ورم دموي فوق الجافية
الورم الدموي فوق الجافية[1] (بالإنجليزية: Epidural hematoma) هو تجمع الدم بين الغشاء الخارجي القوي الذي يغطي الدماغ والجمجمة.[2] وفي كثير من الأحيان، يكون هناك فقدان للوعي بعد إصابة الرأس، ثم استعادة الوعي لفترة وجيزة، ثم فقدان الوعي مرة أخرى.[3] وقد تشمل الأعراض الأخرى الصداع، والارتباك، والتقيؤ، وعدم القدرة على تحريك أجزاء من الجسم،[4] بينما قد تشمل المضاعفات نوبات من التشنجات.[4]
| ورم دموي فوق الجافية | |
|---|---|
| معلومات عامة | |
| الاختصاص | جراحة الأعصاب، طب الطوارئ |
| من أنواع | إصابة دماغية رضية |
ويعود سببه عادة إلى إصابة الرأس التي تؤدي إلى كسر العظم الصدغي والنزيف من الشريان السحائي الأوسط،[2] كما يمكن أن يحدث أحيانا نتيجة اضطراب نزفي أو تشوه في الأوعية الدموية.[4] وعادة يكون التشخيص بواسطة التصوير المقطعي المحوسب أو التصوير بالرنين المغناطيسي.[4] وعند حدوث هذه الحالة في العمود الفقري فإنها تعرف باسم ورم دموي فوق الجافية الشوكية.[2]
ويكون العلاج عموما عن طريق الجراحة العاجلة في شكل حج القحف أو نقب الجمجمة.[4] ويؤدي عدم العلاج عادة إلى الموت.[5] وتحدث هذه الحالة في 1-4 في المئة من إصابات الرأس.[4] وعادة ما تحدث في الشباب البالغين،[4] والذكور أكثر تضررا من الإناث.[4]
العلامات والأعراض
يحدث نزف فوق الجافية، ونزف تحت الجافية، ونزف تحت العنكبوتية خارج أنسجة المخ، بينما يحدث النزف داخل البرنشيمة والنزف داخل البطين في أنسجة المخ نفسها.
وقد يصاحب الأورام الدموية فوق الجافية فترة صحو مباشرةً بعد الرضة، وبعد أن يبدأ الورم الدموي فوق الجافية في التجمع، يبدأ بضغط الهياكل داخل القحف، مما قد يؤثر على العصب القحفي الثالث،[6] حيث يظهر بؤبؤ العين ثابت ومتوسع على جانب الإصابة في الفحص البدني،[6] وسيكون وضع العين إلى أسفل في الاتجاه الخارجي، بسبب الإمداد العصبي غير المعارَض للعصب القحفي الرابع والسادس.
وتشمل الأعراض الأخرى: ضعف الأطراف على الجانب الآخر للإصابة؛ بسبب انضغاط مسارات السبيل الهرمي المتقاطعة، وفقدان المجال البصري المقابل لجانب الإصابة؛ وذلك بسبب ضغط الشريان المخي الخلفي على جانب الإصابة.
الحدث الأكثر تخوفا الذي يحدث هو انفتاق لوزتي المخيخ الذي يمكن أن يؤدي إلى توقف الجهاز التنفسي بسبب تعرض الهياكل النخاعية للخطر. وقد يشارك العصب ثلاثي التوائم لاحقا في العملية، حيث يتم ضغط الجسر، ولكن ذلك ليس عرضا سريريا كبيرا، لأن بحلول ذلك الوقت قد يكون المريض بالفعل ميتا.[7] وفي حالة وجود ورم دموي فوق الجافية في حفرة القحف الخلفية، يحدث انفتاق في لوزتي المخيخ، مما يسبب ثالوث كوشينغ: ارتفاع ضغط الدم، وبطء القلب، وعدم انتظام التنفس.
نزيف فوق الجافية سريع؛ لأنه يكون عادة من الشرايين التي تكون مرتفعة الضغط. ويمكن للنزيف أن يتمدد حتى يصل إلى ذروته في الحجم بعد ست إلى ثماني ساعات من الإصابة مع تسرب من 25 إلى 75 سنتيمتر مكعب من الدم في تجويف القحف،[8] وكلما توسع الورم الدموي، فإنه ينزع الأم الجافية من داخل الجمجمة، مما يسبب صداع شديد. وقد يكون النزف كبيرا فيزيد الضغط داخل القحف، مما يسبب تحرك المخ، أو فقدان إمدادات الدم، أو سحق المخ ضد عظام الجمجمة. وكلما زاد الورم الدموي في الحجم سبّب المزيد من الضرر. ويمكن أن يتوسع الورم الدموي بسرعة ويضغط جذع الدماغ، مما يتسبب في فقدان الوعي، واتخاذ وضع غير طبيعي، واستجابات غير طبيعية لبؤبؤ العين مع الضوء.[9]
السبب

السبب الأكثر شيوعا للورم الدموي فوق الجافية داخل القحف هو الإصابات الدماغية الرضية، على الرغم من أن النزف العفوي قد يحدث أيضا. وعادة ما ينتج النزيف عن صدمة التسارع والتباطؤ والقوى العرضية،[8][10] كما تنشأ غالبية حالات النزيف من الشرايين السحائية، وخاصة في المنطقة الصدغية، وقد يكون 10٪ من نزيف فوق الجافية وريدي المصدر،[11] كما ينتج الورم الدموي فوق الجافية عادة من ضربة على جانب الرأس. وتكون منطقة الجُنَيحَى التي تغطي الشريان السحائي الأوسط ضعيفة نسبيا وعرضة للإصابة،[11] ومن ثَم هناك فقط 20 إلى 30٪ من الأورام الدموية فوق الجافية تحدث خارج منطقة العظم الصدغي.[12] وعادة ما يكون الورم الدموي فوق الجافية موجودا على نفس الجانب من الدماغ الذي تأثر بالضربة، ولكن في حالات نادرة جدا يمكن أن يكون بسبب إصابة الضربة ورجع الضربة.[13]
التشخيص
يظهر الورم الدموي فوق الجافية بالتصوير بالأشعة المقطعية والتصوير بالرنين المغناطيسي محدب الشكل؛ لأنه يتوقف عند درز الجمجمة، حيث تلتصق الأم الجافية بإحكام على الجمجمة، وبالتالي فإنه يتوسع نحو الداخل ناحية الدماغ بدلا من نحو الجمجمة، كما يحدث في الورم الدموي تحت الجافية. ويسبب الشكل الذي يشبه العدسة للورم الدموي ظهور ذلك النزيف ليكون "عدسي الشكل".
قد تحدث الأورام الدموية فوق الجافية مع الأورام الدموية تحت الجافية، أو قد تحدث وحدها.[11] وتكشف الأشعة المقطعية عن وجود ورم دموي تحت الجافية أو فوق الجافية في 20٪ من المرضى الفاقدين للوعي.[14] والسمة المميزة لورم دموي فوق الجافية هي أن المريض قد يستعيد وعيه ويبدو طبيعيا تماما خلال ما يسمى بفترة الصحو، ثم ينتقل فجأة وبسرعة إلى فقدان الوعي في وقت لاحق. فترة الصحو التي تعتمد على مدى الإصابة، هي مفتاح لتشخيص نزف فوق الجافية، وإذا لم يتم التعامل مع المريض عن طريق التدخل الجراحي الفوري، فمن المرجح أن يموت.[15]
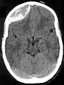
ورم دموي فوق الجافية بسبب إصابة دماغية غير رضية في امرأة شابة. المنطقة الرمادية في أعلى اليسار هي ورم دموي تسبب في تحول خط الوسط وضغط البطين
أشعة مقطعية غير متباينة لورم دموي ناجم عن رضة حادة في المنطقة الأمامية الصدغية اليسرى
العلاج
يمكن إزالة الدم جراحيا؛ لإزالة الكتلة وتقليل الضغط الذي تسببه على الدماغ، كما هو الحال مع الأنواع الأخرى من الأورام الدموية داخل القحف.[10] ويتم تفريغ الورم الدموي من خلال نقب الجمجمة أو حج القحف. وإذا كان النقل إلى مكان متخصص لجراحة المخ والأعصاب سيستغرق وقتا طويلا، يمكن القيام بنقب الجمجمة في قسم الطوارئ.[16]
توقع سير المرض
يكون التوقع بسير المرض أفضل في المرضى الذين يعانون من إصابة دماغية رضية مع ورم دموي فوق الجافية إذا كان هناك فترة صحو (فترة من الوعي قبل عودة الغيبوبة) مما لو كان المريض فاقدًا للوعي منذ وقت الإصابة.[17] وخلافًا لمعظم أشكال الإصابات الدماغية الرضية، فمن المتوقع أن المرضى الذين يعانون من ورم دموي فوق الجافية ونتيجة مقياس غلاسكو للغيبوبة 15 (تدل أعلى الدرجات على أفضل التكهنات) يحققون نتائج جيدة إذا خضعوا للجراحة بسرعة.[17]
حالات مشهورة
- ميشيل دي مونتين، في مقالته "التفلسف هو تعلم الموت"، التي كتبها في ثمانينات القرن الخامس عشر عن حالة أخيه القبطان سانت مارتن، الذي كان يبلغ من العمر 23 عاما، حيث كان يلعب التنس "عندما ضُرِبَ بالكرة في منطقة أعلى من الأذن اليمنى قليلا، ولم يكن هناك أي دليل على جرح أو كدمة، ولم يجلس للراحة، وتوفى بعد خمس أو ست ساعات من سكتة سببتها هذه الضربة". [من الترجمة التي كتبها إ. ج. تريشمان]
- في 20 فبراير 1998، أصيب لاعب الكريكت الهندي رامان لامبا البالغ من العمر 38 عامًا في رأسه بواسطة كرة الكريكت أثناء تواجده في الملعب دون خوذة. وعلى الرغم من أن لامبا كان يتجول في الملعب، ولم تظهر أن الإصابة خطيرة في ذلك الوقت إلا أنه سقط في غيبوبة في يوم الإصابة ثم مات من نزيف داخلي بعد ثلاثة أيام. [18]
- في 17 أبريل 2003، انزلق الدكتور روبرت أتكينز منشئ حمية نظام أتكينز على الجليد أثناء سيره إلى العمل، وكان عمره 72 عامًا، فاصطدم رأسه، مما تسبب في نزيف حول الدماغ، وفقد وعيه في الطريق إلى المستشفى، حيث أمضى أسبوعين في العناية المركزة. وتشير شهادة وفاته إلى أن سبب الوفاة هو "إصابة شديدة في الرأس مع ورم دموي فوق الجافية".[19]
- في 18 مارس 2009، توفيت الممثلة ناتاشا ريتشاردسون نتيجة لورم دموي فوق الجافية استمر لمدة يومين قبل الوفاة عندما كانت تتزلج على الجليد في مدينة مونت تريمبلانت بكيبيك في كندا،[20] ومرت بفترة صحو مثل العديد من المرضى، حيث لم تظهر أي أعراض حتى بعد ساعة تقريبًا من سقوطها عندما اشتكت من الصداع،[21] وبحلول الوقت الذي وصلت فيه لتلقي الرعاية الطبية، كان قد سبب الورم الدموي أضرارًا كبيرة بالفعل.[22][23]
- في 26 مايو 2010، دخل الممثل غاري كولمان مركز وادي يوتا الطبي الإقليمي في بروفو بيوتا، بعد سقوطه واصطدام رأسه ومعاناته من ورم دموي فوق الجافية في منزله في سانتاكين بيوتا، وأُعلِن أنه في حالة حرجة. وفقد كولمان الوعي في 27 مايو 2010، ثم تُوفي في الساعة 12:05 مساءً في 28 مايو 2010.
- في 5 سبتمبر 2012، ضُرِبَ رئيس اتحاد البيسبول بيتشر براندون مكارثي في رأسه بواسطة الكرة من قِبَل إريك أيبار، وتم نقله على الفور إلى المستشفى حيث خضع لعملية جراحية لمدة ساعتين لتخفيف الضغط على دماغه. وعلى الرغم من أنه لم يفقد وعيه وتجول في الملعب بعدها، عانى مكارثي من نزف فوق الجافية، وكدمة مخية، وكسر في الجمجمة في ذلك الحادث.
مراجع
- Al-Qamoos القاموس | English Arabic dictionary / قاموس إنجليزي عربي نسخة محفوظة 21 فبراير 2018 على موقع واي باك مشين.
- Pryse-Phillips, William (6 May 2009). Companion to Clinical Neurology. Oxford University Press. صفحة 335. ISBN 9780199710041. مؤرشف من الأصل في 25 يناير 2020. اطلع عليه بتاريخ 08 أكتوبر 2014.
Epidural hemorrhage (epidural hematoma, extradural hemorrhage, or hematoma) Bleeding outside the outermost layer of the dural mater, which is thus stripped away from the inner table of the skull or spinal canal.
الوسيط|CitationClass=تم تجاهله (مساعدة) - Pooler, Charlotte (2009). Porth Pathophysiology: Concepts of Altered Health States (باللغة الإنجليزية). Lippincott Williams & Wilkins. صفحة 1256. ISBN 9781605477817. مؤرشف من الأصل في 19 أكتوبر 2018. الوسيط
|CitationClass=تم تجاهله (مساعدة) - Ferri, Fred F. (2016). Ferri's Clinical Advisor 2017 E-Book: 5 Books in 1 (باللغة الإنجليزية). Elsevier Health Sciences. صفحة 441. ISBN 9780323448383. مؤرشف من الأصل في 19 أكتوبر 2018. الوسيط
|CitationClass=تم تجاهله (مساعدة) - Rubin, Raphael; Strayer, David S.; Rubin, Emanuel; (M.D.), Jay M. McDonald (2008). Rubin's Pathology: Clinicopathologic Foundations of Medicine (باللغة الإنجليزية). Lippincott Williams & Wilkins. صفحة 1183. ISBN 9780781795166. مؤرشف من الأصل في 16 ديسمبر 2019. الوسيط
|CitationClass=تم تجاهله (مساعدة) - Epidural Hematoma in Emergency Medicine at Medscape. Author: Daniel D Price. Updated: Nov 3, 2010 نسخة محفوظة 21 فبراير 2018 على موقع واي باك مشين.
- Wagner AL. 2006. "Subdural Hematoma." Emedicine.com. Retrieved on February 6, 2007. نسخة محفوظة 04 أكتوبر 2008 على موقع واي باك مشين.
- University of Vermont College of Medicine. "Neuropathology: Trauma to the CNS." Retrieved on February 6, 2007. نسخة محفوظة 02 مايو 2017 على موقع واي باك مشين.
- Singh J and Stock A. 2006. "Head Trauma." Emedicine.com. Retrieved on February 6, 2007. نسخة محفوظة 25 أكتوبر 2008 على موقع واي باك مشين.
- McCaffrey P. 2001. "The Neuroscience on the Web Series: CMSD 336 Neuropathologies of Language and Cognition." California State University, Chico. Retrieved on February 6, 2007. نسخة محفوظة 06 أبريل 2007 على موقع واي باك مشين. [وصلة مكسورة]
- Shepherd S. 2004. "Head Trauma." Emedicine.com. Retrieved on February 6, 2007. نسخة محفوظة 25 أكتوبر 2008 على موقع واي باك مشين.
- Graham DI and Gennareli TA. Chapter 5, "Pathology of Brain Damage After Head Injury" Cooper P and Golfinos G. 2000. Head Injury, 4th Ed. Morgan Hill, New York.
- Mishra A, Mohanty S (2001). "Contre-coup extradural haematoma: A short report". Neurology India. 49 (94): 94–5. PMID 11303253. مؤرشف من الأصل في 15 فبراير 2019. اطلع عليه بتاريخ 24 يناير 2008. الوسيط
|CitationClass=تم تجاهله (مساعدة) - Downie A. 2001. "Tutorial: CT in Head Trauma" نسخة محفوظة November 6, 2005, على موقع واي باك مشين.. Retrieved on February 6, 2007. [وصلة مكسورة]
- Caroline NL. 1991. Emergency Medical Treatment. Little Brown & Company.
- Smith SW, Clark M, Nelson J, Heegaard W, Lufkin KC, Ruiz E (2010). "Emergency department skull trephination for epidural hematoma in patients who are awake but deteriorate rapidly". J Emerg Med. 39 (3): 377–83. doi:10.1016/j.jemermed.2009.04.062. PMID 19535215. الوسيط
|CitationClass=تم تجاهله (مساعدة) - Zink BJ (2001). "Traumatic brain injury outcome: Concepts for emergency care". Ann Emerg Med. 37 (3): 318–32. doi:10.1067/mem.2001.113505. PMID 11223769. الوسيط
|CitationClass=تم تجاهله (مساعدة) - "Cricketer killed by ball". بي بي سي. February 23, 1998. مؤرشف من الأصل في 04 مارس 2016. اطلع عليه بتاريخ January 3, 2010. الوسيط
|CitationClass=تم تجاهله (مساعدة); تحقق من التاريخ في:|تاريخ أرشيف=(مساعدة) - "Copy of Robert Atkins' Death Certificate". The Smoking Gun. مؤرشف من الأصل في 26 مارس 2010. اطلع عليه بتاريخ 14 أكتوبر 2008. الوسيط
|CitationClass=تم تجاهله (مساعدة) - "Family hold wake for Richardson". BBC News. March 21, 2009. مؤرشف من الأصل في 27 مارس 2009. اطلع عليه بتاريخ May 2, 2010. الوسيط
|CitationClass=تم تجاهله (مساعدة) - "Natasha Richardson dies aged 45". BBC News. March 19, 2009. مؤرشف من الأصل في 22 يوليو 2017. اطلع عليه بتاريخ May 2, 2010. الوسيط
|CitationClass=تم تجاهله (مساعدة) - Autopsy: Natasha Richardson died from hitting head, Associated Press, March 19, 2009 نسخة محفوظة 22 مارس 2009 على موقع واي باك مشين. [وصلة مكسورة]
- Brain injury victims can seem OK, symptoms delayed, Associated Press, March 19, 2009 [وصلة مكسورة] نسخة محفوظة 22 مارس 2009 على موقع واي باك مشين.
روابط خارجية
- ورم دموي فوق الجافية على موقع Patientplus (الإنجليزية)
- ورم دموي فوق الجافية على موقع UMLS CUI (الإنجليزية)
- ورم دموي فوق الجافية على موقع MeSH (الإنجليزية)
- ورم دموي فوق الجافية على موقع ICD (الإنجليزية)
- ورم دموي فوق الجافية على موقع ICD (الإنجليزية)
- ورم دموي فوق الجافية على موقع ICD (الإنجليزية)
- ورم دموي فوق الجافية على موقع DiseaseDB (الإنجليزية)
- ورم دموي فوق الجافية على موقع MedlinePlus (الإنجليزية)
- ورم دموي فوق الجافية على موقع eMedicine (الإنجليزية)
- ورم دموي فوق الجافية على موقع eMedicine (الإنجليزية)
- ورم دموي فوق الجافية على موقع eMedicine (الإنجليزية)
- بوابة طب