ورام عضلي غدي
الورام العضلي الغدي (بالإنجليزية: Adenomyomatosis) هو حالة حميدة تتميز بفرط التنسج الذي يشمل جدار المرارة لأسباب غير معروفة.[1] ويحدث الورام العضلي الغدي نتيجة فرط نمو الغشاء المخاطي، وسماكة جدار العضلات، وتكوين رتوج أو جيوب داخل الطبقة العضلية يطلق عليها جيوب روكيتانسكي - آشوف، وتسمى أيضا الخبايا الظهارية المحبوسة.
| ورام عضلي غدي | |
|---|---|
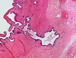
![]() صورة مجهرية تظهر جيوب روكيتانسكي - آشوف مصبوغة بصبغة الهيماتوكسيلين واليوزين. صورة مجهرية تظهر جيوب روكيتانسكي - آشوف مصبوغة بصبغة الهيماتوكسيلين واليوزين. | |
| معلومات عامة | |
| من أنواع | أمراض المرارة |
الفسيولوجيا المرضية

أ: قاع المرارة سميك وجدار المرارة معتم.
ب: تم الكشف عن البؤر مولدة للصدى بواسطة محول التردد العالي.
ج: الطور الشرياني - تعزيز غير متجانس بشكل مفرط والجدار سليم.
د: المرحلة الوريدية - المساحات عديمة الصدى أكثر وضوحاً.
جيوب ركتانسكي - آشوف هي رتوج كاذبة أو جيوب في جدار المرارة، وقد تكون مجهرية أو عينية. ونسيجيا، هي إفرازات الغشاء المخاطي للمرارة في طبقة عضلات المرارة والنسيج تحت المصلي نتيجة تضخم وفتق الخلايا الظهارية من خلال الطبقة الليفية العضلية لجدار المرارة.[4]
ولا تعتبر جيوب روكيتانسكي - آشوف نفسها غير طبيعية ولكنها يمكن أن ترتبط بالتهاب المرارة.[5]
وتتشكل نتيجة لزيادة الضغط في المرارة والأضرار المتكررة لجدار المرارة.[6]
أمراض ذات الصلة
يمكن أن تتشكل حصوات المرارة السوداء في جيوب روكيتانسكي - آشوف في المرارة بعد أربعة إلى خمسة عقود من العمر في غياب عوامل الخطر المعتادة لفرط تشبع الصفراء بالبيليروبين.[4] وبالتالي، فهي مرتبطة مع الحصوات الصفراوية، كما تم الإبلاغ عن حالات الإصابة بسرطان المثانة ناشئة من جيوب روكيتانسكي - آشوف.[7]
التشخيص
تظهر جيوب روكيتانسكي - آشوف بالتصوير البطني بالموجات فوق الصوتية على أنها عُقد عالية الصدى مع انعكاس "ذيل المذنب"، والذي يمثل بلورات الكوليسترول،[8] وهي خاصية محددة جدا للورام العضلي الغدي.[8] ويلعب التصوير بالرنين المغناطيسي أيضًا دورًا مهمًا في تشخيص جيوب روكيتانسكي - آشوف.[9]
التسمية
سميت جيوب روكيتانسكي - آشوف بذلك الاسم نسبة إلى بعد كارل فريهير فون روكيتانسكي (1804-1878)، أخصائي علم الأمراض في فيينا بالنمسا، ولودفيغ أشوف (1866-1942)، وهو أخصائي علم الأمراض في بون بألمانيا.[10][11]
انظر أيضًا
المراجع
- Ram and Midha (August 1975). "Adenomyomatosis of the gallbladder". Surgery. 78 (2): 224–229. PMID 1154265. الوسيط
|CitationClass=تم تجاهله (مساعدة) - "UOTW #79 - Ultrasound of the Week". Ultrasound of the Week. 16 April 2017. مؤرشف من الأصل في 10 أبريل 2019. اطلع عليه بتاريخ 27 مايو 2017. الوسيط
|CitationClass=تم تجاهله (مساعدة) - Tang, ShaoShan; Huang, LiPing; Wang, Yao; Wang, YiJiao (2015). "Contrast-enhanced ultrasonography diagnosis of fundal localized type of gallbladder adenomyomatosis". BMC Gastroenterology. 15 (1). doi:10.1186/s12876-015-0326-y. ISSN 1471-230X. الوسيط
|CitationClass=تم تجاهله (مساعدة) - Cariati, A; Cetta, F (2002). "Rokitansky-Aschoff sinuses of the gallbladder are associated with black pigment gallstone formation: a scanning electron microscopy study". Ultrastructural pathology. 27 (4): 265–70. doi:10.1080/01913120309913. PMID 12907372. الوسيط
|CitationClass=تم تجاهله (مساعدة) - van Breda Vriesman, AC; Engelbrecht, MR; Smithuis, RH; Puylaert, JB (February 2007). "Diffuse gallbladder wall thickening: differential diagnosis". AJR. American Journal of Roentgenology. 188 (2): 495–501. doi:10.2214/AJR.05.1712. PMID 17242260. الوسيط
|CitationClass=تم تجاهله (مساعدة) - Stunell, H; Buckley, O; Geoghegan, T; O’Brien, J; Ward, E; Torreggiani, W (2008). "Imaging of adenomyomatosis of the gall bladder". Journal of Medical Imaging and Radiation Oncology. 52 (2): 109–117. doi:10.1111/j.1440-1673.2008.01926.x. ISSN 1754-9477. الوسيط
|CitationClass=تم تجاهله (مساعدة) - Matsumoto, T; Shimada, K (November 2009). "A case of gallbladder cancer arising from the Rokitansky-Aschoff sinus". Japanese journal of clinical oncology. 39 (11): 776. doi:10.1093/jjco/hyp149. PMID 19884193. الوسيط
|CitationClass=تم تجاهله (مساعدة) - Ayush Goel and Yoshiharu Ryu; et al. "Adenomyomatosis of the gallbladder". Radiopaedia. مؤرشف من الأصل في 11 أبريل 2019. اطلع عليه بتاريخ 01 فبراير 2018. الوسيط
|CitationClass=تم تجاهله (مساعدة); Explicit use of et al. in:|مؤلف=(مساعدة) - Yoshimitsu, K; Honda, H; Jimi, M; Kuroiwa, T; Hanada, K; Irie, H; Tajima, T; Takashima, M; Chijiiwa, K; Shimada, M; Masuda, K (June 1999). "MR diagnosis of adenomyomatosis of the gallbladder and differentiation from gallbladder carcinoma: importance of showing Rokitansky-Aschoff sinuses". AJR. American Journal of Roentgenology. 172 (6): 1535–40. doi:10.2214/ajr.172.6.10350285. PMID 10350285. الوسيط
|CitationClass=تم تجاهله (مساعدة) - synd/983 على قاموس من سمى هذا؟
- Kanne, JP; Rohrmann CA, Jr; Lichtenstein, JE (2005). "Eponyms in radiology of the digestive tract: historical perspectives and imaging appearances. Part 2. Liver, biliary system, pancreas, peritoneum, and systemic disease". Radiographics. 26 (2): 465–80. doi:10.1148/rg.262055130. PMID 16549610. الوسيط
|CitationClass=تم تجاهله (مساعدة)
روابط خارجية
- 00859 على النص التشعبي التعاوني للأشعة (CHORUS)
- Histology at جامعة يوتا
- بوابة طب
صور وملفات صوتية من كومنز
