غدة جارة الدرقية
الغدد جارات الدرقية[1][2] أو الغدد الدريقية[3] أو الغدَّة الجَنْبْدَرَقية أو جارة الدَّرَق[4] أو الغدة جنيبة الدرقية[5] (بالإنجليزية: Parathyroid Gland) هي غدد صماء صغيرة في عنق الإنسان وغيره من الكائنات رباعية الأطراف التي تنتج هرمون جار درقي. عادة ما يكون لدى الإنسان أربع غدد جارات الدرقية، متواجدة بشكل متفاوت على الجزء الخلفي من الغدة الدرقية. إن الهرمون الدريقي والكالسيتونين (أحد الهرمونات التي تصنعها الغدة الدرقية) لهما دوران رئيسيان في تنظيم كمية الكالسيوم في الدم وداخل العظام.
| غدة جارة الدرقية | |
|---|---|
| الاسم اللاتيني glandula parathyreoidea inferior, glandula parathyreoidea superior | |
![]() رسم تخطيطي يظهر تراكيب في عنق الإنسان. المناطق الخضراء المظللة الأربعة تمثل الموقع الأكثر شيوعا للغدد جارات الدرقية، والتي تكون بشكل عام أربعة من حيث العدد وتكون متموضعة خلف الفصوص الجانبية للغدة الدرقية (مظللة باللون البرتقالي). | |
![]() الغدة الدرقية وجارات الدرقية كما تظهر من خلف العنق الغدة الدرقية وجارات الدرقية كما تظهر من خلف العنق | |
| تفاصيل | |
| نظام أحيائي | جهاز الغدد الصم |
| الشريان المغذي | شريان درقي علوي، شريان درقي سفلي، |
| الوريد المصرف | وريد درقي علوي، وريد درقي أوسط، وريد درقي سفلي، |
| الأعصاب | عقدة عنقية وسطى عقدة عنقية سفلية |
| تصريف اللمف | أمام القصبة الهوائية، أمام الحنجرة، العقدة اللمفية الوداجية وذات البطنين |
| سلف | الحمة المتوسطة للعرف العصبي والطبقة الداخلية للجيبة البلعومية الثالثة والرابعة |
| نوع من | غدة صماء |
| معرفات | |
| غرايز | ص |
| ترمينولوجيا أناتوميكا | 11.4.00.001 |
| FMA | 13890 |
| UBERON ID | 0001132 |
| ن.ف.م.ط. | A06.407.560 |
| ن.ف.م.ط. | D010280 |
تشترك الغدد جارات الدرقية مع الغدة الدرقية في نفس إمدادات الدم، والتصريف الوريدي، والتصريف اللمفاوي. تشتق الغدد جارات الدرق من النسيج الطلائي المبطن للجيبة البلعومية الثالثة والرابعة، حيث تنتج الغدد العليا من الجيبة البلعومية الرابعة، والغدد السفلى من الأجنحة الظهرانية للجيبة الثالثة. يتغير مكان الغدد السفلى والعليا، والتي يتم تسميتها وفقًا لموقعها النهائي، بسبب هجرة الأنسجة الجنينية.
يتميز فرط نشاط جارات الدرقية وقصور جارات الدرقية، بحدوث تغيرات في مستويات الكالسيوم في الدم وأيض العظام، وتنتج إما من زيادة أو نقص في وظيفة جارات الدرقية.
البُنية
يوجد زوجان من الغدد جارات الدرقية خلف الفص الأيمن والأيسر للغدة الدرقية. تتخذ كل غدة شكل بيضاوي مسطح بلون بني مصفر فيما يشبه حبة العدس، تكون عادة بطول حوالي 6 ملم وعرض 3 إلى 4 ملم، و 1 إلى 2 ملم من السطح الأمامي إلى الخلفي.[6] هناك عادة أربع غدد جارات درقية. وتسمى الغدتين جارات الدرقية في كل جانب واللتان توجدان في الأعلى بالغدد جارات الدرقية العليا، في حين تسمى اللتان توجدان في الأسفل بالغدد جارات الدرقية السفلى. تزن الغدد جارات الدرقية الصحية بشكل عام حوالي 30 ملغ في الرجال و 35 ملغ في النساء. [7] هذه الغدد غير واضحة أو يمكن الشعور بها أثناء فحص الرقبة.[8]
إمدادات الدم
تتوافق إمدادات الدم وتصريفه والتصريف اللمفاوي للغدد جارات الدرقية مع الغدة الدرقية المغطية لها.[9]
تستقبل الغدد الجار الدرقية العليا الدم من الشرايين الدرقية السفلية. وتتلقى الغدد جارات الدرقية السفلى من مصادر متغيرة من الدم، إما من الشريان الصاعد للشرايين الدرقية السفلية أو من الشريان الدرقي الأسفل. ينشأ الشريان الدرقي السفلي من الشرايين تحت الترقوة.[10]
يصب كل وريد من أوردة الغدد جارات الدرقية في الوريد الدرقي العلوي والمتوسط والسفلي. تصب الأوردة الدرقية العلوية والمتوسطة في الوريد الوداجي الغائر، ويصب الوريد الدرقي السفلي في الوريد العضدي الرأسي.[9]
التصريف اللمفاوي
تصب الأوعية الليمفاوية من الغدد جارات الدرقية في العقد اللمفية الرقبية العميقة والعقد اللمفية المجاورة للرغامى.[9]
الاختلافات
تختلف الغدد جارات الدرقية في عددها: ثلاث غدد صغيرة أو أكثر،[11] ويمكن عادةً أن تكون موجودة على السطح الخلفي للغدة الدرقية.[11] أحياناً، قد يكون لدى بعض الأفراد ست أو ثماني أو أكثر من الغدد جارات الدرقية.[8] نادرًا ما تكون الغدد جارات الدرقية داخل الغدة الدرقية نفسها، أو في الصدر، أو حتى في الغدة الصعترية.[11]
التركيب النسيجي
تسمى الغدد جارات الدرقية بهذا الاسم بسبب قربها من الغدة الدرقية - وتقوم بدور مختلف تمامًا عن الغدة الدرقية. يمكن تمييز الغدد جارات الدرقية بسهولة عن الغدة الدرقية حيث أنها تحتوي على خلايا مكتظة بكثافة، على النقيض من البنية الجُريبية للغدة الدرقية.[12] يوجد نوعان فريدان من الخلايا في الغدة الجار درقية:
- الخلايا الرئيسية الدريقية، تصنع وتفرز هرمون جار درقي. هذه الخلايا صغيرة، وتبدو داكنة عند امتلائخا بالهرمون الجار درقي، صافية عند إفراز الهرمون، أو في حالة الراحة.[13]
- الخلايا الحَمِضة الدريقية، أخف في المظهر وتزداد عدديًا مع تقدم العمر،[13] ولها وظيفة غير معروفة.[14]
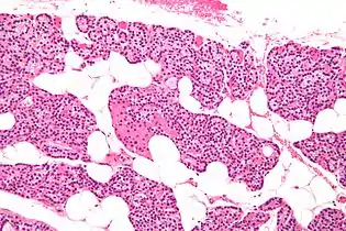
صورة مجهرية بتكبير متوسط. صبغة الهيماتوكسيلين واليوزين. الأشكال المستديرة البيضاء هي خلايا دهنية. يُشكل النسيج الدهني 25-40 ٪ من نسيج الغدة الدرقية الطبيعي.[13]
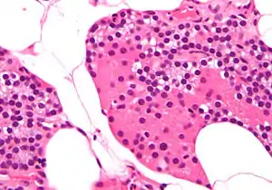
صورة مجهرية بتكبير عالٍ. صبغة الهيماتوكسيلين واليوزين. والخلايا الصغيرة الداكنة هي الخلايا الرئيسية الدريقية المسؤولة عن إفراز الهرمون الجار درقي.
صورة مجهرية بتكبير عالٍ. صبغة الهيماتوكسيلين واليوزين. الخلايا ذات السيتوبلازم المصبوغ بالبرتقالي أو الوردي هي خلايا حمضة دريقية.
مراحل تطور الغدة
في بداية تطور الجنين البشري، تتشكل سلسلة من خمسة أقواس بلعومية وأربع جيبات بلعومية تؤدي إلى ظهور الوجه والرقبة والهياكل المحيطة. يتم ترقيم الجيبات بحيث تكون الجيبة الأولى هي الأقرب إلى قمة رأس الجنين والرابعة هي الأبعد عنه. تنشأ الغدد جارات الدرقية من اتحاد الأديم الباطن للجيبتين الثالثة والرابعة واللحمة المتوسطة للعرف العصبي.[11] يتغير مكان الغدد أثناء الحياة الجنينية. يتطور زوج الغدد الذي يتموضع في نهاية المطاف في الأسفل من الجيبة الثالثة مع الغدة الصعترية، في حين يتطور زوج الغدد الذي يتموضع في نهاية المطاف في الأعلى من الجيبة الرابعة. خلال التطور الجنيني، تهاجر الغدة الصعترية إلى أسفل، مع سحب الغدد السفلى معها. ولكن لا يتم سحب الزوج العلوي إلى الأسفل بواسطة الجيبة الرابعة إلى نفس المستوى. تتم تسمية الغدد حسب أماكنها النهائية، وليس الجنينية.[15] بما أن الوجهة النهائية للغدة التوتة هي منصف الصدر، فمن الممكن في بعض الأحيان أن تتواجد جارات الدرقية منتبذة أي خارج مكانها الطبيعي مشتقة من الجيبة الثالثة داخل تجويف الصدر إذا فشلت في الانفصال في الرقبة.
وينظم تطور جارات الدرقية عدد من الجينات، بما في ذلك تلك شيفرات العديد من عوامل النسخ.[16][lower-alpha 1]
الوظيفة
طالع أيضًا: هرمون جار درقي
تتمثل الوظيفة الرئيسية للغدد الجار الدرقية في الحفاظ على مستويات الكالسيوم والفوسفات في الجسم ضمن نطاق ضيق للغاية، بحيث يمكن للجهازين العصبي والعضلي العمل بشكل صحيح. تقوم الغدد الجار درقية بذلك عن طريق إفراز هرمون جار درقي (PTH).[17]
الهرمون جار درقي (المعروف أيضا باسم باراثرمون) هو بروتين صغير يشارك في السيطرة على استتباب الكالسيوم والفوسفات، ووظائف العظام. للهرمون الجار درقي تأثير معاكس لذلك الخاص بالكالسيتونين.[18]
- الكالسيوم. يزيد الهرمون الجار درقي من مستويات الكالسيوم في الدم عن طريق تحفيز بانيات العظم مباشرة وبالتالي تحفيز الخلايا ناقضات العظم بشكل غير مباشر (من خلال آلية RANK / RANKL) لتحطيم العظام وإطلاق الكالسيوم.يزيد الهرمون جار درقي من امتصاص الكالسيوم في الجهاز الهضمي من خلال تنشيط فيتامين دي، ويعزز الحفاظ على الكالسيوم (إعادة امتصاصه) عن طريق الكلى.[18]
- الفوسفات. الهرمون جار درقي هو المنظم الرئيسي لتركيز الفوسفات في الدم عن طريق التأثير على الكلى. وهو مثبط لإعادة الامتصاص الفوسفور في النبيب الملفف الداني. من خلال تنشيط فيتامين (د) يتم زيادة امتصاص الأمعاء للفوسفات.[18]
الأهمية السريرية
ينقسم مرض الغدة الدرقية تقليديًا إلى حالات تكون فيها الغدة جارة الدرقية مصابة بفرط نشاط (فرط جارات الدرقية)، وحالات تكون فيها الغدة جارة الدرقية مصابة بقصور النشاط (قصور جارات الدرقية). تتميز كلتا الحالتين بأعراضهما، التي ترتبط بزيادة أو نقص الهرمون جار درقي في الدم.[19]
فرط جارات الدرقية
هي حالة تؤدي إلى زيادة هرمون جار الدرقية في الدم. مما قد يسبب ألم العظام وقابلية كسرها، وذلك بسبب زيادة تشرب العظم. بسبب زيادة الكالسيوم في الدورة الدموية، قد تكون هناك أعراض أخرى مرتبطة بفرط كالسيوم الدم، وأكثرها شيوعًا التجفاف. غالباً ما يحدث فرط جارات الدرقية بسبب تمايز حميد للخلايا الرئيسة الدريقية في الغدة الواحدة، ونادرًا ما يكون بسبب متلازمة تكَوّن الأورام الصماوية المتعددة. يعرف هذا باسم فرط نشاط جارة الدرقية الأولي،[19] والذي تتم معالجته بشكل عام عن طريق الاستئصال الجراحي للغدة جارة الدرقية الغير طبيعية.[20]
قد يؤدي مرض الكلى إلى فرط جارات الدرقية. عندما يُفقد الكثير من الكالسيوم، يتم تعويضه عن طريق الغدة الجار درقية، ويتم افراز هرمون الجار درقي. تتضخم الغدد لتصنيع المزيد من هرمون الغدة الجار درقية. وهذا ما يعرف باسم فرط نشاط جارة الدرقية الثانوي. إذا استمرت هذه الحالة لفترة طويلة من الزمن، فقد يصبح نسيج الغدة الجار درقية غير مستجيب لمستويات الكالسيوم في الدم، ويبدأ بإفراز هرمون الغدة الجار درقية بشكل مستقل. وهذا ما يعرف باسم فرط نشاط جارة الدرقية الثالثي.[21]
قصور جارات الدرقية
وتعرف حالة انخفاض نشاط الغدة الجار درقية باسم قصور الدريق. ويرتبط ذلك في الغالب بالضرر الذي يصيب الغدد أو إمدادها بالدم أثناء جراحة الغدة الدرقية - وقد يكون مرتبطًا بمتلازمات وراثية نادرة مثل متلازمة دي جورج، والتي يتم توريثها كمتلازمة صبغية جسدية سائدة. كما يحدث قصور الدريق بعد الاستئصال الجراحي للغدد الجار الدرقية.[22]
في بعض الأحيان، تكون أنسجة الإنسان مقاومة لتأثير هرمون الغدة الجار درقية. فيما يعرف باسم قصور الدريقية الكاذب. في هذه الحالة تكون وظائف الغدد جارات الدرقية تعمل بالكامل، ولكن الهرمون نفسه غير قادر على العمل، مما يؤدي إلى انخفاض في مستوى الكالسيوم في الدم. غالبًا ما يرتبط قصور الدريقية الكاذب مع الحالة الوراثية في حَثَل عظمي وراثي بحسب أُولْبرايت. يتم استخدام قصور الدريقية الكاذب الكاذب (Pseudopseudohypoparathyroidism وهي من أطول الكلمات الإنجليزية)، لوصف فرد مصاب بالحثل العظمي الوراثي بخسب أولبرايت، حيث هرمون الغدة الجار درقية ومستويات الكالسيوم في الدم طبيعيين.[22]
قد يظهر قصور الدريق بأعراض مرتبطة بانخفاض الكالسيوم، ويتم علاجه بشكل عام باستخدام نظائر فيتامين د.[22]
تاريخ
تم اكتشاف الغدد جارات الدرقية لأول مرة في وحيد القرن الهندي بواسطة ريتشارد أوين في 1852.[23] في وصفه لتشريح الرقبة، أشار أوين إلى الغدد بأنها "جسم غُدي أصفر صغير مكتنز ملتصق بالغدة الدرقية عند النقطة التي تظهر فيها الأوردة". تم اكتشاف الغدد لأول مرة لدى البشر بواسطة إيفار فيكتور ساندستروم (1852-1889)، وهو طالب طب سويدي، في عام 1880 في جامعة أوبسالا.[24] كان غير مدركٍ لوصف أوين، فوصف الغدد في أفرودته "عن غدة جديدة في الإنسان وحيوانات مشابهة" بأنها "الغدد الجار درقية"، مشيرًا إلى وجودها في الكلاب والقطط والأرانب والثيران والخيول والبشر.[25][26] لعدة سنوات، تلقى وصف ساندستروم القليل من الاهتمام.[27]
قام الفيزيولوجي يوجين غلاي أولاً بتوثيق الوظيفة المفترضة للغدد في عام 1891، مشيرًا إلى العلاقة بين إزالتها وتطور تكزز العضلات. اقترح وليام ج. ماكالوم في عام 1908، الذي فحص أورام الغدة الجار درقية، دورها في استقلاب الكالسيوم.[26] وأشار إلى أن "الكزاز يحدث بشكل تلقائي في عدة أشكال ويمكن أن ينتج عن طريق تدمير الغدد الجار درقية".[28]
أول عملية استئصال ناجحة للغدة الجار درقية تم إجراؤها في عام 1928 من قبل الطبيب إسحاق أولتش، الذي لاحظ متدربه مستويات مرتفعة من الكالسيوم في مريض مسن يعاني من ضعف العضلات. قبل هذه الجراحة، يموت المرضى الذين تستأصل لهم الغدد جارات الدرقية بسبب تكزز العضلات. [26]
تم عزل هرمون الغدة الدرقية في عام 1923 من قبل أدولف م. هانسون وفي عام 1925 بواسطة جايمس ب. كوليب. أدت الدراسات التي أجريت على مستويات هرمون الغدة الجار درقية من قبل روجه غيومين وأندرو سكالي وروزالين يالو إلى تطوير مقايسة مناعية قادرة على قياس مواد الجسم وجائزة نوبل في عام 1977.[24][26]
في حيوانات أخرى
تم العثور على الغدد جارات الدرقية في جميع البالغين من رباعيات الأرجل. تختلف في عددها ومكانها. تحتوي الثدييات عادة على أربع غدد جارات الدرقية، في حين أن الأنواع الأخرى من الحيوانات عادة ما تكون لديها ستة. إزالة الغدد الجار درقية في الحيوانات تنتج حالة تشبه التسمم الحاد مع تقلصات العضلات غير المنتظمة.[29]
لا تمتلك الأسماك غدد جارات درقية. تم العثور على عدة أنواع تنتج هرمون الغدة الجار درقية. تشبه الجينات النمائية ومستقبلات استشعار الكالسيوم في خياشيم الأسماك تلك الموجودة داخل الغدد جارات الدرقية في الطيور والثدييات. وقد اقترح أن غدد رباعيات الأرجل قد تكون استمدت من الناحية التطورية من هذه الخياشيم.[16][30]
صور إضافية
مخطط يظهر تطور الأجسام الطلائية الخيشومية. الأولى والثانية والثالثة والرابعة. الجيبات البلعومية.
انظر أيضاً
ملاحظات
- Namely the co-activator Eya-1, the homeobox transcription factor Six-1, and the transcription factor Gcm-2[16]
مراجع
- ترجمة Parathyroid gland حسب بنك باسم للمصطلحات العلمية؛ مدينة الملك عبد العزيز للعلوم والتقنية، تاريخ الوصول: 05 02 2017.
- قاموس Thorndike. نسخة محفوظة 27 ديسمبر 2017 على موقع واي باك مشين.
- المعجم الطبي الموحد.
- قاموس المورد، البعلبكي، بيروت، لبنان.
- قاموس مرعشي الطبي. نسخة محفوظة 10 يناير 2020 على موقع واي باك مشين.
- Gray, Henry (1980). Williams, Peter L; Warwick, Roger (المحررون). غرايز أناتومي (الطبعة 36th). Churchill Livingstone. صفحة 1453. ISBN 0-443-01505-8. الوسيط
|CitationClass=تم تجاهله (مساعدة) - Johnson, S J (1 April 2005). "Best Practice No 183: Examination of parathyroid gland specimens". Journal of Clinical Pathology. 58 (4): 338–342. doi:10.1136/jcp.2002.002550. الوسيط
|CitationClass=تم تجاهله (مساعدة) - Illustrated Anatomy of the Head and Neck, Fehrenbach and Herring, Elsevier, 2012, p. 159
- Drake, Richard L.; Vogl, Wayne; Tibbitts, Adam W.M. Mitchell; illustrations by Richard; Richardson, Paul (2005). Gray's anatomy for students. Philadelphia: Elsevier/Churchill Livingstone. صفحة 918. ISBN 978-0-8089-2306-0. الوسيط
|CitationClass=تم تجاهله (مساعدة) - Drake, Richard L.; Vogl, Wayne; Tibbitts, Adam W.M. Mitchell; illustrations by Richard; Richardson, Paul (2005). Gray's anatomy for students. Philadelphia: Elsevier/Churchill Livingstone. صفحات 917–8. ISBN 978-0-8089-2306-0. الوسيط
|CitationClass=تم تجاهله (مساعدة) - Williams, S. Jacob ; dissections by David J. Hinchcliffe ; photography by Mick A. Turton ; illustrated by Amanda (2007). Human anatomy: a clinically-orientated approach (الطبعة New). Edinburgh: Churchill Livingstone. ISBN 978-0-443-10373-5. الوسيط
|CitationClass=تم تجاهله (مساعدة)[بحاجة لرقم الصفحة] - Lappas D, Noussios G, Anagnostis P, Adamidou F, Chatzigeorgiou A, Skandalakis P (September 2012). "Location, number and morphology of parathyroid glands: results from a large anatomical series". Anat Sci Int. 87 (3): 160–4. doi:10.1007/s12565-012-0142-1. PMID 22689148. الوسيط
|CitationClass=تم تجاهله (مساعدة) - Young, Barbara; Heath, John W.; Stevens, Alan; Burkitt, H. George (2006). Wheater's functional histology: a text and colour atlas (الطبعة 5th). Edinburgh: Churchill Livingstone/Elsevier. صفحة 337. ISBN 978-0-443-06850-8. الوسيط
|CitationClass=تم تجاهله (مساعدة) - Ritter, Cynthia S.; Haughey, Bruce H.; Miller, Brent; Brown, Alex J. (August 2012). "Differential Gene Expression by Oxyphil and Chief Cells of Human Parathyroid Glands". The Journal of Clinical Endocrinology & Metabolism. 97 (8): E1499–E1505. doi:10.1210/jc.2011-3366. PMC 3591682. PMID 22585091. الوسيط
|CitationClass=تم تجاهله (مساعدة) - Larsen, William J. (2001). Human embryology (الطبعة 3rd). Philadelphia, Pa.: Churchill Livingstone. صفحات 377–8. ISBN 0-443-06583-7. الوسيط
|CitationClass=تم تجاهله (مساعدة) - Zajac, Jeffrey D; Danks, Janine A (July 2008). "The development of the parathyroid gland: from fish to human". Current Opinion in Nephrology and Hypertension. 17 (4): 353–356. doi:10.1097/MNH.0b013e328304651c. الوسيط
|CitationClass=تم تجاهله (مساعدة) - Young, Barbara; Heath, John W.; Stevens, Alan; Burkitt, H. George (2006). Wheater's functional histology: a text and colour atlas (الطبعة 5th). Edinburgh: Churchill Livingstone/Elsevier. صفحة 336. ISBN 978-0-443-06850-8. الوسيط
|CitationClass=تم تجاهله (مساعدة) - Hall, Arthur C. Guyton, John E. (2005). Textbook of medical physiology (الطبعة 11th). Philadelphia: W.B. Saunders. صفحات 985–8. ISBN 978-0-7216-0240-0. الوسيط
|CitationClass=تم تجاهله (مساعدة) - Colledge, Nicki R.; Walker, Brian R.; Ralston, Stuart H., المحررون (2010). Davidson's principles and practice of medicine (الطبعة 21st). Edinburgh: Churchill Livingstone/Elsevier. صفحات 766–7. ISBN 978-0-7020-3084-0. الوسيط
|CitationClass=تم تجاهله (مساعدة) - Colledge, Nicki R.; Walker, Brian R.; Ralston, Stuart H., المحررون (2010). Davidson's principles and practice of medicine (الطبعة 21st). Edinburgh: Churchill Livingstone/Elsevier. صفحة 767. ISBN 978-0-7020-3084-0. الوسيط
|CitationClass=تم تجاهله (مساعدة) - Staren, Prinz; Richard, A., المحررون (2000). Endocrine surgery. Georgetown TX: Landes Bioscience. صفحات 98–114. ISBN 978-1-57059-574-5. الوسيط
|CitationClass=تم تجاهله (مساعدة) - Colledge, Nicki R.; Walker, Brian R.; Ralston, Stuart H., المحررون (2010). Davidson's principles and practice of medicine (الطبعة 21st). Edinburgh: Churchill Livingstone/Elsevier. صفحة 768. ISBN 978-0-7020-3084-0. الوسيط
|CitationClass=تم تجاهله (مساعدة) - Cave, A.J.E. (1953). "Richard Owen and the discovery of the parathyroid glands" (PDF). In E. Ashworth Underwood (المحرر). Science, Medicine and History. Essays on the Evolution of Scientific Thought and Medical Practice. 2. Oxford University Press. صفحات 217–222. اطلع عليه بتاريخ 20 يوليو 2009. الوسيط
|CitationClass=تم تجاهله (مساعدة) - Eknoyan G (November 1995). "A history of the parathyroid glands". المجلة الأمريكية لأمراض الكلى. 26 (5): 801–7. doi:10.1016/0272-6386(95)90447-6. PMID 7485136. مؤرشف من الأصل في 19 سبتمبر 2019. الوسيط
|CitationClass=تم تجاهله (مساعدة) - "On a New Gland in Man and Several Mammals (Glandulæ Parathyreoideæ)". Journal of the American Medical Association. 111 (2): 197. 9 July 1938. doi:10.1001/jama.1938.02790280087037. الوسيط
|CitationClass=تم تجاهله (مساعدة) - DuBose, Joseph; Ragsdale, Timothy; Morvant, Jason (January 2005). ""Bodies so tiny": The history of parathyroid surgery". Current Surgery. 62 (1): 91–95. doi:10.1016/j.cursur.2004.07.012. الوسيط
|CitationClass=تم تجاهله (مساعدة) - Carney, JA (Sep 1996). "The glandulae parathyroideae of Ivar Sandström. Contributions from two continents". The American journal of surgical pathology. 20 (9): 1123–44. doi:10.1097/00000478-199609000-00010. PMID 8764749. الوسيط
|CitationClass=تم تجاهله (مساعدة) - Maccallum, W. G; Voegtlin, C. (Jan 9, 1909). "On the Relation of Tetant to the Parathyroid Glands and to Calcium Metabolism". The Journal of Experimental Medicine. 11 (1): 118–51. doi:10.1084/jem.11.1.118. PMC 2124703. PMID 19867238. الوسيط
|CitationClass=تم تجاهله (مساعدة) - Councilman, WT (1913). "Chapter 1". Disease and Its Causes. United States: New York Henry Holt and Company London Williams and Norgate The University Press, Cambridge, U.S. ASIN B0065T4O6Q. OCLC 654587300. الوسيط
|CitationClass=تم تجاهله (مساعدة) - Okabe, Masataka; Graham, Anthony (2004). "The origin of the parathyroid gland". Proceedings of the National Academy of Sciences. 101 (51): 17716–9. Bibcode:2004PNAS..10117716O. doi:10.1073/pnas.0406116101. JSTOR 3374034. PMC 539734. PMID 15591343. الوسيط
|CitationClass=تم تجاهله (مساعدة)
مراجع للتوسع
- Sandström, Ivar (1938). On a New Gland in Man and Several Mammals: (Glandulæ Parathyreoideæ). Translated by Carl Michael Seipel. مطبعة جامعة جونز هوبكينز. OCLC 69441047. الوسيط
|CitationClass=تم تجاهله (مساعدة)
وصلات خارجية
- بوابة علم وظائف الأعضاء
- بوابة طب
- بوابة تشريح
صور وملفات صوتية من كومنز

