سرطانة غدية
السرطانة الغدية[2] أو أدينو كارسينوما (بالانجليزية:Adenocarcinoma) هو أحد أنواع الاورام السرطانية التي يمكن أن تحدث في اماكن عديدة في الجسم. يعرف بورم النسيج الطلائي الذي له أصل غدي، أو خصائص غدية، أو كلاهما. السرطانات الغدية تكون جزء من سرطانة أكبر، ولكن أيضا في بعض الاحيان يتم تسميتهم بأسماء أكثر دقة عن طريق حذف الكلمة حيثما وجدت. ولذلك سرطان القنوات الغازي (invasive ductal carcinoma) وهو النوع الأكثر انتشارا من سرطان الثدي، هو أيضا سرطان غدي ولكن لا يتم استعمال هذا الاسم، ولكن مصطلح سرطانة المريء الغدي يستخدم لتفريقه عن باقي سرطانات المريء المشهورة، وسرطانة المريء حرشفية الخلايا. العديد من الأنواع المشهورة من السرطانات تكون سرطانة غدية. العديد من الأشكال الأكثر شيوعا من سرطان هي سرطانات الغدد، وأنواع مختلفة من السرطانة الغدية تختلف اختلافا كبيرا في كل جوانبها، حتى أن عددا قليلا من التعميمات المفيدة يمكن إجرائها عليهم. في الاستخدام الأكثر تحديدا (ادق مغزى) فان السمة والاصل الغدي يكون خارجي الافراز; بينما أورام الغدد الصماء مثل الفيبوما-VIPoma (الورم المفرز لعديدات الببتيد المعوية المنشأ الفعَّّآلة وعائيا)، والورم الجزيري-insulinoma،أو ورم القواتم-pheochromocytoma، عادة لا يشار إليهم كسرطانات غدية إنما يتم تسميتها باورام الغدد الصماء العصبية. يتضمن النسيج الطلائي في بعض الاحيان -وليس على سبيل الحصر- الطبقة السطحية من الجلد، والغدد، ومجموعة من بعض الأنسجة الأخرى التي تبطن الفراغات وأعضاء الجسم. يمكن أن يستمد النسيج الطلائي جنينا من أي طبقة تبرعم (أديم ظاهر، أديم باطن، أديم متوسط). ولكي يتم تصنيف السرطان كسرطانة غدية لا يجب بالضرورة ان تكون الخلايا جزء من الغدة،طالما تمتلك خصائص افرازية. السرطانة الغدية هي النظير الخبيث للورم الغدي وهو النوع الحميد من هذه الاورام. في بعض الاحيان تتحول الاورام الحميدة إلى اورام سرطانية خبيثة ولكن اكثرها لا تتحول. السرطانات الغدية المتمايزة خلويا بشكل جيد تميل إلى مماثلة الأنسجة الغدية المستخلصة منها، بينما الفقيرة في التمايز الخلوي ربما لا تماثل الانسجة المستخلصة منها. بعد صبغ خلايا خزعة، يستطيع اخصائي علم الامراض ان يحدد إذ كان الورم سرطان غدي أو أحد انواع السرطان الأخرى. يمكن أن يحدث السرطان الغدي في العديد من الانسجة في الجسم وهذا يرجع لطبيعة الغدد حيث أنها تنتشر في كل أجزاء الجسم، وبشكل أساسي إلى قوة نفاذية الخلية. في حين ان كل الخلايا قد لا تفرز نفس المادة، وما دام هناك وظيفة الإفراز الخارجي للخلية، فانها يتم اعتبارها غدة والهيئة السرطانية لهذا تسمى سرطانة غدية.
| سرطانة غدية | |
|---|---|
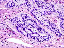
![]() صورة مجهرية لسرطانة غدية تظهر فجوات تحتوي على الميوسين. لطاخة بابانيكولاو صورة مجهرية لسرطانة غدية تظهر فجوات تحتوي على الميوسين. لطاخة بابانيكولاو | |
| معلومات عامة | |
| الاختصاص | علم الأورام، علم الأمراض |
| من أنواع | سرطانة |
| الأسباب | |
| عوامل الخطر | تدخين [1] |
| التاريخ | |
| وصفها المصدر | الموسوعة السوفيتية الكبرى |
باثولوجيا الانسجة

أمثلة حيث تكون السرطانات الغدية نوع شائع:
- سرطان المريء; معظم الحالات تكون سرطانات غدية في الدول المتقدمة.[3]
- البنكرياس; اكتر من 80% من حالات سرطان البنكرياس تكون سرطانات غدية قنوية.[4]
- سرطان البروستاتاتقريبا دائما يكون سرطان غدي.
- معظم حالات سرطان عنق الرحم تكون سرطانة حرشفية الخلايا، ولكن 10 إلى 15 بالمئة من حالات سرطان عنق الرحم تكون بسبب سرطانة غدية.[5]
- سرطان المعدة
الثدي
معظم سرطانات الثدي تبدا في القنوات أو الفصيصات، وتكون سرطانات غدية. يوجد ثلاثة انواع من باثولوجيا الانسجة الأكثر شيوعا ويمثلون ثلاثة ارباع سرطانات الثدي.
القولون

_Endoscopic_resection.jpg.webp)
الغالبية العظمى من سرطانات القولون سرطانات غدية. وذلك لان القولون يحتوى على العديد من الغدد في نسيجه. غدد القولون العادية غالبا تكون بسيطة وانبوبية في المظهر مع خليط من الخلايا الكأسية التي تقوم بافراز المخاط وخلايا ممتصة للماء. تم تسمية هذه الغدد بهذا الاسم لانها تفرز مواد داخل تجويف القولون، هذه المواد تكون المخاط. وغرض هذه الغدد ذو شقين. الشق الأول هو امتصاص الماء من البراز واعادته إلى الدم. والثاني هو افراز المخاط في تجويف القولون لتليين بالبراز الذي تم تجفيفه. هذا أمر بالغ الأهمية لانه إذا فشل في تليين البراز فيمكن أن يؤدي ذلك إلى ضرر القولون من البراز أثناء مروره نحو المستقيم.[7] عندما تخضع هذه الغدد لعددا من التغييرات على المستوى الجيني، فانها تحدث بطريقة يمكن التنبؤ بها لأنها تتحول من حميدة إلى سرطان القولون الغازي الخبيث. في ورقتهم البحثية " دروس من سرطان القولون الوراثي " اوضح فوجليستين واخرون ان خلايا القولون تفقد الجين المثبط للورم(APC) وتصبح ورم صغير(polyp). ومن ثم قاموا باقتراح انه يتم تفعيل(KRAS) ثم يصبح الورم الصغير ورم صغير حميد. هذا الورم يكون نسخة حميدة من السرطان الغدي الخبيث. يفحص اخصائي الجهاز الهضمي القولون بالمنظار لإيجاد وازالة هذه الاورام الصغيرة لمنعهم من اكتساب تغيرات جينية تؤدي إلى تحولهم لسرطانات غدية. يرى فوجيستين واخرون ان فقدان الجين DCC والجين p53 يؤدي إلى سرطان غدي خبيث.[8] تكون هناك كتلة من لون مختلف عن الأنسجة المحيطة بها. النزيف من الورم غالبا ما يكون واضح لان الورم يميل إلى نمو الأوعية الدموية فيه بطريقة عشوائية عن طريق إفراز عدد من العوامل المعززة لبناء الاوعية الدموية مثل VEGF. تشريحيا، تصنف الاورام التي تشابه الاعضاء الاصلية انها جيدة التمايز. بينما خلايا الأورام التي فقدت أي تشابه للانسجة الأصلية، سواء في المظهر أو التكوين، تصنف بانها سيئة التمايز. بغض النظر عن الدرجة، تميل الأورام الخبيثة أن يكون لها نواة كبيرة مع نويات بارزة. ويكون هناك أيضا زيادة ملحوظة في حالات الانقسام الميتوزي، أو انقسامات الخلية.
الرئة

حوالي 80% من سرطانات الرئة هي سرطانات غدية، والتي تنشأ عادة من الانسجة الرئوية الطرفية.[10] معظم حالات السرطان الغدي له علاقة بالتدخين; من ضمن الاشخاص الذين قاموا بتدخين اقل من 100 سيجارة خلال حياتهم ("وغير المدخنين")،[11] فإن السرطانات الغدية هي النوع الأكثر شيوعا في سرطان الرئة.[12] أحد الانواع الفرعية من السرطان الغدي وهو سرطان يحدث داخل الحويصلات الهوائية (bronchioloalveolar carcinoma)، وهو أكثر شيوعا بين النساء الغير مدخنات، وقد يكون له احتمال أفضل للبقاء على قيد الحياة على المدى الطويل.[13] يتم رؤية هذا السرطان في اطراف الرئة، على عكس سرطان الرئة صغير الخلايا وسرطان الرئة حرشفي الخلايا، حيث يميل كلاهما ان يتواجدوا في المنتصف.[14][15]
اخرى
- سرطان الأوعية الصفراوية، أو سرطان قناة الصفراء.
- سرطان المهبل.
- سرطان سرر مثاني.
- سرطان المعدة.
الاشتقاق
مصطلح السرطانة الغدية (adenocarcinoma) تم اشتقاقه من (adeno) تعنى له علاقة بغدة، وكلمة (carcinoma) والتي تصف سرطان خبيث نشأ في الخلايا الطلائية.
مصادر
- https://pubmed.ncbi.nlm.nih.gov/28088657
- From adeno-, "gland" and karkin(o)-, "cancerous" and -oma, "tumor".
- World Cancer Report 2014. World Health Organization. 2014. صفحات Chapter 5.3. ISBN 92-832-0429-8. الوسيط
|CitationClass=تم تجاهله (مساعدة) - Bond-Smith, G; Banga, N; Hammond, TM; Imber, CJ (May 16, 2012). "Pancreatic adenocarcinoma". BMJ (Clinical research ed.). 344: e2476. doi:10.1136/bmj.e2476. PMID 22592847. الوسيط
|CitationClass=تم تجاهله (مساعدة) - World Cancer Report 2014. World Health Organization. 2014. صفحات 473–474. ISBN 92-832-0429-8. الوسيط
|CitationClass=تم تجاهله (مساعدة) - Percentage values are from United States statistics 2004. Subtype specific incidences are taken from Table 6 نسخة محفوظة 23 فبراير 2013 at Archive.is (invasive) and Table 3 نسخة محفوظة 23 فبراير 2013 at Archive.is (in situ) from "The changing incidence of in situ and invasive ductal and lobular breast carcinomas: United States, 1999–2004". Cancer Epidemiol. Biomarkers Prev. 18 (6): 1763–9. June 2009. doi:10.1158/1055-9965.EPI-08-1082. PMID 19454615. الوسيط
|CitationClass=تم تجاهله (مساعدة). These are divided by total breast cancer incidence (211,300 invasive and 55,700 in situ cases) as reported from Breast Cancer Facts & Figures 2003–2004 نسخة محفوظة 15 أبريل 2009 على موقع واي باك مشين. "نسخة مؤرشفة". Archived from the original on 15 أبريل 2009. اطلع عليه بتاريخ 18 سبتمبر 2020. الوسيط|CitationClass=تم تجاهله (مساعدة)صيانة CS1: BOT: original-url status unknown (link) - Wheater's Functional histology: a text and colour atlas (الطبعة 5th). Edinburgh: Churchill Livingstone Elsevier. 2006. صفحة 283. ISBN 0-443-06850-X. مؤرشف من الأصل في 1 أغسطس 2020. الوسيط
|CitationClass=تم تجاهله (مساعدة) - "Lessons from hereditary colorectal cancer". Cell. 87 (2): 159–70. October 1996. doi:10.1016/S0092-8674(00)81333-1. PMID 8861899. مؤرشف من الأصل في 08 ديسمبر 2019. الوسيط
|CitationClass=تم تجاهله (مساعدة) - Smokers defined as current or former smoker of more than 1 year of duration. See image page in Commons for percentages in numbers. Reference:
- Table 2 in: "Comparison of aspects of smoking among the four histological types of lung cancer". Tob Control. 17 (3): 198–204. 2008. doi:10.1136/tc.2007.022582. PMC 3044470. PMID 18390646. مؤرشف من الأصل في 10 سبتمبر 2017. اطلع عليه بتاريخ 14 أغسطس 2020. الوسيط
|CitationClass=تم تجاهله (مساعدة)
- Table 2 in: "Comparison of aspects of smoking among the four histological types of lung cancer". Tob Control. 17 (3): 198–204. 2008. doi:10.1136/tc.2007.022582. PMC 3044470. PMID 18390646. مؤرشف من الأصل في 10 سبتمبر 2017. اطلع عليه بتاريخ 14 أغسطس 2020. الوسيط
- Lu, C; Onn A, Vaporciyan AA; et al. (2010). "78: Cancer of the Lung". Holland-Frei Cancer Medicine (الطبعة 8th). People's Medical Publishing House. ISBN 978-1-60795-014-1. الوسيط
|CitationClass=تم تجاهله (مساعدة) - Horn, L; Pao W; Johnson DH (2012). "Chapter 89". In Longo, DL; Kasper, DL; Jameson, JL; Fauci, AS; Hauser, SL; Loscalzo, J (المحررون). Harrison's Principles of Internal Medicine (الطبعة 18th). McGraw-Hill. ISBN 0-07-174889-X. الوسيط
|CitationClass=تم تجاهله (مساعدة) - Subramanian, J; Govindan R (February 2007). "Lung cancer in never smokers: a review". Journal of Clinical Oncology. American Society of Clinical Oncology. 25 (5): 561–570. doi:10.1200/JCO.2006.06.8015. PMID 17290066. الوسيط
|CitationClass=تم تجاهله (مساعدة) - Raz, DJ; He B; Rosell R; Jablons DM (March 2006). "Bronchioloalveolar carcinoma: a review". Clinical Lung Cancer. 7 (5): 313–322. doi:10.3816/CLC.2006.n.012. PMID 16640802. الوسيط
|CitationClass=تم تجاهله (مساعدة) - Chapter 13, box on morphology of adenocarcinoma in: Mitchell, Richard Sheppard; Kumar, Vinay; Abbas, Abul K.; Fausto, Nelson (1997). Robbins Basic Pathology. Philadelphia: Saunders. ISBN 1-4160-2973-7. الوسيط
|CitationClass=تم تجاهله (مساعدة) 8th edition. - "Lung cancer". Cancer. 75 (1 Suppl): 191–202. January 1995. doi:10.1002/1097-0142(19950101)75:1+<191::AID-CNCR2820751307>3.0.CO;2-Y. PMID 8000996. الوسيط
|CitationClass=تم تجاهله (مساعدة)
وصلات خارجية
- "Adenocarcinoma"—NCI Dictionary of Cancer Terms
- Surgical Videos, Images and Case Studies of Adenocarcinoma of the Sinuses
- بوابة طب
صور وملفات صوتية من كومنز
