انصمام دهني
انْصِمامٌ دُهْنِيّ أوالانسداد الدهني (بالإنجليزية: Fat embolism)، هو نوع من الانسدادات الذي تكون فيه السداد متكوناً من مواد دهنية. وغالباً ما تكون ناجمة عن الرضوض الجسدية مثل كسر العظام الطويلة، وأذية الأنسجة اللينة، و الحروق.
| انصمام دهني | |
|---|---|
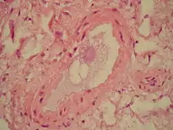
![]() شريحة مجهرية للرئة مصبوغة بالهيماتوكسيلين واليوزين ووعاء دموي مع مواد فيبرينوجينة ومساحة فارغة دلالة على ذوبان الدهون أثناء عملية الصبغ. شريحة مجهرية للرئة مصبوغة بالهيماتوكسيلين واليوزين ووعاء دموي مع مواد فيبرينوجينة ومساحة فارغة دلالة على ذوبان الدهون أثناء عملية الصبغ. | |
| معلومات عامة | |
| الاختصاص | طب الطوارئ |
| من أنواع | انسداد وعائي |
الاعراض

يبلغ طول الفترة الكامنة عديمة الأعراض حوالي 12-48 ساعة قبل ظهور العلامات والأعراض السريرية. وتظهر بشكل حاد مثل مرض القلب الرئوي الحاد وفشل تنفسي. وهذا قد يؤدي إلى الوفاة في غضون ساعات قليلة من الإصابة.
تتجلى متلازمة الانصمام الدهني سريرياً بـ تسرع القلب، تسرع التنفس، ارتفاع درجة الحرارة، نقص الأكسجين،فرط ثنائي أكسيد الكربون في الدم، قلة الصفيحات، وأحياناً اضطرابات عصبية خفيفة.
الطفح الجلدي والذي يسمى أيضاً فرفرية، تظهر على الجزء الأمامي العلوي من الجسم، بما في ذلك الصدر والعنق والجزء العلوي من الذراع، والإبطين، والكتف، والغشاء المخاطي للفم والملتحمة و تعتبر علامة واصمة من متلازمة الانصمام الدهني، ومع ذلك، تظهر متأخراً وغالبا ما تختفي في غضون ساعات. وهو ينتج عن انسداد الشعيرات الدموية الجلدية بسبب الدهون، مما يزيد من هشاشة الشعيرات الدموية.
أعراض الجهاز العصبي المركزي، بما في ذلك التغير في مستوى الوعي، ليست غير شائعة. وعادة ما تكون غير محددة ولها ملامح اعتلال الدماغ المنتشر مثل الهذيان، ذهول، غيبوبة، تصلب الأعصاب، أو التشنجات. الوذمة الدماغية تساهم في التدهور العصبي.
على عكس الصمات التي تنشأ من جلطات الدم، صمات الدهون هي صغيرة ومتعددة، وبالتالي يكون لها آثار واسعة النطاق.
متلازمة الانصمام الدهني تختلف عن وجود صمات دهنية. الأعراض عادة ما تحدث بعد 1-3 أيام من الإصابة الصادمة وتكون في الغالب الاعراض الرئوية (ضيق في التنفس، نقص الأكسجة)، العصبية (الإثارة، الهذيان، أو الغيبوبة)، الجلدية (الطفح الجلدي)، والدم (فقر الدم، الصفائح الدموية منخفضة).
وتظهر المتلازمة بشكل متكرر في الكسور المغلقة من الحوض أو العظام الطويلة. الطفح الجلدي، الذي عادة ما يظهر بعد 5-7 أيام، ويقال أنه علامة واصمة للمتلازمة، ولكنه يحدث فقط في 20-50٪ من الحالات.
الأسباب
يحدث صمان الدهون في ما يقرب من 90٪ من جميع الناس الذين يعانون من إصابات شديدة في العظام، على الرغم من ذلك 10٪ فقط لها أعراض. ويعتقد أن خطر متلازمة الانسداد الدهني يقل بتثبيت الكسور المبكر بالأخص التصحيح الجراحي المبكر للكسور. وهناك أيضا بعض الأدلة على أن اسنخدام علاج الستيرويد الوقائيمن قبل المرضى ذوي الخطورة العالية يقلل من الإصابة. يبلغ معدل وفيات متلازمة الانسداد الدهني ما يقارب من 10-20٪. [1]
الانصمام الدهني إما بسبب رضحي (ناتجة عن كسور العظام الطويلة أو الحوادث أو رضوح الأنسجة الرخوة) أو غير رضحية (ناتجة عن الحروق أو الكبد الدهنية).[2]
النشوء المرضي
ينشأ المرض بسبب كلاً من الانسداد الميكانيكي والإصابة الكيميائية الحيوية، ويزيد من تفاقم الحالة الصفائح الدموية وتراكم كرات الدم الحمراء. تحرر الأحماض الدهنية من الكريات الدهنية تسبب أيضاً بإصابة سامة للبطانة الغشائية. ويتفاقم الضرر في الأوعية الدموية بسبب تفعيل الصفائح الدموية وتجنيد المحببات.
وقد اقترحت عدة آليات لشرح النشوء المرضي في الانصمام الدهني، وقد تعمل الآليات مُجتمعة في آن واحد أو متفرقة.[3]
- ميكانيكياً، تحتشد الدهون السائلة بعد الصدمة إلى العظام والأنسجة الرخوة.[4]
- عدم استقرار المستحلب يفسر التسبب في الانصمام الدهني في الحالات الغير رضحية. السدة الدهنية التي شكلتها تجمع الدهون في البلازما (كيلومكرون والأحماض الدهنية) بسبب الاضطرابات في استحلاب الدهون. وتشمل الأعراض الكبد الدهني.
- التخثر الوعائي قد يتنتج عن تخثر منتشر داخل الأوعية.
- الإصابة السامة التي لحقت الأوعية الدموية بسبب مستويات البلازما عالية من الأحماض الدهنية الحرة، تزيد من نفاذية الأوعية الدموية، وبالتالي تؤدي إلى حدوث وذمة رئوية.
المضاعفات
- الصمة الدهنية الرئوية، تؤدي إلى انسداد واسع وبالتالي الموت المفاجئ.
- انصمام دهني مجموعي، وهذه الانصمامات قد تدخل في الشعيرات الدموية الخاصة بالأعضاء مثل الدماغ والكلى والجلد وغيرها، مما تسبب في نزيف دقيق واحْتِشاءٌ مِكْرَوِيّ.[5]
- الأحماض الدهنية الحرة الجَائِلة تُعتبر سامة مباشرة للخلايا السنخية والبطانة الغشائية للشعيرات الدموية في الرئة، مما تسبب في نزيف بين الخلايا، ومن ثم وذمة و التهاب رئوي كيميائي.
التشخيص
قد يكون تشخيص متلازمة الانصمام الدهني صعباً لأنه، باستثناء الفرفرية، لا توجد علامات واصمة مرضية للانصمام. والفحوصات المختبرية غالباً ما تكون غير محددة:
- يزيد مستوى الليباز في مصل الدم عند رضوح العظام - وغالباً ما يكون غير دقيق ومُضلل.
- فحص خلوي للبول والدم عن طريق الصبغات تحت المجهر للكشف عن اي دهون حرة أو داخل الخلايا البلعمية، وهذا الاختبار غير دقيق الا انه لا يستبعد الانصمام الدهني.
- فحص مستوى الدهون في الدم ليس مفيد للتشخيص لأن مستويات الدهون الجائلة لا ترتبط بشدة المتلازمة.
- انخفاض الهيماتوكريت يحدث في غضون 24-48 ساعة ويُعزى إلى النزيف داخل الخلايا السنخية.
- تغير في تخثر الدم (تجلط الدم) و نقص الصفيحات.
- قد يظهر الانصمام الدهني في الأشعة السينية للصدر موزعاً بالتساوي، كالظلال الرئوية (مثل عاصفة الثلج)، وزيادة العلامات الرئوية وتوسع الجانب الأيمن من القلب.
- نقص الأكسجة يظهر في جميع المرضى تقريباً، وفي كثير من الأحيان ينخفض الضغط الجزئي للاكسجين إلى أقل بكثير من 60 ملم زئبقي.
العلاج
التدبير الوقائي الأكثر فعالية هو الحد من كسور العظام الطويلة بأكبر قدر ممكن بعد الإصابة بالانصمام.
الحفاظ على الحجم داخل الأوعية الدموية مهم لأن الصدمة يمكن أن تؤدي إلى تفاقم إصابة الرئة الناجمة عن متلاومة الانصمام الدهني. وقد أوصي الألبومين لإستعادة الحجم بالإضافة إلى المحاليل المتوازنة الشوارد، لأنه لا يعيد فقط حجم الدم ولكن أيضا يربط الأحماض الدهنية، ويمكن أن تقلل من مدى إصابة الرئة.[6]
انظر أيضاً
روابط خارجية
- Fat_embolism_syndrome على برنامج طب العظام التابع لنظام الصحة بجامعة ديوك.
المراجع
- SURGERY TODAY Volume 37, Number 1, 5–8, doi:10.1007/s00595-006-3307-5 نسخة محفوظة 27 أبريل 2020 على موقع واي باك مشين. [وصلة مكسورة]
- Harsh Mohan, textbook of pathology, pages 124–125
- "34A8E98B-62Ed-4216-98D6-E986304F4C2E". مؤرشف من الأصل في 16 يونيو 2017. الوسيط
|CitationClass=تم تجاهله (مساعدة) - pages 505- 506. Robins. Kumar, abbas, Fausto, Mitchell. Basic Pathology 8th edition. Saunders Elsevier publishing.
- page 125, textbook of pathology. 6th edition. jaypee publishing.
- "Fat Embolism: Diagnosis and Treatment". مؤرشف من الأصل في 9 نوفمبر 2016. اطلع عليه بتاريخ أغسطس 2020. الوسيط
|CitationClass=تم تجاهله (مساعدة); تحقق من التاريخ في:|تاريخ الوصول=(مساعدة)
- بوابة طب
صور وملفات صوتية من كومنز
