ورم الخلية المستديرة الزرقاء الصغيرة
ورم الخلية المستديرة الزرقاء الصغيرة (بالإنجليزية: Small-blue-round-cell tumor) ويُدعى اختصاراً SBRCT وقد يُسمى أيضاً ورم الخلية الصغيرة المستديرة (بالإنجليزية: Small-round-cell tumour) ويُدعى اختصاراً SRCT، هو مُصطلح في علم أمراض الأنسجة يُقصد فيه أي فرد من أعضاء مجموعة الأورام الخبيثة التي تمتلك مَظهر مُميز تحت المجهر، أي أنها تتكون من خلايا صغيرة مدورة تُصبغ باللون الأزرق عند استعمال صبغة الهيماتوكسيلين واليوزين الروتينية.[1]

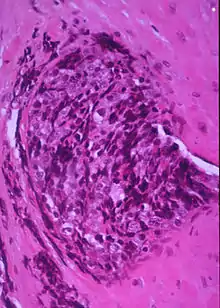
خلايا صغيرة مدورة زرقاء في ساركومة يوينغ

خلايا صغيرة مستديرة زرقاء تُميز ورم الخلية الصغيرة المستديرة الصلد.

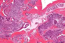
تكاثف بطانة الرحم السدوية يُحاكي ورم الخلية المستديرة الزرقاء الصغيرة.
تظهر هذه الأورام عادةً في الأطفال أكثر من البالغين، وغالباً ما تظهر في الخلايا غير المُتمايزة. تظهر الخلايا بالصبغة الزَرقاء غالباً بسبب امتلاكها نواة كبيرة وتمتلك كمية ضئيلة من السيتوبلازم.[2][3]
الأمثلة
تتضمن هذه المجموعة عدد من الأورام، ومن ضمنها:
- ورم الخلية الصغيرة المستديرة الصلد.[1]
- ساركومة يوينغ/ورم الأديم العصبي الظاهر البدائي.[4]
- ورم الخلايا البدائية العصبية.[4]
- ورم أرومي نخاعي.
- ساركومة عضلية مخططة.[4]
- ساركومة زليلية.
- ورم سرطاوي.
- ورم المتوسطة.
- سرطان الخلايا الصغيرة.
- ورم أرومي كلوي.[2]
- ورم أرومة الشبكية.[1]
- ابيضاض الدم الليمفاوي المزمن.[4]
- ورم أرومي كبدي:[4] فقط الأشكال الكَشَمية تمتلك خلايا زرقاء مستديرة، ولكن الأنواع الجنينية لا تمتلك ذلك.[5]
- سرطانة خلية مركل.
- ساركومة غضروفية متوسطية.
- ورم الأرومة الصنوبرية.[1]
حالات تُحاكي ورم الخلية المستديرة الزرقاء الصغيرة
تكاثف بطانة الرحم السدوية قد يُحاكي ورم الخلية المستديرة الزرقاء الصغيرة.
المراجع
- "Small round blue cell tumours". مؤرشف من الأصل في 2 مارس 2017. اطلع عليه بتاريخ 1 مارس 2017. الوسيط
|CitationClass=تم تجاهله (مساعدة) - Gregorio A, Corrias MV, Castriconi R, et al. (July 2008). "Small round blue cell tumours: diagnostic and prognostic usefulness of the expression of B7-H3 surface molecule". هيستوباثولوجي (دورية علمية). 53 (1): 73–80. doi:10.1111/j.1365-2559.2008.03070.x. PMC 2658025. PMID 18613926. مؤرشف من الأصل في 16 ديسمبر 2019. الوسيط
|CitationClass=تم تجاهله (مساعدة) - Javed Khan, Jun Wei, Lao Saal, Ladanyi Marc, Ringnér Markus, Carsten Peterson, Yidong Chen & Paul Meltzer. "Development of a molecular taxonomy of small blue round-cell tumors using cDNA microarrays - Nature Genetics". مؤرشف من الأصل في 23 مارس 2014. الوسيط
|CitationClass=تم تجاهله (مساعدة)صيانة CS1: أسماء متعددة: قائمة المؤلفون (link) - Chen QR, Vansant G, Oades K, et al. (February 2007). "Diagnosis of the small round blue cell tumors using multiplex polymerase chain reaction". J Mol Diagn. 9 (1): 80–8. doi:10.2353/jmoldx.2007.060111. PMC 1867426. PMID 17251339. مؤرشف من الأصل في 13 فبراير 2020. اطلع عليه بتاريخ أغسطس 2020. الوسيط
|CitationClass=تم تجاهله (مساعدة); تحقق من التاريخ في:|تاريخ الوصول=(مساعدة) - Gray W, Kocjan G. Diagnostic Cytopathology; . p.307
- بوابة طب
This article is issued from Wikipedia. The text is licensed under Creative Commons - Attribution - Sharealike. Additional terms may apply for the media files.