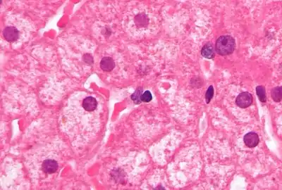
ليبوفيوسين
ليبوفيوسين أو ليبوفوسين هو الاسم الذي يطلق على حبيبات ناعمة يتراوح لونها بين الأصفر والبني،[1] وتتكون هذه الحبيبات من مخلفات الهضم الليزوزومي للدهون وهو يعتبر من خضاب الشيخوخة، يمكن إيجاد صبغات ليبوفيوسين في الكبد، والكلى، والقلب، والعضلات، والشبكية، والغدة الكظرية، والخلايا العصبية، والخلايا العقدية، وتترتب تحديداً حول النواة، وهو نوع من صبغات الدهون.

التكوين والتدوير
يبدو أن ليبوفيوسين هو ناتج أكسدة الأحماض الدهنية الغير مشبعة وربما يكون من أعراض تلف الغشاء، أو تلف الميتوكوندريا والليسوسومات، وبصرف النظر عن محتوى الدهون الكبير فإنه من المعروف أن الليبوفيوسين يحتوي على نسبة كبيرة من السكريات والمعادن بما في ذلك الزئبق، والألومنيوم، والحديد، والنحاس، والزنك.[2]
قد يحدث تراكم مادة تشبه الليبوفيوسين نتيجة لاختلال التوازن بين آليات تكوينه وآليات التخلص منه، ويمكن إحداث هذا التراكم في الفئران بواسطة إعطاءهم مثبطات البروتياز، وبعد فترة -حوالي ثلاثة أشهر- تعود مستويات المادة الشبيهة باليبوفيوسين إلى المستوى الطبيعي مما يدل على عمل آلية التخلص من المادة جيداً.[3] ومع ذلك تعتبر هذه النتيجة مثيرة للجدل لأن الشكوك ما زالت قائمة حول إذا كان التراكم الناتج عن تناول مثبطات البروتياز هو تراكم لليبوفيوسين الحقيقي أم لا،[4][5] كما توجد أدلة على أن الليبوفيوسين الحقيقي لا يتحلل في المختبر.[6][7][8]
علاقته بالأمراض

يعد تراكم الليبوفيوسين عامل خطر رئيسي متورط في الضمور البقعي وضمور العين،[9] ومرض ستارغاردت، ومرض الضمور البقعي الوراثي.
ويرتبط التراكم الغير طبيعي لليبوفيوسين بمجموعة من الأمراض والاضطرابات العصبية مثل مرض باتن وهو مرض يصيب الخلايا العصبية، بالإضافة إلى بعض الأمراض الأخرى.
ويتورط التراكم المرضي لليبوفيوسين أيضاً في الإصابة بمرض آلزهايمر، ومرض باركنسون، والتصلب الضموري الجانبي، وبعض الأمراض الليسوسومية، والعملقة، وضمور الأعصاب، واعتلال الدهن العضلي، ومرض الانسداد الرئوي المزمن،[10] والاعتلال العضلي مركزي النوى، ويتسبب تراكم الليبوفيوسين في القولون إلى حالة تصبغ القولون.
العلاجات المحتملة
ويبدو أن تقييد السعرات الحرارية،[2] وفيتامين هـ،[2] وزيادة الجلوتاثيون تقلل أو توقف إنتاج الليبوفيوسين.
كما يبدو أن تناول منشط الذهن بيراسيتام يقلل تراكم الليبوفيوسين في أنسجة مخ الفئران بدرجة كبيرة.[11]
العلاجات المحتملة الأخرى:
ويمكن علاج الضمور البقعي الرطب باستخدام التحليل الضوئي الانتقائي حيث يتم استخدام ليزر نابض غير مسلط في تسخين وقتل الخلايا الغنية بالصبغة (مثل الليبوفيوسين) وتخلف وراءها الخلايا الصحية دون أن تمس لتتضاعف وتملأ الثغرات، وتستخدم هذه التقنية أيضاً كعلاج للجلد لإزالة الوشوم، وجعل الجلد يبدو أصغر سناً بشكل عام. وقد فتحت هذه القدرة على انتقاء الليبوفيوسين فرصاً بحثية في مجال طب مكافحة الشيخوخة.
كما يمكن لتيتراهيدروبيريدوإيثر إزالة الليبوفيوسين من خلايا الشبكية الصبغية في العين،[15] وهذا يفتح الخيار لعلاج جديد لمرض الضمور البقعي الجاف المرتبط بالسن، ومرض ستارغاردت والذي لا يوجد له علاج حالياً.
إستخدامات أخرى
يستخدم الليبوفيوسين الكمي لتحديد السن في القشريات المختلفة مثل جراد البحر وسرطان البحر (الإستاكوزا)،[16][17] وبما أن هذه الأحياء تفتقر إلى الهيكل العظمي فإنه لا يمكن تحديد عمرها بالطريقة التقليدية مثل الأسماك العظمية والتي يستخدم العلماء عظام الأذن لتحديد عمرها، يعد تحديد العمر في الأسماك والقشريات خطوة أساسية للحصول على المعلومات البيولوجية الأساسية مثل منحنيات النمو، وهناك حاجة للكثير من طرق تقييم المخزون. وقد أشارت العديد من الدراسات أن قياس كمية الليبوفيوسين الموجود بالعين في القشريات المختلفة يمكن أن يكون مؤشراً للسن.
وصلات خارجية
- Terman A, Brunk U (2004). "Lipofuscin". Int J Biochem Cell Biol. 36 (8): 1400–4. doi:10.1016/j.biocel.2003.08.009. PMID 15147719. الوسيط
|CitationClass=تم تجاهله (مساعدة) - Histology at neuro.wustl.edu
- صور نسيجية: 20301loa — نظام تعلم علم الأنسجة في جامعة بوسطن
- Destroying Lipofuscin and Destroying Cancer, FightAging.org
- Unfocused Pulsed Lasers Selectively Destroy Lipofuscin, AcceleratingFuture.com
المراجع
- "lipofuscin" في معجم دورلاند الطبي
- Chris Gaugler, "Lipofuscin", Stanislaus Journal of Biochemical Reviews May 1997 نسخة محفوظة 18 أغسطس 2012 على موقع واي باك مشين.
- Katz, ML; Rice, LM; Gao, CL (1999). "Reversible accumulation of lipofuscin-like inclusions in the retinal pigment epithelium". Investigative Ophthalmology & Visual Science. 40: 175–181. مؤرشف من الأصل في 28 أبريل 2009. الوسيط
|CitationClass=تم تجاهله (مساعدة) - Terman, Alexei; Brunk, Ulf T. (1999). "Is Lipofuscin Eliminated from Cells?". Investigative Ophthalmology and Visual Science. 40: 2463–2464. مؤرشف من الأصل في 18 سبتمبر 2009. الوسيط
|CitationClass=تم تجاهله (مساعدة) - Davies, Sallyanne; Ellis, Steven (1999). "Lipofuscin Turnover". Investigative Ophthalmology and Visual Science. 40: 1887–1888. مؤرشف من الأصل في 16 مايو 2009. الوسيط
|CitationClass=تم تجاهله (مساعدة) - Terman, A, Brunk, UT (1998). "On the degradability and exocytosis of ceroid/lipofuscin in cultured rat cardiac myocytes". Mech Ageing Dev. 100 (2): 145–156. doi:10.1016/S0047-6374(97)00129-2. PMID 9541135. الوسيط
|CitationClass=تم تجاهله (مساعدة)صيانة CS1: أسماء متعددة: قائمة المؤلفون (link) - Terman, A; Brunk, UT (1998). "Ceroid/lipofuscin formation in cultured human fibroblasts: the role of oxidative stress and lysosomal proteolysis". Mech Ageing Dev. 104: 277–291. doi:10.1016/s0047-6374(98)00073-6. PMID 9818731. الوسيط
|CitationClass=تم تجاهله (مساعدة) - Elleder, M; Drahota, Z; Lisá, V; Mares, V; Mandys, V; Müller, J; Palmer, DN (1995). "Tissue culture loading test with storage granules from animal models of neuronal ceroid-lipofuscinosis (Batten disease): testing their lysosomal degradability by normal and Batten cells". Am J Med Genet. 57: 213–221. doi:10.1002/ajmg.1320570220. PMID 7668332. الوسيط
|CitationClass=تم تجاهله (مساعدة) - John Lacey, "Harvard Medical signs agreement with Merck to develop potential therapy for macular degeneration", 23-May-2006 نسخة محفوظة 08 سبتمبر 2017 على موقع واي باك مشين.
- Joakim Allaire, François Maltais, Pierre LeBlanc, Pierre-Michel Simard, François Whittom, Jean-François Doyon, Clermont Simard & Jean Jobin (2002). "Lipofuscin accumulation in the vastus lateralis muscle in patients with chronic obstructive pulmonary disease". Muscle and Nerve. 25 (3): 383–389. doi:10.1002/mus.10039. الوسيط
|CitationClass=تم تجاهله (مساعدة)صيانة CS1: أسماء متعددة: قائمة المؤلفون (link) - Paula-Barbosa, M.; et al. (1991). "The effects of Piracetam on lipofuscin of the rat cerebellar and hippocampa; neurons after long-term alcohol treatment and withdrawal". Alcoholism: Clinical and Experimental Research. 15: 834–838. doi:10.1111/j.1530-0277.1991.tb00610.x. الوسيط
|CitationClass=تم تجاهله (مساعدة) - Roy, D; Pathak, DN; Singh, R (1983). "Effect of centrophenoxine on the antioxidative enzymes in various regions of the aging rat brain". Exp Gerontol. 18 (3): 185–97. doi:10.1016/0531-5565(83)90031-1. PMID 6416880. الوسيط
|CitationClass=تم تجاهله (مساعدة) - Amenta F, Ferrante F, et al., Reduced lipofuscin accumulation in senescent rat brain by long-term acetyl-L-carnitine treatment. Arch Gerontol Geriatr. 1989 Sep-Oct;9(2):147-53. نسخة محفوظة 27 أبريل 2020 على موقع واي باك مشين.
- Huang, SZ; Luo, YJ; Wang, L; Cai, KY (Jan 2005). "Effect of ginkgo biloba extract on livers in aged rats". World J Gastroenterol. 11 (1): 132–5. doi:10.3748/wjg.v11.i1.132. PMID 15609412. الوسيط
|CitationClass=تم تجاهله (مساعدة) - Julien, S; Schraermeyer, U (Oct 2012). "Lipofuscin can be removed from the retinal pigment epithelium of monkeys". Neurobiol Aging. 33 (10): 2390–7. doi:10.1016/j.neurobiolaging.2011.12.009. الوسيط
|CitationClass=تم تجاهله (مساعدة) - Ingebrigt Uglem, Mark Belchier & Terje Svåsand (2005). "Age determination of European lobsters (Homarus gammarus L.) by histological quantification of lipofuscin". Journal of Crustacean Biology. 25 (1): 95–99. doi:10.1651/c-2448. JSTOR 1549930. الوسيط
|CitationClass=تم تجاهله (مساعدة) - Kerry E. Maxwell, Thomas R. Matthews, Matt R. J. Sheehy, Rodney D. Bertelsen & Charles D. Derby (2007). "Neurolipofuscin is a measure of age in Panulirus argus, the Caribbean spiny lobster, in Florida". The Biological Bulletin. 213 (1): 55–66. JSTOR 25066618. مؤرشف من الأصل في 23 سبتمبر 2015. الوسيط
|CitationClass=تم تجاهله (مساعدة)صيانة CS1: أسماء متعددة: قائمة المؤلفون (link)
- بوابة موت
- بوابة علم الأحياء
- بوابة ألوان