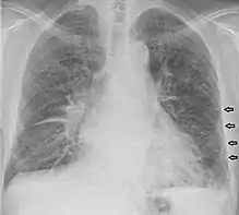
خطوط كيرلي
خطوط كيرلي (بالإنجليزية: Kerley lines) هي علامة شعاعية ترى عند تصوير الصدر بالأشعة السينية ذا الوذمة الرئوية الخلالية. إنها عتامة رئوية خطية رقيقة ناتجة عن تسلل سائل أو خلوي إلى الخلال الرئوي. سميت على اسم أخصائي الأعصاب الإيرلندي بيتر كيرلي.[1][1]
حالات مرتبطة
توحي خطوط كيرلي إلى حالات قصور القلب، ولكنها تُرى أيضًا في حالات غير قلبية مختلفة مثل التليف الرئوي أو الترسب الخلالي للجزيئات الثقيلة أو سرطان الرئة. قد تنتج خطوط كيرلي ب المزمنة عن ترسب بروتين الهيموسيديرين نتيجة التليف أو الوذمة الرئوية المتكررة.
الأنواع
خطوط كيرلي أ
هي خطوط طويلة (على الأقل 2 سم وتصل إلى 6 سم) غير متفرعة، تكون بشكل قطري، تتدرج قطريًا من جذر الرئة إلى أطراف الرئتين. وهي ناتجة عن انتفاخ القنوات المفاغرة (انتفاخ أجزاء من الشريان الفخدي أو العضدي) بين العقد اللمفاوية المحيطة والمركزية في الرئتين. تعتبر خطوط كيرلي أ أقل شيوعًا من خطوط كيرلي ب. لا تظهر خطوط كيرلي أ أبدًا دون خطوط كيرلي ب أو ج.
خطوط كيرلي ب

هي خطوط متوازية قصيرة في محيط الرئة. تمثل هذه الخطوط الحاجز الحُبيبي (بين فصوص الرئة)، الذي عادة ما يكون طوله أقل من 1 سم وموازيًا لبعضهما البعض في الزوايا اليمنى لغشاء الجنب. تقع في محيطها على اتصال مع غشاء الجنب، لكنها غائبة على السطوح الانشطارية. يمكن رؤيتها في أي منطقة ولكن يتم ملاحظتها بشكل متكرر في قواعد الرئة عند "الردب الضلعي الحجابي" في صورة شعاعية بانورامية، وفي المنطقة الفرعية على الصور الشعاعية الجانبية.[2] تشمل أسباب خطوط كيرلي ب الوذمة الرئوية، وسرطان الغدد الليمفاوية، وسرطان الغدد الليمفاوية الخبيثة، والالتهاب الرئوي الفيروسي، والميكلوبلاسي، والتليف الرئوي الخلالي، والتهاب الرئة وساركويد. يمكن أن تكون علامة زائدة على صورة الصدر بالأشعة السينية للمريض داخل وخارج القلب.
خطوط كيرلي ج
هي الأقل شيوعا من خطوط كيرلي. فهي خطوط قصيرة وتوجد في جميع أنحاء الرئتين، مع مظهر شبكي. قد تمثل سماكة اللمفاويات المفاغرة (سماكة الاوعية الليميفية) أو تتراكب هندسيًا وشكليًا مع العديد من خطوط كيرلي ب.
انظر أيضًا
المراجع
- "Faculty of Radiologists. About the Faculty. Faculty History". مؤرشف من الأصل في 16 يونيو 2008. الوسيط
|CitationClass=تم تجاهله (مساعدة) - "Kerley B Lines". Chest Radiology. University of Virginia. 2013. مؤرشف من الأصل في 24 فبراير 2017. الوسيط
|CitationClass=تم تجاهله (مساعدة)
- بوابة طب
صور وملفات صوتية من كومنز
