فرط تنسج دهني
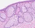
فرط التنسج الدهني[1] أو فرط التنسج الزهمي[1] (بالإنجليزية: Sebaceous hyperplasia) هو اضطراب في الغدد الدُهنية، حيثُ تتضخم، مما يؤدي إلى ظهورِ تحاديب سُرية الشكل لامعة صفراء أو لحمية اللون.[2] يتميز فرط التنسج الدهني غالبًا بانتفاخ العُقيدات المُتكونة حديثًا مع التعرق، ولكنها تتقلص مع مرور الوَقت.
| فرط تنسج دهني | |
|---|---|
| معلومات عامة | |
| من أنواع | أمراض الغدة الدهنية |
تتواجد الغُدد الدهنية ضمن الجلد وتكون مسؤولة عن إفراز مادة زيتية تُسمى الدُهْن أو الزُهْم. غالبًا ما تكون مُرتبطة مع بصيلات الشعر ولكنها قد تتواجد في مناطق خالية من الشعر أيضًا. يُساعد إفرازها على تشحيم الجلد وحمايته من الجفاف أو التهيج.[3]
غالبًا ما يؤثر فرط التنسج الدهني على حديثي الوِلادة واكبار السن في مُنتصف العمر. تظهر هذه الحالة على شكل حطاطات 1-5 ملم على الجلد، وغالبًا في جبهة الرأس والأنف والخدين والجلد الدهني في الوجه، وقد تكون على شكلِ القرنبيط. في الرُضع، يرتبط حب الشباب عادةً مع فرط التنسج الدهني.
معرض صور
انظر أيضًا
المراجع
- "Al-Qamoos القاموس - English Arabic dictionary / قاموس إنجليزي عربي". www.alqamoos.org. مؤرشف من الأصل في 10 ديسمبر 2019. اطلع عليه بتاريخ 18 أبريل 2018. الوسيط
|CitationClass=تم تجاهله (مساعدة) - James, William D.; Berger, Timothy G.; et al. (2006). Andrews' Diseases of the Skin: Clinical Dermatology. Saunders Elsevier. صفحات 662. ISBN 0-7216-2921-0. الوسيط
|CitationClass=تم تجاهله (مساعدة) - Jo Ann Coers Eurell; Brian L. Frappier (2006). Dellmann's textbook of veterinary histology. Wiley. صفحة 29. ISBN 9780781741484. مؤرشف من الأصل في 03 يونيو 2016. الوسيط
|CitationClass=تم تجاهله (مساعدة)
- بوابة طب



