كولسترولية المرارة
كولسترولية المرارة[1] (بالإنجليزية: Cholesterolosis gallbladder) هي تغيرٌ في جدار المرارة نتيجةً للكولسترول الزائد.[2]
| كولسترولية المرارة | |
|---|---|
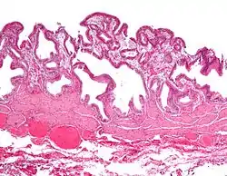
![]() صورة مجهرية لكولسترولية المرارة باستعمال صبغة الهيماتوكسيلين واليوزين. صورة مجهرية لكولسترولية المرارة باستعمال صبغة الهيماتوكسيلين واليوزين. | |
| معلومات عامة | |
| الاختصاص | طب الجهاز الهضمي |
| من أنواع | أمراض المرارة |
ينتج هذا المرض عن الترسب غير الطبيعي لاسترات الكولسترول في البلعميات ضمن الصفيحة المخصوصة )خلايا رغوية) وفي النسيج الطلائي المخاطي. قد تتأثر المرارة بشكلٍ بُقعي محلي أو شكلٍ منتشر من هذا المرض، حيثُ يظهر الشكل المنتشر مجهريًا كغشاءٍ مخاطي أحمر فاتح مع تبقع أصفر بسبب الليبيدات، وهذا ما يمنحها تسمية مرارة فراولية، فقد جاءت تسميةُ المرارة الفراولية من شكل السطح المخاطي في الفحص العياني المُشابه جدًا للفراولة.
لا ترتبط هذه الحالة مع التحصي الصفراوي أو التهاب المرارة.[3]
التسمية
تُعرف هذه الحالة بعدة أسماء أُخرى، منها:
معرض صور
انظر أيضًا
المراجع
- "Al-Qamoos القاموس - English Arabic dictionary / قاموس إنجليزي عربي". www.alqamoos.org. مؤرشف من الأصل في 28 فبراير 2019. اطلع عليه بتاريخ 28 فبراير 2019. الوسيط
|CitationClass=تم تجاهله (مساعدة) - Strawberry gallbladder - cancerweb.ncl.ac.uk.
- "Cholesterolosis of the Gall Bladder". مؤرشف من الأصل في 26 أكتوبر 2012. الوسيط
|CitationClass=تم تجاهله (مساعدة) - "Al-Qamoos القاموس - English Arabic dictionary / قاموس إنجليزي عربي". www.alqamoos.org. مؤرشف من الأصل في 24 فبراير 2019. اطلع عليه بتاريخ 28 فبراير 2019. الوسيط
|CitationClass=تم تجاهله (مساعدة)
- بوابة طب
في كومنز صور وملفات عن: كولسترولية المرارة
This article is issued from Wikipedia. The text is licensed under Creative Commons - Attribution - Sharealike. Additional terms may apply for the media files.




