سرطانة ختمية الخلايا
سرطانة ختمية الخلايا[1] أو سرطانة حلقية الخلايا[1] (بالإنجليزية: Signet ring cell carcinoma) تُعرف اختصارًا SRCC، هي نوعٌ نادر من السرطانات شديدة الخباثة، منتجٌ للموسين وهو خباثة في الطبقة الظهارية ويتميز نسيجيًا بمظهر الخلايا الختمية.[2]
| سرطانة ختمية الخلايا | |
|---|---|
| Signet ring cell carcinoma | |
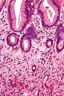
![]() سرطانة الخلايا الختمية للمعدة. تظهر الخلايا الختمية في القسم السفلي للصورة. الظهارة المعدية تظهر في القسم الأعلى للصورة. صبغة الهيماتوكسيلين واليوزين. سرطانة الخلايا الختمية للمعدة. تظهر الخلايا الختمية في القسم السفلي للصورة. الظهارة المعدية تظهر في القسم الأعلى للصورة. صبغة الهيماتوكسيلين واليوزين. | |
| معلومات عامة | |
| الاختصاص | علم الأورام |
| من أنواع | سرطانة غدية |
مراجع
- "Al-Qamoos القاموس - English Arabic dictionary / قاموس إنجليزي عربي". www.alqamoos.org. مؤرشف من الأصل في 08 ديسمبر 2019. اطلع عليه بتاريخ 7 أغسطس 2019. الوسيط
|CitationClass=تم تجاهله (مساعدة) - el-Zimaity HM, Itani K, Graham DY (أكتوبر 1997). "Early diagnosis of signet ring cell carcinoma of the stomach: role of the Genta stain". J. Clin. Pathol. 50 (10): 867–8. doi:10.1136/jcp.50.10.867. PMC 500272. PMID 9462273. مؤرشف من الأصل في 08 ديسمبر 2019. الوسيط
|CitationClass=تم تجاهله (مساعدة)
سرطانة ختمية الخلايا في المشاريع الشقيقة
صور وملفات صوتية من كومنز
- بوابة طب
This article is issued from Wikipedia. The text is licensed under Creative Commons - Attribution - Sharealike. Additional terms may apply for the media files.
