سرطان الكلية
سرطان الكلية (بالإنجليزية: Kidney cancer) هي الأورام التي تنشأ من أنسجة الكلية وهنالك نوعان رئيسان لهذا السرطان مصنفان بحسب منشئهما النسيجي وهما:
- سرطانة الخلية الكلوية (بالإنجليزية: Renal cell carcinoma).
- سرطانة حويضة الكلية (بالإنجليزية: Urothelial cell carcinoma).
| Kidney cancer | |
|---|---|
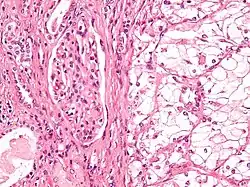
![]() صورة مجهرية showing the most common type of kidney cancer (clear cell سرطانة الخلية الكلوية). H&E stain. صورة مجهرية showing the most common type of kidney cancer (clear cell سرطانة الخلية الكلوية). H&E stain. | |
| تسميات أخرى | Renal cancer |
| معلومات عامة | |
| الاختصاص | علم الأورام, طب الكلى |
| من أنواع | أورام الكلى ، واعتلال الكلية |
| الأنواع | سرطانة الخلية الكلوية (RCC), سرطانة الخلايا الانتقالية (TCC), ورم ويلمز[1] |
| الموقع التشريحي | كلية [2] |
| الأسباب | |
| عوامل الخطر | Smoking, certain pain medications, previous سرطان المثانة, being overweight, ارتفاع ضغط الدم, certain chemicals, family history[3][4] |
| المظهر السريري | |
| البداية المعتادة | After the age of 45[1] |
| الأعراض | بول دموي, lump in the بطن, ألم ظهر[3][4][5] |
| الإدارة | |
| التشخيص | خزعة[3][4][5] |
| العلاج | Surgery, علاج بالأشعة, علاج كيميائي, علاج مناعي, علاج موجه[3][4][5] |
| أدوية | فينبلاستين ، ولوموستين ، وأكسيتينيب ، ونيفولوماب ، وبازوبينيب ، وتمسيروليموس ، وبيفاسيزوماب ، وسنيتينيب ، وإفروليموس ، وسورانيب ، وإرلوتينيب
|
| المآل | معدل البقيا لخمس سنوات ~75% (US 2015)[1] |
| الوبائيات | |
| انتشار المرض | 403,300 (2018)[6] |
| الوفيات | 175,000[6] |
يتوجب التفريق بين منشأ النوعين عند التعامل مع السرطان وذلك لأن لكل نوع مزايا خاصة تأثر على خيارات العلاج. تنشأ السرطانات قي الكلية إما من الكليونات أو من حويضة الكلية، أهم سرطانات الكليونات: سرطانة الخلايا الكلوية والسرطانة الغدية ذات الخلايا الصافية (بالإنجليزية: Clear cell adenocarcinoma)، أما أكثر سرطانات حويضة الكلية شيوعاً فهي سرطانة الخلايا الانتقالية (بالإنجليزية: Transitional cell carcinoma).
أنواع سرطانات الكلية
بالإضافة لسرطانة الخلايا الكلوية و سرطانة حويضة الكلية، فإن هنالك أنواعاً أخرى من السرطان تصيب الكلية ولكنها ندارة نسبياً، من هذه الأنواع:
- سرطان الخلايا الحرشفية (بالإنجليزية: Squamous cell carcinoma)
- ورم رينيني (بالإنجليزية: Reninoma)
- ورم شحمي عضلي وعائي كلوي (بالإنجليزية: Renal angiomyolipoma)
- ورم أورمي كلوي (ورم ويلم) (بالإنجليزية: Nephroblastoma)
الأعراض
من الأعراض الشائعة المصاحبة لسرطانات الكلية ما يلي:
- وجود كتلة في التجويف البطني (يتم اكتشافها عن طريق الجس)، وهي أكثر الأعراض شيوعاً [7]، ويتم جسها عادة في الناحية القطنية الأمامية.
- بيلة دموية (بالإنجليزية: Hematuria).
- موه الكلية (بالإنجليزية: Hydronephrosis).
كما يمكن أن ينشأ السرطان دون أية أعراض تذكر ولكن ذلك قليل الحدوث. وقد تم حديثا اكتشاف أن توضع القولون يشكل علامة دالة في تشخيص سرطانات الكلية.[7]
الوبائيات
تشخص سنوياً أكثر من 208,500 حالة سرطان كلية حول العالم، وتشكل سرطانات الكلية ما نسبته 2% من مجموع السرطانات التي تصيب الإنسان.[8] لوحظ أن أعلى معدلات الإصابة هو في أمريكا الشمالية و أن أقلها في آسيا وأفريقيا.[9] في 2008 شخصت 54,390 حالة إصابة جديدة في الولايات المتحدة أوقعت 13,010 وفية.[10] بعض سرطانات الكلى تسري في العائلات وتورث جينياً [11] بينما البعض الآخر يرتبط حدوثه بعوامل اختطار خارجية كالتدخين والتعرض للمواد المسرطنة.
معرض صور
انظر أيضا
مراجع
- "Cancer of the Kidney and Renal Pelvis - Cancer Stat Facts". SEER (باللغة الإنجليزية). مؤرشف من الأصل في 11 يونيو 2019. اطلع عليه بتاريخ 30 مايو 2019. الوسيط
|CitationClass=تم تجاهله (مساعدة) - معرف أنطولوجية المرض: http://www.disease-ontology.org/?id=DOID:263 — تاريخ الاطلاع: 15 مايو 2019 — الرخصة: CC0
- "Renal Cell Cancer Treatment". National Cancer Institute (باللغة الإنجليزية). 2019. مؤرشف من الأصل في 10 أبريل 2019. اطلع عليه بتاريخ 08 يونيو 2019. الوسيط
|CitationClass=تم تجاهله (مساعدة) - "Transitional Cell Cancer (Kidney/Ureter) Treatment". National Cancer Institute (باللغة الإنجليزية). 2019. مؤرشف من الأصل في 8 يونيو 2019. اطلع عليه بتاريخ 08 يونيو 2019. الوسيط
|CitationClass=تم تجاهله (مساعدة) - "Wilms Tumor and Other Childhood Kidney Tumors Treatment". National Cancer Institute (باللغة الإنجليزية). 2019. مؤرشف من الأصل في 10 أبريل 2019. اطلع عليه بتاريخ 08 يونيو 2019. الوسيط
|CitationClass=تم تجاهله (مساعدة) - "Cancer today". IARC (باللغة الإنجليزية). مؤرشف من الأصل في 27 مايو 2019. اطلع عليه بتاريخ 30 مايو 2019. الوسيط
|CitationClass=تم تجاهله (مساعدة) - William Roberts and Robert Maguire (1885). A practical treatise on urinary and renal diseases (الطبعة 4th). Smith, Elder and Co. صفحة 697. مؤرشف من الأصل في 08 ديسمبر 2019. الوسيط
|CitationClass=تم تجاهله (مساعدة), page 581 - Lindblad, P. and Adami H.O, Kidney Cancer, in Textbook of Cancer.
- GLOBOCAN 2002, Cancer Incidence, Mortality and Prevalence Worldwide 2002 estimates. 2006.
- "Kidney Cancer". National Cancer Institute, U.S. National Institutes of Health. مؤرشف من الأصل في 20 يوليو 2006. اطلع عليه بتاريخ 03 مارس 2009. الوسيط
|CitationClass=تم تجاهله (مساعدة) - Coleman JA (2008). "Familial and hereditary renal cancer syndromes". Urol. Clin. North Am. 35 (4): 563–72, v. doi:10.1016/j.ucl.2008.07.014. PMID 18992610. مؤرشف من الأصل في 08 ديسمبر 2019. الوسيط
|CitationClass=تم تجاهله (مساعدة)
- بوابة طب




