متحولة لثوية
المُتَحَوِّلَةُ اللِّثَوِيَّة هي أميبا انتهازية،[2][3][4] وهي أول الأميبيات التي يتم وصفها في البشر. توجد في الفم،[5] داخل الأغشية الحيوية للجيبة اللثوية بالقرب من قاعدة السنة، وأيضاً داخل جيبات دواعم السن.[1] توجد المتحولة اللثوية في 95% من المصابين بأمراض لثوية، ونادراً ما توجد في لثة صحية.[6][7] لا يحدث تكوين كيسات، وبالتالي تنتقل من شخص لآخر مباشرة عن طريق التقبيل، أو عن طريق مشاركة أدوات الطعام. تمتلك المتحولة اللثوية قدم كاذبة تُمَكنها من التحرك بسرعة وتقوم ببلعمة أنوية العدلات متعددة النوى في أمراض دواعم السن.[8] يتراوح قطر نواتها الكروية بين 2 إلى 4 ميكرومتر وتحتوي على جسيم داخلي مركزي صغير. تختوي المتحولة اللثوية على العديد من الفجوات العصارية التي تتكون في الأساس من أنوية العدلات متعددة النوى، خلايا الدم والبكتيريا التي تم بلعمتها.
اضغط هنا للاطلاع على كيفية قراءة التصنيف متحولة لثوية | |
|---|---|
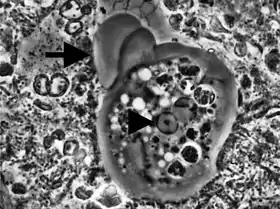
![]() متحولة لثوية من جيبة دواعم السن.[1] | |
| المرتبة التصنيفية | نوع |
| التصنيف العلمي | |
| النطاق: | حقيقيات النوى |
| الشعبة: | أميبيات |
| الشعيبة: | Archamoebae |
| الجنس: | المتحولة |
| النوع: | المتحولة اللثوية |
| الاسم العلمي | |
| Entamoeba gingivalis | |
الوسائط
النشاط الرئيسي للمتحولة اللثوية في شقوق دواعم السن المصابة، بجانب الحركة، يتمثل في التغذية على نواة كرات الدم البيضاء. تخترق الأميبا السيتوبلازم حتى تصل للنواة وتقوم حرفياً بشفط محتويات النواة عن طريق الضغط السلبي للقدم الكاذب. الغذاء الذي تم ابتلاعه للأسفل يتم هضمه تدريحياً في الإندوبلازم.
المراجع
- Bonner, M; Amard, V; Bar-Pinatel, C; Charpentier, F; Chatard, J. M.; Desmuyck, Y; Ihler, S; Rochet, J. P.; Roux de La Tribouille V; Saladin, L; Verdy, M; Gironès, N; Fresno, M; Santi-Rocca, J (2014). "Detection of the amoeba Entamoeba gingivalis in periodontal pockets". Parasite. 21: 30. doi:10.1051/parasite/2014029. PMC 4077299. PMID 24983705. الوسيط
|CitationClass=تم تجاهله (مساعدة) - Jian, B.; Kolansky, A.; Baloach, Z.; Gupta, P. (2008). "Entamoeba gingivalis pulmonary abscess – Diagnosed by fine needle aspiration". CytoJournal. 5: 12. doi:10.4103/1742-6413.43179. PMC 2669679. PMID 19495399. الوسيط
|CitationClass=تم تجاهله (مساعدة) - Lyons, T; Sholten, T; Palmer, J. C. (1980). "Oral amoebiasis: A new approach for the general practitioner in the diagnosis and treatment of periodontal disease". Oral health. 70 (10): 39–41, 108, 110. PMID 6950337. الوسيط
|CitationClass=تم تجاهله (مساعدة) - Lyons T. Introduction to protozoa and fungi in periodontal disease. Trevor Lyons publications, Ontario, Canada 1989. (ردمك 0-9693950-0-0) نسخة محفوظة 27 يونيو 2014 على موقع واي باك مشين.
- Prieto-Prieto, J.; Calvo, A. (2004). "Microbiological basis of oral infections and sensitivity to antibiotics". Medicina oral, patologia oral y cirugia bucal. 9 Suppl: 15–18, 11–18. PMID 15580129. الوسيط
|CitationClass=تم تجاهله (مساعدة) - Kofoid, Charles A.; Hinshaw, H. Corwin; Johnstone, Herbert G. (1929). "Animal Parasites of the Mouth and Their Relation to Dental Disease**From the Protozoological Section of the California Stomatological Research Group and the Department of Zoology of the University of California, under the direction of Prof. Charles A. Kofoid, aided by grants from the Carnegie Corporation, from the American Dental Association and from the Associated Laboratories of San Francisco". The Journal of the American Dental Association (1922). 16 (8): 1436. doi:10.14219/jada.archive.1929.0207. الوسيط
|CitationClass=تم تجاهله (مساعدة) - Trim, R. D.; Skinner, M. A.; Farone, M. B.; Dubois, J. D.; Newsome, A. L. (2011). "Use of PCR to detect Entamoeba gingivalis in diseased gingival pockets and demonstrate its absence in healthy gingival sites". Parasitology Research. 109 (3): 857–64. doi:10.1007/s00436-011-2312-9. PMID 21400116. الوسيط
|CitationClass=تم تجاهله (مساعدة) - Bonner, M. (2013). To Kiss or Not to Kiss. Amyris Editions. ISBN 978-28755-2016-6. الوسيط
|CitationClass=تم تجاهله (مساعدة)
- Roberts L. and Janovy J. Foundations of Parasitology. The McGraw-Hill Companies. New York. 2005: 114-115
وصلات خارجية
- http://m.youtube.com/watch?v=8_8NyTANf6o
- activity of the amoeba Entamoeba gingivalis in the infected periodontal crevices
- http://m.youtube.com/watch?v=2wZOiqZe1Zs
- http://m.youtube.com/watch?v=7F1zZlKor7w
- بوابة طب
- بوابة علم الأحياء
- بوابة علم الأحياء الدقيقة
صور وملفات صوتية من كومنز
أنواع من ويكي أنواع.
