خلية كأسية
الخَلية الكَأسية[1][2] (بالإنجليزية: Goblet cell) أَو (بالإنجليزية: Chalice cell) هيَ خَلية طِلائية عمادية مُعدلة ذات نَشاط غُدي، تَعمل على إفراز الهُلام المُكون للمُوسين، حيثُ يُعتبر المُوسين من أَهم مُكونات المُخاط. وَتُعتبر الخَلية الكَأسية خلية فارِزَة، حيثُ تَستعمل طَريقة الفارِزة[3] في إفراز الحُويصلات الإفرزاية نَحوَ القَناة، ولكن قَد تستعمل طُرق مُفتَرزة[4] تحتَ الضَغط.[5]
| خلية كَأسية | |
|---|---|
| الاسم اللاتيني exocrimohsinocytus caliciformis | |
![]() تَوضيح تَخطيطي للخلية الكَأسية يُظهر تراكيبها الدَاخلية | |
![]() مَقطع عَرضي لِزغابة معوية مَأخوذة من أَمعاء الإنسان، مُكبرة 350 مَرة، وَيُرمز للخلية الكَأسية بِحرف (e). مَقطع عَرضي لِزغابة معوية مَأخوذة من أَمعاء الإنسان، مُكبرة 350 مَرة، وَيُرمز للخلية الكَأسية بِحرف (e). | |
| تفاصيل | |
| نظام أحيائي | الجِهاز التَنفُسي |
| معرفات | |
| ترمينولوجيا هستولوجيكا | H3.04.03.0.00009، وH3.04.03.0.00016، وH3.05.00.0.00006 |
| FMA | 13148 |
| ن.ف.م.ط. | D020397 |

تُعتبر الخَلية الكَأسية خَلية مُستقطبة بِشكل كَبير، كَما أنها تَحتوي في قاعدتها على نُواة وَمَجموعة مِن العُضيات، أما باقي السيتوبلازم فَيحتوي على حُويصلات إفرازية تَحتوي على المُوسين (Mucin)، كَما يُساعد وُجود الحُويصلات المُحملة بالمُخاط في قِمة الخَلية على تَوسيع قِمة الخَلية مما يُساهم في اكتساب الخَلية لِشَكلها الكأسي، وَيُساعد وُجود الزُغيبات على الغِشاء الخَلوي لِقمة الخَلية على زِيادة مَساحة السَطح الإفرازي للخلية.
التَعريف
يُمكن تَعريف الخلايا الكأسية بِشكل مُبسط على أَنها مَجموعة من الخلايا تُشبه الكَأس، تَمتلك خصائص غُدية أحادية، تتواجد في الأمعاء الدقيقة وفي الجهاز التَنفسي بِشكل خاص، وتعد هذه الخَلايا هي المسؤولة عن إفراز المادة المُخاطية حيث تفرز وتخزن وتحفظ المخاط، كما أنها تخزن وتحافظ على مادة معينة تُكسب الجسم نعومته.[6]
التَسمية
سُميت الخَلايا الكَأسية بهذا الاسم نظراً لِشبهها للكَأس (Chalice) فهيُ مُتسعة من الأعلى (القِمة) نتيجة لِوجود حُويصلات مُحملة بالمُخاط، كَما أنها أَقل اتساعاً بشكل مَلحوظ من الأسفل (القاعِدة) نتيجة لافتقاره لهذه الحُويصلات مما يَجعله شَبيه بجِذع النَبات.
التَركيب
تتَواجد الخلايا الكَأسية بِشكل مُتناثر بينَ النَسيج الطلائي المُبطن للأعضاء، مِثل: السَبيل المَعوي وَالسَبيل التَنفُسي،[7] كَما تتواجد داخِل القَصبة الهوائية وَالشُعب الهوائية وَالقصيبات الرئيسية في السَبيل التَنفسي، وداخِل الأمعاء الدَقيقة وَالأَمعاء الغَليظة وَالملتحمة في الجِفن العُلوي، حيثُ تُعتبر الخلايا الكأسية الموجودة في المُلتحمة المَصدر الرئيس للموسين المَوجود في الدُموع وَتساعد في إفراز أنواع مُختلفة من المُوسين على سَطح العَين، أما في الغُدد الدَمعية فيتم تَكوين المُخاط بِواسطة العُنيبات.[8]
علم الأَنسجة
تُعتبر الخَلايا الكَأسية خلايا طلائِية عمادية بَسيطة، كما أنَّ طُولها يُساوي 4 أضعاف عَرضها، ويتركز سيتوبلازم الخلية في الجُزء السُفلي للخلية نتيجة لوجود حُويصلات المُوسين الكَبيرة في الجُزء العُلوي، إضافةً إلى وُجود جهاز غوجلي بينَ نُواة الخَلية وَالحُويصلات، وَتؤدي هذه التَوزيعة إلى مَنح الجُزء السُفلي مِن الخَلية اللون المُستَقعِد (Basophilic) نتيجةً لِصَبغ الحمض النووي الموجود داخِل النُواة وداخِل الشبكة الإندوبلازمية بِصبغة الهيماتُوكسيلين، أما الموسين المَوجود داخِل الحُويصلات فتكتسب اللون الشاحب عندَ صَبغها بالأصباغ النسيجية الروتينية وذلكَ نتيجةً لإزالة البروتينات الغَنية بالكربوهيدرات مِنها أثناء إعدادها للفحص المِجهري.
بالرَغم من هذا فَإنَّ الخلايا الكَأسية تُصبغ بسهولة بواسطة ملون شيف -حمض البيروديك، حيثُ تظهر باللون الأرجواني، وإذا تمت صَباغتها بِصبغة موسيكارمين فَإنَّ الخَلايا الكَأسية تُظهر مُوسين ذو لون أَحمر عَميق (كما يَظهر في قسم الصُور الإضافية).
الوَظيفة
يُعتبر إفراز المُخاط بِهدف حِماية الأغشية المُخاطية الوَظيفة الرَئيسية للخلايا الكأسية، حيثُ تعمل الخلايا الكأسية على إفراز المُوسين، حيثُ يَتم تكوين البروتينات السُكرية عن طَريق السُكريات، وَيَحصل المُوسين على خصائصه الشَبيهة بالهُلام عن طَريق الغليكان الخاص بِه، حيثُ تُساعده هذه الخَصائص على جَذب كَمية كَبيرة من المَاء.[9] تتواجد الخَلايا الكَأسية على السَطح الداخِلي لِأمعاء الإنسان، حيثُ تُشكل طبقة سميكة (200 ميكرومتر) تُساعد في تَشحيم وَحماية جِدار العَضو،[10] كما يَتم إنتاج أنواع من المُوسين في عدة أعضاء مِثل: موسين 2 سائِد في الأمعاء، وَموسين 5إيه سي وَموسين 5بي في السَبيل التَنفُسي،[11] وَيتم تخزين المُوسين في حويصلات داخل الخلايا الكَأسية قبلَ إفرازها في التَجويف المَطلوب.[9]
قد يتم تَحفيز إفراز المُوسين بِواسطها مُثيرات (مُهيجات) مُعينة مِثل الغُبار والدُخان وخاصة في السَبيل التنفسي،[11] كما قَد يتم تحفيز إفرازه بواسطة المَيكروبات مِثل الفَيروسات وَالبَكتيريا.
الأهمية الطِبية
تُعتبر سَرطانة الخَلايا الكأَسية من أَنواع السَرطان النادِرة الذي يَنتُج عن تَكاثر وانتشار غير طَبيعي للخلايا الكأَسية والخلايا العَصبية الصَماء، وغالباً ما يَحدث هذا السَرطان في الزائدة الدودية وتكون أعراضه مُشابهة لِأعراض التهاب الزائدة الدودية،[12] وَيتم علاج هذا النَوع من السَرطان عن طَريق استئصال الزائدة الدودية وفي بَعض الأحيان يتم استئصال القولون أيضاً،[13] وفي حالة انتشارَ السَرطان يتم استخدام العلاج الكيميائي بالإضافة إلى الجِراحة.[12]
قَد تَكون الخَلايا الكَأسية مُؤشراً على الحؤول، كما هوَ الحال في مرض مريء باريت.[14]
التاريخ
لُوحظت الخَلايا الكَأسية للمرة الأَولى عام 1837 مِن قِبل الطَبيب الألماني فريدرش هنلي أثناء دراسته بِطانة الأَمعاء الدَقيقة، وفي عام 1857 لاحظَ عالِم الحيوان الألماني فرانس لايديغ إفراز هذه الخَلايا للمُخاط أثناء دراسته بَشرة إحدى الأسماك، أما تَسميتها بالخلايا الكَأسية (Goblet cells) فقد مُنحت لها عام 1867 مِن قِبل عالم التَشريح الألماني فرانس شولز،[15][16] حيثُ أطلق عليها هذه التَسمية نظراً لِشكلها الشَبيه بالكأس، فِبذلك يَكون قد مَنحها اسمها بناءاً على شَكلها لا على وَظيفتها، وَلكن شولز كانَ في حالة عدمَ تَأكد من قَضية إفرازها للمُخاط.[16]
وللعلم فَإنهُ يُوجد خلايا أُخرى تُفرز المُخاط مِثل الخلايا النُقرية[17] في المَعدة، حيثُ تمتلك تَركيب نسيجي مُميز عن الخَلايا الكَأسية.[18]
صُور إضافية
صُورة للخملة المعوية حيثُ تظهر بِها الخَلية الكَأسية.
خلايا كَأسية في اللفائفي.
مَقطع في أَمعاء فَأر يُظهر الخلايا الكَأسية باللون الأَزرق.
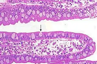
غدة معوية من أَمعاء الإِنسان تُظهر خلايا كأسية.
مراجع
- المُعجم الطبي، الإصدار الثاني، ترجمة Goblet cell.
- موقع المعاني، ترجمة Goblet cell. نسخة محفوظة 21 سبتمبر 2016 على موقع واي باك مشين.
- المُعجم الطبي، الإصدار الثاني، ترجمة Merocrine method.
- المُعجم الطبي، الإصدار الثاني، ترجمة Apocrine methods.
- Lohmann-Matthes, M-L.; Steinmüller, C.; Franke-Ullmann, G. (1994). "Pulmonary macrophages". European Respiratory Journal. 7 (9): 1678–1689. doi:10.1183/09031936.94.07091678. PMID 7995399. مؤرشف من الأصل في 16 فبراير 2019. الوسيط
|CitationClass=تم تجاهله (مساعدة) - .(2015) Human Histology part 1 (Book), 1st year, Alexandria University
- "goblet cell" في معجم دورلاند الطبي
- Guzman-Aranguez, A; Argüeso, P (2010). "Structure and biological roles of mucin-type O-glycans at the ocular surface". The Ocular Surface. 8 (1): 8–17. doi:10.1016/S1542-0124(12)70213-6. PMC 2847370. PMID 20105403. مؤرشف من الأصل في 18 ديسمبر 2019. الوسيط
|CitationClass=تم تجاهله (مساعدة) - Johansson ME, Sjövall H, Hansson GC (2013). "The gastrointestinal mucus system in health and disease". Nature Reviews. Gastroenterology & Hepatology. 10 (6): 352–361. doi:10.1038/nrgastro.2013.35. PMC 3758667. PMID 23478383. مؤرشف من الأصل في 18 ديسمبر 2019. الوسيط
|CitationClass=تم تجاهله (مساعدة) - Johansson ME, Hansson GC (2013). "Mucus and the Goblet Cell". Digestive Diseases. 31: 305–309. doi:10.1159/000354683. PMC 4282926. PMID 24246979. مؤرشف من الأصل في 07 أكتوبر 2019. الوسيط
|CitationClass=تم تجاهله (مساعدة) - Rubin BK (2013). "Secretion properties, clearance, and therapy in airway disease". Translational respiratory medicine. 2 (6). doi:10.1186/2213-0802-2-6. PMC 4215824. PMID 25505698. مؤرشف من الأصل في 17 نوفمبر 2015. الوسيط
|CitationClass=تم تجاهله (مساعدة) - Holt, N; Grønbæk, H (2013). "Goblet cell carcinoids of the appendix". The Scientific World Journal. 2013: 543696. doi:10.1155/2013/543696. PMC 3556879. PMID 23365545. مؤرشف من الأصل في 02 يونيو 2018. الوسيط
|CitationClass=تم تجاهله (مساعدة) - McCusker, ME; Coté, TR; Clegg, LX; Sobin, LH (2002). "Primary malignant neoplasms of the appendix: a population-based study from the surveillance, epidemiology and end-results program, 1973-1998". Cancer. 94 (12): 3307–12. doi:10.1002/cncr.10589. PMID 12115365. مؤرشف من الأصل في 07 نوفمبر 2017. الوسيط
|CitationClass=تم تجاهله (مساعدة) - Fouad, YM; Mostafa, I; Yehia, R; El-Khayat, H (2014). "Biomarkers of Barrett's esophagus". World Journal of Gastrointestinal Pathophysiology. 5 (4): 450–456. doi:10.4291/wjgp.v5.i4.450. PMC 4231509. PMID 25400988. مؤرشف من الأصل في 02 يونيو 2018. الوسيط
|CitationClass=تم تجاهله (مساعدة) - Felts, William J. L.; Harrison, Richard J. (2015-08-26). International Review of General and Experimental Zoology (باللغة الإنجليزية). Elsevier. صفحة 244. ISBN 9781483224824. مؤرشف من الأصل في 18 ديسمبر 2019. الوسيط
|CitationClass=تم تجاهله (مساعدة) - "Chapter IV:The Goblet Cell in General". Acta Ophthalmologica (باللغة الإنجليزية). 46 (S95): 25–35. 1968-02-01. doi:10.1111/j.1755-3768.1968.tb05926.x. ISSN 1755-3768. مؤرشف من الأصل في 14 نوفمبر 2016. الوسيط
|CitationClass=تم تجاهله (مساعدة) - المُعجم الطِبي، الإصدار الثاني، ترجمة Foveolar cell.
- صور نسيجية:11303loa منVaughan, Deborah (2002). A Learning System in Histology: CD-ROM and Guide. دار نشر جامعة أكسفورد. ISBN 978-0195151732. الوسيط
|CitationClass=تم تجاهله (مساعدة) - Digestive System: Alimentary Canal: fundic stomach, gastric glands, lumen"

