ورم مخاطي قلبي
الورم المخاطي هو ورم حميد نادر في القلب. Myxomas هو الورم القلبي الأساسي الأكثر شيوعًا لدى البالغين، وهو الأكثر شيوعًا في الأذين الأيسر. قد تتطور الأورام المخاطية أيضًا في حجرات القلب الأخرى.[1] الورم مشتق من خلايا الوسيطة المتعددة.[1]
| الورم المخاطي | |
|---|---|
![]() صورة مجهرية من الورم المخاطي الأذيني.
OMIM = 255960 صورة مجهرية من الورم المخاطي الأذيني.
OMIM = 255960 | |
| معلومات عامة | |
| الاختصاص | علم الأورام |
| من أنواع | ورم مخاطي ، وأورام القلب الأولية |
الأسباب
الأورام المخاطية هي أكثر أنواع أورام القلب الأولية شيوعًا.[1][2] تنشأ معظم الأورام المخاطية بشكل متقطع (90%)، ويعتقد أن حوالي 10% فقط تنشأ بسبب التوريث.[3]
حوالي 10% من الأورام المخاطية موروثة، كما هو الحال في متلازمة كارني. تسمى هذه الأورام الأورام المخاطية العائلية. تميل إلى الحدوث في أكثر من جزء من القلب في وقت واحد، وغالبًا ما تسبب أعراضًا في سن أصغر من الأورام المخاطية الأخرى. ويلاحظ تشوهات أخرى في الأشخاص الذين يعانون من متلازمة كارني تشمل myxomas الجلد، وتصبغ، وفرط النشاط الغدد الصماء، و شفاني وزرقاء شبيهة بالظهارية الشامات.[1] الأورام الخبيثة أكثر شيوعًا لدى النساء أكثر من الرجال.[1][4]
العلامات والأعراض
قد تحدث الأعراض في أي وقت، ولكنها غالبًا ما تصاحب تغيير وضع الجسم. يمكن أن يكون للأورام المخاطية المتساقطة "تأثير كرة محطمة"، لأنها تؤدي إلى الركود وقد تؤدي في النهاية إلى الانسداد. قد تشمل الأعراض ما يلي:
- ضيق التنفس عند النشاط.
- Platypnea - صعوبة التنفس في الوضع المستقيم مع الراحة في وضع الاستلقاء.
- ضيق التنفس الليلي الانتيابي - صعوبة التنفس عند النوم.
- دوخة.
- إغماء.
- الخفقان - الشعور بإحساس نبض القلب.
- ألم أو ضيق في الصدر.
- الموت المفاجئ (في هذه الحالة يتم التعرف على الورم بتشريح للجثة).
غالبًا ما تحاكي أعراض وعلامات الأورام المخاطية الأذينية اليسرى تضيق التاجي. قد تظهر الأعراض العامة أيضًا، مثل:
- سعال.
- الوذمة الرئوية، مع عودة الدم إلى الشريان الرئوي ، بعد زيادة الضغوط في الأذين الأيسر وتمدد الأذين.
- نفث الدم.
- حمى.
- دنف - فقدان الوزن غير الطوعي.
- الانزعاج العام (التوعك).
- الم المفاصل.
- اللون الأزرق للجلد، خاصة أن الأصابع تغير لونها عند الضغط أو البرودة أو الضغط (ظاهرة رينود)
- ارتياد - انحناء الأظافر مصحوب بتضخم الأنسجة الرخوة للأصابع.
- تورم - أي جزء من الجسم.
- لغط القلب الانقباضي.[5]
قد تحاكي هذه الأعراض العامة أيضًا أعراض التهاب الشغاف المعدي.
المضاعفات
- عدم انتظام ضربات القلب.
- وذمة رئوية.
- الصمات المحيطية.
- انتشار ( ورم خبيث ) للورم.
- انسداد صمام القلب التاجي.
- سكتة دماغية.
- تمدد الأوعية الدموية الدماغية المغزلية.
التشخيص
سيستمع الطبيب إلى القلب باستخدام السماعة. يمكن سماع "tumor plop" (صوت مرتبط بحركة الورم)، أو أصوات القلب غير الطبيعية، أو نفخة مماثلة للعلكة المتوسطة الانبساطية للتضيق التاجي. قد تتغير هذه الأصوات عندما يغير المريض وضعه.
نادرًا ما تنتج الأورام المخاطية الأذينية اليمنى أعراضًا حتى تنمو لتصبح علة الأقل 13 سم (حوالي 5 بوصة).
قد تشمل الاختبارات:
- دراسة تخطيط صدى القلب ودوبلر.
- تصوير الصدر بالأشعة السينية.
- الأشعة المقطعية للصدر.
- تصوير القلب بالرنين المغناطيسي.
- تصوير الأوعية الدموية للقلب الأيسر.
- تصوير الأوعية الدموية للقلب الأيمن.
- تخطيط كهربية القلب - قد يُظهر الرجفان الأذيني.
فحوصات الدم: قد يُظهر العد الدموي الشامل فقر الدم وزيادة خلايا الدم البيضاء. عادة ما يتم زيادة معدل ترسيب كريات الدم الحمراء (ESR).
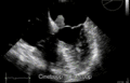
مخطط صدى القلب للأورام المخاطية الأذينية
مخطط صدى القلب يظهر الورم المخاطي الأذيني
عضلة القلب الأذيني وعضلة القلب. صبغة H&E.
الورم المخاطي الأذيني. صبغة H&E.
الورم المخاطي الأذيني. صبغة H&E.
يغطي الورم المخاطي الأذيني البطانة . صبغة H&E.
العلاج
يجب إزالة الورم جراحيًا. سيحتاج بعض المرضى أيضًا إلى استبدال الصمام التاجي. يمكن القيام بذلك خلال نفس الجراحة.
قد تعود الأورام المخاطية إذا لم تزيل الجراحة جميع خلايا الورم.
التكهنات

على الرغم من أن الورم المخاطي ليس خبيثًا مع خطر حدوث ورم خبيث،[4] تكون المضاعفات شائعة. يمكن أن يؤدي الورم الخبيث، إذا لم يتم علاجه، إلى انسداد (تكسر خلايا الورم والسفر مع مجرى الدم). يمكن أن تنتقل شظايا الميكسوما إلى الدماغ أو العين أو الأطراف.
إذا استمر الورم في التوسيع داخل القلب، فقد يمنع تدفق الدم عبر الصمام التاجي ويسبب أعراض تضيق تاجي أو ارتجاع تاجي. قد يتطلب هذا جراحة طارئة لمنع الموت المفاجئ.[6]
المراجع
- Hecht, Sisalee M. (2009-10-27). "A Review of: "Current Diagnosis & Treatment: Cardiology. 3rd ed. Crawford, Michael H., ed."". Medical Reference Services Quarterly. 28 (4): 401–402. doi:10.1080/02763860903249993. ISSN 0276-3869. الوسيط
|CitationClass=تم تجاهله (مساعدة) - Vaideeswar, P.; Butany, JW. (Feb 2008). "Benign cardiac tumors of the pluripotent mesenchyme". Semin Diagn Pathol. 25 (1): 20–8. doi:10.1053/j.semdp.2007.10.005. PMID 18350919. الوسيط
|CitationClass=تم تجاهله (مساعدة) - Masters, Barry R. (2012-05-25). "Harrisons's Principles of Internal Medicine, 18th Edition, two volumes and DVD. Eds: Dan L. Longo, Anthony S. Fauci, Dennis L. Kasper, Stephen L. Hauser, J. Larry Jameson and Joseph Loscalzo, ISBN 9780071748896 McGraw Hill". Graefe's Archive for Clinical and Experimental Ophthalmology. 250 (9): 1407–1408. doi:10.1007/s00417-012-1940-9. ISSN 0721-832X. الوسيط
|CitationClass=تم تجاهله (مساعدة) - Aiello, Vera Demarchi; Campos, Fernando Peixoto Ferraz de (2016). "Cardiac Myxoma". Autopsy and Case Reports. 6 (2): 5–7. doi:10.4322/acr.2016.030. ISSN 2236-1960. PMID 27547737. الوسيط
|CitationClass=تم تجاهله (مساعدة) - Eric J. Topol. The Topol Solution: Textbook of Cardiovascular Medicine, Third Edition with DVD, Plus Integrated Content Website, Volume 355. Lippincott Williams & Wilkins, Oct 19, 2006; page 223. (ردمك 0781770122) نسخة محفوظة 2 يناير 2020 على موقع واي باك مشين.
- "A Biatrial Myxoma with Triple Ripples". مؤرشف من الأصل في 07 أبريل 2018. الوسيط
|CitationClass=تم تجاهله (مساعدة)
- بوابة طب
