مفترزة
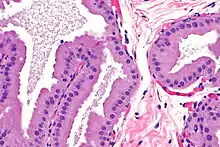
المفترزة[1] [2]هي مصطلح يستخدم لتصنيف إحدى طرق الإفراز في الغدد الخارجية الإفراز في علم دراسة الأنسجة. بشكل عام، تصنف الغدد الخارجية الإفراز على أنها فارزة أو مفترزة أو منفزة، اعتمادًا على طريقة إفرازها. جميع هذه الأنواع تكون قادرة على تفريغ إفرازاتها عبر أقنية مخصصة (نظام قنوي). الغدد التي تصنف على أنها مفترزة تقوم بإخراج إفرازاتها من خلال غشاء البلازما منتجةً حويصلات مرتبطة بغشاء خارج الخلية. ينقطع الجزء القمي من الخلية الإفرازية للغدة ويدخل التجويف. تفقد الغدة جزءًا من السيتوبلازم في إفرازاتها. تم العثور على الغدد المفترزة في المقام الأول في الثدي من الثدييات المرضعة (أي أن الغدد الثديية هي أحد الأمثلة الشائعة للغدد المفترزة).
| الإفراز الخارجي |
| فارزة أو ناتح - بواسطة الإخراج الخلوي |
| مفترزة – بواسطة تبرعم الغشاء (ضياع السيتوبلازم) |
| منفرزة – بواسطة تمزق الغشاء |


يحدث الإفراز عندما يترافق إطلاق المواد الإفرازية مع فقدان جزء من سيتوبلازم الخلية نفسها. يعتبر إفراز الغدد المفترزة أقل ضرراً للغدة من إفراز الغدة المنفرزة (الذي يدمر الخلية بأكملها) ولكنه أكثر ضرراً من إفراز الغدد الفارزة (الإخراج الخلوي). مثال على الغدد المفترزة الحقيقية هي الغدد الثديية المسؤولة عن إفراز حليب الثدي.

سرطانة الغدد المفترزة
تعد سرطانة الغدد المفترزة نوعًا نادرًا جدًا من سرطان الثدي عند النساء. يتراوح معدل الإصابة من 0.5 إلى 4٪ تقريباً. من الناحية الخلوية تكون خلايا سرطان الغدد المفترزة كبيرة نسبيًا، وحبيبية، ولها سيتوبلازم يوزيني بارز.[3] عندما يتم اختبار سرطان الغدد المفترزة على أنه "ثلاثي السلبية" ، فهذا يعني أن خلايا المريض لا يمكنها التعبير عن مستقبلات هرمون الاستروجين أو مستقبلات البروجسترون أو مستقبلات HER2/neu.[4]
المراجع
- Team, Almaany. "ترجمة و معنى apocrine بالعربي في قاموس المعاني. قاموس عربي انجليزي مصطلحات صفحة 1". www.almaany.com (باللغة الإنجليزية). مؤرشف من الأصل في 7 نوفمبر 2020. اطلع عليه بتاريخ 07 نوفمبر 2020. الوسيط
|CitationClass=تم تجاهله (مساعدة) - "Apocrine | Definition of Apocrine by Oxford Dictionary on Lexico.com also meaning of Apocrine". Lexico Dictionaries | English (باللغة الإنجليزية). مؤرشف من الأصل في 26 يوليو 2020. اطلع عليه بتاريخ 07 نوفمبر 2020. الوسيط
|CitationClass=تم تجاهله (مساعدة) - "Final Diagnosis -- Case 209". web.archive.org. 2000-03-12. اطلع عليه بتاريخ 10 نوفمبر 2020. الوسيط
|CitationClass=تم تجاهله (مساعدة) - Potter, Michelle. "A[pcrome Breast Cancer - Johns Hopkins Kimmel Cancer Center". www.hopkinsmedicine.org (باللغة الإنجليزية). مؤرشف من الأصل في 28 يوليو 2020. اطلع عليه بتاريخ 10 نوفمبر 2020. الوسيط
|CitationClass=تم تجاهله (مساعدة)
روابط خارجية
- بوابة تشريح
- بوابة طب
- بوابة علم الأحياء
- بوابة علم الأحياء الخلوي والجزيئي