ورم مسخي
ورم مسخي[1] أو تراتومة[2] (بالإنجليزية: Teratoma) هو ورم يتكون من عدة أنواع مختلفة من الأنسجة، مثل الشعر، والعضلات، والعظام.[3] وعادة ما يتكون في المبيض، أو الخصيتين، أو عظام العجز والعصعص، ويكون أقل شيوعا في مناطق أخرى. قد تكون الأعراض بسيطة إذا كان الورم صغيرا.[4] وقد يظهر الورم المسخي في الخصية في شكل كتلة غير مؤلمة.[5] وتشمل المضاعفات: لي المبيض، أو انفتال الخصية، أو الاستسقاء الجنيني.[6][5][4]
| ورم مسخي Teratoma | |
|---|---|
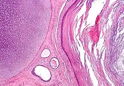
![]() صورة مجهرية لورم مسخي يظهر نسيجا يحتوي على طبقات التبرعم الثلاث: الأديم المتوسط (غضروف غير ناضج - الزاوية العليا اليسرى من الصورة)، الأديم الباطن (غدد هضمية - أسفل وسط الصورة) والأديم الظاهر (البشرة - يمين الصورة). صورة مجهرية لورم مسخي يظهر نسيجا يحتوي على طبقات التبرعم الثلاث: الأديم المتوسط (غضروف غير ناضج - الزاوية العليا اليسرى من الصورة)، الأديم الباطن (غدد هضمية - أسفل وسط الصورة) والأديم الظاهر (البشرة - يمين الصورة). | |
| معلومات عامة | |
| الاختصاص | طب التوليد والنساء وعلم الأورام |
| التاريخ | |
| وصفها المصدر | الموسوعة السوفيتية الأرمينية |
الأورام المسخية هي نوع من ورم الخلايا الجرثومية (ورم يبدأ في الخلايا التي تعطي الحيوانات المنوية أو البويضات).[3][7] وهي مقسمة إلى نوعين: أورام ناضجة وغير ناضجة.[3] وتشمل الأورام المسخية الناضجة الكيسة الجلدانية، وهي عادة حميدة.[7] بينما تكون الأورام غير الناضجة سرطانا.[3][8] معظم تراتومة المبيض ناضجة.[9] وفي البالغين، تكون تراتومة الخصية عموما سرطانية.[10] ويستند التشخيص النهائي على خزعة الأنسجة.[4]
يكون علاج تراتومة العجز والعصعص، والخصية، والمبيض عن طريق الجراحة عموما.[11][12][13] كما يتم علاج تراتومة الخصية وتراتومة المبيض غير الناضجة في كثير من الأحيان بالعلاج الكيميائي.[9][12]
تحدث تراتومة العجز والعصعص في حوالي 1 في كل 30,000 حديثي ولادة؛ مما يجعله الورم الأكثر شيوعا في هذه الفئة العمرية.[11][14] وتصاب به الإناث أكثر من الذكور.[11] وتمثل تراتومة المبيض حوالي ربع أورام المبيض، وعادة ما يُلاحَظ خلال منتصف العمر.[9] بينما تمثل تراتومة الخصية نصف سرطانات الخصية تقريبا.[15] ويمكن أن تحدث في كل من الأطفال والبالغين.[16] يأتي المصطلح من الكلمات اليونانية التي تعني "وحش" و"ورم".[17]
العلامات والأعراض
يمكن العثور على الأورام المسخية في الرضع والأطفال والبالغين. وغالبا ما توجد الأورام المسخية ذات الأصل الجنيني في الرضع عند الولادة، وفي الأطفال الصغار، وفي الأجنة منذ ظهور التصوير بالموجات فوق الصوتية.
تراتومة الأجنة الأكثر شيوعا هي الترتومة العجزية العصعصية (النوع الأول والثاني والثالث) وورم الرقبة المسخي. وبسبب بروز التراتومة من جسم الجنين في السائل السلوي المحيط به، فمن الممكن رؤيتها خلال الفحوصات بالموجات فوق الصوتية الروتينية قبل الولادة. بينما من الصعب رؤية التراتومة الموجودة داخل جسم الجنين بالموجات فوق الصوتية. لذلك، فإن التصوير بالرنين المغناطيسي لرحم الحوامل هو الأفضل في هذه الحالة.[18][19]
المضاعفات
لا تكون الأورام المسخية خطرة على الجنين ما لم يكن هناك إما تأثير لكتلة الورم أو تدفق كمية كبيرة من الدم خلال الورم (المعروف باسم سرقة الأوعية الدموية). يتكون تأثير الكتلة في كثير من الأحيان من عرقلة المرور الطبيعي للسوائل من الأجهزة المحيطة به. وقد تسبب سرقة الأوعية الدموية ضغطا على القلب المتنامي للجنين؛ مما قد يؤدى إلى فشل القلب، وبالتالي يجب رصد ذلك من خلال تخطيط صدى القلب الجنيني.
يمكن أن يسبب الورم المسخي مرض مناعي ذاتي يسمى التهاب الدماغ بسبب مضادات مستقبل ن-مثيل-د-أسبارتات. بعد الجراحة، يكون هناك خطر إعادة نمو الورم في نفس المكان أو في الأعضاء المجاورة.[20]
الأنواع
ورم مسخي ناضج

الورم المسخي الناضج هو ورم في المرحلة 0. وتكون التراتومة الناضجة متغيرة للغاية في الشكل والنسيج، حيث يمكن أن تكون صلبة، أو كيسية، أو مزيج بينهما. وغالبا ما يحتوي الورم المسخي الناضج على عدة أنواع مختلفة من الأنسجة، مثل الجلد والعضلات والعظام. وقد يحيط الجلد بكيسة ينمو فيها شعر غزير كما في الكيسة الجلدانية. وتكون التراتومة الناضجة عموما حميدة. والأنواع الخبيثة منها تكون متميزة.
كيسة جلدانية

الكيسة الجلدانية هي ورم مسخي كيسي ناضج يحتوي على شعر (يكون غزير جدا في بعض الأحيان)، وغيرها من الهياكل المميزة للجلد الطبيعي، والأنسجة الأخرى المستمدة من الأديم الظاهر. ويستخدم المصطلح في معظم الأحيان مع الورم مسخي الموجود على درز الجمجمة وفي المبايض في الإناث.
جنين داخل جنين والورم المسخي جنيني الشكل
الجنين داخل الجنين والورم المسخي جنيني الشكل هي أشكال نادرة من الأورام المسخية الناضجة التي تشمل واحد أو أكثر من مكونات تشبه الجنين المشوه. وقد يحتوي كلا النموذجين أو يبدو أنها تحتوي على أعضاء كاملة، أو حتى أجزاء رئيسية من الجسم، مثل الجذع أو الأطراف. ويختلف الجنين داخل الجنين عن التراتومة الشبيهه بالجنين في وجود عمود فقري واضح وتطابق على الجانبين.[21]
يتفق المعظم على أن التراتومة التي تشبه الجنين هي تراتومة ناضجة ومتطورة للغاية. بينما التاريخ الطبيعي للجنين داخل الجنين مثير للجدل.[21] كما أن الإبلاغ عن الورم المسخي جنيني الشكل في كثير من الأحيان يكون مع تراتومة المبيض (من قِبل أطباء أمراض النساء)، والجنين داخل الجنين يكون في كثير من الأحيان مع تراتومة خلف الصفاق (من قِبل أطباء الجراحة العامة). وغالبا ما يفسر الجنين داخل الجنين على أنه جنين ينمو داخل توأمه. وعلى هذا النحو، يعتبر هذا التفسير مضاعفة خاصة بالتوأمة، وواحد من عدة أنواع من التوائم تحت مصطلح التوائم الطفيلية. في هذا الصدد، تجدر الإشارة إلى أنه في كثير من الحالات يتم الإبلاغ عن جنين داخل جنين يحتل كيسة مليئة بالسوائل داخل ورم مسخي ناضج.[22][23][24][25] وقد تم الإبلاغ عن حالات لكيسات داخل الأورام المسخية الناضجة تحتوي على أعضاء متطورة جزئيا تشمل أجزاء من القحف العصبي والعظم الطويل وقلب نابض بدائي.[26][27]
بغض النظر عما إذا كان الجنين داخل الجنين والورم المسخي الجنيني الشكل كيان واحد أو اثنين، فأشكالهم متميزة عن الحمل المنتبذ، ولا يوجد خلط بينهما.
سلعة مبيضية
السلعة المبيضية[28] (بالإنجليزية: Struma ovarii) (وترجمتها حرفيا: دراق المبيض) هي شكل نادر من ورم مسخي ناضج يحتوي على أنسجة من الغدة الدرقية.
فسيولوجيا المرض
تنتمي التراتومة إلى فئة من الأورام المعروفة باسم أورام الخلايا الجرثومية الغير منوية. وجميع الأورام من هذه الفئة هي نتيجة للتطور الغير طبيعي للخلايا متعددة القدرات والخلايا الجرثومية والخلايا الجنينية. التراتومة جنينية المنشأ خلقية منذ الولادة. بينما التراتومة من أصل الخلية الجرثومية قد تكون أو لا تكون خلقية (وهذا غير معروف). ويبدوا أن هذا النوع من الخلايا متعددة القدرات غير مهم، بغض النظر عن تقييد الموقع للورم المسخي في الجسم.
تحدث التراتومة المستمدة من الخلايا الجرثومية في الخصيتين في الرجال والمبيضين في النساء. بينما تحدث التراتومة المستمدة من الخلايا الجنينية عادة في خط الوسط بالجسم، مثل الدماغ وأي مكان آخر في الجمجمة، وفي الأنف، واللسان، وتحت اللسان، والرقبة، والمنصف، وخلف الصفاق، وعلى العصعص. وقد تحدث التراتومة أيضا في أماكن أخرى، مثل الأعضاء الصلبة (أبرزها القلب والكبد) وهي نادرة، وفي الأعضاء الجوفاء (مثل المعدة والمثانة)، ولكن الأكثر شيوعا على درز الجمجمة.
ونادرا ما تتكون أجزاء من الجسم أكثر تعقيدا، مثل الأسنان، والمادة الدماغية،[29] والعيون،[30][31] والجذع.[32]
فرضيات المنشأ
وفيما يتعلق بأصل الورم المسخي، توجد العديد من الفرضيات.[21] ولا ينبغي الخلط بين هذه الفرضيات وبين فرضية أن الجنين داخل الجنين ليس ورما مسخيا على الإطلاق بل توأم طفيلي.
تشخيص المرض

يعتقد أن التراتومة تنشأ في الرحم، وبالتالي يمكن اعتبارها أورام خلقية. ولا يتم تشخيص العديد منها حتى وقت متأخر في مرحلة الطفولة أو في سن البلوغ. ومن المرجح أن يتم تشخيص الأورام الكبيرة في وقت مبكر. وكثيرا ما يتم الكشف عن الأورام المسخية العنقية والعجزية العصعصية عن طريق الموجات فوق الصوتية قبل الولادة. وقد تشمل طرق التشخيص الإضافية التصوير بالرنين المغناطيسي قبل الولادة. في حالات نادرة، يكون الورم كبيرا لدرجة أن الجنين قد يكون معطوبا أو يموت. في حالة التراتومة العجزية العصعصية الكبيرة، يتم توجيه جزء كبير من دم الجنين نحو الورم المسخي (وهي ظاهرة تسمى متلازمة السرقة)، مما يسبب فشل القلب، أو الاستسقاء الجنيني. ويكون هناك حاجة إلى الجراحة الجنينية في بعض الحالات.
بعد فترة حداثة الولادة، تعتمد أعراض الورم المسخي على موقعها وعضو المنشأ. فغالبا ما يصاحب تراتومة المبيض آلام في البطن أو الحوض ناجمة عن لي المبيض أو تهيج الأربطة. وتم اكتشاف حالة مؤخرا سببت فيها تراتومة المبيض التهاب في الدماغ مرتبط بأجسام مضادة ضد مستقبلات ن- ميثيل- د- الأسبارتات، وتم تحديده على أنه مضاعفات خطيرة للورم. وغالبا ما يعاني المرضى الذين يطورون مرض متعدد المراحل من الذهان، وعجز الذاكرة، ونوبات الصرع، حركات غير طبيعية وعدم استقرار التنفس.[33] وتظهر تراتومة الخصية ككتلة محسوسة في الخصية. وغالبا ما تسبب تراتومة المنصف ضغط على الرئتين أو الشعب الهوائية، وقد تظهر مع ألم في الصدر و/ أو أعراض في الجهاز التنفسي.
تحتوي بعض الأورام المسخية على عناصر الكيس المحي، والتي تفرز ألفا فيتو بروتين. وقد يساعد الكشف عنه على تأكيد التشخيص، وغالبا ما يستخدم كعلامة لتكرار المرض أو فعالية العلاج، ولكن نادرا ما يكون طريقة التشخيص الأولي. (الكشف عن ألفا فيتو بروتين في مصل الأم، هو اختبار فحص مفيد للكشف عن بعض الحالات الأخرى في الأجنة، بما في ذلك متلازمة داون، وتشقق العمود الفقري، وعيوب جدار البطن مثل انشقاق البطن الخلقي.)
التصنيف
بغض النظر عن موقعه في الجسم، يصنف الورم المسخي وفقا لنظام مراحل تطور مرض السرطان. وهو نظام يدل على ما إذا كان هناك حاجة للعلاج الكيميائي أو العلاج الإشعاعي بالإضافة إلى الجراحة. وعادة ما يصنف باستخدام نظام تدرج غونزاليز-كروسي:[21]
- 0 أو ناضج (حميد).
- 1 أو غير ناضج، وربما حميد.
- 2 أو غير ناضج، وربما خبيث (سرطاني).
- 3 أو خبيث.
يصنف الورم المسخي أيضا حسب مضمونه: حيث يحتوي الورم المسخي الصلب على أنسجة فقط (بما في ذلك الهياكل الأكثر تعقيدا). بينما يحتوي الورم المسخي الكيسي على جيوب من السوائل أو شبه السوائل مثل السائل النخاعي، أو الزهم، أو الدهون. ويحتوي الورم المسخي المختلط على كل ما يحتويه الورم الصلب والكيسي. وعادة ما تكون التراتومة الكيسية في المرحلة 0، وعلى العكس، المرحلة 0 تكون ترتومة كيسية عادة.
التراتومة النقية في المرحلة 0 و1 و2 لديها القدرة على أن تصبح خبيثة (المرحلة 3)، بينما التراتومة النقية الخبيثة لديها القدرة على الانبثاث. هذه الأشكال النادرة من الورم المسخي ذو التحول الخبيث قد تحتوي على عناصر من خلايا خبيثة جسدية (غير جنسية)، مثل اللوكيميا، والسرطان أو الساركومة.[34] وقد يحتوي الورم المسخي على عناصر من أورام الخلايا الجرثومية الأخرى، وفي هذه الحالة لا يكون الورم المسخي نقي بل ورم خلايا جرثومية مختلط وخبيث. وعادة ما تكون هذه العناصر هي ورم جيب الأديم الباطن في الرضع والأطفال الصغار، يليه المشيمة. وأخيرا، يمكن أن يكون الورم المسخي نقي وغير خبيث ولكن عدواني للغاية: وهذا يتجلى في متلازمة الورم المسخي المتنامي، الذي يقضي فيه العلاج الكيميائي على العناصر الخبيثة من الورم المختلط، تاركا الورم المسخي نقيا فيبدأ في النمو بسرعة كبيرة بشكل متناقض.[35]
التحول السرطاني
قد يتحول الورم المسخي الناضج الحميد في المرحلة 0 إلى ورم خبيث. وتم الإبلاغ عن تكرار الأورام الجيبية الخبيثة في الأديم الباطني في حالات الأورام المسخية الحميدة الناضجة سابقا،[36][37] حتى في الورم المسخي الجنيني الشكل والجنين داخل الجنين.[38][39] كما تم العثور على سرطانة الخلايا الحرشفية في الورم المسخي الكيسي الناضج في وقت الجراحة الأولية.[40]
الورم المسخي من الدرجة الأولى غير الناضج الذي يبدو كورم حميد (بسبب عدم ارتفاع مستوى ألفا فيتو بروتين على سبيل المثال) ينطوي على نسبة كبيرة من خطر التحول لورم خبيث، ويتطلب متابعة كافية.[41][42][43][44] وقد يكون من الصعب تشخيص هذا النوع من الورم المسخي بشكل صحيح. ويمكن الخلط بينه وبين الأورام الصغيرة الأخرى المستديرة، مثل ورم الخلايا البدائية العصبية، وسرطان الخلايا الصغيرة من نوع فرط كالسيوم الدم، والورم الأديمي العصبي الظاهري البدائي، وورم ويلمز، وورم الخلايا المستديرة الصغيرة الصلب، واللمفوما اللاهودجكينية.[45]
الورم المسخي ذو التحول الخبيث هو شكل نادر جدا من الأورام المسخية التي قد تحتوي على عناصر من الأورام الخبيثة الجسدية (غير الجنسية) مثل اللوكيميا والسرطان أو الساركوما.[34] ومن بين 641 طفلا مصابا بورم مسخي نقي، يصاب تسعة بالورم المسخي ذو التحول الخبيث:[46] خمسة سرطانات، واثنين ورم دبقي، واثنين سرطانة جنينية (وتصنف هذه الأخيرة بين أورام الخلايا الجرثومية).
الورم البطاني العصبي خارج النخاع
وعادة ما يكون الورم البطاني العصبي خارج النخاع ورم دبقي (وهو نوع ورم الخلايا غير الجرثومية)، وقد يكون شكل غير طبيعي من ورم مسخي ناضج.[47]
العلاج
الجراحة
العلاج الأمثل هو الاستئصال الجراحي الكامل.[48][49] وعادة ما يكون الورم المسخي مغلف جيدا وغير غازي للأنسجة المحيطة به، وبالتالي من السهل نسبيا استئصاله من الأنسجة المحيطة به. وتشمل الاستثناءات الورم المسخي في الدماغ، والورم المسخي الكبير جدا والمعقد الذي يدفع العضلات المجاورة له وغيرها من الهياكل ويصبح متداخل معها.
ولا تتطلب الوقاية من تكرار رجوع الورم إلى استئصال كتلة من الأنسجة المحيطة بها.
العلاج الكيميائي
وعادة ما تُتبع الجراحة بالعلاج الكيميائي في حالات التراتومة الخبيثة.
وفي بعض الأحيان، يتم التعامل مع التراتومة الموجودة في المناطق التي يصعب الوصول إليها جراحيا، أو المعقدة جدا، أو التي من المحتمل أن تكون خبيثة (بسبب الاكتشاف أو العلاج المتأخر) بالعلاج الكيميائي أولا.
المتابعة
على الرغم من وصفه في كثير من الأحيان بأنه ورم حميد، إلا أن الورم المسخي لديه إمكانية أن يصبح ورم خبيث. وفي دراسة ما في المملكة المتحدة من 351 رضيع وطفل صغير تم تشخيصهم بالورم المسخي "الحميد"، ذكرت أن 227 حالة حدث لها تحول سرطاني. وبعد خمس سنوات من الجراحة، كانت نسبة البقاء على قيد الحياة الخالية من المرض لل227 حالة 92.2٪، وكان البقاء على قيد الحياة عموما 99٪ لهم.[50] وأبلغت دراسة مماثلة في إيطاليا عن 183 رضيع وطفل تم تشخيصهم بالورم المسخي. وبعد 10 سنوات من الجراحة، كانت نسبة البقاء على قيد الحياة الخالية من المرض ونسبة البقاء بشكل عام 90.4٪ و98٪ على التوالي.[51]
واعتمادا على الأنسجة التي تحتوي عليها، قد يفرز الورم المسخي مجموعة متنوعة من المواد الكيميائية بآثار نظامية. وتفرز بعض الأورام المسخية "هرمون الحمل" موجهة الغدد التناسلية المشيمائية (βhCG)، والذي يمكن استخدامه في الممارسة السريرية لرصد نجاح العلاج أو الانتكاس في المرضى الذين يعانون من ورم مسخي يفرز هذا الهرمون. ولا ينصح بهذا الهرمون كعلامة تشخيصية، لأن معظم الأورام المسخية لا تفرزه. كما يفرز بعضها هرمون الغدة الدرقية، الذي قد يصل في بعض الحالات لدرجة أنه يمكن أن يؤدي إلى فرط نشاط الغدة الدرقية السريرية في المريض. ومما يثير القلق بشكل خاص، إفراز ألفا فيتو بروتين، والذي يمكن أن يستخدم في بعض الظروف كعلامة تشخيصية محدِدة لوجود خلايا الكيس المحي داخل الورم المسخي. ويمكن أن تتطور هذه الخلايا إلى ورم خبيث يعرف باسم ورم الكيس المحي أو ورم جيب الأديم الباطن.
وتتطلب المتابعة الكافية مراقبة دقيقة تشمل الفحص البدني المتكرر، والمسح الضوئي (الموجات فوق الصوتية، أو التصوير بالرنين المغناطيسي، أو التصوير المقطعي)، وقياس ألفا فيتو بروتين (AFP) و/أو موجهة الغدد التناسلية المشيمائية (βhCG).[52][53]
وبائيات
كثيرا ما تحدث الأورام المسخية الجنينية في المنطقة العجزية العصعصية، والورم المسخي العجزي العصعصي هو واحد من أكثر الأورام شيوعا التي توجد في البشر حديثي الولادة.
ووجد حوالي 50٪ من الأورام المسخية الموجودة على درز الجمجمة في أو بالقرب من محجر العين.[54]
يصنف الورم المسخي كمرض نادر، ولكنه ليس نادر للغاية. فقد يتم تشخيص الورم المسخي العجزي العصعصي وحده عند الولادة في واحد من أصل 40,000 إنسان. وبالنظر إلى السكان الحاليين ومعدل المواليد، فإن هذا يعادل خمسة حالات في اليوم أو 1800 في السنة. ويُضاف إلى هذا العدد الأورام المسخية العجزية العصعصية التي تُشخَص في وقت متأخر في الحياة، والأورام المسخية في أماكن أخرى، وتقترب نسبة الحدوث من عشرة آلاف تشخيص جديد في السنة.
الأبحاث
في ضوء القضايا الأخلاقية المحيطة بمصدر الخلايا الجذعية البشرية، ينظر إلى الأورام المسخية باعتبارها مصدرا بديلا للبحوث؛ لأنها تفتقر إلى القدرة على النمو إلى إنسان وظيفي.
علم المصطلحات
كما هو الحال في علم الأورام (دراسة الأورام الخبيثة وحميدة)، تتطور تسميات هذه الأورام باستمرار على أساس التوافق في الآراء العلمية في تصنيف الأورام (الذي يقوم على الأصول الجنينية المشتركة، والخصائص المرضية الإكلينيكية، وما إلى ذلك). ومع تقدم العلوم، تزداد القدرة على فهم كيف يمكن للمرء أن يفرق الأورام التي كانت تبدو متشابهة، مثل التطور المستمر للمعرفة العلمية لعلامات الورم، وعلم الجينوم، والبروتيوميات. وتشمل بعض المصطلحات التي ترادف ورم مسخي: ورم جنيني[55] (بالإنجليزية: dysembryoma)، ورم أرومي مسخي[56] (بالإنجليزية: teratoblastoma)، ورم عضوي الشكل[57] (بالإنجليزية: organoid tumor)، ورم مسخي الشكل[58] (بالإنجليزية: teratoid tumor).[59]
وقد استخدمت كلمتا "ورم مسخي" و "مسخي ناضج" للإشارة إلى النمو الحميد، في حين أن كلمة "ورم مسخي" قد تشير أيضا إلى "مسخي غير ناضج"، وهو نمو سرطاني. تجنب سوء الفهم الناجم عن مثل هذا التعدد الدلالي هو جزء من سبب تغير تسمية الورم على مدى عقود. تغيير التسميات هو أمر طوعي، يستند إلى علماء يوافقون أو يناقشون الأدبيات المتعلقة بما يمكن تسميته لكيانات معينة من الأورام (أنواع الأورام).
وقد استخدم مصطلح "ورم مسخي خبيث" أحيانا كمرادف لورم الخلايا الجرثومية غير المنوية.[60]
حيوانات أخرى
وقد تم الإبلاغ عن تراتومة المبيض في الفرس،[61] وأسود الجبل،[62][63] وفي الكلاب. وقد تحدث التراتومة أيضا في فصائل أخرى، ولكن نادرا.[64]
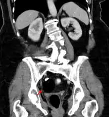
معرض الصُور
ورم مسخي للمبيض
طالع أيضاً
- ورم مسخي في المنطقة العجزية العصعصية.
- توخيف (تقنية جراحية لقطع شق وخياطة حوافه).
مراجع
- قاموس طبي انجليزي عربي - عربي انجليزي online english arabic medical dictionary نسخة محفوظة 21 يناير 2018 على موقع واي باك مشين.
- Al-Qamoos القاموس | English Arabic dictionary / قاموس إنجليزي عربي نسخة محفوظة 20 يناير 2018 على موقع واي باك مشين.
- "NCI Dictionary of Cancer Terms". National Cancer Institute. مؤرشف من الأصل في 23 يناير 2018. اطلع عليه بتاريخ 20 ديسمبر 2017. الوسيط
|CitationClass=تم تجاهله (مساعدة) - "Sacrococcygeal Teratoma". NORD (National Organization for Rare Disorders). 2007. مؤرشف من الأصل في 19 فبراير 2017. اطلع عليه بتاريخ 20 ديسمبر 2017. الوسيط
|CitationClass=تم تجاهله (مساعدة) - Raja, Shahzad G. (2007). Access to Surgery: 500 single best answer questions in general and systematic pathology (باللغة الإنجليزية). PasTest Ltd. صفحة 508. ISBN 9781905635368. مؤرشف من الأصل في 17 ديسمبر 2019. الوسيط
|CitationClass=تم تجاهله (مساعدة) - Saba, Luca; Acharya, U. Rajendra; Guerriero, Stefano; Suri, Jasjit S. (2014). Ovarian Neoplasm Imaging (باللغة الإنجليزية). Springer Science & Business Media. صفحة 165. ISBN 9781461486336. مؤرشف من الأصل في 17 ديسمبر 2019. الوسيط
|CitationClass=تم تجاهله (مساعدة) - "Mature teratoma". National Cancer Institute. مؤرشف من الأصل في 23 يناير 2018. اطلع عليه بتاريخ 20 ديسمبر 2017. الوسيط
|CitationClass=تم تجاهله (مساعدة) - Noor, Mohd Rushdan Md; Hseon, Tay Eng; Jeffrey, Low Jen Hui (2014). Gynaecologic Cancer: A Handbook for Students and Practitioners (باللغة الإنجليزية). CRC Press. صفحة 446. ISBN 9789814463065. مؤرشف من الأصل في 17 ديسمبر 2019. الوسيط
|CitationClass=تم تجاهله (مساعدة) - Falcone, Tommaso; Hurd, William W. (2007). Clinical Reproductive Medicine and Surgery (باللغة الإنجليزية). Elsevier Health Sciences. صفحة 749. ISBN 0323033091. مؤرشف من الأصل في 17 ديسمبر 2019. الوسيط
|CitationClass=تم تجاهله (مساعدة) - Oyasu, Ryoichi; Yang, Ximing J; Yoshida, Osamu (2009). Questions in Daily Urologic Practice: Updates for Urologists and Diagnostic Pathologists (باللغة الإنجليزية). Springer Science & Business Media. صفحة 253. ISBN 9784431728191. مؤرشف من الأصل في 17 ديسمبر 2019. الوسيط
|CitationClass=تم تجاهله (مساعدة) - Davies, Mark; Inglis, Garry; Jardine, Luke; Koorts, Pieter (2012). Antenatal Consults: A Guide for Neonatologists and Paediatricians - E-Book (باللغة الإنجليزية). Elsevier Health Sciences. صفحة 298. ISBN 072958108X. مؤرشف من الأصل في 17 ديسمبر 2019. الوسيط
|CitationClass=تم تجاهله (مساعدة) - Price, Pat; Sikora, Karol; Illidge, Tim (2008). Treatment of Cancer Fifth Edition (باللغة الإنجليزية). CRC Press. صفحة 713. ISBN 9780340912218. مؤرشف من الأصل في 24 أغسطس 2018. الوسيط
|CitationClass=تم تجاهله (مساعدة) - Hillard, Paula J Adams; Hillard, Paula Adams (2008). The 5-minute Obstetrics and Gynecology Consult (باللغة الإنجليزية). Lippincott Williams & Wilkins. صفحة 140. ISBN 9780781769426. مؤرشف من الأصل في 17 ديسمبر 2019. الوسيط
|CitationClass=تم تجاهله (مساعدة) - Corton, Marlene M; Leveno, Kenneth J; Bloom, Steven L; Hoffman, Barbara L (2014). Williams Obstetrics 24/E (EBOOK) (باللغة الإنجليزية). McGraw Hill Professional. صفحة Chapter 16. ISBN 9780071798945. مؤرشف من الأصل في 11 فبراير 2020. الوسيط
|CitationClass=تم تجاهله (مساعدة) - Hart, I; Newton, RW (2012). Endocrinology (باللغة الإنجليزية). Springer Science & Business Media. صفحة 157. ISBN 9789401092982. مؤرشف من الأصل في 17 ديسمبر 2019. الوسيط
|CitationClass=تم تجاهله (مساعدة) - McDougal, W Scott; Wein, Alan J; Kavoussi, Louis R; Novick, Andrew C; Partin, Alan W; Peters, Craig A.; Ramchandani, Parvati (2011). Campbell-Walsh Urology 10th Edition Review E-Book (باللغة الإنجليزية). Elsevier Health Sciences. صفحة 663. ISBN 1455723177. مؤرشف من الأصل في 26 يونيو 2018. الوسيط
|CitationClass=تم تجاهله (مساعدة) - Chang, Alfred E; Ganz, Patricia A; Hayes, Daniel F; Kinsella, Timothy; Pass, Harvey I; Schiller, Joan H; Stone, Richard M; Strecher, Victor (2007). Oncology: An Evidence-Based Approach (باللغة الإنجليزية). Springer Science & Business Media. صفحة 848. ISBN 9780387310565. مؤرشف من الأصل في 19 أكتوبر 2018. الوسيط
|CitationClass=تم تجاهله (مساعدة) - Danzer E, Hubbard AM, Hedrick HL, et al. (2006). "Diagnosis and characterization of fetal sacrococcygeal teratoma with prenatal MRI". AJR Am J Roentgenol. 187 (4): W350–6. doi:10.2214/AJR.05.0152. PMID 16985105. الوسيط
|CitationClass=تم تجاهله (مساعدة) - Kocaoglu M, Frush DP (2006). "Pediatric presacral masses". Radiographics. 26 (3): 833–57. doi:10.1148/rg.263055102. PMID 16702458. الوسيط
|CitationClass=تم تجاهله (مساعدة) - Choi, KW; Jeon, WJ; Chae, HB; Park, SM; Youn, SJ; Shin, HM; Sung, RH; Lee, SJ (September 2003). "A recurred case of a mature ovarian teratoma presenting as a rectal mass" (PDF). The Korean Journal of Gastroenterology (باللغة الكورية). 42 (3): 242–245. PMID 14532748. مؤرشف من الأصل (PDF) في 20 أبريل 2019. الوسيط
|CitationClass=تم تجاهله (مساعدة) - Gonzalez-Crussi F (1982) Extragonadal Teratomas. Atlas of Tumor Pathology, Second Series, Fascicle 18. Armed Forces Institute of Pathology, Washington D.C.
- Abbott TM, Hermann WJ, Scully RE (1984). "Ovarian fetiform teratoma (homunculus) in a 9-year-old girl". International Journal of Gynecological Pathology. 2 (4): 392–402. doi:10.1097/00004347-198404000-00007. PMID 6724790. الوسيط
|CitationClass=تم تجاهله (مساعدة) - Saito K, Katsumata Y, Hirabuki T, Kato K, Yamanaka M (2007). "Fetus-in-fetu: parasite or neoplasm? A study of two cases". Fetal. Diagn. Ther. 22 (5): 383–88. doi:10.1159/000103301. PMID 17556829. الوسيط
|CitationClass=تم تجاهله (مساعدة) - Kajbafzadeh AM, Baharnoori M (2006). "Fetus in fetu". Can J Urol. 13 (5): 3277–78. PMID 17076951. الوسيط
|CitationClass=تم تجاهله (مساعدة) - Chua JH, Chui CH, Sai Prasad TR, Jabcobsen AS, Meenakshi A, Hwang WS (2005). "Fetus-in-fetu in the pelvis: report of a case and literature review" (PDF). Ann. Acad. Med. Singap. 34 (10): 646–49. PMID 16382253. مؤرشف من الأصل (PDF) في 24 مارس 2019. الوسيط
|CitationClass=تم تجاهله (مساعدة) - Lee, YH; Kim, SG; Choi, SH; Kim, IS; Kim, SH (December 2003). "Ovarian mature cystic teratoma containing homunculus: A case report" (PDF). Journal of Korean Medical Science. 18 (6): 905–907. PMC 3055135. PMID 14676454. مؤرشف من الأصل (PDF) في 22 يوليو 2011. الوسيط
|CitationClass=تم تجاهله (مساعدة) - Kazez A, Ozercan IH, Erol FS, Faik Ozveren M, Parmaksiz E (2002). "Sacrococcygeal heart: a very rare differentiation in teratoma". European Journal of Pediatric Surgery. 12 (4): 278–80. doi:10.1055/s-2002-34483. PMID 12369008. الوسيط
|CitationClass=تم تجاهله (مساعدة) - Al-Qamoos القاموس | English Arabic dictionary / قاموس إنجليزي عربي نسخة محفوظة 17 ديسمبر 2019 على موقع واي باك مشين.
- Masayuki, Shintaku (January 2, 2017). "Well-formed cerebellum and brainstem-like structures in a mature ovarian teratoma: Neuropathological observations". Neuropathology (باللغة الإنجليزية). مؤرشف من الأصل في 11 فبراير 2020. اطلع عليه بتاريخ 07 يناير 2017. الوسيط
|CitationClass=تم تجاهله (مساعدة) - Chi JG, Lee YS, Park YS, Chang KY (July 1984). "Fetus-in-fetu: report of a case". American Journal of Clinical Pathology. 82 (1): 115–19. PMID 6540049. الوسيط
|CitationClass=تم تجاهله (مساعدة) - Sergi C, Ehemann V, Beedgen B, Linderkamp O, Otto HF (1999). "Huge fetal sacrococcygeal teratoma with a completely formed eye and intratumoral DNA ploidy heterogeneity". Pediatric and Developmental Pathology : the Official Journal of the Society for Pediatric Pathology and the Paediatric Pathology Society. 2 (1): 50–57. doi:10.1007/s100249900089. PMID 9841706. الوسيط
|CitationClass=تم تجاهله (مساعدة) - Arlikar JD, Mane SB, Dhende NP, Sanghavi Y, Valand AG, Butale PR (March 2009). "Fetus in fetu: two case reports and review of literature". Pediatric Surgery International. 25 (3): 289–92. doi:10.1007/s00383-009-2328-8. PMID 19184054. الوسيط
|CitationClass=تم تجاهله (مساعدة) - Dalmau J, Lancaster E, Martinez-Hernandez E, Rosenfeld MR, Balice-Gordon R (January 2011). "Clinical experience and laboratory investigations in patients with anti-NMDAR encephalitis". Lancet Neurol. 10 (1): 63–74. doi:10.1016/S1474-4422(10)70253-2. PMC 3158385. PMID 21163445. مؤرشف من الأصل في 28 أبريل 2019. الوسيط
|CitationClass=تم تجاهله (مساعدة) - Harms D, Zahn S, Göbel U, Schneider DT (2006). "Pathology and molecular biology of teratomas in childhood and adolescence". Klinische Pädiatrie. 218 (6): 296–302. doi:10.1055/s-2006-942271. PMID 17080330. الوسيط
|CitationClass=تم تجاهله (مساعدة) - Scavuzzo, Anna; Santana Ríos, Zael Arturo; Noverón, Nancy Reynoso; Jimenez Ríos, Miguel Angel (2014). "Growing Teratoma Syndrome". Case Reports in Urology. 2014. doi:10.1155/2014/139425. ISSN 2090-696X. مؤرشف من الأصل في 17 ديسمبر 2019. اطلع عليه بتاريخ 13 أغسطس 2017. الوسيط
|CitationClass=تم تجاهله (مساعدة) - Ohno Y, Kanematsu T (1998). "An endodermal sinus tumor arising from a mature cystic teratoma in the retroperitoneum in a child: is a mature teratoma a premalignant condition?". Hum. Pathol. 29 (10): 1167–69. doi:10.1016/S0046-8177(98)90432-4. PMID 9781660. الوسيط
|CitationClass=تم تجاهله (مساعدة) - Utsuki S, Oka H, Sagiuchi T, Shimizu S, Suzuki S, Fujii K (Jun 2007). "Malignant transformation of intracranial mature teratoma to yolk sac tumor after late relapse. Case report". J. Neurosurg. 106 (6): 1067–69. doi:10.3171/jns.2007.106.6.1067. PMID 17564180. الوسيط
|CitationClass=تم تجاهله (مساعدة) - Chen YH, Chang CH, Chen KC, Diau GY, Loh IW, Chu CC (2007). "Malignant transformation of a well-organized sacrococcygeal fetiform teratoma in a newborn male". J. Formos. Med. Assoc. 106 (5): 400–02. doi:10.1016/S0929-6646(09)60326-0. PMID 17561476. مؤرشف من الأصل في 15 فبراير 2012. الوسيط
|CitationClass=تم تجاهله (مساعدة) - Hopkins KL, Dickson PK, Ball TI, Ricketts RR, O'Shea PA, Abramowsky CR (1997). "Fetus-in-fetu with malignant recurrence". J. Pediatr. Surg. 32 (10): 1476–79. doi:10.1016/S0022-3468(97)90567-4. PMID 9349774. الوسيط
|CitationClass=تم تجاهله (مساعدة) - Arioz DT, Tokyol C, Sahin FK, et al. (2008). "Squamous cell carcinoma arising in a mature cystic teratoma of the ovary in young patient with elevated carbohydrate antigen 19-9". Eur. J. Gynaecol. Oncol. 29 (3): 282–84. PMID 18592797. الوسيط
|CitationClass=تم تجاهله (مساعدة) - Muscatello L, Giudice M, Feltri M (2005). "Malignant cervical teratoma: report of a case in a newborn". European Archives of Oto-Rhino-Laryngology. 262 (11): 899–904. doi:10.1007/s00405-005-0917-2. PMID 15895292. الوسيط
|CitationClass=تم تجاهله (مساعدة) - Ukiyama E, Endo M, Yoshida F, Tezuka T, Kudo K, Sato S, Akatsuka S, Hata J (2005). "Recurrent yolk sac tumor following resection of a neonatal immature gastric teratoma". Pediatr. Surg. Int. 21 (7): 585–88. doi:10.1007/s00383-005-1404-y. PMID 15928937. الوسيط
|CitationClass=تم تجاهله (مساعدة) - Bilik R, Shandling B, Pope M, Thorner P, Weitzman S, Ein SH (1993). "Malignant benign neonatal sacrococcygeal teratoma". J. Pediatr. Surg. 28 (9): 1158–60. doi:10.1016/0022-3468(93)90154-D. PMID 7508500. الوسيط
|CitationClass=تم تجاهله (مساعدة) - Hawkins E, Issacs H, Cushing B, Rogers P (1993). "Occult malignancy in neonatal sacrococcygeal teratomas. A report from a Combined Pediatric Oncology Group and Children's Cancer Group study". The American journal of pediatric hematology/oncology. 15 (4): 406–09. PMID 7692755. الوسيط
|CitationClass=تم تجاهله (مساعدة) - Ramalingam P, Teague D, Reid-Nicholson M (Jul 2008). "Imprint cytology of high-grade immature ovarian teratoma: A case report, literature review, and distinction from other ovarian small round cell tumors". Diagn. Cytopathol. 36 (8): 595–99. doi:10.1002/dc.20849. PMID 18618728. الوسيط
|CitationClass=تم تجاهله (مساعدة) - Biskup W, Calaminus G, Schneider DT, Leuschner I, Göbel U (2006). "Teratoma with malignant transformation: experiences of the cooperative GPOH protocols MAKEI 83/86/89/96". Klinische Pädiatrie. 218 (6): 303–08. doi:10.1055/s-2006-942272. PMID 17080331. الوسيط
|CitationClass=تم تجاهله (مساعدة) - Aktuğ T, Hakgüder G, Sarioğlu S, Akgür FM, Olguner M, Pabuçcuoğlu U (2000). "Sacrococcygeal extraspinal ependymomas: the role of coccygectomy". J. Pediatr. Surg. 35 (3): 515–18. doi:10.1016/S0022-3468(00)90228-8. PMID 10726703. مؤرشف من الأصل في 24 ديسمبر 2017. الوسيط
|CitationClass=تم تجاهله (مساعدة) - Tapper D, Lack EE (1983). "Teratomas in infancy and childhood. A 54-year experience at the Children's Hospital Medical Center" (PDF). Ann. Surg. 198 (3): 398–410. doi:10.1097/00000658-198309000-00016. PMC 1353316. PMID 6684416. مؤرشف من الأصل (PDF) في 17 ديسمبر 2019. الوسيط
|CitationClass=تم تجاهله (مساعدة) - Göbel, U; Schneider, DT; Calaminus, G; Haas, RJ; Schmidt, P; Harms, D (March 2000). "Germ-cell tumors in childhood and adolescence" (PDF). Annals of Oncology. 11 (3): 263–271. doi:10.1023/a:1008360523160. PMID 10811491. مؤرشف من الأصل (PDF) في 6 نوفمبر 2015. الوسيط
|CitationClass=تم تجاهله (مساعدة) - Mann JR, Gray ES, Thornton C, Raafat F, Robinson K, Collins GS, Gornall P, Huddart SN, Hale JP, Oakhill A (July 2008). "Mature and immature extracranial teratomas in children: the UK Children's Cancer Study Group Experience". Journal of Clinical Oncology. 26 (21): 3590–97. doi:10.1200/JCO.2008.16.0622. PMID 18541896. الوسيط
|CitationClass=تم تجاهله (مساعدة) - Lo Curto M, D'Angelo P, Cecchetto G, Klersy C, Dall'Igna P, Federico A, Siracusa F, Alaggio R, Bernini G, Conte M, De Laurentis T, Di Cataldo A, Inserra A, Santoro N, Tamaro P, Indolfi P (April 2007). "Mature and immature teratomas: results of the first paediatric Italian study". Pediatric Surgery International. 23 (4): 315–22. doi:10.1007/s00383-007-1890-1. PMID 17333214. الوسيط
|CitationClass=تم تجاهله (مساعدة) - Marina NM, Cushing B, Giller R, Cohen L, Lauer SJ, Ablin A, Weetman R, Cullen J, Rogers P, Vinocur C, Stolar C, Rescorla F, Hawkins E, Heifetz S, Rao PV, Krailo M, Castleberry RP (1999). "Complete surgical excision is effective treatment for children with immature teratomas with or without malignant elements: A Pediatric Oncology Group/Children's Cancer Group Intergroup Study". J. Clin. Oncol. 17 (7): 2137–43. PMID 10561269. الوسيط
|CitationClass=تم تجاهله (مساعدة) - Cushing B, Giller R, Ablin A, Cohen L, Cullen J, Hawkins E, Heifetz SA, Krailo M, Lauer SJ, Marina N, Rao PV, Rescorla F, Vinocur CD, Weetman RM, Castleberry RP (1999). "Surgical resection alone is effective treatment for ovarian immature teratoma in children and adolescents: a report of the pediatric oncology group and the children's cancer group". Am. J. Obstet. Gynecol. 181 (2): 353–58. doi:10.1016/S0002-9378(99)70561-2. PMID 10454682. الوسيط
|CitationClass=تم تجاهله (مساعدة) - Orbital dermoid cyst في موقع إي ميديسين
- Al-Qamoos القاموس | English Arabic dictionary / قاموس إنجليزي عربي نسخة محفوظة 21 يناير 2018 على موقع واي باك مشين.
- Al-Qamoos القاموس | English Arabic dictionary / قاموس إنجليزي عربي نسخة محفوظة 21 يناير 2018 على موقع واي باك مشين.
- Al-Qamoos القاموس | English Arabic dictionary / قاموس إنجليزي عربي نسخة محفوظة 21 يناير 2018 على موقع واي باك مشين.
- Al-Qamoos القاموس | English Arabic dictionary / قاموس إنجليزي عربي نسخة محفوظة 21 يناير 2018 على موقع واي باك مشين.
- Elsevier, Dorlands Illustrated Medical Dictionary, Elsevier, مؤرشف من الأصل في 29 سبتمبر 2017 الوسيط
|CitationClass=تم تجاهله (مساعدة); الوسيط|separator=تم تجاهله (مساعدة)CS1 maint: ref=harv (link) - Harding MJ, Paul J, Gillis CR, Kaye SB (April 1993). "Management of malignant teratoma: does referral to a specialist unit matter?". Lancet. 341 (8851): 999–1002. doi:10.1016/0140-6736(93)91082-W. PMID 8096954. الوسيط
|CitationClass=تم تجاهله (مساعدة) - Catone G, Marino G, Mancuso R, Zanghì A (April 2004). "Clinicopathological features of an equine ovarian teratoma". Reprod. Domest. Anim. 39 (2): 65–69. doi:10.1111/j.1439-0531.2003.00476.x. PMID 15065985. الوسيط
|CitationClass=تم تجاهله (مساعدة) - Artemis Moshtaghian (January 11, 2016). "Deformed Mountain Lion a mystery". CNN. Cable News Network. مؤرشف من الأصل في 23 ديسمبر 2017. الوسيط
|CitationClass=تم تجاهله (مساعدة) - Lefebvre R, Theoret C, Doré M, Girard C, Laverty S, Vaillancourt D (November 2005). "Ovarian teratoma and endometritis in a mare". Can. Vet. J. 46 (11): 1029–33. PMC 1259148. PMID 16363331. الوسيط
|CitationClass=تم تجاهله (مساعدة) - López RM, Múrcia DB (Aug 2008). "First description of malignant retrobulbar and intracranial teratoma in a lesser kestrel (Falco naumanni)". Avian Pathol. 37 (4): 413–14. doi:10.1080/03079450802216660. PMID 18622858. الوسيط
|CitationClass=تم تجاهله (مساعدة)
روابط خارجية
- humpath pathology images #2657 (Teratomas), #4541 (Mature teratoma), #5350 (Immature teratoma)
- cystic teratoma في موقع إي ميديسين (also search EMedicine for all articles containing the word teratoma)
- بوابة علم الأحياء
- بوابة طب
