لطاخة بابانيكولاو
لطاخة بابانيكولاو أو لطاخة عنق الرحم (بالإنجليزية: Pap test)، هو فحص طبي لعنق الرحم لاكتشاف سرطان عنق الرحم بعد أو قبل حدوثه، وعند اكتشاف أي شذوذ في طبيعة الأنسجة يتم إجراء اختبارات أخرى أكثر حساسية. يرجع اختراعه إلى العالمين أوريل بابز وجورجيوس بابانيكولاو؛ الذي سمي باسمه.
| لطاخة بابانيكولاو | |
|---|---|
![]() | |
| معلومات عامة | |
| الاختصاص | علم الأمراض التشريحي |
| من أنواع | اختبار باب ، والتنظير الشعاعي لعنق الرحم |
| التاريخ | |
| سُمي باسم | جورجيوس بابانيكولاو |
تُجرى لطاخة بابانيكولاو عن طريق فتح عنق الرحم باستخدام منظار عنق الرحم، وجمع خلايا من منطقة الاستحالة وفحصها تحت المجهر. يهدف الاختبار إلى اكتشاف خلل التنسج العنقي الناتج عن الإصابة بفيروس الورم الحليمي البشري؛ فيروس الدي أن إيه المنتقل جنسيًّا، وهو اختبار فعال للكشف عن سرطان عنق الرحم وما يسبقه من تغيرات، كما يمكن أن يكشف عن الالتهابات والشذوذات الحادثة في بطانة الرحم وعنق الرحم، لكنه لم يُصمم لهذا الهدف.
في الولايات المتحدة الأمريكية يوصى بإجراء اختبار لطاخة بابانيكولاو من سن 21 حتى 65 عامًا، بينما لا توصي دول أخرى بإجرائه من قبل الإناث غير النشطات جنسيًّا.[1] توصي التوجيهات الطبية بإجراء الاختبار بشكل دوريٍّ كل ثلاث إلى خمس سنوات،[1][2][3] وعند اكتشاف أي شذوذ ينبغي إجراؤه بعد ستة إلى اثني عشر شهرًا،[4] وعند الحاجة إلى فحص أكثر دقة، يُجرى عن طريق منظار المهبل، وقد يتم توجيه المريضة لإجراء اختبار الحمض النووي للفيروس الحليمي البشري، واختبارات الدلالات الحيوية كاختبارات مساعدة لاختبار لطاخة بابا نيكولاو.[5]
الاستخدامات الطبية
تختلف التوجيهات الطبية الخاصة بفحص عنق الرحم من دولة إلى أخرى، وبشكل عام يبدأ في عمر 20 إلى 25 عامًا ويستمر حتى 50-60 عامًا،[6] ويوصى بإجرائه كل ثلاث إلى خمس سنوات طالما كانت النتائج طبيعية.[7][8] ويجب أن تنتظر السيدة بضع سنوات بعد أول علاقة جنسية قبل إجراء اختبار اللطاخة، ولا ينبغي إجراؤه قبل سن 21 عامًا. وتوصي الجمعية الأمريكية لأطباء النساء والتوليد بإجرائه بداية من عمر ال21 عامًا؛ فهو سن أغلب الأمريكيات بعد بضع سنوات من تاريخ أول اتصال جنسي لهن،[2][9] بينما تنتظر دول أخرى حتى سن 25 عامًا كبعض أجزاء بريطانيا العظمى. كما توصي الجمعية الأمريكية لأطباء النساء والتوليد بإجراء فحص سنوي شامل لكل امراة بداية من عام 30 حتى 65 عامًا.
يستغرق الجهاز المناعي عامًا في المتوسط وقد تصل حتى أربعة أعوام للقضاء على العدوى، ويظهر هذا التفاعل المناعي وعمليات الترميم التالية له عند إجراء الفحص خلال هذه الفترة كشذوذات طفيفة لا تعني بالضرورة الإصابة بالسرطان لكنها تستلزم إجراء اختبارات وفحوص أخرى، وقد تتطلب علاجًا. يستغرق سرطان عنق الرحم وقتًا ليتكون؛ وبالتالي فإن تأخير البدء في فحص عنق الرحم لبضع سنوات لا يعني تفويت فرصة كبيرة لاكتشاف الآفات السابقة للتسرطن؛ وعلى سبيل المثال فإن إجراء الفحص لنساء أقل من 25 عامًا لايؤدي إلى انخفاض معدلات الإصابة بسرطان عنق الرحم في النساء أقل من 30 عامًا.[10] وفي بريطانيا العظمى يوصى بإجراء الفحص كل ثلاث سنوات لدى السيدات الأقل من خمسين عامًا، وكل خمس سنوات لدى السيدات الأكبر سنًا.
كما يوصى بالإقلاع عن إجراء الاختبار في سن 65 عامًا إذا كانت نتائج الاختبارات الثلاثة الأخيرة سلبية؛[7][8] إذ لا جدوى من إجرائه عندئذٍ، تبعًا لتوصيات جمعية السرطان الأمريكية والكلية الأمريكية لأطباء النساء والتوليد وفرقة الخدمات الوقائية الأمريكية، أما هيئة الخدمات الصحية الوطنية بالمملكة المتحدة فتوصي بإيقافه عند سن 64. ولا حاجة لإجراء اختبار اللطاخة بعد جراحة استئصال الرحم الكاملة بسبب إصابة بأمراض حميدة، بينما يوصى بإجرائه حتى بعد تلقي لقاح فيروس الورم الحليمي البشري؛ إذا لا يوفر اللقاح مناعة ضد جميع أنواع الفيروس، وقد تكون الإصابة سابقة لتلقي اللقاح.
ويوصى بالإقلاع عن إجراء الفحص لمن لديهن تاريخ إصابة بسرطان بطانة الرحم؛ فالفحوصات لا تعطي مؤشرات لرجوع المرض، لكنها قد تعطي نتائج إيجابية زائفة؛ مما قد يؤدي إلى إجراء فحوصات لا جدوى منها.
الفعالية
يمكن لاختبار لطاخة بابانيكولاو أن يقلل الوفيات الناجمة عن سرطان عنق الرحم بنسبة تصل إلى 80% إذا اقترن ببرنامج منتظم من الفحص والمتابعة الجيدة،[8] لكن هناك عدة أسباب تعوق الوقاية من سرطان عنق الرحم عن طريق اختبار اللطاخة كعدم إجرائه بانتظام، وعدم المتابعة عند اكتشاف نتائج غير طبيعية أو أخطاء أخذ العينات أو تفسيرها.[11]
في الولايات المتحدة الأمريكية أكثر من نصف حالات الإصابة بسرطانات عنق الرحم الغازية تظهر لدى الإناث اللاتي لم يقمن بإجراء اختبار لطاخة بابانيكولاو مطلقًا، و10% إلى 20% أخرى تصيب اللواتي لم يقمن بإجراء الاختبار خلال الخمس سنوات السابقة للإصابة، وربع حالات سرطان عنق الرحم تصيب نساء لم يقمن بالمتابعة الجيدة بعد اكتشاف شذوذات لديهن عند إجراء اختبار اللطاخة.
لكن الدراسات تشير إلى أن اختبار اللطاخة لا يقي من السرطانة الغدية لعنق الرحم؛[11] ففي المملكة المتحدة حيث يوجد برنامج منظم لفحوصات عنق الرحم تمثل السرطانة الغدية 15% من حالات سرطان عنق الرحم.[12] وتتفاوت التقديرات الخاصة بفعالية اختبار لطاخة بابانيكولاو في المملكة المتحدة اختلافًا كبيرًا، لكن الدراسات تشير إلى أن الاختبار يمنع 700 حالة وفاة في العام تقريبًا
يبلغ عدد سكان المملكة المتحدة 61 مليون نسمة، وعدد السيدات اللواتي يجرين فحص اللطاخة 15-20 مليون على أكثر تقدير، مع تجاهل نسبة الإناث تحت سن 20 عامًا والسيدات فوق 65 عامًا؛ وبالتالي فإن اختبار لطاخة بابانيكولاو ينقذ حياة واحدة من كل 20000 سيدة بفرض أن 15 مليون سيدة تجري الاختبار سنويًّا.
النتائج
أغلب النتائج طبيعية عند فحص العامة أو الفئة ذات الاختطار المنخفض.
في الولايات المتحدة الأمريكية تكتشف 2-3 مليون نتيجة غير طبيعية سنويًّا،[13] وبعد استخدام المستحضرات السائلة كوسط للاختبار، ارتفع معدل النتائج الإيجابية؛ فقد ارتفع وسيط معدل الآفات الحرشفية منخفضة الدرجة داخل الطبقة الظهارية داخل الطبقة الظهارية إلى 2.9% مقارنة ب 2.1% عام 2003، أما معدلات الآفات الحرشفية مرتفعة الدرجة داخل الطبقة الظهارية (وسيط 0.5%) والآفات الحرشفية اللانمطية فلم ترتفع كثيرًا.[14]
تُصنف النتائج غير الطبيعية لفحص لطاخة بابانيكولاو حسب نظام بيثيسدا كالتالي:[15]
- خلايا حرشفية شاذة:
- الخلايا الحرشفية الشاذة التي ليست لها دلالة محددة (والمشار إليها اختصارًا باسم ASC-US).
- خلايا حرشفية غير نموذجية لا يمكنها نفي الآفة الحرشفية داخل البشرة مرتفعة الدرجة (المعروفة اختصارًا باسم HSIL) (ويشار إلى تلك الخلايا باسم ASC-H).
- آفة حرشفية منخفضة الدرجة داخل الطبقة الظهارية (المعروفة اختصارًا باسم LGSIL أو LSIL).
- آفة حرشفية مرتفعة الدرجة داخل الطبقة الظهارية (المعروفة اختصارًا باسم HGSIL أو HSIL).
- سرطان الخلية الحرشفية.
- خلايا غدية شاذة:
- خلايا غدية شاذة غير محددة بطريقة أو بأخرى (والمعروفة اختصارًا باسم AGC-NOS).
وقد يكتشف فحص اللطاخة شذوذات الطبقة المبطنة لعنق الرحم والرحم ذاته، بالإضافة إلى الالتهابات الحادثة نتيجة إصابة بالالمبيضة البيضاء أو فيروس الهربس البسيط أوالمشعرات، لكنه غير حساس تجاهها؛ وبالتالي فإنه لا ينفي العدوى.
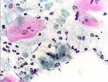
صورة مجهرية لاختبار لطاخة بابانيكولاو يظهر آفة حرشفية منخفضة الدرجة داخل الطبقة الظهارية (صبغة بابانيكولاو).
صورة مجهرية لاختبار اللطاخة يظهر التهابات بالمشعرات في أعلى يمين الصورة.
صورة مجهرية لاختبار لطاخة يظهر التغيرات الحادثة نتيجة الإصابة بفيروس الهربس البسيط.
سرطانة غدية ببطانة عنق الرحم.
اختبار لطاخة بابانيكولاو يظهر إصابة بفطر المبيضة بيضاء.
اعتلال خلوي فيروسي ناتج عن إصابة يفيروس الهربس البسيط.
خلايا حرشفية ظهارية طبيعية لدى امرأة قبل انقطاع الطمث.
خلايا حرشفية ضامرة لدى امرأة بعد انقطاع الطمث.
خلايا طبيعية ببطانة عنق الرحم، لا بد من وجودها في الشريحة للتأكد من جودة العينة.
تسرُّب سيتوبلازم الخلايا الحرشفية الظهارية لعنق الرحم، وظهور خلايا النبيت المهبلي.
إصابة بالمشعرات المهبلية.
خلية غير طبيعية واضحة.
الحمل
يمكن إجراء اختبار اللطاخة حتى 24 عامًا من العمر الحملي،[16] ولا يرفع اختبار بابانيكولاو من معدلات الإجهاض التلقائي،[16] وغالبًا ما يُظهر اختبار بابانيكولاو أثناء الحمل التهابات[17] لكن ذلك لا يعني بالضرورة حدوث ولادة مبكرة.[18]
يفضل انتظار 12 شهرًا بعد الولادة قبل إجراء اختبار بابانيكولاو؛ لأن التهابات عنق الرحم الناتجة عن الولادة قد تعطي نتائج زائفة.[19]
الإجراء

على الرغم من إمكانية إجراء اختبار لطاخة بابا نيكولاو أثناء الحيض لا سيما إذا استُخدم السائل كوسط للاختبار؛ إلا أنه لا يفضل إجراء اختبار اللطاخة أثناء الحيض؛ لأنها أكثر فترة يكون فيها عنق الرحم ملتهبًا خلال الدورة الشهرية، كما أن الخلايا الإضافية قد تحجب خلايا عنق الرحم، وبخاصة إذا كان الحيض غزيرًا.
لا يسبب اختبار اللطاخة ألمًا إلا إذا كانت المرأة تعاني من مشكلة لم يتم علاجها كتشنج المهبل أو ضيق عنق الرحم، أو إذا كان الطبيب قاسيًا بعض الشيء أو يستخدم منظارًا ذا حجم غير مناسب.
لكن من الطبيعي أن يسبب قليلًا من الضيق أو عدم الراحة لعدة أسباب منها امتلاء عنق الرحم بمستقبلات الألم، وضرورة أن تكون الفرشاة التي تجمع الخلايا خشنة أو قاسية بعض الشيء حتى تتمكن من جمع الخلايا وفصلها عن الأنسجة المحيطة، لكنه يتم بسرعة، كما أن هناك بعض الإجراءات التي من شأنها أن تقلل الشعور بالألم؛ كاستخدام منظار صغير الحجم ومخدر موضعي كالليدوكايين، وتدفئة الأدوات المستخدمة والاستعانة بالمزلقات، إلى جانب الممارسة الجيدة.
قد تعاني بعض السيدات من سقوط بعض نقاط الدم أو الإسهال البسيط بعد الاختبار؛ وسبب التنقيط هو كشط أنسجة الرحم، أما الإسهال فيكون بسبب تحفيز الجزء السفلي من الأمعاء أثناء إجراء الاختبار.
يعتقد بعض مقدمي الرعاية الصحية بأن الماء المعقم وحده كافٍ أثناء استخدام منظار عنق الرحم ولا حاجة للمزلقات، وهذا من شأنه أن يُشعر المرأة بعدم الراحة. وقد أثبتت العديد من الدراسات أن استخدام المزلق ذي القاعدة المائية لا يحجب أو يشوه مسحة الاختبار، ولا يتعارض مع النتائج.
يقوم الطبيب بإدخال منظار عنق الرحم إلى المهبل لتوسيعه والتمكن من الوصول إلى عنق الرحم ثم يقوم بأخذ عينة من الفتحة الخارجية لعنق الرحم باستخدام ملوق أيليسبري ثم وضعها على شريحة زجاجية ليتم فحصها في المعمل.
التاريخ
مخترع اختبار لطاخة بابانيكولاو هو الطبيب الأمريكي البارز جورجيوس بابانيكولاو الذي بدأ أبحاثه عام 1923، وسمي الاختبار باسمه، كما حقق أوريل بابز اكتشافات مشابهة في رومانيا عام 1927، لكن طريقته كانت مختلفة عن طريقة بابانيكولاو.
رُشِّح جورجيوس بابانيكولاو لنيل جائزة نوبل عدة مرات، وفي كل مرة تم رفضه؛ إذ فوضت لجنة الجائزة التحقيق في اكتشافات بابانيكولاو لسانتيسون قسم الأمراض في معهد ستوكهولم للسرطان الذي توصل بدوره إلى اكتشافات بابز ولاحظ عدم إشارة بابانيكولاو إليها وأبلغ اللجنة بذلك؛ فرفضت اللجنة منح الجائزة لبابانيكولاو.
مراجع
- Moyer, VA; U.S. Preventive Services Task, Force (Jun 19, 2012). "Screening for cervical cancer: U.S. Preventive Services Task Force recommendation statement". Annals of Internal Medicine. 156 (12): 880–91, W312. doi:10.7326/0003-4819-156-12-201206190-00424. PMID 22711081. الوسيط
|CitationClass=تم تجاهله (مساعدة) - Saslow, D; et al. (2012). "American Cancer Society, American Society for Colposcopy and Cervical Pathology, and American Society for Clinical Pathology Screening Guidelines for the Prevention and Early Detection of Cervical Cancer" (PDF). Journal of Lower Genital Tract Disease. 16 (3). مؤرشف من الأصل (PDF) في 17 مايو 2017. الوسيط
|CitationClass=تم تجاهله (مساعدة) - American Cancer Society. (2010). Detailed Guide: Cervical Cancer. Can cervical cancer be prevented? Retrieved August 8, 2011. نسخة محفوظة 10 ديسمبر 2016 على موقع واي باك مشين.
- The American College of Obstetricians and Gynecologists (2009). "ACOG Education Pamphlet AP085 – The Pap Test". Washington, DC. مؤرشف من الأصل في 15 يونيو 2010. اطلع عليه بتاريخ June 5, 2010. الوسيط
|CitationClass=تم تجاهله (مساعدة) - Shidham, VinodB; Mehrotra, Ravi; Varsegi, George; D′Amore, KristaL; Hunt, Bryan; Narayan, Raj (2011-01-01). "p16 INK4a immunocytochemistry on cell blocks as an adjunct to cervical cytology: Potential reflex testing on specially prepared cell blocks from residual liquid-based cytology specimens". CytoJournal (باللغة الإنجليزية). 8 (1). doi:10.4103/1742-6413.76379. PMC 45765. PMID 21369522. مؤرشف من الأصل في 02 يونيو 2018. اطلع عليه بتاريخ أكتوبر 2020. الوسيط
|CitationClass=تم تجاهله (مساعدة); تحقق من التاريخ في:|تاريخ الوصول=(مساعدة) - Strander B (2009). "At what age should cervical screening stop?". Br Med J. 338: 1022–23. doi:10.1136/bmj.b809. PMID 19395422. الوسيط
|CitationClass=تم تجاهله (مساعدة) - U.S. Preventive Services Task Force (2003). "Screening for Cervical Cancer: Recommendations and Rationale. AHRQ Publication No. 03-515A". Rockville, MD.: Agency for Healthcare Research and Quality. مؤرشف من الأصل في 2 يناير 2016. اطلع عليه بتاريخ June 5, 2010. الوسيط
|CitationClass=تم تجاهله (مساعدة) - Arbyn M, Anttila A, Jordan J, Ronco G, Schenck U, Segnan N, Wiener H, Herbert A, von Karsa L (2010). "European Guidelines for Quality Assurance in Cervical Cancer Screening. Second Edition—Summary Document". Annals of Oncology. 21 (3): 448–458. doi:10.1093/annonc/mdp471. PMC 2826099. PMID 20176693. الوسيط
|CitationClass=تم تجاهله (مساعدة) - "ACOG Committee on Gynecologic Practice; Routine Pelvic Examination and Cervical Cytology Screening, Opinion #413". Obstetrics and Gynecology. 113 (5): 1190–1193. 2009. doi:10.1097/AOG.0b013e3181a6d022. PMID 19384150. الوسيط
|CitationClass=تم تجاهله (مساعدة) - Sasieni, P; Castanon, A; Cuzick, J; Snow, J (2009). "Effectiveness of Cervical Screening with Age: Population based Case-Control Study of Prospectively Recorded Data". BMJ. 339: 2968–2974. doi:10.1136/bmj.b2968. الوسيط
|CitationClass=تم تجاهله (مساعدة) - DeMay, M. (2007). Practical principles of cytopathology. Revised edition. Chicago, IL: American Society for Clinical Pathology Press. ISBN 978-0-89189-549-7. الوسيط
|CitationClass=تم تجاهله (مساعدة) - "Cancer Research UK website". مؤرشف من الأصل في 16 يناير 2009. اطلع عليه بتاريخ 03 يناير 2009. الوسيط
|CitationClass=تم تجاهله (مساعدة) - "Pap Smear". مؤرشف من الأصل في 7 ديسمبر 2018. اطلع عليه بتاريخ 27 ديسمبر 2008. الوسيط
|CitationClass=تم تجاهله (مساعدة) - Eversole GM, Moriarty AT, Schwartz MR, Clayton AC, Souers R, Fatheree LA, Chmara BA, Tench WD, Henry MR, Wilbur DC (2010). "Practices of participants in the college of american pathologists interlaboratory comparison program in cervicovaginal cytology, 2006". Archives of Pathology & Laboratory Medicine. 134 (3): 331–5. doi:10.1043/1543-2165-134.3.331. PMID 20196659. الوسيط
|CitationClass=تم تجاهله (مساعدة) - Nayar, Ritu; Solomon, Diane (2004-01-01). "Second edition of 'The Bethesda System for reporting cervical cytology' - Atlas, website, and Bethesda interobserver reproducibility project". CytoJournal (باللغة الإنجليزية). 1 (1): 4. doi:10.1186/1742-6413-1-4. PMC 526759. PMID 15504231. مؤرشف من الأصل في 02 أكتوبر 2018. اطلع عليه بتاريخ أكتوبر 2020. الوسيط
|CitationClass=تم تجاهله (مساعدة); تحقق من التاريخ في:|تاريخ الوصول=(مساعدة) - PapScreen Victoria > Pregnant women نسخة محفوظة 2014-02-01 على موقع واي باك مشين. from Cancer Council Victoria 2014
- Michael CW (1999). "The Papanicolaou Smear and the Obstetric Patient: A Simple Test with Great Benefits". Diagnostic Cytopathology. 21 (1): 1–3. doi:10.1002/(SICI)1097-0339(199907)21:1<1::AID-DC1>3.0.CO;2-0. PMID 10405797. الوسيط
|CitationClass=تم تجاهله (مساعدة) نسخة محفوظة 17 أغسطس 2017 على موقع واي باك مشين. - Lanouette JM, Puder KS, Berry SM, Bryant DR, Dombrowski MP (1997). "Is inflammation on Papanicolaou smear a risk factor for preterm delivery?". Fetal Diagnosis and Therapy. 12 (4): 244–247. doi:10.1159/000264477. PMID 9354886. الوسيط
|CitationClass=تم تجاهله (مساعدة) - "Pregnant women". papscreen.org. Cancer Council Victoria. مؤرشف من الأصل في 08 يناير 2015. اطلع عليه بتاريخ 16 يناير 2015. الوسيط
|CitationClass=تم تجاهله (مساعدة)
وصلات خارجية
- MedlinePlus: Cervical Cancer Prevention/Screening — from مدلاين بلس
- NHS Cervical Screening Programme — from the UK's هيئة الخدمات الصحية الوطنية (المملكة المتحدة)
- بوابة طب
- بوابة المرأة
- بوابة صحة المرأة
