أمراض المرارة
أمراض المرارة (بالإنجليزية: Gallbladder disease) هي الأمراض التي تصيب المرارة وتشمل المغص المراري والتهاب المرارة الذي يصيب كبار السن في الغالب والذي يحتاج إلى علاج فوري بالسوائل وتهدئة الالتهاب بالإضافة إلى المعالجة الجراحية في بعض الأحيان. وكذلك حصى المرارة الذي يعتبر من أمراض المرارة الشائعة، حيث تتكون الحصى في المرارة وكذلك في أماكن أخرى من القنوات الصفراوية. وإذا تم تشخيص حصى المرارة فإن التدخل الجراحي بإزالة المرارة، هو الإجراء الطبي المشار إليه في هذه الحالة. ومن الأمراض النادرة التي تصيب المرارة سرطان المرارة أو سرطان الحويصلة الصفراوية الذي يكثر حدوثه في أمريكا الوسطى وأمريكا الجنوبية كما أنه منتشر في وسط وشرق أوروبا واليابان وشمال الهند.
| أمراض المرارة | |
|---|---|
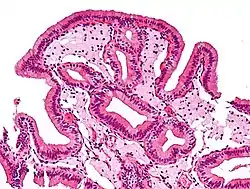
![]() صورة مجهرية لكولسترولية المرارة، وهو مرض شائع جدًا في المرارة. عيّنة استئصال المرارة. صبغة الهيماتوكسيلين واليوزين. صورة مجهرية لكولسترولية المرارة، وهو مرض شائع جدًا في المرارة. عيّنة استئصال المرارة. صبغة الهيماتوكسيلين واليوزين. | |
| معلومات عامة | |
| الاختصاص | طب الجهاز الهضمي |
| من أنواع | أمراض الجهاز الهضمي |
| الموقع التشريحي | مرارة [1] |
تم إحصاء حوالي 104 مليون حالة جديدة من أمراض المرارة والقنوات الصفراوية في عام 2013.[2]
أمراض المرارة
- التهاب المرارة وهو التهاب الحويصلة الصفراوية يؤدي إلى ألم البطن الأيمن العلوي وأعراض أخرى كالحرارة والقيئ.
- كولسترولية المرارة وهي تغيرٌ في جدار المرارة نتيجةً للكولسترول الزائد.
- سليلة المرارة وهي آفات سليلية الشكل أو أورام تنمو في جدار المرارة.
- حصيات المرارة وهي حصيات تتشكل داخل المرارة كالتحجير من مكونات الصفراء.
- سرطان الحويصلة الصفراوية وهو من السرطانات نادرة الحدوث، يتشكل في المرارة.
- تكلس المرارة وهو تكلس المرارة الذي يُعتقد أنه ناتج عن الحصى المرارية المفرطة.
- المغص المراري وهو ألم يتعلق بالمرارة، يحدث حينما تسد حصوة صفراوية القناة المرارية بشكل مؤقت وقصير وتنقبض فيه المرارة.
- كدارة المرارة وهو مرض منخفض الانتشار يكون على شكل بلورات متجمّعة، يحدث غالبا عند الحوامل.
عوامل الخطورة
الحمل
خلال فترة الحمل عند الإناث وعندما تزداد الهرمونات الجنسية بشكل طبيعي، تظهر الحمأة الصفراوية (جسيمات المواد المستمدة من الصفراء التي تتكون من الكوليسترول، بيليروبينات الكالسيوم، الميوسين) تظهر في 5٪ إلى 30٪ من النساء. تختفي الكدارة في كثير من الأحيان خلال فترة ما بعد الولادة، وقد تتطوّر لتُكَوِّن حصى في المرارة بنسبة ضئيلة (~5%). عوامل خطر إضافية عن تشكيل الحصى خلال فترة الحمل وتشمل السمنة (قبل الحمل)، وانخفاض البروتين الدهني عالي الكثافة في الدم ومتلازمة التمثيل الغذائي.[3]
موانع الحمل الهرمونية
تعتبر النساء أكثر عرضة من الرجال (بنسبة الضعف تقريبا) لتشكيل حصى المرارة وخاصة خلال سنوات الخصوبة؛ وتقل هذه النسبة بعد انقطاع الطمث. الآلية الأساسية الهرمونات الجنسية الأنثوية؛ تعتبر وسائل منع الحمل عن طريق الفم واستخدام العلاج ببدائل الاستروجين عوامل لتشكيل الحصى. الهرمونات الجنسية الأنثوية تؤثر سلبا في وظيفة الكبد ووظيفة المرارة.
عوامل أخرى
أشارت دراسة سابقة في عام 1994 إلى أن مؤشر كتلة الجسم لا يزال أقوى مؤشر على حصوات المرارة بين الشابات. عوامل الخطر الأخرى هي وجود أكثر من أربع حالات حمل وزيادة الوزن وتدخين السجائر. تبين أن للكحول علاقة عكسية بين الاستخدام وأمراض المرارة.[4]
في حين أشارت دارسة ذاتية نُشرت في عام 1998 أنه لم يكن هناك أي ارتباط بين مرض المرارة وعوامل متعددة بما في ذلك التدخين والكحول والقهوة وارتفاع ضغط الدم.[5] ووجد باحثون أن تناول الكحول يقلل من خطر تكوين حصوات المرارة.
المراجع
- معرف أنطولوجية المرض: http://www.disease-ontology.org/?id=DOID:0060262 — تاريخ الاطلاع: 15 مايو 2019 — الرخصة: CC0
- Global Burden of Disease Study 2013, Collaborators (22 August 2015). "Global, regional, and national incidence, prevalence, and years lived with disability for 301 acute and chronic diseases and injuries in 188 countries, 1990-2013: a systematic analysis for the Global Burden of Disease Study 2013". Lancet. 386 (9995): 743–800. doi:10.1016/S0140-6736(15)60692-4. PMID 26063472. الوسيط
|CitationClass=تم تجاهله (مساعدة) - Stinton LM, Shaffer EA (2012). "Epidemiology of gallbladder disease: cholelithiasis and cancer". Gut Liver. 6: 172–87. doi:10.5009/gnl.2012.6.2.172. PMC 3343155. PMID 22570746. الوسيط
|CitationClass=تم تجاهله (مساعدة) - Grodstein, F; Colditz, G. A.; Hunter, D. J.; Manson, J. E.; Willett, W. C.; Stampfer, M. J. (1994). "A prospective study of symptomatic gallstones in women: Relation with oral contraceptives and other risk factors". Obstetrics and Gynecology. 84 (2): 207–14. PMID 8041531. الوسيط
|CitationClass=تم تجاهله (مساعدة) - Sahi T, Paffenbarger RS, Hsieh CC, Lee IM (1 April 1998). "Body mass index, cigarette smoking, and other characteristics as predictors of self-reported, physician-diagnosed gallbladder disease in male college alumni". Am J Epidemiol. 147 (7): 644–51. doi:10.1093/oxfordjournals.aje.a009505. PMID 9554603. مؤرشف من الأصل في 11 أبريل 2020. الوسيط
|CitationClass=تم تجاهله (مساعدة)
وصلات خارجية
- حصى المرارة - نظرة عامة على الموضوع
- استئصال المرارة: الاستئصال الجراحي للمرارة
- أسئلة جراحية عن المرارة
- بوابة طب
