ورم أرومي دبقي متعدد الأشكال
الورم الأرومي الدبقي متعدد الأشكال (بالإنجليزية: Glioblastoma multiforme) ويسمى أيضاً ورم أرومة الدبق، هو ورم خبيث، سيء الإنذار، صعب العلاج، يصيب كل الأعمار، غالباً فوق سن ٥٠ سنة من العمر، يحدث على طول المحور العصبي، غالباً في المخ، وينشأ نتيجة تراكم طفرات جينية متعددة في الخلية النجمية في نسيج المخ.
| ورم أرومي دبقي متعدد الأشكال | |
|---|---|
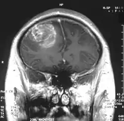
![]() Coronal تصوير بالرنين المغناطيسي with contrast of a glioblastoma WHO grade IV in a 15-year-old boy Coronal تصوير بالرنين المغناطيسي with contrast of a glioblastoma WHO grade IV in a 15-year-old boy | |
| معلومات عامة | |
| الاختصاص | جراحة الأعصاب |
| من أنواع | ورم نجمي |
| الإدارة | |
| أدوية | |
يعتبر ورم أرومة الدبق من أكثر أورام الدماغ شيوعاً وعدوانيةً مقارنةً بباقي الأورام التي تصيب الإنسان [1]. يمثل ورم أرومة الدبق حوالي 52٪ من جميع الأورام التي تصيب نسيج المخ و 20٪ من جميع الأورام داخل الجمجمة. على الرغم من ذلك يعتبر عموماً نادر الحدوث بمعدل 2-3 حالات لكل 100000 شخص في أوروبا وأمريكا الشمالية.
علاج هذا الورم يشمل العلاج الكيميائي و الإشعاعي و الجراحي. يبلغ متوسط العيش بعد تشخيص الورم هو 15 شهراً في مقابل 4 أشهر و نصف في حال عدم العلاج. على الرغم من عدم وجود تجارب و دراسات محكمة في الخيارات العلاجية لا يزال الخيار الجراحي هو الخيار الأفضل لمثل هذا الورم.[2]
الأنواع
الورم الدبقي هو نوع من الأورام يحدث في الدماغ والحبل الشوكي. تبدأ الأورام الدبقية في الخلايا الداعمة الدبقية (الخلايا الدبقية) التي تحيط بالخلايا العصبية وتساعدها على العمل.[3]
يوجد ثلاثة أنواع من الخلايا الدبقية يمكن أن تنتج الأورام. وتصنف الأورام الدبقية وفقًا لنوع الخلايا الدبقية الموجودة في الورم.
أنواع الورم الدبقي تشمل:
- الأورام النجمية، بما في ذلك الورم النجمي، والورم النجمي الكشمي والورم الأرومي الدبقي
- الأورام البطانية العصبية، بما في ذلك الورم البطاني العصبي الكشمي، والورم البطاني العصبي المخاطي الحليمي وورم البطانة العصبية وتحتها
- أورام الدبقيات قليلة التغصُّن، بما في ذلك الورم الدبقي قليل التغصُّن، والورم الدبقي قليل التغصُّن الكشمي والورم الدبقي قليل التغصُّن النجمي الكشمي
يمكن للأورام الدبقية أن تؤثر على وظيفة الدماغ وتصبح مهددة للحياة اعتمادًا على موقعها ومعدل نموها.
الأعراض والعلامات
تختلف أعراض الورم الدبقي على حسب نوع الورم وكذلك حجمه وموقعه ومعدل نموه.
وتتضمن العلامات والأعراض الشائعة للورم الدبقي ما يلي:
- الصداع
- الغثيان أو القيء
- اختلال أو انخفاض في وظيفة المخ
- فقدان الذاكرة
- تغيُّرات في الشخصية أو سرعة الغضب
- صعوبة في الاتزان
- سلس البول
- مشاكل بالرؤية، مثل عدم وضوح الرؤية أو الرؤية المزدوجة أو فقدان الرؤية المحيطة
- صعوبات في الكلام
- نوبات، وخاصة لدى الأشخاص الذين ليس لديهم تاريخ من الإصابة بنوبات.
عوامل الخطر
تشمل عوامل الخطر:
- العمر: ازدياد خطر الإصابة بورم في المخ مع تقدم العمر. الأورام الدبقية هي الأكثر شيوعًا في البالغين الذين تتراوح أعمارهم بين 60 و80 سنة. ومع ذلك، يمكن أن يحدث ورم الدماغ في أي عمر. وهناك أنواع معينة من الأورام الدبقية، مثل الأورام البطانية العصبية والأورام النجمية شعريّة الخلايا، هي الأكثر شيوعًا لدى الأطفال والشباب.
- التعرض للإشعاع. الأشخاص الذين تعرضوا لنوع من الإشعاع يسمى الإشعاع المؤين أكثر عرضة للإصابة بورم في المخ. وتشمل أمثلة الإشعاع المؤين، العلاج الإشعاعي المستخدم لعلاج السرطان والتعرض للإشعاع الناجم عن القنابل الذرية.
- لم تظهر أشكال أكثر شيوعًا للإشعاع، مثل المجالات الكهرومغناطيسية من خطوط الكهرباء وإشعاع ترددات موجات الراديو من الهواتف المحمولة وأفران الميكروويف، زيادة في خطر الإصابة بالورم الدبقي.
- وجود تاريخ عائلي للإصابة بالورم الدبقي. من النادر أن يظهر الورم في الأسر. ولكن وجود تاريخ عائلي من الورم الدبقي يمكن أن يضاعف من خطر الإصابة به. بعض الجينات ترتبط ارتباطًا ضعيفًا بالورم الدبقي، ولكن هناك حاجة إلى مزيد من الدراسة لتأكيد الصلة بين هذه الاختلافات الجينية وأورام الدماغ.
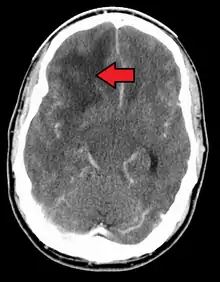
التشخيص


.jpg.webp)
إذا اشتبه طبيب الرعاية الأولية في إصابة الحالة بورم في المخ، فقد يتم تحويله إلى أخصائي متخصص في علاج اضطرابات المخ والجهاز العصبي (الأعصاب). قد يوصي الطبيب بعدد من الاختبارات والإجراءات، وتشمل:
- الفحص العصبي: خلال الفحص العصبي، قد يتحقق طبيبك من رؤيتك وسمعك وتوازنك وقدرتك التنسيقية وقوتك وردود أفعال جسمك. وجود مشكلات في واحدة أو أكثر من هذه المناطق قد يوفر دلائل حول الجزء من الدماغ الذي يمكن أن يكون قد تأثر بورم في الدماغ.
- اختبارات التصوير: وغالبًا ما يستخدم التصوير بالرنين المغناطيسي للمساعدة في تشخيص أورام الدماغ. في بعض الحالات، قد يتم حقن صبغة (مواد تباين) خلال وريد في ذراع المريض أثناء دراسة التصوير بالرنين المغناطيسي للمساعدة في إظهار الاختلافات في أنسجة الدماغ.
قد يساعد عدد من مكونات التصوير بالرنين المغناطيسي المتخصصة — بما في ذلك التصوير بالرنين المغناطيسي الوظيفي، وتصوير التروية بالرنين المغناطيسي وتنظير الطيف بالرنين المغناطيسي — في تقييم الطبيب للورم وخطة العلاج.
ويمكن أن تشمل الاختبارات، التصوير المقطعي المحوسب والتصوير المقطعي بالإصدار البوزيتروني.
- اختبارات للكشف عن وجود السرطان في أجزاء أخرى من الجسم: لاستبعاد أنواع أخرى من أورام المخ قد تكون انتشرت من أجزاء أخرى من الجسم، قد يوصي الطبيب بفحوص وإجراءات لتحديد المكان الذي نشأ فيه السرطان. تنشأ الأورام الدبقية داخل الدماغ وليست نتيجة السرطان الذي انتشر (انتقل) من مكان آخر.
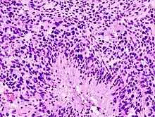
- جمع واختبار عينة من الأنسجة غير الطبيعية (خزعة): اعتمادًا على موقع الورم الدبقي، قد يتم إجراء خزعة باستخدام إبرة قبل العلاج أو كجزء من عملية لإزالة ورم الدماغ.
قد يتم إجراء خزعة باستخدام إبرة بالتوضيع التجسيمي للأورام الدبقية في المناطق التي يصعب الوصول إليها أو المناطق الحساسة جدًا داخل الدماغ التي قد تتضرر من أي عملية أكثر توسعًا. خلال خزعة إبرة التوضيع التجسيمي، يحفر جراح الأعصاب ثقبًا صغيرًا في الجمجمة. ثم يتم إدخال إبرة رفيعة من خلال ثقب. تتم إزالة الأنسجة من خلال الإبرة، والتي كثيرًا ما يتم توجيهها باستخدام التصوير المقطعي المحوسب أو المسح الضوئي بالتصوير بالرنين المغناطيسي. ثم يتم تحليل عينة الخزعة تحت المجهر لتحديد ما إذا كانت سرطانية أو حميدة.
تعد الخزعة هي الطريقة الوحيدة لتشخيص ورم الدماغ بشكل نهائي وإمدادك بتشخيص لتوجيه قرارات العلاج. واستنادًا إلى هذه المعلومات، يمكن لطبيب الأمراض تحديد درجة الورم في الدماغ أو مرحلته.
وتنقسم الأورام إلى أربع درجات حيث تكون أورام الدرجة الأولى الأبطأ نموًا وأكثرها خلايا حميدة وتحتوي أورام الدرجة الرابعة على أكثر الخلايا السرطانية شذوذًا وعنفًا.
العلاج
يعتمد علاج الورم الدبقي على نوع الورم وحجمه وشدته ومكانه، فضلاً عن العمر والحالة الصحية بشكل عام وتفضيلات المريض.
علاج الأعراض
وبالإضافة إلى الإجراءات اللازمة لإزالة الورم نفسه، قد يتطلب علاج الورم الدبقي أيضًا استخدام العقاقير للحد من علامات الورم وأعراضه. قد يصف الطبيب الستيرويد للحد من التورم وتخفيف الضغط على المناطق المتضررة من الدماغ. يمكن استخدام العقاقير المضادة للصرع للسيطرة على النوبات الصرعية.
الجراحة
عادة ما يكون إجراء الجراحة لإزالة أكبر قدر ممكن من الورم هو الخطوة الأولى في علاج معظم أنواع الأورام الدبقية.
في بعض الحالات، تكون الأورام الدبقية صغيرة وسهلة الفصل من الأنسجة الصحية المحيطة في الدماغ ، مما يجعل الإزالة الجراحية الكاملة ممكنة. في حالات أخرى، لا يمكن فصل الأورام عن الأنسجة المحيطة بها، أو تكون واقعة بالقرب من المناطق الحساسة في الدماغ وتجعل العملية الجراحية محفوفة بالمخاطر. في هذه الحالات، يزيل الطبيب قدرًا كبيرًا من الورم طالما الأمر آمن.
مجرد إزالة جزء من الورم قد يساعد في تقليل علاماتك وأعراضك.
وفي بعض الحالات، قد يقوم أخصائيو علم الأمراض العصبية بتحليل عينات الأنسجة التي يزيلها الجراح ويبلغون بالنتائج أثناء العملية الجراحية. هذه المعلومات تساعد الجراح في تحديد حجم الأنسجة التي يجب إزالتها.
ويمكن استخدام مجموعة متنوعة من التقنيات والأساليب الجراحية لمساعدة جراح الأعصاب في حماية أكبر قدر ممكن من أنسجة المخ السليمة أثناء إزالة الورم، بما في ذلك جراحة الدماغ بمساعدة الحاسوب، وجراحة الدماغ مع اليقظة والتصوير بالرنين المغناطيسي أثناء العملية. على سبيل المثال، أثناء جراحة الدماغ مع اليقظة، قد يطلب منك تحريك طرف أو إخبار قصة أثناء الجراحة للتأكد من عدم تلف مناطق الدماغ المسيطرة على تلك الوظائف.
وتنطوي جراحة إزالة الأورام الدبقية على بعض المخاطر، مثل العدوى والنزف. وتتوقف المخاطر الأخرى علي المنطقة التي يقع فيها الورم في الدماغ. فعلى سبيل المثال، تنطوي جراحات الأورام القريبة من الأعصاب المتصلة بالعينين على خطر فقدان الرؤية.
العلاج الإشعاعي
عادةً ما يتبع العلاج الإشعاعي الجراحة في علاج الأورام الدبقية، وخصوصًا الأورام الدبقية ذات الدرجة العالية. ويستخدم العلاج الإشعاعي حزمة من الأشعة عالية الطاقة، مثل الأشعة السينية أو البروتونات، لقتل الخلايا السرطانية.
يصدر العلاج الإشعاعي للورم الدبقي من جهاز خارج الجسم (حزمة الإشعاع الخارجي).
وهناك عدة أنواع من حزم الإشعاع الخارجية المستخدمة حاليًا وقيد الدراسة لعلاج للورم الدبقي. ويؤخذ في الاعتبار نوع الورم الدبقي ودرجته وعوامل تشخيصية أخرى لتحديد توقيت ونوع العلاج بالإشعاعي.
وتشمل خيارات العلاج الإشعاعي استخدام أجهزة الكمبيوتر لاستهداف ورم الدماغ (العلاج الإشعاعي منظم الشدة) واستخدام البروتونات بدلاً من الأشعة السينية كمصدر للإشعاع (العلاج الإشعاعي بالبروتونات) والعلاج الإشعاعي التجسيمي (الجراحة الإشعاعية).
العلاج الكيميائي
يستخدم العلاج الكيميائي الأدوية لقتل خلايا الورم. يمكن تناول أدوية العلاج الكيميائي في صورة أقراص (فمويًا) أو بالحقن في الوريد (وريديًا).
عادةً ما يُستخدم العلاج الكيميائي بالتزامن مع العلاج الإشعاعي لعلاج الأورام الدبقية.
إن دواء العلاج الكيميائي المستخدم في معظم الأحيان في علاج الأورام الدبقية هو تيموزولوميد (تيمودار)، حيث يؤخذ في صورة قرص.
تعتمد الآثار الجانبية للعلاج الكيميائي على نوع وجرعة الإشعاع التي تتلقاها. وتشمل الآثار الجانبية الشائعة الغثيان والقيء والصداع وفقدان الشعر والحمى والضعف. يمكن إدارة بعض الآثار الجانبية بالأدوية.
العلاج الدوائي الموجه
تركز العلاجات الموجهة على تشوهات محددة موجودة داخل الخلايا السرطانية. ومن خلال حجب هذه التشوهات، يمكن للعلاجات الدوائية الموجهة أن تسبب موت الخلايا السرطانية.
يعد بيفاسيزوماب (أفاستين) أحد العلاجات الدوائية الموجهة المستخدمة لعلاج نوع من سرطان دماغ يُطلق عليه الورم الدبقي. يُعطى هذا الدواء من خلال وريد (الحقن الوريدي)، ويُوقف تكوين الأوعية الدموية الجديدة، ويمنع تدفق الدم إلى الورم ويقتل الخلايا السرطانية.
إعادة التأهيل
نظرًا إلى أن أورام الدماغ يمكن أن تنمو في أجزاء الدماغ المسؤولة عن المهارات الحركية والتخاطب والرؤية والتفكير، فقد تمثل إعادة التأهيل جزءًا ضروريًا في مرحلة التعافي. يمكن للطبيب أن يُحيلك إلى الخدمات التي يمكن أن تساعدك، مثل:
- العلاج الطبيعي يمكن أن يساعدك في استعادة قوة العضلات أو مهارات الحركة المفقودة
- العلاج المهني يمكن أن يساعدك في العودة لممارسة الأنشطة اليومية العادية، بما في ذلك أنشطة العمل، بعد إزالة ورم الدماغ أو علاج مرض آخر
- علاج التخاطب بالتعاون مع أخصائيين في مجال صعوبات التخاطب (أخصائيي علم أمراض التخاطب)، يمكن أن يساعدك إذا كنت تعاني صعوبة في الكلام
- التدريس لأطفال في سن المدرسة يمكن أن يساعد الأطفال على التكيف مع التغييرات التي تطرأ على الذاكرة والتفكير لديهم بعد علاج أورام الدماغ
الطب البديل
تم عمل أبحاث صغيرة عن علاجات أورام الدماغ المكملة أو البديلة. لم يتم إثبات وجود أي علاجات بديلة لعلاج الأورام الدبقية. ومع ذلك، يمكن أن تساعدك العلاجات المكملة في التعايش مع ورم الدماغ المصاب به وعلاجه. تحدث إلى طبيبك بشأن خياراتك.
وتشمل بعض العلاجات المكملة التي يمكنها مساعدتك في التعايش ما يلي:
- العلاج بالوخز بالإبر
- التنويم المغناطيسي
- التأمل
- العلاج عن طريق الموسيقى
- تمارين الاسترخاء.
مسار المرض
| Recursive partitioning analysis (RPA) class | التعريف | متوسط البقاء التاريخي | البقاء التاريخ لسنة واحدة | البقاء التاريخ لثلاث سنوات | البقاء التاريخي لخمس سنوات |
|---|---|---|---|---|---|
| III | العمر < 50، KPS ≥ 90 | 17.1 شهر | 70% | 20% | 14% |
| IV | العمر< 50، KPS < 90 | 11.2 شهر | 46% | 7% | 4% |
| العمر ≥ 50، KPS ≥ 70، إزالة جراحية للورم مع وظائف عصبية جيدة | |||||
| V + VI | العمر≥ 50، KPS ≥ 70، إزالة جراحية للورم مع وظائف عصبية ضعيفة | 7.5 شهر | 28% | 1% | 0% |
| العمر ≥ 50، KPS ≥ 70، لا يمكن إزالة الورم جراحياً | |||||
| العمر ≥ 50، KPS < 70 |
الانتشار
يصايب بالمرض 3 من بين 100.00 شخص سنوياً عادة ما يبدأ المرض في الظهور لدى الأشخاص في عمر 65 سنة ويشيع بين الذكور عن الإناث. ويعتبر ثاني سرطانات الجهاز العصبي المركزي شيوعاً بعد الورم السحائي.
مراجع
- Bleeker, Fonnet E.; Molenaar, Remco J.; Leenstra, Sieger (2012). "Recent advances in the molecular understanding of glioblastoma". Journal of Neuro-Oncology. 108 (1): 11–27. doi:10.1007/s11060-011-0793-0. PMC 3337398. PMID 22270850. الوسيط
|CitationClass=تم تجاهله (مساعدة) - Gallego, O (August 2015). "Nonsurgical treatment of recurrent glioblastoma". Current Oncology (Toronto, Ont.). 22 (4): e273–81. doi:10.3747/co.22.2436. PMC 4530825. PMID 26300678. الوسيط
|CitationClass=تم تجاهله (مساعدة) - الورم الدبقي، مايو كلينيك نسخة محفوظة 22 ديسمبر 2018 على موقع واي باك مشين.
روابط خارجية
- Information about Glioblastoma Multiforme (GBM) from the American Brain Tumor Association
- AFIP Course Syllabus - Astrocytoma WHO Grading Lecture Handout
- Image Database – MR & CT of Glioblastoma
- بوابة طب
