ورم غدي كيسي مصلي بنكرياسي
الورم الغدي الكيسي المصلي في البنكرياس هو ورم حميد يصيب البنكرياس. عادة ما يوجد في ذيل البنكرياس،[2] وقد تصاحبه متلازمة فون هيبل- -لينداو.[3]
| الورم الغدي الكيسي المصلي في البنكرياس | |
|---|---|
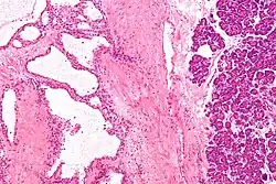
![]() صورة مجهرية تظهر ورم غدي كيسي مصلي في البنكرياس. صبغة الهيماتوكسيلين واليوزين. صورة مجهرية تظهر ورم غدي كيسي مصلي في البنكرياس. صبغة الهيماتوكسيلين واليوزين. | |
| معلومات عامة | |
| الاختصاص | الجراحة العامة، أمراض الجهاز الهضمي |
| الأسباب | |
| عوامل الخطر | الجنس الأنثوي |
| المظهر السريري | |
| البداية المعتادة | 50-60 سنوات من العمر |
| الأعراض | عادة بدون أعراض |
| العلاج | الاستئصال الجراحي (إذا كانت الأعراض) |
| الوبائيات | |
| الوفيات | 0.1%[1] |
على عكس بعض أورام البنكرياس الأخرى المكونة للكيس -مثل الأورام المخاطية الحليمية داخل القناة والأورام الكيسية المخاطية- فإن الأورام الكيسية المصلية دائمًا ما تكون حميدة تمامًا، لكن هناك بعض الاستثناءات، وقد وصفت تقارير حالات نادرة سرطانة غدية كيسية مصلية خبيثة معزولة. [4] بالإضافة إلى ذلك فإن الأورام الكيسية المصلية تنمو ببطء، وقد تنمو بشكل كافٍ يمكِّنها من الضغط على الأعضاء المجاورة وتسبب الأعراض.
العلامات والأعراض
في معظم الحالات تكون الأورام الغدية الكيسية المصلية في البنكرياس بدون أعراض. ومع ذلك فقد تسبب الكيسات الكبيرة أعراضًا مرتبطة بحجمها.[5]
التصنيف
يصنف علماء الأمراض الأورام الكيسية المصلية إلى مجموعتين عريضتين. تسمى تلك الحميدة -التي لم تنتشر إلى أعضاء أخرى- بأنها "ورم غدي كيسي مصلي".[6] يمكن تصنيف الأورام الغدية الكيسية المصلية إلى أنواع ثانوية وهي: ورم دقيق الكيسات وقليل الكيسات (أو كبير الكيسات) وأورام صماء مصلية صلبة ومختلطة، وورم كيسي مصلي مرتبط بداء فون هيبل-ليندو. يعتبر مخطط التصنيف الأخير هذا مفيدًا لأنه يسلط الضوء على مجموعة المظاهر السريرية لهذه الأورام. تُعتبر الأورام الكيسية المصلية التي انتشرت ("النقيلة") إلى عضو آخر خبيثة ويتم تصنيفها على أنها "سرطانة غدية كيسية مصلية". [بحاجة لمصدر]
علم الأمراض
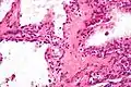
ورم غدي كيسي مصلي برأس البنكرياس.
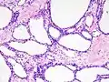
صورة مجهرية ورم غدي كيسي مصلي (تكبير متوسط)
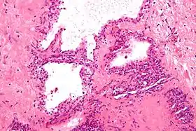
صورة مجهرية ورم غدي كيسي مصلي (تكبير عال)
صورة مجهرية ورم غدي كيسي مصلي (تكبير عال جدًا).jpg.webp)
.jpg.webp)
العلاج
نادراً ما تتطلب هذه الآفات الجراحة إلا إذا كانت مصحوبة بأعراض أو كان التشخيص غير أكيد. ولأن هذه الآفات ليس لها احتمالية خبيثة فإن المراقبة طويلة المدى ليست ضرورية.[5] يمكن أن تشمل الجراحة استئصال رأس البنكرياس (إجراء ويبل) وإزالة الجسم والذيل من البنكرياس (استئصال البنكرياس البعيد) أو نادرًا إزالة البنكرياس بالكامل (استئصال البنكرياس بالكامل).[7] في حالات مختارة يمكن إجراء الجراحة باستخدام تقنيات طفيفة التوغل مثل تنظير البطن.[8]
علم الأوبئة
تكون الأورام الغدية الكيسية المصلية في البنكرياس أكثر شيوعًا عند النساء.[5] عادة ما يتم تشخيص هذه الأورام في الأشخاص الذين تتراوح أعمارهم بين 50 و 60 عامًا.[5]
انظر أيضًا
المراجع
- Jais, B; Rebours, V; Malleo, G; Salvia, R; Fontana, M; Maggino, L; Bassi, C; Manfredi, R; Moran, R; Lennon, AM; Zaheer, A; Wolfgang, C; Hruban, R; Marchegiani, G; Fernández Del Castillo, C; Brugge, W; Ha, Y; Kim, MH; Oh, D; Hirai, I; Kimura, W; Jang, JY; Kim, SW; Jung, W; Kang, H; Song, SY; Kang, CM; Lee, WJ; Crippa, S; Falconi, M; Gomatos, I; Neoptolemos, J; Milanetto, AC; Sperti, C; Ricci, C; Casadei, R; Bissolati, M; Balzano, G; Frigerio, I; Girelli, R; Delhaye, M; Bernier, B; Wang, H; Jang, KT; Song, DH; Huggett, MT; Oppong, KW; Pererva, L; Kopchak, KV; Del Chiaro, M; Segersvard, R; Lee, LS; Conwell, D; Osvaldt, A; Campos, V; Aguero Garcete, G; Napoleon, B; Matsumoto, I; Shinzeki, M; Bolado, F; Fernandez, JM; Keane, MG; Pereira, SP; Acuna, IA; Vaquero, EC; Angiolini, MR; Zerbi, A; Tang, J; Leong, RW; Faccinetto, A; Morana, G; Petrone, MC; Arcidiacono, PG; Moon, JH; Choi, HJ; Gill, RS; Pavey, D; Ouaïssi, M; Sastre, B; Spandre, M; De Angelis, CG; Rios-Vives, MA; Concepcion-Martin, M; Ikeura, T; Okazaki, K; Frulloni, L; Messina, O; Lévy, P (February 2016). "Serous cystic neoplasm of the pancreas: a multinational study of 2622 patients under the auspices of the International Association of Pancreatology and European Pancreatic Club (European Study Group on Cystic Tumors of the Pancreas)". Gut. 65 (2): 305–12. doi:10.1136/gutjnl-2015-309638. PMID 26045140. الوسيط
|CitationClass=تم تجاهله (مساعدة) - Colonna, J.; Plaza, JA.; Frankel, WL.; Yearsley, M.; Bloomston, M.; Marsh, WL. (2008). "Serous cystadenoma of the pancreas: clinical and pathological features in 33 patients". Pancreatology. 8 (2): 135–41. doi:10.1159/000123606. PMID 18382099. S2CID 28918883. الوسيط
|CitationClass=تم تجاهله (مساعدة) - Eras, M.; Yenigun, M.; Acar, C.; Kumbasar, B.; Sar, F.; Bilge, T. (2004). "Pancreatic involvement in Von Hippel-Lindau disease". Indian J Cancer. 41 (4): 159–61. PMID 15659868. الوسيط
|CitationClass=تم تجاهله (مساعدة) - "Resected serous cystic neoplasms of the pancreas: a review of 158 patients with recommendations for treatment". J. Gastrointest. Surg. 11 (7): 820–6. July 2007. doi:10.1007/s11605-007-0157-4. PMID 17440789. S2CID 32023143. الوسيط
|CitationClass=تم تجاهله (مساعدة) - Elta, GH; Enestvedt, BK; Sauer, BG; Lennon, AM (April 2018). "ACG Clinical Guideline: Diagnosis and Management of Pancreatic Cysts". The American Journal of Gastroenterology. 113 (4): 464–479. doi:10.1038/ajg.2018.14. PMID 29485131. S2CID 3584079. الوسيط
|CitationClass=تم تجاهله (مساعدة) - "Pathology of Neoplasms of the Pancreas". جامعة جونز هوبكينز. مؤرشف من الأصل في 13 مارس 2020. اطلع عليه بتاريخ 25 أبريل 2010. الوسيط
|CitationClass=تم تجاهله (مساعدة) - "Pancreatic Surgery". جامعة جونز هوبكينز. مؤرشف من الأصل في 23 فبراير 2020. اطلع عليه بتاريخ 25 أبريل 2010. الوسيط
|CitationClass=تم تجاهله (مساعدة) - "Laproscopic Pancreatic Surgery". جامعة جونز هوبكينز. مؤرشف من الأصل في 04 ديسمبر 2019. اطلع عليه بتاريخ 25 أبريل 2010. الوسيط
|CitationClass=تم تجاهله (مساعدة)
صور وملفات صوتية من كومنز
- بوابة طب