كيسة عنكبوتية
الكيسات العنكبوتية (بالإنجليزية: Arachnoid cysts) هي عبارة عن سائل دماغي شوكي مغطى بالخلايا العنكبوتية والكولاجين[1] والذي قد ينمو بين سطح الدماغ وقاعدة الجمجمة أو على الغشاء العنكبوتي، وهو أحد الطبقات السحائية الثلاث التي تغطي الدماغ والحبل الشوكي.[2] وتُعد الكيسات العنكبوتية الأولية هي اضطراب خلقي بينما الكيسات العنكبوتية الثانوية هي نتيجة لإصابة في الرأس أو صدمة.[3] تبدأ معظم حالات الكيسات الأولية خلال فترة الرضاعة؛ ومع ذلك قد يتأخر ظهورها حتى سن المراهقة.
| كيسة عنكبوتية | |
|---|---|
| Arachnoid cyst | |
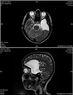
![]() صورة بالرنين المغناطيسي لامراة تبلغ من العمر 25عامًا مصابة بكيسة عنكبوتية جبهية صدغية يسري. صورة بالرنين المغناطيسي لامراة تبلغ من العمر 25عامًا مصابة بكيسة عنكبوتية جبهية صدغية يسري. | |
| معلومات عامة | |
| الاختصاص | جراحة الأعصاب |
علامات وأعراض
المرضى الذين يعانون من الكيسات العنكبوتية قد لا تظهر عليهم الأعراض أبدًا حتى في بعض الحالات التي يكون فيها الكيس كبيرًا، لذلك في حين أن وجود الأعراض قد يؤدي إلى مزيد من الاستقصاء السريري لكن الأعراض المستقلة عن البيانات الإضافية لا يمكن -ولا ينبغي - تفسيرها كدليل على وجود الكيس أو حجمه أو موقعه أو التأثير الوظيفي المحتمل على المريض.
تختلف الأعراض حسب حجم وموقع الكيس (الأكياس) على الرغم من أن الأكياس الصغيرة عادة لا تظهر عليها أعراض ويتم اكتشافها بالصدفة فقط.[2] ومن ناحية أخرى قد ينتج عن الكيسات الكبيرة عدد من الأعراض:
- تشوه الجمجمة أو تضخم الرأس (ضخامة الرأس) خاصة عند الأطفال[4]
- تظهر الأكياس في المنطقة فوق السرجية عند الأطفال على شكل تمايل وإيماء في الرأس يسمى متلازمة دمية الرأس المزركشة.
- ارتبطت الكيسات الموجودة في الحفرة القحفية الوسطى اليسرى بـاضطراب نقص الانتباه مع فرط النشاط في دراسة أجريت على الأطفال المصابين.[5]
- الصداع.[2] لا يعاني المريض المصاب بالصداع بالضرورة من كيس عنكبوتي.
- في دراسة أجريت عام 2002 على 78 مريضًا يعانون من الصداع النصفي أو صداع التوتر، أظهرت فحوصات التصوير المقطعي المحوسب وجود تشوهات في أكثر من ثلث المرضى على الرغم من أن الأكياس العنكبوتية شكلت 2.6% فقط من المرضى في هذه الدراسة.[6]
- وجدت دراسة أن 18% من المرضى الذين يعانون من الأكياس العنكبوتية داخل الجمجمة يعانون من صداع غير محدد. كان الكيس في موقع صدغي في 75% من هذه الحالات.[7]
- النوبات
- استسقاء الرأس (التراكم المفرط للسائل النخاعي)
- زيادة الضغط داخل القحف
- تأخر النمو
- التغييرات السلوكية
- غثيان
- خلل الحركة
- الخزل الشقي (ضعف أو شلل في جانب واحد من الجسم)
- رنح (عدم القدرة على التحكم في العضلات)
- هلوسة موسيقية[8]
- عته قبل الكهولة[9] حالة غالبًا ما ترتبط بـمرض الزهايمر
- في المرضى المسنين (> 80 عامًا) كانت الأعراض مشابهة للورم الدموي تحت الجافية المزمن أو استسقاء الضغط الطبيعي:[10]
- مرض عقلي
- تبول لا إرادي
- ضعف نصفي
- صداع الرأس
- النوبات
أعراض موضعية (حسب المكان)
- يمكن للكيس العنكبوتي في المنطقة فوق خيمة المخيخ أن يحاكي هجوم مرض منيير.[11]
- ارتبطت الكيسات العنكبوتية الأمامية بالاكتئاب.[12]
- ارتبطت الكيسات الموجودة على الفص الصدغي الأيسر بالذهان.[13][14] أظهر الكيس الجبهي الصدغي الأيسر أعراض الإصابة باللامفرداتية.[15]
- نتج عن الكيس الموجود على الثلم الوحشي الأيمن ظهور جديد لأعراض شبيهة بالفصام في سن 61 عامًا.[16]
- يعاني المريض المصاب بكيس على الحفرة القحفية الوسطى اليسرى من هلوسة سمعية، وصداع شبيه بالصداع النصفي، وجنون العظمة الدورية[7]
- المرضى الذين يعانون من تكيسات الفص الصدغي الأيسر لديهم اضطرابات مزاجية مشابهة للاكتئاب الهوسي (الاضطراب ثنائي القطب) ومن المعروف أنهم يظهرون عدوانية خارجية[17]
أسباب
السبب الدقيق للكيسات العنكبوتية غير معروف، يعتقد الباحثون أن معظم حالات الكيسات العنكبوتية هي تشوهات تطورية تنشأ من الانقسام أو التمزق غير المبرر للغشاء العنكبوتي.
في بعض الحالات تكون الكيسات العنكبوتية التي تحدث في الحفرة الوسطى مصحوبة بتخلف (نقص تنسج) أو ضغط في الفص الصدغي. الدور الدقيق الذي تلعبه تشوهات الفص الصدغي في تطور الأكياس العنكبوتية الحفرية الوسطى غير معروف.
هناك بعض الحالات التي ارتبطت فيها الاضطرابات الوراثية بالكيسات العنكبوتية.[18]
يمكن أن تحدث بعض مضاعفات الكيسات العنكبوتية عندما يتضرر الكيس بسبب صدمة طفيفة في الرأس.[19] يمكن أن تتسبب الصدمة في تسرب السائل الموجود داخل الكيس إلى مناطق أخرى (على سبيل المثال الحيز تحت العنكبوتية )، كما قد تتمزق الأوعية الدموية الموجودة على سطح الكيس وتنزف في الكيس (نزف داخل الكيس) مما يزيد من حجمه، إذا كان أحد الأوعية الدموية ينزف خارج الكيس فقد ينتج عن ذلك تجمع من الدم (ورم دموي). في حالات النزف داخل الكيس والورم الدموي قد يعاني الفرد من أعراض زيادة الضغط داخل الجمجمة وعلامات ضغط الأنسجة العصبية القريبة (العصبية).
يناقش بعض العلماء ما إذا كانت الأكياس العنكبوتية حالة متجانسة حقيقية أو إذا كان يجب فصلها عن الأكياس الثانوية.[20] أظهرت دراسة حديثة اختلافات في الاتصال بين الكيس العنكبوتي والفضاء تحت العنكبوتية بواسطة تصوير الصهاريج المقطعي.[21] تظهر مقارنة بين سائل الكيس العنكبوتي والسائل النخاعي في سلسلة من المرضى اختلافات في التركيب الكيميائي.[22]
يمكن أن تحدث الكيسات العنكبوتية أيضًا بشكل ثانوي لاضطرابات أخرى مثل متلازمة مارفان أو التهاب العنكبوتية أو عدم تكوين الجسم الثفني.
تشخيص


يتم التشخيص بشكل أساسي عن طريق التصوير بالرنين المغناطيسي، في كثير من الأحيان تكون الخراجات العنكبوتية عبارة عن نتائج عرضية في فحوصات التصوير بالرنين المغناطيسي التي يتم إجراؤها لأسباب سريرية أخرى، ومن الناحية العملية يتطلب تشخيص الأكياس العنكبوتية المصحوبة بأعراض وجود أعراض، ولا تظهر الأعراض على العديد من المصابين بهذا الاضطراب.
تشمل أدوات التقييم السريري الإضافية التي يمكن أن تكون مفيدة في تقييم المريض المصاب بالأكياس العنكبوتية اختبار الحالة العقلية المصغر (اختبار فلوشتاين) (MMSE) وهو اختبار موجز قائم على الاستبيان يستخدم لتقييم الإدراك.[9]
تصنيف
يمكن العثور على الكيسات العنكبوتية في الدماغ أو على العمود الفقري، عادة ما تحدث الكيسات العنكبوتية داخل الجمجمة بالقرب من الصهريج العنكبوتي.[23] قد تكون الأكياس العنكبوتية الشوكية خارج الجافية أو داخل الجافية أو حول العصب وتميل إلى الظهور بعلامات وأعراض تدل على اعتلال الجذور.
يمكن أيضًا تصنيف الأكياس العنكبوتية على أنها أولية (خلقية) أو ثانوية (مكتسبة) وقد تم الإبلاغ عنها في البشر والقطط والكلاب.[24]
يمكن أن تكون الأكياس العنكبوتية بدون أعراض نسبيًا أو تظهر مع أعراض خبيثة؛ لهذا السبب غالبًا ما يتأخر التشخيص.
علاج
معظم الكيسات العنكبوتية لا تظهر عليها أعراض ولا تتطلب علاجًا، لكن قد يكون العلاج ضروريًا عند ظهور الأعراض.[2] يمكن استخدام مجموعة متنوعة من الإجراءات لفك الضغط (إزالة الضغط من) الكيس.
- التنسيب الجراحي لتحويلة دماغية :[25]
- تحويلة داخلية تصب في الحجرة تحت الجافية.[26]
- تحويلة كيس الصفاق تصب في التجويف البريتوني.[27]
- النوفذة :
- الصرف عن طريق خزعة إبرة أو ثقب الجمجمة.
- استئصال المحفظة[10]
- قد تعالج العلاجات الدوائية أعراضًا محددة مثل النوبات أو الألم.
ماّل المرض
معظم الكيسات العنكبوتية لا تظهر عليها أعراض ولا تتطلب علاجًا، في حالة وجود مضاعفات قد يؤدي ترك الأكياس العنكبوتية دون علاج إلى تلف عصبي شديد دائم بسبب التوسع التدريجي للكيس (الأكياس) أو النزف (النزيف).[2] ومع ذلك مع العلاج فإن معظم الأفراد الذين يعانون من الكيسات العنكبوتية المصحوبة بأعراض يتحسنون.
قد يكون هناك مآلات أخرى:
وبائيات
تظهر الأكياس العنكبوتية في ما يصل إلى 1.1% من السكان[34][35] مع توزيع بين الجنسين بنسبة 1:2 ذكر:أنثى.[36] 20% فقط من هؤلاء تظهر عليهم أعراض استسقاء الرأس الثانوي.
وجدت دراسة أجريت على 2536 شابًا سليمًا انتشارًا بنسبة 1.7% (95% مجال ثقة 1.2 إلى 2.3٪). تتطلب نسبة صغيرة فقط من الحالات غير الطبيعية المكتشفة عناية طبية عاجلة.[37]
انظر أيضًا
مراجع
- "Cerebellopontine angle arachnoid cyst harbouring ectopic neuroglia". Pediatr Neurosurg. 41 (4): 220–3. 2005. doi:10.1159/000086566. PMID 16088260. الوسيط
|CitationClass=تم تجاهله (مساعدة) - "Arachnoid Cysts Information Page". المعهد الوطني للاضطرابات العصبية والسكتة الدماغية. مؤرشف من الأصل في 10 أغسطس 2020. اطلع عليه بتاريخ 7 أبريل 2017. الوسيط
|CitationClass=تم تجاهله (مساعدة) - "Intracranial arachnoid cysts". Rev Neurol (باللغة الإسبانية). 39 (12): 1161–6. 2004. PMID 15625636. الوسيط
|CitationClass=تم تجاهله (مساعدة) - Barker RA, Scolding N, Rowe D, Larner AJ. The A-Z of Neurological Practice: A Guide to Clinical Neurology Cambridge University Press 2005 Jan 10, p61. ((ردمك 0-521-62960-8))
- "Temporal lobe arachnoid cyst-attention deficit disorder syndrome: role of the electroencephalogram in diagnosis". Neurology. 48 (5): 1435–9. مايو 1997. doi:10.1212/wnl.48.5.1435. PMID 9153486. الوسيط
|CitationClass=تم تجاهله (مساعدة) - Valença MM, Valença LP, Menezes TL (سبتمبر 2002). "Computed tomography scan of the head in patients with migraine or tension-type headache". Arq Neuropsiquiatr. 60 (3A): 542–7. doi:10.1590/s0004-282x2002000400005. PMID 12244387. الوسيط
|CitationClass=تم تجاهله (مساعدة)صيانة CS1: أسماء متعددة: قائمة المؤلفون (link) - Cameron AD. "Psychotic phenomena with migraine and an arachnoid cyst", Progress in Neurology and Psychiatry 2002 Mar-Apr 6(2) http://www.escriber.com/Progress/Features.asp? Action=View&Archive=True&ID=67&GroupID=&Page=11 نسخة محفوظة 28 سبتمبر 2007 على موقع واي باك مشين. [وصلة مكسورة]
- "Musical hallucinosis in acquired deafness. Phenomenology and brain substrate". Brain. 123 (10): 2065–76. أكتوبر 2000. doi:10.1093/brain/123.10.2065. PMID 11004124. الوسيط
|CitationClass=تم تجاهله (مساعدة) - Richards G, Lusznat RM. "An arachnoid cyst in a patient with pre-senile dementia", Progress in Neurology and Psychiatry, 2001 May–June;5(3) http://www.escriber.com/Progress/Features.asp? Action=View&Archive=True&ID=29&GroupID=&Page=18 نسخة محفوظة 28 سبتمبر 2007 على موقع واي باك مشين. [وصلة مكسورة]
- Yamakawa H, Ohkuma A, Hattori T, Niikawa S, Kobayashi H (1991). "Primary intracranial arachnoid cyst in the elderly: a survey on 39 cases". Acta Neurochir (Wien). 113 (1–2): 42–7. doi:10.1007/bf01402113. PMID 1799142. الوسيط
|CitationClass=تم تجاهله (مساعدة)صيانة CS1: أسماء متعددة: قائمة المؤلفون (link) - "Supratentorial arachnoid cyst mimicking a Ménière's disease attack". J Laryngol Otol. 117 (9): 728–30. سبتمبر 2003. doi:10.1258/002221503322334602. PMID 14561365. الوسيط
|CitationClass=تم تجاهله (مساعدة) - Cummings JL, Mega MS. Neuropsychiatry and Behavioral Neuroscience, Oxford University Press, USA; 2Rev Ed, 2003 Jan 23;208. ((ردمك 0-19-513858-9))
- Alves da Silva J, Alves A, Talina M, Carreiro S, Guimarães J, Xavier M (2007). "Arachnoid cyst in a patient with psychosis: a case report". Annals of General Psychiatry. 6: 16. doi:10.1186/1744-859x-6-16. PMID 17598903. الوسيط
|CitationClass=تم تجاهله (مساعدة)صيانة CS1: أسماء متعددة: قائمة المؤلفون (link) - Vakis AF, Koutentakis DI, Karabetsos DA, Kalostos GN (2006). "Psychosis-like syndrome associated with intermittent intracranial hypertension caused by a large arachnoid cyst of the left temporal lobe". Br J Neurosurg. 20 (3): 156–9. doi:10.1080/02688690600776986. PMID 16801049. الوسيط
|CitationClass=تم تجاهله (مساعدة)صيانة CS1: أسماء متعددة: قائمة المؤلفون (link) - "A case of atypical psychosis associated with alexithymia and a left fronto-temporal lesion: possible correlations". Can J Psychiatry. 32 (8): 688–92. نوفمبر 1987. doi:10.1177/070674378703200809. PMID 3690485. الوسيط
|CitationClass=تم تجاهله (مساعدة) - "Neurobehavioral and neurodiagnostic aspects of late-onset psychosis". Arch Clin Neuropsychol. 9 (5): 371–82. أكتوبر 1994. doi:10.1093/arclin/9.5.371. PMID 14589653. الوسيط
|CitationClass=تم تجاهله (مساعدة) - Heinrichs, RW. In Search of Madness: Schizophrenia and Neuroscience Oxford University Press, USA (March 29, 2001); p129. ((ردمك 0-19-512219-4))
- "Intracranial cysts in autosomal dominant polycystic kidney disease". J. Neurosurg. 83 (6): 1004–7. ديسمبر 1995. doi:10.3171/jns.1995.83.6.1004. PMID 7490613. الوسيط
|CitationClass=تم تجاهله (مساعدة) - "Haemorrhage into an arachnoid cyst: a serious complication of minor head trauma". Emerg Med J. 19 (4): 365–6. يوليو 2002. doi:10.1136/emj.19.4.365. PMID 12101165. الوسيط
|CitationClass=تم تجاهله (مساعدة) - "Arachnoid cysts". Adv. Exp. Med. Biol. 724: 37–50. 2012. doi:10.1007/978-1-4614-0653-2_3. ISBN 978-1-4614-0652-5. PMID 22411232. الوسيط
|CitationClass=تم تجاهله (مساعدة) - "CT cisternography in intracranial symptomatic arachnoid cysts: classification and treatment". J. Neurol. Sci. 318 (1–2): 125–30. يوليو 2012. doi:10.1016/j.jns.2012.03.008. PMID 22520095. الوسيط
|CitationClass=تم تجاهله (مساعدة) - "Arachnoid cysts do not contain cerebrospinal fluid: A comparative chemical analysis of arachnoid cyst fluid and cerebrospinal fluid in adults". Cerebrospinal Fluid Res. 7: 8. يونيو 2010. doi:10.1186/1743-8454-7-8. PMID 20537169. الوسيط
|CitationClass=تم تجاهله (مساعدة) - Arachnoid cyst. (n.d.). Gale Encyclopedia of Neurological Disorders. Retrieved September 10, 2006, from Answers.com Web site: http://www.answers.com/topic/arachnoid-cyst نسخة محفوظة 2015-03-31 على موقع واي باك مشين.
- Reed SD, Cho DY, Paulsen D (2009). "Quadrigeminal Arachnoid Cysts in a kitten and a dog". J Vet Diagn Invest. 21 (5): 707–710. doi:10.1177/104063870902100519. PMID 19737770. الوسيط
|CitationClass=تم تجاهله (مساعدة)صيانة CS1: أسماء متعددة: قائمة المؤلفون (link) - "Different approaches to surgical treatment of arachnoid cysts". Wien. Klin. Wochenschr. 118 Suppl 2: 85–8. 2006. doi:10.1007/s00508-006-0540-2. PMID 16817052. الوسيط
|CitationClass=تم تجاهله (مساعدة) - "Arachnoid cysts in adults: long-term follow-up of patients treated with internal shunts to the subdural compartment". Surg Neurol. 66 (1): 56–61, discussion 61. يوليو 2006. doi:10.1016/j.surneu.2005.12.032. PMID 16793443. الوسيط
|CitationClass=تم تجاهله (مساعدة) - "A large arachnoid cyst of the lateral ventricle extending from the supracerebellar cistern--case report". Surg Neurol. 65 (6): 611–4. يونيو 2006. doi:10.1016/j.surneu.2005.07.069. PMID 16720186. الوسيط
|CitationClass=تم تجاهله (مساعدة) - "Suprasellar arachnoid cysts: endoscopy versus microsurgical cyst excision and shunting". Br J Neurosurg. 21 (3): 276–80. يونيو 2007. doi:10.1080/02688690701339197. PMID 17612918. الوسيط
|CitationClass=تم تجاهله (مساعدة) - "Endoscopic management of intracranial cysts". Neurosurg Focus. 19 (6): E7. ديسمبر 2005. doi:10.3171/foc.2005.19.6.8. PMID 16398484. الوسيط
|CitationClass=تم تجاهله (مساعدة) - "Navigated laser-assisted endoscopic fenestration of a suprasellar arachnoid cyst in a 2-year-old child with bobble-head doll syndrome. Case report". J. Neurosurg. 104 (5 Suppl): 348–51. مايو 2006. doi:10.3171/ped.2006.104.5.348. PMID 16848093. الوسيط
|CitationClass=تم تجاهله (مساعدة) - "Arachnoid cysts of the left temporal fossa: impaired preoperative cognition and postoperative improvement". J. Neurol. Neurosurg. Psychiatry. 59 (3): 293–8. سبتمبر 1995. doi:10.1136/jnnp.59.3.293. PMID 7673959. الوسيط
|CitationClass=تم تجاهله (مساعدة) - "Intracranial arachnoid cysts--do they impair mental functions?". J. Neurol. 255 (8): 1113–20. أغسطس 2008. doi:10.1007/s00415-008-0011-y. PMID 18677648. الوسيط
|CitationClass=تم تجاهله (مساعدة) - "Psychiatric presentations of intracranial cysts". J Neuropsychiatry Clin Neurosci. 1 (1): 60–6. 1989. doi:10.1176/jnp.1.1.60. PMID 2577719. الوسيط
|CitationClass=تم تجاهله (مساعدة) - Flaherty AW. The Massachusetts General Hospital Handbook of Neurology 2000 Jan 1;105. ((ردمك 0-683-30576-X))
- "Incidental findings on brain MRI in the general population". N. Engl. J. Med. 357 (18): 1821–8. نوفمبر 2007. doi:10.1056/NEJMoa070972. PMID 17978290. الوسيط
|CitationClass=تم تجاهله (مساعدة) - "Arachnoid cysts: case series and review of the literature". Neurosurg Focus. 22 (2): E7. فبراير 2007. doi:10.3171/foc.2007.22.2.7. PMID 17608350. الوسيط
|CitationClass=تم تجاهله (مساعدة) - "Incidental findings in magnetic resonance imaging of the brains of healthy young men". J. Neurol. Sci. 240 (1–2): 81–4. يناير 2006. doi:10.1016/j.jns.2005.09.008. PMID 16256141. الوسيط
|CitationClass=تم تجاهله (مساعدة)
صور وملفات صوتية من كومنز
- بوابة طب
