متلازمة سوساك
مُتَلاَزِمَة سُوسَاك (أو الاعتلال الوعائي الشبكي القوقعي الدماغي) هي عبارة عن اعتلال وعائي دقيق يتميز بحدوث اعتلال دماغي وانسداد في الشريات الشبكي وصمم نتيجة لقيام الجهاز المناعي بمهاجمة النسيج السليم وقد يؤدي ذلك إلى اضطرابات عقلية.[1][2][3]
| متلازمة سوساك | |
|---|---|
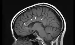
![]() مقطع سهمي بالرنين المغناطيسي النووي لدماغ امرأة عمرها 19 سنة مصابة بمتلازمة سوساك، تظهر فيه ثقوب صغيرة (احتشاءات دقيقة) في وسط الجسم الثفني، وهي علامات وَاصِمَة لمتلازمة سوساك مقطع سهمي بالرنين المغناطيسي النووي لدماغ امرأة عمرها 19 سنة مصابة بمتلازمة سوساك، تظهر فيه ثقوب صغيرة (احتشاءات دقيقة) في وسط الجسم الثفني، وهي علامات وَاصِمَة لمتلازمة سوساك | |
| معلومات عامة | |
| الاختصاص | طب الجهاز العصبي |
| من أنواع | اضطراب مناعي |
تم تسمية متلازمة سوساك نسبة إلى د. جون سوساك والذي قام بوصفها لأول مرة عام 1975. تُعد متلازمة سوساك حالة نادرة جدا ذات سبب غير معروف حتى الآن وقد لاتبدو الأعراض الغريبة الموصوفة هنا على هؤلاء المرضى. يعاني بعض المرضى من تغير في الشخصية غالبا مع القيام بتصرفات شاذة ومجنونة. قد تتأثر القدرة على النطق في هؤلاء المرضى ويعاني العديد منهم من صداع وصداع نصفي شديد لايخف وضعف في النظر. تقوم المشكلة عادة بتصحيح نفسها إلا أن ذلك قد يستغرق فترة تصل إلى 5 سنين. في بعض الحالات قد يصبح المرضى تائهون ويعتقدون أنهم يعيشون مرة أخرى جزءا من ماضيهم الذي يتذكرونه. وطبقا لمايكل هاهن، الخبير الأمريكي في هذا الموضوع فإن وهم العيش في دولة أجنبية يحدث في " نسبة معقولة" من الحالات.
التشخيص
المظهر في الأشعة: في تحليل حديث (سوساك وآل 2003) تم مراجعة صور الرنين المغناطيسي من 15 مريضا يستوفون المعايير التشخيصية لمتلازمة سوساك. كان هناك إصابات عديدة البؤر فوق خيموية توجد في العديد من المرضى. معظم الإصابات كانت صغيرو (3 إلى 7 مم) إلا أن بعضها كان أكبر من 7 مم. كان كل المرضى مصابين بإصابات في الجسم الثفني مع منظر مثقوب للخارج عند متابعة صورة الرنين المغناطيسي. على الرغم أن المادة البيضاء هي أكثر الأجزاء إصابة إلا أن تركيبات المادة الرمادية العميقة قد تصاب أيضا في العديد من المرضى (9 من 15) بالإضافة إلى السحايا الرقيقة (9 من 15) والتصلب اللويحي والالتهاب الدماغي النخاعي المنتشر الحاد وقد تشبه تغيرات الرنين المغناطيسي الموجودة في متلازمة سوساك.
ومع ذلك فإن الإصابات الثفنية في متلازمة سوساك توجد بشكل مركزي. وبالمقارنة، فإن المرضى المصابين بالتصلب اللويحي والالتهاب الدماغي النخاعي المنتشر الحاد يملكون إصابات في السطح السفلي من الجسم الثفني. تحدث إصابة المادة الرمادية العميقة بشكل شائع في الالتهاب الدماغي النخاعي المنتشر الحاد إلا أنها نادرة جدا في التصلب اللويحي. لاتحدث إصابات للسحايا الرقيقة بشكل قياسي في التصلب اللويحي أو الالتهاب الدماغي النخاعي المنتشر الحاد.
لم يتم تشخيص متلازمة سوساك لأعوام عديدة في العديد من الحالات لان العديد من الاختبارات الاعتيادية تكون طبيعية جدا.
العلاج
لم يتم إثبات أي من العلاجات علميا فكل تلك العلاجات تحزرية. بعض العلاجات لها آثار جانبية لا يحتاج المريض أن تضيف إلى معاناته. تتحسن العديد من حالات متلازمة سوساك بدون علاج.
هناك القليل من حالات اعتلال الشبكية المصاحب لمتلازمة سوساك يستجيب للعلاج بالأكسجين عالي الضغط مع تحسن ملحوظ في حدة البصر. هناك بلاغ آخر عن ارتداد المتلازمة لتحدث بعد 18 عاما. تتضمن أنظمة العلاجات المقترحة تجريبيا كل من الجلوبيولينات المناعية في الوريد والستيرويدات عالية الجرعة في الوريد. من المتفق عليه بصفة عامة ]من الذي اتفق على ذلك؟[ أن بعض أساليب تثبيط المناعة ضرورية على الأقل عند الحدوث الأولي للمتلازمة. أكد بحث حديث من المركز الطبي لجامعة فاندربيلت أن "التثبيط المناعي هو عماد علاج متلازمة سوساك"
قام دكتور ويليام هويت، دكتوراه في الأعصاب البصرية في UCSF بإعطاء المتلازمة هذا الاسم مقارنا إياها " بعاصفة تحدث"
نشوء المرض
في عدد مارس 1979من مجلة [[epo[[t in Neu[[ology وضع الأطباء سوساك وهاردمان وسيلهورست تقريرا عن مريضين مصابين بثلاثية تتضمن اعتلال الدماغ والصمم واعتلال الأوعية الشبكية الدقيقة. تم أخذ خزعة مخية من أول مريض أوضحت وجود تصلب في الطبقة المتوسطة والخارجية من الأوعية السحوية وأوعية القشرة المخية الصغيرة بما يوحي بحدوث التهاب وعائي ملتئم. تم عمل تصوير وعائي شبكي بالفلوريسين لكلا المريضين حيث ظهرت انسدادات عديدة البؤر في الشريان الشبكي دون دليل على حدوث مرض انسدادي. على الرغم من أن النشوء المرضي المحدد لهذا الاضطراب غير معروف إلا أن نتائج اعتلال الأوعية الشبكية الصغيرة وخزعات المخ توحي بحدوث التهاب في الأوعية الصغيرة مما إدى إلى حدوث انسداد في الشرايين الشعرية واحتشاء دقيق في الأنسجة المخية والشبكية والقوقعية. إزالة الميالين ليست إحدى خصائص متلازمة سوساك القياسية. الخزعات العضلية في هؤلاء المرضى طبيعية عادة لكن بعضها يحتوي على علامات غير محددة من الالتهاب مثل وجود مادة هيالينية كثيفة تحيط بالشعيرات الدموية الداخل عضلية. يوحي ذلك باحتمالية وجود مركب نظامي من المرض على الرغم من سيادة خصائص الجهاز العصبي المركزي.
تتضمن الأسباب المحتملة كلا من التهاب الأوعية نتيجة للمناعة الذاتية وحالة فرط التخثر والعدوى الفيروسية. تتضمن اثباتات وجود العدوى الفيروسية مرض ذو اعراض بادرية في بعض المرضى. يقترح نشوء الأعراض أثناء الحمل واستخدام أقراص منع الحمل حدوث مساهمة محتملة للتشوهات التخثرية في مثل هؤلاء المرضى. إلا أن التعرف النادر نسبيا لهذه المتلازمة قام بإمداد حالات قليلة للدراسة النظامية للعوامل المسببة المحتملة.
مراجع
- Susac J, Hardman J, Selhorst J (1979). "Microangiopathy of the brain and retina". Neurology. 29 (3): 313. doi:10.1212/wnl.29.3.313. الوسيط
|CitationClass=تم تجاهله (مساعدة) - "Susac Syndrome". كليفلاند كلينك. مؤرشف من الأصل في 09 أغسطس 2014. اطلع عليه بتاريخ 01 مارس 2016. الوسيط
|CitationClass=تم تجاهله (مساعدة); تحقق من التاريخ في:|تاريخ أرشيف=(مساعدة) - "Für Ärzte und Patienten zu allen Fragen rund um das Susac-Syndrom". EUSAC, European Susac Consortium (باللغة الألمانية). مؤرشف من الأصل في 14 مارس 2018. اطلع عليه بتاريخ 01 مارس 2016. الوسيط
|CitationClass=تم تجاهله (مساعدة)
وصلات خارجية
قالب:Diseases of the nervous system
- بوابة طب
