سرطانة مصلية حليمية رحمية
السرطانة المصلية الحليمية الرحمية (UPSC)[1] (بالإنجليزية: Uterine papillary serous carcinoma) هو شكل غير شائع من سرطان بطانة الرحم الذي يحدث عادة عند النساء بعد انقطاع الطمث، عادة ما يتم تشخيصه بواسطة خزعة بطانة الرحم فوريًا بعد نزيف ما بعد انقطاع الطمث.
| سرطانة مصلية حليمية رحمية | |
|---|---|
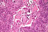
![]() صورة مجهرية ل"سرطانة مصلية حليمية رحمية" بصبغة H&E. صورة مجهرية ل"سرطانة مصلية حليمية رحمية" بصبغة H&E. | |
| تسميات أخرى | سرطانة غدية مصلية رحمية |
| معلومات عامة | |
| من أنواع | سرطان الرحم ، وسرطانة بطانة الرحم |
وعلى عكس الدرجة منخفضة الأكثر شيوعًا للسرطانة الغدية الشبيهة ببطانة الرحم فإن السرطانة المصلية الرحمية لا تتطور من فرط تنسج بطانة الرحم وليست حساسة للهرمونات، فهي تنشأ عند حدوث ضمور بطانة الرحم وتُصنَّف على أنها سرطان بطانة الرحم من النوع الثاني.[2]
التشخيص

تم العثور على الآفة في المرضى الذين يقدمون عادة مع نزيف غير طبيعي أو بعد انقطاع الطمث[3]، يتبع هذا النزيف تقييمًا إضافيًا يؤدي إلى تشخيص الأنسجة وعادة ما يتم ذلك عن طريق توسيع وكحت الرحم (D&C)،وتُعد متابعة العمل بمثابة البحث عن الانبثاث باستخدام تقنية التصوير بما في ذلك التصوير بالموجات فوق الصوتية والتصوير بالرنين المغناطيسي، وقد كان متوسط العمر عند التشخيص في دراسة شملت 138 امرأة 67 عامًا، من بين هؤلاء كان يوجد 54 امرأة منهم تُعاني من المرحلة الأولى، و20 امرأة تُعاني من المرحلة الثانية، 41 المرحلة الثالثة، 23 المرحلة الرابعة.[4]
وبانسبة لعلم أمراض الأنسجة فإن سرطان المصل الرحمي عادة يتميز ب:
(1) بنيات على شكل حلمة (الحليمات) مع نوى ليفية وعائية (2) اللانمطية النووية (عدم انتظام في الغشاء النووي، الحجم النووي الكبير)، (3) أجسام رملية و (4) أهداب.
تصنيف المراحل

يتم عرض السرطانة المصلية الرحمية مثل الأشكال الأخرى من سرطان بطانة الرحم في وقت الجراحة باستخدام نظام الاتحاد الدولي لطب النساء والتوليد FIGO لمراحل تطور السرطان.
- المرحلة الأولى (أ): يقتصر الورم على أقل من نصف عضل الرحم
- المرحلة الأولى (ب): غزو أكثر من نصف عضل الرحم
- المرحلة الثانية: غزو سدوي لعنق الرحم
- المرحلة الثالثة (أ): يغزو الورم المصلية أو ملحقاتها.
- المرحلة الثالثة (ب): انبثاث مهبلي أو لجوار الرحم.
- المرحلة الثالثة (ج1): انبثاث إلى الغدد الليمفاوية للحوض
- المرحلة الثالثة (ج2): انبثاث إلى الغدد الليمفاوية المجاورة للأبهر.
- المرحلة الرابعة (أ): غزو المثانة أو الأمعاء.
- المرحلة الرابعة (ب): انبثاث لأماكن بعيدة، بما في ذلك الغدد الليمفاوية داخل البطن أو الغدد الليمفاوية الأربية.
البقاء على قيد الحياة
في الأدب القديم تم إعطاء معدلات البقاء على قيد الحياة بنسبة 35-50% للمرحلة الأولى والثانية، و 0-15% للمرحلة الثالثة والرابعة من سرطانة الرحم المصلية[5]، وفي الآونة الأخيرة تم الإبلاغ عن أن اثنين وأربعين في المئة من 138 مريضًا تم تشافيهم من المرض في خلال خمس سنوات.[4]
في عام 2009 نشرت مجلة " علم الأورام النسائي" معدلات البقاء على قيد الحياة لمدة 5 سنوات التالية بناءً على مرحلة السرطان:
- المرحلة الأولى: 50% - 80 ٪
- المرحلة الثانية: 50 ٪
- المرحلة الثالثة: 20 ٪
- المرحلة الرابعة: 5% - 10%[6]
العلاج
العلاج الأساسي هو الجراحة، ويتم عمل مراحل تطور مرض السرطان طبقًا للاتحاد الدولي لطب النساء والتوليد وقت الجراحة الذي يتكون من الخلايا البريتونية واستئصال الرحم وكل من البوق والمبيض على الجانبين والخلايا الليمفاوية الحوضية والمجاورة للأبهر وكذلك استئصال الثرب، ويكون الورم عدوانيًا وينتشر بسرعة في عضل الرحم والجهاز اللمفاوي، وبالتالي فإنه حتى في المراحل المبكرة المفترضة ينبغي تضمين استئصال العقد اللمفاوية واستئصال الثرب في العملية الجراحية، وإذا كان الورم قد انتشر يجب إجراء جراحة اختزال خلوي تُتبع بالعلاج الإشعاعي و/أو العلاج الكيميائي.[5]
في دراسة لتحديد ما إذا كان ينبغي استخدام العلاج المساعد في المرضى الذين يعانون من المرحلة الأولى من سرطانة الرحم المصلية الذين خضعوا لعملية جراحية لم يُلاحظ أي زيادة في البقاء على قيد الحياة عند إضافة العلاج الإشعاعي مقابل الملاحظة، في حين أن العلاج بعد الجراحة باستخدام العلاج الكيميائي قد يكون مفيدًا ولكن هناك حاجة إلى مزيد من البيانات[7]، وقد أظهرت دراسة عن فائدة العلاج الكيميائي القائم على البلاتين كعامل مساعد بعد جراحة المرحلة الأولى أن المرضى الذين يعانون من المرحلة (أ) والذين لم يكن لديهم مرض متبقٍ في عينة استئصال الرحم لم يتكرر المرض بغض النظر إذا تم استخدام العلاج الكيميائي أم لا، ومع ذلك فإن المرضى الذين يعانون من المرحلة الأولى (أ) وتبقى المرض مع عينة استئصال الرحم لم يحدث تكرار للمرض مع العلاج القائم على البلاتين، ولكن أولئك الذين ليس لديهم مثل هذا العلاج الكيميائي أظهروا تكرار في 43 ٪، وبالمثل لم يتكرر المرض للمرضى الذين يعانون من مرض المرحلة الأولى (ب) مع العلاج الكيميائي في حين أن أولئك الذين ليس لديهم علاج كيميائي كانت نسبة تكرار حدوث المرض لديهم كبيرة (77 ٪).[8]
تراست زوماب
في دراسة حديثة تم العثور على حوالي 60% من سرطانة الرحم المصلية لفرط بسبب التعبير المفرط لبروتين HER2/NEU وهو نفس الهرمون الذي يتم الإفراط في التعبير عنه في بعض أنواع سرطان الثدي، ويجري حاليا اختبار (هيرسيبتين) وهو اختبار للأجسام المضادة وحيدة النسيلة تراستوزوماب كعلاج لهذه المجموعة الفرعية من سرطان الرحم المصلي.[9]
تمت تجربة عقار تراستوزوماب (هيرسيبتين) المضاد للجسم المضاد والذي يستخدم لعلاج سرطانات الثدي التي تزيد من إفراز بروتين HER2/neu، وقد نجحت التجربة التي أجريت على النساء ذوات المرحلة الثانية من سرطانة الرحم المصلية وهي المرحلة التي يزداد فيها التعبير عن بروتينHER2/neu.[9]
المآل
يتأثر تشخيص سرطانة الرحم المصلية بالعمر والمرحلة والأنسجة وكذلك العلاج.[4]
مراجع
- Al-Qamoos القاموس | English Arabic dictionary / قاموس إنجليزي عربي serous carcinoma&field_magal=Medical نسخة محفوظة 2020-09-18 على موقع واي باك مشين.
- "Hormonal heterogeneity of endometrial cancer". Adv Exp Med Biol. 630: 166–88. 2008. doi:10.1007/978-0-387-78818-0_11. PMID 18637491. الوسيط
|CitationClass=تم تجاهله (مساعدة) - "Gynecologic Cancer InterGroup (GCIG) consensus review for uterine serous carcinoma". Int. J. Gynecol. Cancer. 24 (9 Suppl 3): S83–9. نوفمبر 2014. doi:10.1097/IGC.0000000000000264. PMID 25341586. الوسيط
|CitationClass=تم تجاهله (مساعدة) - "Outcome after combined modality treatment for uterine papillary serous carcinoma: a study by the Rare Cancer Network (RCN)". Gynecol. Oncol. 108 (2): 298–305. فبراير 2008. doi:10.1016/j.ygyno.2007.10.037. PMID 18096209. الوسيط
|CitationClass=تم تجاهله (مساعدة) - "Patterns of failure after the multimodality treatment of uterine papillary serous carcinoma". Int J Radiat Oncol Biol Phys. 57 (1): 208–16. سبتمبر 2003. doi:10.1016/s0360-3016(03)00531-5. PMID 12909235. الوسيط
|CitationClass=تم تجاهله (مساعدة) - "Management of women with uterine papillary serous cancer: a Society of Gynecologic Oncology (SGO) review". Gynecol. Oncol. 115 (1): 142–53. أكتوبر 2009. doi:10.1016/j.ygyno.2009.06.011. PMID 19592079. الوسيط
|CitationClass=تم تجاهله (مساعدة) - "Uterine papillary serous carcinoma: comparisons of outcomes in surgical Stage I patients with and without adjuvant therapy". Gynecol. Oncol. 91 (3): 470–5. ديسمبر 2003. doi:10.1016/j.ygyno.2003.08.027. PMID 14675664. الوسيط
|CitationClass=تم تجاهله (مساعدة) - "Improved survival in surgical stage I patients with uterine papillary serous carcinoma (UPSC) treated with adjuvant platinum-based chemotherapy". Gynecol Oncol. 98 (3): 353–9. 2005. doi:10.1016/j.ygyno.2005.06.012. PMID 16005947. الوسيط
|CitationClass=تم تجاهله (مساعدة) - "Trastuzumab treatment in patients with advanced or recurrent endometrial carcinoma overexpressing HER2/neu". Int J Gynaecol Obstet. 102 (2): 128–31. 2008. doi:10.1016/j.ijgo.2008.04.008. PMID 18555254. الوسيط
|CitationClass=تم تجاهله (مساعدة)
- بوابة طب
- بوابة المرأة
