كثرة المنسجات لخلايا لانغر هانز
كثرة المنسجات لخلايا لانغر هانز (LCH) (بالإنجليزية: Langerhans cell histiocytosis)هو مرض نادر عبارة عن انتشار نسيلي لخلايا لانغر هانز وتكاثرها بأعداد كبيرة وغير طبيعية، الخلايا الناشئة من هذا النوع التي تتكون في نخاع العظم وتهاجر بعدها للجلد قادرة أيضا على الهجرة من الجلد إلى العقد الليمفاوية . سريريا مظاهرها تتراوح من إصابات معزولة للعظم إلى المرض الشامل. كثرة المنسجات اللانغر هانزية هي جزء من مجموعة من المتلازمات السريرية المسماة كثرة المنسجات والتي تتصف بالتكاثر غير الطبيعي للمنسجات (نوع من أنواع كريات الدم البيضاء الأكولة).
- هذه الأمراض لها صلة بالأشكال الأخرى للتكاثر غير الطبيعي لكريات الدم البيضاء مثل الليوكيميا واللمفوما.
| كثرة المنسجات لخلايا لانغر هانز | |
|---|---|
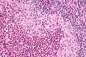
![]() صورة مجهرية تظهر كثرة المنسجات لخلايا لانغر هانز موضحة الشكل الكلوي لخلايا لانغر هانز مشتركة مع وفرة من الخلايا الحمضية ، صبغة الهيماتوكسيلين والإيوسين صورة مجهرية تظهر كثرة المنسجات لخلايا لانغر هانز موضحة الشكل الكلوي لخلايا لانغر هانز مشتركة مع وفرة من الخلايا الحمضية ، صبغة الهيماتوكسيلين والإيوسين | |
| معلومات عامة | |
| الاختصاص | علم الأورام |
| من أنواع | كثرة المنسجات |
| التاريخ | |
| سُمي باسم | خلية لانغرهانس |
هذا المرض لهُ عدة أنواع أشهرها :الورم الحبيبي اليوزيني و داء هاند-شولر-كريستيان و داء ليترير سايوي وعرف أيضا بكثرة المنسجات إكس قبل أن تقرر جمعية المنسجات عام 1985 اعتماد اسم كثرة المنسجات لخلايا لانغر هانز لهذا المرض بأنواعه المختلفة.[1]
التصنيف
| أسماء بديلة |
|---|
| كثرة المنسجات X
متلازمة كثرة المنسجات X |
| أسماء لأنواع من المرض |
| داء هاند-شولر-كريستيان
الورم الحبيبي اليوزيني . . . |
ينتج المرض من تراكم نسيلي وتكاثر للخلايا المتغصنة في الجلد المسماة خلايا لانغر هانز ولذا فقد يسمى أحيانا كثرة المنسجات للخلايا المتغصنة .
الخلل في هذه الخلايا إلى جانب الخلل في الخلايا اللمفية و الخلايا الحمضية و المنسجات الطبيعية يكونون أسباب كثرة منسجات لانجز هانز النموذجية .[2]
- كثرة منسجات لانجر هانز سريريا ممكن أن يقسم إلى ثلاث مجموعات :
وحيد البؤرة .متعدد البؤر وحيد الجهاز، متعدد البؤر والأجهزةL[3]
وحيد البؤرة
- وحيد البؤرة ويسمى أيضا الإيزونوفيلي الحبيبي أو الورم الحبيبي اليوزيني
هو مرض تقدمه بطيء ويتميز بتكاثر وانتشار متزايد لخلايا لانغرهانس في مختلف العظام. يمكن أن يكون مرض أحادي العظم (في عظم واحد) أو متعدد العظام (يشمل أكثر من عظم ) . هو عادة لا ينتشر خارج الجهاز الهيكلي ،لكن وبشكل نادر ممكن أن ينتشر ويتواجد في الجلد ،الرئة أو المعدة. من المهم عند تواجده في الرئة أن نفرق بينه وبين كثرة المنسجات اللانجر هانزية الرئوية وهو نوع يتواجد عادة في المدخنين البالغين.[4]
متعدد البؤر وحيد الجهاز
هو ما يعرف بداء هاند-شولر-كريستيان:
يتواجد غالبا في الأطفال ، ويتسم بالحمى وآلام العظم والطفح الجلدي عادة في فروة الرأس وقنوات الأذن.
في خمسين بالمائة من الحالات يصل إلى الغدة النخامية مؤديا إلى داء السكري الكاذب . ثلاثية السكري الكاذب وجحوظ العينين و آلام العظم هي من صفاته المميزة، ذروة تواجده تكون في العمر المتراوح بين الثانية والعاشرة.
متعدد البؤر ومتعدد الأجهزة
- يسمى أيضا بداء ليترير سايوي
هو مرض سريع النمو حيث تتكاثر خلايا لانغر هانز في العديد من الأنسجة . عادة ما يصيب الأطفال تحت سن الثانية، والتكهن أو التخمين أو كشفه المبكر عادة ما يكون ضعيفا، أما في علاجه فحتى مع استخدام أشد العلاج الكيميائي فالبقاء على قيد الحياة لمدة خمس سنوات نسبته فقط 50 %.[5]
كثرة المنسجات اللانجر هانزية الرئوية (PLCH)
هو مرض لا يصيب تقريبا إلا مدخني السجائر، مرتبط بأمراض الرئة الخلالية ،بعض المرضى يتعافون تماما بعد توقفهم عن التدخين، والبعض الآخر قد يتطور لديهم إلى مضاعفات مثل التليف الرئوي وارتفاع ضغط الدم الرئوي [6]
الانتشار
يؤثر كثرة المنسجات اللانجر هانزي عادة على الأطفال في السن الذي يتراوح بين 1 و 15 سنة، مع وجود نسبة الذروة ما بين 5 و 10 سنوات من العمر
- يعتقد أن المعدل السنوي للإصابة بالمرض بين الأطفال الذين تقل أعمارهم عن 10 سنوات هو 1 في 200,000. عند البالغين يعتبر المرض أكثر ندرة، ونسبة اصابته حوالي 1 في 560,000. وقد يوجد في كبار السن ولكن بشكل نادر.
انتشار المرض في الذكور أعلى من الإناث وقد تصل نسبة المصابين من الذكور القوقازيين ضعفي عدد المرضى من الإناث منهم.
عادة المرض غير وراثي مع وجود مجموعات وحالات ضئيلة مرتبطة وراثيا في داء هاند-شولر-كريستيان على سبيل المثال .[7][8][9][10][11][12]
الفيزيولوجيا المرضية
يعتبر كثرة المنسجات اللانجرهانزية موضع نقاش في كيفية تصنيفه هل يصنف على أنه مرض سرطاني أو أنه مرض غير سرطاني، الكثير قالوا أنه غير سرطاني ومما يدعم هذه النتيجة طريقة هجومه العفوية وإفرازه مجموعة كبيرة من السيتوكينات المتعددة من خلاياه الجذعية وخلايا أخرى في الأنسجة المصابة، التكهن بوجود المرض ممكن وكبير، ومن الممكن القول أن نسبة البقاء على قيد الحياة بعد الإصابة به جيد عند عدم إصابة جهاز حيوي في الجسم . من قالوا أن المرض له طبيعة سرطانية لهم أدلتهم مثل تشابه طبيعته في انتشاره وتنسيله وتكاثره مثلا مع الأورام. [13][14]
العلامات والأعراض


كثرة المنسجات اللانجر هانزية تؤدي لحدوث استجابات مناعية غير متخصصة مثل الحمى والخمول ونقص الوزن ،وتؤدي كذلك لاستجابات متخصصة، من الأعراض أيضا:
- العظم: ورم مؤلم في العظم هو أكثر الأعراض تواجدا في العظم سواء كان المرض وحيد البؤرة أو متعدد البؤر، يؤثر في معظم الأحيان وغالبا على عظام الجمجمة يليها العظام الطويلة في الأطراف العلوية والعظام المسطحة، وعادة لا تتأثر العظام في الجزء السفلي من الجسم، والأضرار التي تصيب العظم قد تؤدي إلى الكسور المرضية
[15] - الجلد : الطفح الجلدي أهم الأعراض وبأشكال متعددة، في 80% من المرضى يحصل لديهم بقع وطفح في فروة الرأس.
- نخاع العظم : قلة الكريات الشاملة
- العقد اللمفاوية : تضخم الكبد في 20٪، الطحال في 30٪ والغدد الليمفاوية في 50٪ من حالات كثرة المنسجات[16]
- الغدد الصماء : في الغدد النخامية في الغالب مرض السكري الكاذب هو الأكثر شيوعا.[17]
- الرئة: بعض المرضى لا يعانون من أعراض وإنما يتم تشخيصهم عن طريق وجود العقيدات الرئوية في الصور الإشعاعية، وبعض المرضى يعانون من أعراض مثل السعال المزمن وضيق التنفس.[18]
- أعراض قليلة الانتشار بين المرضى في الجهاز الهضمي والجهاز العصبي المركزي وفي تجويف الفم [19]
التشخيص

تأكيد التشخيص يتم نسيجيا عن طريق الخزع النسيجية،صبغة الهيماتوكسيلين والإيوسين ستوضح صفات خلايا لانجر هانز .
وجود حبيبات بيربك في المجهر الإلكتروني والصفات المناعية الخليوية الكيميائية مثل CD1 بشكل موجب هو أكثر تحديدا.
في البداية تستعمل اختبارت الدم الاعتيادية مثل تعداد الدم الكامل واختبار وظائف الكبد ،U and E s, تحاليل العظام لتحديد مناطق انتشار المرض واستبعاد الأسباب الأخرى، الأشعة ستبين الأضرار في العظم ومدى الدمار في الرئة . قد تستعمل الأشعة السينية والمقطعية والرنين المغناطيسي واختبار وظائف الغدد الصماء وغيرها من أدوات التشخيص.
العلاج
العلاج يختلف اعتمادا على مدى انتشار المرض ونوعه، فقد يستعمل في أحادي العظم مثلا: الاستئصال والعلاج الإشعاعي المحدود، بجرعة حوالي من 5 إلى 10 Gys للأطفال، و24-30 Gys للبالغين، وقد يستعمل كذلك العلاج الكيميائي في علاجه.
- استخدام الستيرويدات النظامية هو أمر شائع، قد تستعمل منفردة أو مساعدة للعلاج الكيميائي.
- كريم الستيرويد الموضعي يستعمل لآفات الجلد.
- نقص الكفاءة في عمل الغدد الصماء غالبا ما يتطلب استعمال دواء ملحق مدى الحياة مثل ديزموبريسين لمرض السكري الكاذب والذي يمكن استعماله كقطرة الأنف.
- العلاج الكيميائي المستعمل في هذه الأمراض أنواع عدة.[20][21]
انظر أيضا
المراجع
- The Writing Group of the Histiocyte Society (1987). "Histiocytosis syndromes in children. Writing Group of the Histiocyte Society". Lancet. 1 (8526): 208–9. doi:10.1016/S0140-6736(87)90016-X. PMID 2880029. الوسيط
|CitationClass=تم تجاهله (مساعدة) - Makras P, Papadogias D, Kontogeorgos G, Piaditis G, Kaltsas G (2005). "Spontaneous gonadotrophin deficiency recovery in an adult patient with Langerhans cell Histiocytosis (LCH)". Pituitary. 8 (2): 169–74. doi:10.1007/s11102-005-4537-z. PMID 16379033. الوسيط
|CitationClass=تم تجاهله (مساعدة) - Cotran, Ramzi S.; Kumar, Vinay; Abbas, Abul K.; Fausto, Nelson; Robbins, Stanley L. (2005). Robbins and Cotran pathologic basis of disease. St. Louis, Mo: Elsevier Saunders. صفحات 701-. ISBN 0-8089-2302-1. الوسيط
|CitationClass=تم تجاهله (مساعدة) - Kumar, Vinay; Abbas, Abul; Aster, Jon (2015). Robbins and Cotran Pathologic Basis of Disease (الطبعة 9th). Philadelphia, PA: Elsevier. صفحة 622. ISBN 978-1-4557-2613-4. الوسيط
|CitationClass=تم تجاهله (مساعدة) - Langerhans Cell Histiocytosis في موقع إي ميديسين
- Juvet, Stephen C; Hwang, David; Downey, Gregory P (2010). "Rare lung diseases III: pulmonary Langerhans' cell histiocytosis". Canadian Respiratory Journal. 17 (3): e55–62. PMC 2900147. PMID 20617216. الوسيط
|CitationClass=تم تجاهله (مساعدة) - Kapur, Payal; Erickson, Christof; Rakheja, Dinesh; Carder, K. Robin; Hoang, Mai P. (2007). "Congenital self-healing reticulohistiocytosis (Hashimoto-Pritzker disease): Ten-year experience at Dallas Children's Medical Center". Journal of the American Academy of Dermatology. 56 (2): 290–4. doi:10.1016/j.jaad.2006.09.001. PMID 17224372. الوسيط
|CitationClass=تم تجاهله (مساعدة) - "MedlinePlus Medical Encyclopedia: Histiocytosis". مؤرشف من الأصل في 4 يوليو 2016. اطلع عليه بتاريخ 10 مايو 2007. الوسيط
|CitationClass=تم تجاهله (مساعدة) - "Histiocytosis Association of Canada". مؤرشف من الأصل في 27 ديسمبر 2011. اطلع عليه بتاريخ 16 مايو 2007. الوسيط
|CitationClass=تم تجاهله (مساعدة) - Gerlach, Beatrice; Stein, Annette; Fischer, Rainer; Wozel, Gottfried; Dittert, Dag-Daniel; Richter, Gerhard (1998). "Langerhanszell-Histiozytose im Alter" [Langerhans cell histiocytosis in the elderly]. Der Hautarzt (باللغة الألمانية). 49 (1): 23–30. doi:10.1007/s001050050696. PMID 9522189. الوسيط
|CitationClass=تم تجاهله (مساعدة) - Sellari-Franceschini, S.; Forli, F.; Pierini, S.; Favre, C.; Berrettini, S.; Macchia, P.A. (1999). "Langerhans' cells histiocytosis: a case report". International Journal of Pediatric Otorhinolaryngology. 48 (1): 83–7. doi:10.1016/S0165-5876(99)00013-0. PMID 10365975. الوسيط
|CitationClass=تم تجاهله (مساعدة) - Aricò, M.; Girschikofsky, M.; Généreau, T.; Klersy, C.; McClain, K.; Grois, N.; Emile, J.-F.; Lukina, E.; De Juli, E.; Danesino, C. (2003). "Langerhans cell histiocytosis in adults: Report from the International Registry of the Histiocyte Society". European Journal of Cancer. 39 (16): 2341–8. doi:10.1016/S0959-8049(03)00672-5. PMID 14556926. الوسيط
|CitationClass=تم تجاهله (مساعدة) - Broadbent, V.; Davies, E.G.; Heaf, D.; Pincott, J.R.; Pritchard, J.; Levinsky, R.J.; Atherton, D.J.; Tucker, S. (1984). "Spontaneous remission of multi-system histiocytosis X". Lancet. 1 (8371): 253–4. doi:10.1016/S0140-6736(84)90127-2. PMID 6142997. الوسيط
|CitationClass=تم تجاهله (مساعدة) - Filippi, Paola; De Badulli, Carla; Cuccia, Mariaclara; Silvestri, Annalisa; De Dametto, Ennia; Pasi, Annamaria; Garaventa, Alberto; Prever, Adalberto Brach; del Todesco, Alessandra; Trizzino, Antonino; Danesino, Cesare; Martinetti, Miryam; Arico, Maurizio (2006). "Specific polymorphisms of cytokine genes are associated with different risks to develop single-system or multi-system childhood Langerhans cell histiocytosis". British Journal of Haematology. 132 (6): 784–7. doi:10.1111/j.1365-2141.2005.05922.x. PMID 16487180. الوسيط
|CitationClass=تم تجاهله (مساعدة) - Stull, MA; Kransdorf, MJ; Devaney, KO (July 1992). "Langerhans cell histiocytosis of bone". Radiographics : a review publication of the Radiological Society of North America, Inc. 12 (4): 801–23. doi:10.1148/radiographics.12.4.1636041. PMID 1636041. الوسيط
|CitationClass=تم تجاهله (مساعدة) - "Langerhans Cell Histiocytosis - Patient UK". مؤرشف من الأصل في 12 فبراير 2012. اطلع عليه بتاريخ 10 مايو 2007. الوسيط
|CitationClass=تم تجاهله (مساعدة) - Broadbent, V; Dunger, DB; Yeomans, E; Kendall, B (1993). "Anterior pituitary function and computed tomography/magnetic resonance imaging in patients with Langerhans cell histiocytosis and diabetes insipidus". Medical and pediatric oncology. 21 (9): 649–54. doi:10.1002/mpo.2950210908. PMID 8412998. الوسيط
|CitationClass=تم تجاهله (مساعدة) - Sholl, LM; Hornick, JL; Pinkus, JL; Pinkus, GS; Padera, RF (June 2007). "Immunohistochemical analysis of langerin in langerhans cell histiocytosis and pulmonary inflammatory and infectious diseases". The American journal of surgical pathology. 31 (6): 947–52. doi:10.1097/01.pas.0000249443.82971.bb. PMID 17527085. الوسيط
|CitationClass=تم تجاهله (مساعدة) - Cisternino A, Asa'ad F, Fusco N, Ferrero S, Rasperini G (Oct 2015). "Role of multidisciplinary approach in a case of Langerhans cell histiocytosis with initial periodontal manifestations". Int J Clin Exp Pathol. 8 (10): 13539–45. PMC 4680515. PMID 26722570. الوسيط
|CitationClass=تم تجاهله (مساعدة) - Haupt, Riccardo; Minkov, Milen; Astigarraga, Itziar; Schäfer, Eva; Nanduri, Vasanta; Jubran, Rima; Egeler, R. Maarten; Janka, Gritta; Micic, Dragan; Rodriguez-Galindo, Carlos; Van Gool, Stefaan; Visser, Johannes; Weitzman, Sheila; Donadieu, Jean (February 2013). "Langerhans cell histiocytosis (LCH): Guidelines for diagnosis, clinical work-up, and treatment for patients till the age of 18 years". Pediatric Blood & Cancer. 60 (2): 175–184. doi:10.1002/pbc.24367. PMID 23109216. الوسيط
|CitationClass=تم تجاهله (مساعدة) - Girschikofsky, Michael; Arico, Maurizio; Castillo, Diego; Chu, Anthony; Doberauer, Claus; Fichter, Joachim; Haroche, Julien; Kaltsas, Gregory A; Makras, Polyzois; Marzano, Angelo V; de Menthon, Mathilde; Micke, Oliver; Passoni, Emanuela; Seegenschmiedt, Heinrich M; Tazi, Abdellatif; McClain, Kenneth L (2013). "Management of adult patients with Langerhans cell histiocytosis: recommendations from an expert panel on behalf of Euro-Histio-Net". Orphanet Journal of Rare Diseases. 8 (1): 72. doi:10.1186/1750-1172-8-72. الوسيط
|CitationClass=تم تجاهله (مساعدة)
- بوابة طب
