ورم الكيس اللمفاوي
ورم الكيس اللمفاوي (ELST) هو ورم ظهاري حليمي غير شائع ينشأ داخل الكيس اللمفاوي أو القناة اللمفاوية. يظهر هذا الورم علاقة عالية جدًا مع متلازمة فون هيبل لينداو (VHL). [1]

التصنيف
يشار إلى ورم الكيس اللمفاوي باسم الورم الحميد الغدي من كيس باطني، ورم هيفنر، [1] ورم غدي حليمي، ورم غدي حليمي عدواني، ورم غدي حليمي غازي اجتياحي، ورم حليمي للعظم الصدغي. ومع ذلك، لا يتم تشجيع هذه الأسماء لأنها لا تصنف بدقة الفهم الحالي للورم. [2][3]
العلامات والأعراض
قد يصاب مرضى ورم الكيس اللمفاوي بتقدم متقلب أو متبدل، وهو ضعف السمع الحسي العصبي من جانب واحد والذي قد يحاكي مرض مينير بسبب تطور هيدروفلماتيك داخلي المنشأ للورم. قد يعاني المرضى أيضًا من طنين الأذن والدوار وفقدان وظيفة الدهليزي ( ترنح ). بدلاً من ذلك، قد يكون ظهور الأعراض مفاجئًا، وذلك بسبب النزف داخل البطني. قد يصاب المرضى أيضًا بأعراض أخرى متعلقة بمتلازمة فون هبل لينداو في مواقع تشريحية أخرى، مما يؤدي إلى تقييم للرأس بالتصوير المقطعي. [1][3][4]
نتائج التصوير

تساعد دراسات التصوير على تحديد الورم والموقع التشريحي المحدد للتورط. تُظهر صور الرنين المغنطيسي كثافة مفرطة (فرط وعائي) للكتلة غير المتجانسة بواسطة الصور الموزونة T1. التصوير المقطعي المحوسب يظهر كتلة عظمية مدمرة متعددة الخلايا، تتركز داخل الكيس اللمفاوي (بين القناة السمعية الداخلية والجيوب الأنفية السيني). [1][5][6]
طريقة تطور المرض
الجين القامع للأورام من فون هيبل لينداو لديه طفرة جرثومية بشكل عام. ويسمى هذا الجين القامع أيضًا بروتين إلونجين الرابط وبروتين G7. ويشارك بروتين فون هيبل لينداو في تنظيم استجابة استجابة نقص الأكسجين عن طريق عامل تحفيز نقص الأكسجة HIF -1 ألفا. تمنع الطفرات عمومًا إنتاج أي بروتين فون هيبل لينداو وظيفي أو تؤدي إلى تغيير في بنية بروتين فون هيبل لينداو. يُظهر هذا الاضطراب الوراثي نمطًا وراثيًا سائدًا وراثيًا، حيث يعاني حوالي 20٪ من المرضى من طفرة جديدة. عادة ما يكون هناك العديد من الأورام الأخرى التي تشكل جزءًا من المتلازمة، بما في ذلك أورام الجهاز العصبي المركزي والكلى والبنكرياس والغدد الكظرية والبربخ والرباط العريض، بالإضافة إلى كيس باطني الغالبية العظمى من المرضى الذين يعانون من ورم كيس باطني مصاب بمتلازمة فون هيبيل لينداو. [7][8]
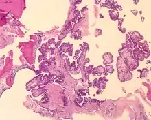
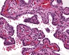
نتائج علم الأمراض

تتراوح الأورام من عدة ملليمترات إلى 10 سم، مع أورام أكبر في كثير من الأحيان تلاحظ في المرضى الأكبر سنا. إذا كان الورم ثنائيًا، فإنه يتم رؤيته دائمًا في مريض فون هيبل لينداو. يدمر الورم المساحات الهوائية الخبيثة ويمتد إلى الأذن الوسطى و / أو الحفرة القحفية الخلفية . [1][3]

يظهر المظهر المجهري نموًا غير مدمر ومدمّر ويعيد تشكيل وغزو العظام. يتم ترتيب الورم كإسقاطات حليمية بسيطة وعريضة وغير معقدة دون وجود مساحات كبيرة من الكيس. غالبًا ما تكون المساحات مملوءة بالسوائل، وتحتوي على كريات الدم الحمراء المتسعة و / أو المواد التي تم فحصها. تكون الخلايا مكعبة، وعادةً ما تكون ذات طبقات واحدة على طول البنى الحليمية، والتي تظهر حدود الخلية غير المميزة. النواة مستديرة ومتعددة اللون. [1][3][9][10]
التشخيص التفريقي
التفريقية السريرية وعلم الأمراض مختلفة. من منظور علم الأمراض، يحتاج الورم اللمفي الباطن كيس لفصلها عن النقيلي سرطان الكلى خلية، النقيلي سرطان حليمي الغدة الدرقية، الورم الحميد الأذن الوسطى، ورم جنيب العقدة العصبية ، المشيمية الورم الحليمي الضفيرة، غدية الأذن الوسطى، والورم الحميد صملاخي . [1]
إدارتة
الاستئصال على نطاق واسع هو العلاج الأمثل، على الرغم من محاولة الحفاظ على السمع. استنادًا إلى الموقع التشريحي، من الصعب إزالته تمامًا، وهكذا في حين أن هناك تشخيصًا جيدًا، قد تظهر تكرارات أو ثبات. لا يوجد أي احتمال نقيلي. المرضى الذين يخسرون للمرض، عادة ما يفعلون ذلك بسبب أورام أخرى داخل مجمع فون هيبيل لينداو بدلاً من هذا الورم. [1] [12]
علم الأوبئة
هذا ورم نادر للغاية، لأن حوالي 1 من بين 35000 إلى 40,000 شخص فقط مصابون بالـفون هيبيل لينداو، منهم حوالي 10 ٪ مصابون بأورام كيس داخلي. عادة ما يكون المرضى في العقد الرابع أو الخامس دون الميل إلى النوع معين. يشتمل الورم على كيس باطني، وهو جزء من الأذن الداخلية العظمية للعظم الصخري الخلفي. [1][4]
المراجع
- Heffner DK (Dec 1989). "Low-grade adenocarcinoma of probable endolymphatic sac origin A clinicopathologic study of 20 cases". Cancer. 64 (11): 2292–302. doi:10.1002/1097-0142(19891201)64:11<2292::AID-CNCR2820641119>3.0.CO;2-# (غير نشط 2018-09-08). PMID 2804921. الوسيط
|CitationClass=تم تجاهله (مساعدة) - "Endolymphatic sac tumor (low-grade papillary adenocarcinoma) of the temporal bone". Acta Otolaryngol. 123 (9): 1022–6. Dec 2003. doi:10.1080/00016480310000494. PMID 14710902. الوسيط
|CitationClass=تم تجاهله (مساعدة) - "Papillary neoplasms (Heffner's tumors) of the endolymphatic sac". Ann. Otol. Rhinol. Laryngol. 102 (8 pt 1): 648–51. Aug 1993. doi:10.1177/000348949310200815. PMID 8352492. الوسيط
|CitationClass=تم تجاهله (مساعدة) - "Endolymphatic sac tumors: a review of the St. Vincent's hospital experience". Otol. Neurotol. 25 (4): 599–603. Jul 2004. doi:10.1097/00129492-200407000-00030. PMID 15241241. الوسيط
|CitationClass=تم تجاهله (مساعدة) - "Imaging of the petrous apex: a pictorial review". Br. J. Radiol. 81 (965): 427–35. May 2008. doi:10.1259/bjr/54160649. PMID 18208855. الوسيط
|CitationClass=تم تجاهله (مساعدة) - "Imaging features of von Hippel-Lindau disease". Radiographics. 28 (1): 65–79. Jan–Feb 2008. doi:10.1148/rg.281075052. PMID 18203931. الوسيط
|CitationClass=تم تجاهله (مساعدة) - "Effects of VHL deficiency on endolymphatic duct and sac". Cancer Res. 65 (23): 10847–53. Dec 2005. doi:10.1158/0008-5472.CAN-05-1104. PMID 16322231. الوسيط
|CitationClass=تم تجاهله (مساعدة) - "Central nervous system hemangioblastomas, endolymphatic sac tumors, and von Hippel-Lindau disease". Neurosurg. Rev. 23 (1): 1–22. Mar 2000. doi:10.1007/s101430050024. PMID 10809480. الوسيط
|CitationClass=تم تجاهله (مساعدة) - "Endolymphatic sac tumor associated with a von Hippel-Lindau disease patient: an immunohistochemical study". Mod. Pathol. 14 (7): 727–32. Jul 2001. doi:10.1038/modpathol.3880380. PMID 11455007. الوسيط
|CitationClass=تم تجاهله (مساعدة) - "Endolymphatic sac tumours". Histopathology. 33 (1): 2–10. Jul 1998. doi:10.1046/j.1365-2559.1998.00460.x. PMID 9726042. الوسيط
|CitationClass=تم تجاهله (مساعدة) - "Molecular genetic analysis of von Hippel-Lindau disease". Journal of Internal Medicine. 243 (6): 527–33. Jun 1998. doi:10.1046/j.1365-2796.1998.00334.x. PMID 9681854. الوسيط
|CitationClass=تم تجاهله (مساعدة) - "Evaluation and management of endolymphatic sac and duct tumors". Otolaryngologic Clinics of North America. 40 (3): 463–78. Jun 2007. doi:10.1016/j.otc.2007.03.002. PMID 17544692. الوسيط
|CitationClass=تم تجاهله (مساعدة)
قراءة متعمقة
Lester D. R. Thompson; Bruce M Wenig (2011). Diagnostic Pathology: Head and Neck: Published by Amirsys. Hagerstown, MD: Lippincott Williams & Wilkins. صفحات 7:64–67. ISBN 978-1-931884-61-7. الوسيط |CitationClass= تم تجاهله (مساعدة)
- بوابة طب