لمفومة الجهاز العصبي المركزي الأولية
لمفومة الجهاز العصبي المركزي الأولية (بالإنجليزية: (primary central nervous system lymphoma (PCNSL))، ويطلق عليه أيضًا لمفومة الخلايا البائية الكبيرة المنتشرة الأولية للجهاز العصبي المركزي (بالإنجليزية: Primary diffuse large B-cell lymphoma of the central nervous system) [3]، وهو ورم داخل الجمجمة يظهر في الأغلب لمرضى نقص المناعة الحاد -خاصةً مرضى الإيدز-. وهو نوع فرعي من لمفوما الخلية البائية الكبيرة المنتشرة ومن أشدهم عدوانية.[4] ويمثل 20% من حالات اللمفومات في مرضي فيروس HIV. (والأنواع الأخرى هي لمفومات بيركت واللمفومات المناعية). ترتبط لمفوما الجهاز العصبي المركزي الأولية بشدة بمرضي فيروس إبشتاين-بار (EBV) بنسبة أكبر من 90% في مرضي نقص المناعة (مثل مرضي الإيدز AIDS ومرضي كبت المناعة)[5]، وليس لديها أي ميل لأي فئة عمرية محددة. متوسط عدد خلايا كتلة التمايز 4 وقت التشخيص يساوي تقريبًا 50/uL. عند المرضي الذين يعانون من نقص المناعة عادة ما يكون مآل المرض سيئًا. عند المرضي الذين لا يعانون من نقص المناعة (مثل الإيدز AIDS والأمراض المناعية الأخرى) يوجد رابط ضعيف مع فيروس أينشتاين-بار EBV أو فيروسات ال DNA الأخرى. بالنسبة للذين لا يعانون من نقص المنعة تظهر لمفوما الجهاز المركزي العصبي الأولية عادة عند المرضي الأكبر سنًا في الخمسينات والستينات من عمرهم. الأهم أنه قد أبلِغَ أن الإصابة بلمفوما الجهاز المركزي العصبي الأولية عند الذين لا يعانون من نقص المناعة زادت بمعدل 10 أضعاف من 2.5 حالة الي 30 حالة لكل 10 ملايين نسمة.[6][7] وسبب زيادة معدل الإصابة بهذا الشكل مازال مجهولًا.
| ليمفوما الجهاز العصبي المركزي الأولية | |
|---|---|
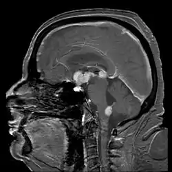
![]() تصوير بالرنين المغناطيسي للدماغ يُظهر لمفوما لاهودجكينية الخلية البائية الجهاز العصبي المركزي الأولية من السرج التركي ومنطقة تحت المهاد، ويستمر حتى السقف (مناطق بيضاء بشكل مكثف في الوسط). تصوير بالرنين المغناطيسي للدماغ يُظهر لمفوما لاهودجكينية الخلية البائية الجهاز العصبي المركزي الأولية من السرج التركي ومنطقة تحت المهاد، ويستمر حتى السقف (مناطق بيضاء بشكل مكثف في الوسط). | |
| تسميات أخرى | ورم دبيقي[1] و ليمفوما الدماغ الأولية[2] |
| معلومات عامة | |
| الاختصاص | علم الدم و علم الأورام |
| من أنواع | لمفوما الجهاز العصبي المركزي |
العلامات والأعراض
تلك اللمفوما عادة ما تسبب نوبات أو صداع أو موجودات في العصب القحفي أو تغيرات في الحالة العقلية أو بعض المشاكل العصبية الأخرى.[8][9] والأعراض النمطية قد تشمل الحمي أو التعرق الليلي أو خسارة الوزن أو بعض الاعراض الأخرى مثل:
التشخيص
يتم التشخيص النهائي عن طريق فحص نسيج الجسد بواسطة متخصص أمراض.
التصوير بالرنين المغناطيسي أو التصوير المقطعي المحوسب يظهر عادة آفات تقوية الحلقة (ring-enhancing lesions) عميقًا في المادة البيضاء. ويُعتبر التشخيص التفريقي الأساسي -المعتمد على التصوير- هو داء المقوسات الدماغي المنتشر أيضًا عند مرضي الاإدز AIDS ويكون مصاحب أيضًا لآفات تقوية الحلقة، ويصاحب داء المقوسات عامة آفات اخري وعادة ما يكون التصوير المقطعي المحوسب أكثر وضوحًا. طرق التصوير الطبية لا تميز بشكل مؤكد بين الحالتين ولا تستطيع استبعاد التشخيصات الأخرى لذا يخضع المرضي لخزعة الدماغ.
التصنيف
معظم لمفومات الجهاز العصبي المركزي الأولية تكون لِّمْفومَة لاهودْجِكينِيَّة لخلايا بائية كبيرة منتشرة.[11][12]
العلاج
عادة ما يكون الاستئصال الجراحي غير فعال بسبب عمق الورم. يُسبِّب العلاج بالتعرض للإشعاع والكورتيكوستيرويد استجابة جزئية فقط وترجع الأورام مجددًا عند أكثر من 90% من المرضي. زمن البقيا المتوسط يتراوح بين 10 ل 18 شهرًا عند الذين لا يعانون من نقص المناعة، وأقل من ذلك عند مرضي الإيدز AIDS. ربما تمد إضافة ميثوتركسيتIV وحمض الفولينيك (يوكوفورين) فترة البقاء الي 3 سنين ونصف، وإذا أضيف الإشعاع الي ميثوتركسيت ربما يمتد زمن البقيا المتوسط إلي أكثر من 4 سنين، ومع ذلك لا ينصح بالإشعاع مع الميثوتركسيت بسبب زيادة خطر الإصابة باعتلال بيضاء الدماغ والخرف عند المرضى فوق سن الـ 60 [13]. في مرضي الإيدز ربما يكون العامل الأهم في العلاج هو استخدام مضادات الفيروسات القهقرية النشطة للغاية (HAART) التي تؤثر على عدد الخلايا الليمفاوية خلايا كتلة التمايز 4 وعلى المناعة[14]. لم تتحدد بعد خطة العلاج الأمثل لعلاج تلك اللمفوما. لكن على الأقل يُضاعف التوفيق بين العلاج الكيميائي والإشعاعي فترة النجاة لكنه يسبب اعتلال المادة البيضاء بالدماغ والخرف لـ 50% على الأقل من المرضي. يُعتبر العلاج الكيميائي الأكثر دراسة هو الميثوتركسيت (مادة كيميائية تماثلية لحمض الفوليك تتدخل في إصلاح الحمض النووي DNA). يكون علاج الميثوتركسيت لمرضي لمفوما الجهاز العصبي المركزي الأولية العلاج في المستشفى من أجل المراقبة عن قرب والسوائل الوريدية، غالبًا ما يعطي يوكوفورين طوال فترة العلاج. تكون أنظمة العلاج الكيميائي التقليدية لعلاج اللمفوما مثل CHOP غير فعالين مع لمفوما الجهاز العصبي المركزي الأولية ربما بسبب ضعف اختراق تلك العلاجات الي الحاجز الدموي الدماغي .[14]
اثبتت العلاجات الحديثة مثل الجرعات العالية من العلاج الكيميائي مع نقل الخلايا الجذعية الذاتية قدرتها علي زيادة زمن البقيا المتوسط لسنوات.[15]
المَآل
عند الأشخاص المؤهلين مناعيًا
تكون الاستجابة الابتدائية للعلاج الإشعاعي عادة ممتازة وقد تؤدي الي هدأة تامة. ومع ذلك فإن فترة الاستجابة للعلاج الإشعاعي لاتزال قصيرة، ويصل زمن البقيا المتوسط بعد العلاج الإشعاعي تقريبًا إلى 18 شهرًا.
يعزز العلاج الكيميائي المعتمد على الميثوتركسيت النجاة بشكل ملحوظ، تُظهر بعض الدراسات أن زمن البقيا المتوسط بعد العلاج الكيميائي يصل الي 48 شهرًا.[14]
عند مرضى الإيدز AIDS
لدى مرضى الإيدز AIDS ولمفوما الجهاز المركزي العصبي الأولية فترة بقيا يصل إلى 4 شهور بالعلاج الإشعاعي. بينما زمن البقيا بدون علاج هي 2.5 شهر في بعض الأحيان بسبب العدوي الانتهازية المتزامنة مع اللمفوما نفسها. بينما يمتد زمن البقيا في مرضي الإيدز AIDS الذين لديهم عدد خلايا كتلة التمايز 4 أكثر من 200 ولا يوجد عدوي انتهازية حيثُ يستطيعون تحمل العلاج الشديد المكون من إما الميثوتركسيت أو فينكريستين أو بروكاربازين أو العلاج الاشعاعي الكلي للدماغ. يصل زمن البقيا المتوسط لهؤلاء المرضى من 10 ال 18 شهرًا. وبالطبع تكون مضادات الفيروسات القهقرية شديدة الأهمية لإطالة زمن البقيا لأي مريض ايدز AIDS، لذلك فإنه قد تلعب مضادات الفيروسات القهقرية النشطة للغاية دورًا في بقاء مرضى الإيدز AIDS ولمفوما الجهاز المركزي العصبي الأولية معًا.[14]
المراجع
- Al-Qamoos القاموس | English Arabic dictionary / قاموس إنجليزي عربي
- "CNS lymphoma, primary information". Diseases Database. مؤرشف من الأصل في 6 أغسطس 2020. اطلع عليه بتاريخ 17 أبريل 2011. الوسيط
|CitationClass=تم تجاهله (مساعدة) - "Aggressive B cell lymphomas in the 2017 revised WHO classification of tumors of hematopoietic and lymphoid tissues". Annals of Diagnostic Pathology. 38: 6–10. February 2019. doi:10.1016/j.anndiagpath.2018.09.014. PMID 30380402. الوسيط
|CitationClass=تم تجاهله (مساعدة) - "Diffuse large B-cell lymphoma variants: an update". Pathology. 52: 53–67. November 2019. doi:10.1016/j.pathol.2019.08.013. PMID 31735345. الوسيط
|CitationClass=تم تجاهله (مساعدة) - "Primary central nervous system lymphoma". Ann. Intern. Med. 119 (11): 1093–104. December 1993. doi:10.7326/0003-4819-119-11-199312010-00007. PMID 8239229. الوسيط
|CitationClass=تم تجاهله (مساعدة) - "Increasing incidence of primary brain lymphoma in the US". Cancer. 62 (11): 2461–5. December 1988. doi:10.1002/1097-0142(19881201)62:11<2461::aid-cncr2820621135>3.0.co;2-m. PMID 3179963. الوسيط
|CitationClass=تم تجاهله (مساعدة) - "Will primary central nervous system lymphoma be the most frequent brain tumor diagnosed in the year 2000?". Cancer. 79 (12): 2409–13. June 1997. doi:10.1002/(sici)1097-0142(19970615)79:12<2409::aid-cncr17>3.3.co;2-2. PMID 9191531. الوسيط
|CitationClass=تم تجاهله (مساعدة) - "Primary intracerebral malignant lymphoma: report of 248 cases". J. Neurosurg. 92 (2): 261–6. February 2000. doi:10.3171/jns.2000.92.2.0261. PMID 10659013. الوسيط
|CitationClass=تم تجاهله (مساعدة) - "Primary central nervous system lymphoma: from clinical presentation to diagnosis" (PDF). J. Neurooncol. 43 (3): 219–26. July 1999. doi:10.1023/A:1006298201101. PMID 10563426. الوسيط
|CitationClass=تم تجاهله (مساعدة) - Primary CNS Lymphoma في موقع إي ميديسين
- "Immunologic characterization of human malignant lymphomas". Cancer. 34 (4 Suppl): 1488–503. October 1974. doi:10.1002/1097-0142(197410)34:8+<1488::aid-cncr2820340822>3.0.co;2-c. PMID 4608683. الوسيط
|CitationClass=تم تجاهله (مساعدة) - "Primary malignant lymphomas of the central nervous system in man". Acta Neuropathol. Suppl 6 (Suppl 6): 95–102. 1975. doi:10.1007/978-3-662-08456-4_16. ISBN 978-3-540-07208-9. PMID 1098380. الوسيط
|CitationClass=تم تجاهله (مساعدة) - "Treatment of primary central nervous system lymphoma". Semin. Oncol. 31 (5): 684–92. October 2004. doi:10.1053/j.seminoncol.2004.07.011. PMID 15497122. الوسيط
|CitationClass=تم تجاهله (مساعدة) - Primary CNS Lymphoma~treatment في موقع إي ميديسين
- Omuro, A; et al. (26 February 2015). "R-MPV followed by high-dose chemotherapy with TBC and autologous stem-cell transplant for newly diagnosed primary CNS lymphoma". Blood. 125 (9): 1403–10. doi:10.1182/blood-2014-10-604561. PMC 4342354. PMID 25568347. الوسيط
|CitationClass=تم تجاهله (مساعدة)
- بوابة طب
صور وملفات صوتية من كومنز
