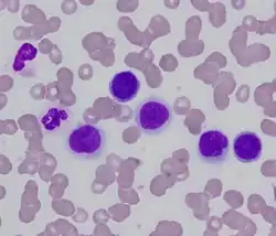
![]() حالة من سرطانة خلايا الدم. الخلايا المستديرة الكبيرة هي خلايا سرطان الثدي تنتشر في الدم المحيطي.[1] حالة من سرطانة خلايا الدم. الخلايا المستديرة الكبيرة هي خلايا سرطان الثدي تنتشر في الدم المحيطي.[1] | |
| تسميات أخرى | سرطانة خلايا اللوكيميا |
| معلومات عامة | |
| الاختصاص | علم الدم، علم الأورام |
| من أنواع | ابيضاض الدم |
| الأسباب | |
| الأسباب | عادة ما تكون ثانوية لانبثاث سرطاني في نخاع العظام |
| الإدارة | |
| المآل | ضعيف; معدل البقاء 15% على قيد الحياة في 6 أشهر |
| حالات مشابهة | لوكيميا حادة، لمفوما، تفاعل ابيضاضي، خلايا غير ناضجة بسبب علاج كيميائي، بطانات غشائية منتشرة، خلايا نواء أو ناقضات العظم |
العرض
تحدث سرطانة خلايا الدم في الغالب في حالات سرطان الثدي تليها سرطان الرئة ذو الخلايا الصغيرة وعادة ما تظهر متأخراً أثناء المرض.[3] كثيرا ما يتم الإبلاغ عن تجلط الدم وتخثر الدم داخل الأوعية الدموية عند الإبلاغ عن سرطانة خلايا الدم.[6][3] التشخيص في حالات سرطانة خلايا الدم ما زال ضعيفًا حيث وجدت مراجعة لـ 26 مريضا أن 85% منهم ماتوا خلال 6 أشهر من التشخيص بمتوسط 6.1 أسابيع بين التشخيص والموت.[3]
يمكن أن تتراوح كمية الخلايا السرطانية الموجودة على لطاخة الدم ما بين 1 إلى 80 بالمائة من إجمالي عدد خلايا الدم البيضاء[3] مع كون النسب المئوية المنخفضة أكثر شيوعًا.[2] تختلف سرطانة خلايا الدم عن وجود الخلايا السرطانيّة المنتشرة (CTCs) حيث عادة ما تحدث CTCs بكميات منخفضة بحيث لا يمكن رؤيتها في فحص لطاخة الدم مما يتطلب تقنيات خاصة للكشف.[6][7]
الآلية
آلية حدوث سرطانة خلايا الدم غير مفهومة بشكل جيد. يُظهر بعض المرضى الذين يعانون من سرطان الخلايا دليلًا على ضعف وظيفة الطحال وقد اقترح أن اختلالا وظيفيا في الجملة الشبكية البطانية يمنع بلعمة الخلايا الخبيثة يمكن أن يسهم في وجود سرطانة خلايا الدم.[3][8]
التشخيص
يمكن اكتشاف سرطانة خلايا الدم في فحص روتيني لشريحة دم أو التعداد اليدوي.[8] إذا كان عدد الخلايا المشبوهة منخفضًا فيمكن تحضير اللطاخة من الطبقة العازلة لعينة الدم لتركيز الخلايا.[2] قد تبدو الخلايا السرطانية في الدم المحيطي مماثلة للخلايا الأرومية المنتشرة أو خلايا الأورام اللمفاوية.[2][9] تشمل الميزات التي تساعد في التمييز بين الخلايا السرطانية والخلايا الأخرى حجمها الكبير جدًا ونمط الكروماتين النووي الناضج والجِبْلة الفَجْوِيَّة وميلها إلى الظهور في كتل أو مجموعات على الرغم من أن بعض هذه الخصائص يتم مشاركتها بواسطة أرومات النواء وأرومات الوحيدة. غالبًا ما توجد خلايا الورم على حافة لطاخة الدم بسبب حجمها الكبير، لذلك يجب فحص هذه المنطقة جيدًا إذا كان هناك اشتباه في حدوث سرطانة خلايا الدم.[3]
يمكن أن تساعد تقنيات الصبغ الكيميائي الخلوي والكيمياء النسيجية المناعية في تحديد نسب الخلايا.[3] عندما يتم فحص النمط الظاهري المناعي عن طريق قياس التدفق الخلوي تكون الخلايا بشكل عام CD45 سالبة وقد تعبر عن CD56 وهي حالة غير محددة ولكنها غير مألوف بالنسبة للأورام الخبيثة الدموية.[2] في بعض الحالات قد تكون نتائج قياس التدفق الخلوي وFISH مضللين حيث إن الخلايا السرطانية المنتشرة يمكن أن تظهر عناقيد التمايز للخلايا وتشوهات الكروموسومات المرتبطة بأمراض الدم.[3]
يستخدم فحص نخاع العظم في الكشف عن سرطانة خلايا الدم لتوصيف الخلايا السرطانية بشكل أفضل.[2][3]
التشخيص التفاضلي
يجب تمييز سرطانة خلايا الدم عن الحالات التالية:[2][3][8]
- سرطان الدم الحاد
- الخلايا المنتشرة غير الناضجة الثانوية للعلاج الكيميائي
- خلايا البطانة الغشائية المنتشرة وخلايا نواء أو الخلايا ناقضة العظم
- التَفاعُلٌ الابْيضاضِيّ
- سرطان الغدد الليمفاوية
التاريخ
وُصف وجود الخلايا السرطانية في الدم المحيطي لمريض السرطان لأول مرة في تقرير حالة في عام 1869 في المجلة الطبية الأسترالية.[8][10] استخدم مصطلح carcinocythemia (سرطانة خلايا الدم) لأول مرة في عام 1976 من قبل روبرت كاري.[8][11] وفي عام 1984 تم نشر مراجعة لـ 10 حالات مع ملاحظة سوء الحالة المرضية.[12]
في الحيوانات
هناك حالتان موثقتان اعتبارًا من عام 2018 بإصابتها بسرطانة خلايا الدم في الكلاب وحالة واحدة في القطط.[13]
انظر أيضًا
مراجع
- Ogura, Kanako; Amano, Maki; Matsumoto, Toshiharu; Sakaguchi, Asumi; Kosaka, Taijiro; Kitabatake, Toshiaki; Kojima, Kuniaki (2015). "Occult Breast Lobular Carcinoma with Numerous Circulating Tumor Cells in Peripheral Blood". Case Reports in Pathology. 2015: 1–6. doi:10.1155/2015/135684. ISSN 2090-6781. PMC 4496473. PMID 26199779. الوسيط
|CitationClass=تم تجاهله (مساعدة) - Irma Pereira; Tracy I. George; Daniel A. Arber (7 December 2011). "Chapter 20: Nonhematopoietic tumors in the blood". Atlas of Peripheral Blood: The Primary Diagnostic Tool. Lippincott Williams & Wilkins. صفحات 185–7. ISBN 978-1-4511-6366-7. الوسيط
|CitationClass=تم تجاهله (مساعدة) - Ronen, Shira; Kroft, Steven H.; Olteanu, Horatiu; Hosking, Paul R.; Harrington, Alexandra M. (2019). "Carcinocythemia: A rare entity becoming more common? A 3-year, single institution series of seven cases and literature review". International Journal of Laboratory Hematology. 41 (1): 69–79. doi:10.1111/ijlh.12924. ISSN 1751-5521. PMID 30216684. الوسيط
|CitationClass=تم تجاهله (مساعدة) - Noel Weidner; Richard J. Cote; Saul Suster; Lawrence M. Weiss (8 July 2009). Modern Surgical Pathology. Elsevier Health Sciences. صفحات 1593–. ISBN 978-1-4377-1958-1. مؤرشف من الأصل في 26 يناير 2020. الوسيط
|CitationClass=تم تجاهله (مساعدة) - Michael Caligiuri; Marcel M. Levi; Kenneth Kaushansky; Marshall A. Lichtman, Josef Prchal, Linda J Burns, Oliver W Press (23 December 2015). Williams Hematology, 9E. McGraw-Hill Education. صفحة 658. ISBN 978-0-07-183300-4. مؤرشف من الأصل في 14 أكتوبر 2017. الوسيط
|CitationClass=تم تجاهله (مساعدة)صيانة CS1: أسماء متعددة: قائمة المؤلفون (link) - Johnsrud, Andrew J.; Pina-Oviedo, Sergio (2017). "Carcinocythemia (carcinoma cell leukemia)". Blood. 130 (21): 2357. doi:10.1182/blood-2017-08-799882. ISSN 0006-4971. PMID 29170195. الوسيط
|CitationClass=تم تجاهله (مساعدة) - Krishnamurthy, Savitri (2012). "The emerging role of circulating tumor cells in breast cancer". Cancer Cytopathology. 120 (3): 161–166. doi:10.1002/cncy.20207. ISSN 1934-662X. PMID 22275137. الوسيط
|CitationClass=تم تجاهله (مساعدة) - Chang, Yuan-Hsin; Hsieh, Ruey-Kuen; Chang, Ming-Chi; Chen, Gon-Shen (2007). "Breast cancer with an unusual leukemia-like presentation: case report and literature review". Medical Oncology. 25 (1): 100–103. doi:10.1007/s12032-007-0048-2. ISSN 1357-0560. PMID 18188722. الوسيط
|CitationClass=تم تجاهله (مساعدة) - Lugassy G, Vorst EJ, Varon D, Sigler E, Shani A, Bassous-Guedj L. (1990). "Carcinocythemia. Report of two cases, one simulating a Burkitt lymphoma". Acta Cytol. 34 (2): 265–8. PMID 2157324. اطلع عليه بتاريخ أغسطس 2020. الوسيط
|CitationClass=تم تجاهله (مساعدة); تحقق من التاريخ في:|تاريخ الوصول=(مساعدة)صيانة CS1: أسماء متعددة: قائمة المؤلفون (link) - Ashworth, T.R. (1869). "(1869) A Case of Cancer in Which Cells Similar to Those in the Tumours Were Seen in the Blood after Death". The Medical Journal of Australia. 14: 146–147. الوسيط
|CitationClass=تم تجاهله (مساعدة) - Carey, Robert W.; Taft, Priscilla D.; Bennett, John M.; Kaufman, Sheldon (1976). "Carcinocythemia (carcinoma cell leukemia)". The American Journal of Medicine. 60 (2): 273–278. doi:10.1016/0002-9343(76)90437-X. ISSN 0002-9343. PMID 1062163. الوسيط
|CitationClass=تم تجاهله (مساعدة) - Gallivan, Monica V. E.; Lokich, Jacob J. (1984). "Carcinocythemia (carcinoma cell leukemia). Report of two cases with english literature review". Cancer. 53 (5): 1100–1102. doi:10.1002/1097-0142(19840301)53:5<1100::AID-CNCR2820530514>3.0.CO;2-K. ISSN 0008-543X. الوسيط
|CitationClass=تم تجاهله (مساعدة) - Sá e Lemos, Eva; Lima de Carvalho, Hugo; Gil da Costa, Rui M.; Pinto da Cunha, Nazaré (2018). "Carcinocythemia: First report in a cat and literature review". Veterinary Clinical Pathology. 47 (1): 142–145. doi:10.1111/vcp.12565. ISSN 0275-6382. PMID 29360147. الوسيط
|CitationClass=تم تجاهله (مساعدة)
- بوابة طب
.png.webp)