ألم الخصية
يحدث ألم الخصية، المعروف أيضًا باسم ألم الصفن، عندما يصاب جزء من احدى أو كلا الخصيتين بالألم. غالبًا ما يرافقه ألم في كيس الصفن أيضاً. قد يكون ألم الخصية مفاجئًا أو مزمناً.[3][4]
| ألم الخصية | |
|---|---|
| تسميات أخرى | ألم الصفن |
| معلومات عامة | |
| الاختصاص | طب الجهاز البولي |
| من أنواع | الألم ، ومرض صفني ، والألم |
| الإدارة | |
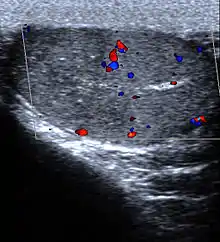
| التشخيص | موجة فوق صوتية، تحليل البول، فحوص الدم[1][2] |
| حالات مشابهة | حاد: التهاب البربخ، انفتال الخصية، سرطان الخصية، دوالي الخصية، غنغرينة فورنير[1] مزمن: دوالي الخصية، قيلة منوية، فرفرية هينوخ-شونلاين، متلازمة ألم ما بعد قطع القناة المنوية، التهاب البروستات المزمن/متلازمة آلام الحوض المزمنة[2] |
تتراوح الأسباب من مشاكل الهيكل العظمي العضلي غير الخطيرة إلى الحالات الطارئة مثل غرغرينا فورنييه والتواء الخصية. يتضمن النهج التشخيصي التأكد من عدم وجود حالات خطيرة. قد يتم دعم التشخيص بالموجات فوق الصوتية واختبارات البول واختبارات الدم. [1] [2]
تعريف
يحدث ألم الخصية عندما يصاب جزء من احدى أو كلا الخصيتين بالألم-في معظم الأحيان- بالترافق مع ألم في كيس الصفن . قد يكون حادًا أو تحت الحاد[5] أو مزمنًا اعتمادًا على مدته.
- ألم الخصية المزمن:
يمكن أن يحدث ألم الخصية المزمن (والذي تكون مدته تزيد عن الثلاث أشهر) لعدة أسباب.[6]يحدث في 15-19٪ من الرجال بعد قطع القناة المنوية، بسبب عدة التهابات مثل التهاب البربخ والتهاب البروستات والتهاب الخصية، وكذلك دوالي الخصية، والقيلة المائية، والقيلة المنوية، والتهاب الشرايين العقدي المتعدد، وانفتال الخصية، والجراحة السابقة، والصدمة. في 25٪ من الحالات لم يتم تحديد السبب بشكل قاطع. يمكن أن يستمر الألم لفترة طويلة وغير محددة بعد قطع القناة المنوية، وفي هذه الحالة يطلق عليه متلازمة ألم ما بعد قطع القناة المنوية(PVPS).
الأسباب
ألم الخصية له العدد من الأسباب المحتملة. بما أن الخصية حساسة للغاية، فحتى الإصابة الطفيفة يمكن أن تسبب آلام في الخصية. قد ينشأ الألم من داخل الخصية نفسها أو من الأنبوب الملتف والأنسجة الداعمة خلف الخصية (البربخ).[7]
في بعض الأحيان، يمكن أن يكون ما يبدو عليه أنه ألم في الخصية ناتجًا عن مشكلة تبدأ في المغبن أو البطن أو في مكان آخر - على سبيل المثال، حصوات الكلى وبعض الفتق يمكن أن يسبب ألم في الخصيتين. لا يمكن دائمًا تحديد سبب الألم، وفي هذه الحالة يكون الألم مجهول السبب.[7]
يمكن أن تشمل أسباب آلام الخصية ما يلي:[7][8][9]
- اعتلال الأعصاب السكري (تلف الأعصاب الناجم عن مرض السكري).
- التهاب البربخ.
- القيلة المائية (تراكم السوائل الذي يسبب تورم كيس الصفن)
- ألم الخصية مجهول السبب (سبب غير معروف).
- الفتق المغبني.
- حصاة كلوية.
- النكاف.
- التهاب الخصية.
- التهاب البروستات.
- تكتلات كيس الصفن.
- القيلة المنوية (تراكم السوائل في الخصية).
- إصابة الخصية أو انتفاخ الخصيتين.
- التواء الخصية.
- عدوى المسالك البولية (UTI).
- دوالي الخصية (تضخم الأوردة في كيس الصفن).
- متلازمة ألم ما بعد استئصال الأسهر.
- سرطان الخصية (سبب نادر).
- غنغرينة فورنير (سبب نادر).
التشخيص
تشمل تقنيات التشخيص ما يلي:[10]
- الفحص الجسمي.
- الفحوصات المخبرية.
من أجل استبعاد حالات الالتهاب، مثل التهاب البربخ، سيطلب الطبيب زرع البول، بالإضافة إلى مسحة من مجرى البول (الإحليل) لفحص الأمراض التي تنتقل عن طريق الاتصال الجنسي.
- التصوير
الموجات فوق الصوتية والتي يمكنها الكشف عن تشوهات مثل سرطان الخصية. في حالة انفتال الخصية، يكشف الفحص بالموجات فوق الصوتية الدوبلر الملون انخفاض أو غياب تدفق الدم إلى الخصية.
اختبارات التصوير الأخرى، مثل التصوير المقطعي المحوسب (CT) أو التصوير بالرنين المغناطيسي (MRI)، سيتم استخدامها للتدريج إذا تم تشخيص سرطان الخصية.
التشخيص التفريقي
ليس كل ألم في منطقة الخصية يأتي في الواقع من الخصية. في بعض الأحيان، يمكن أن يكون ما يبدو عليه أنه ألم في الخصية ناتجًا عن مشكلة تبدأ في المغبن أو البطن أو في مكان آخر - على سبيل المثال، حصوات الكلى أو العصب المنضغط يمكن أن يسببان ألم في الخصية. إذا اشتبه في وجود حصى في الكلى، فقد يُطلب إجراء اختبار بول للبحث عن الدم و/أو الأشعة المقطعية لتقييم نظام المسالك البولية. يمكن استخدام التصوير بالرنين المغناطيسي غالبًا في العمود الفقري، والفحص العصبي الشامل لتشخيص العصب المنضغط.

العلاج
يعتمد العلاج على السبب الأساسي للألم. قد يتطلب العلاج استخدام الأدوية (مع وصفة طبية)، أو في الحالات الأكثر خطورة، قد يستلزم إجراء عملية جراحية. تشمل طرق العلاج وإدارة الألم ما يلي:[11][10][12][13]
الأدوية
مسكنات الألم: الأسيتامينوفين أو الأدوية المضادة للالتهابات غير الستيرويدية (مضادات الالتهاب غير الستيرويدية) مثل الأسبرين والإيبوبروفين والنابروكسين والأدوية المماثلة قد تساعد في تخفيف الألم في الحالات بسبب الإصابة أو الصدمة.
المضادات الحيوية أو الأدوية المضادة للعدوى: يجب علاج التهاب الخصية أو البربخ الناتج عن عدوى بكتيرية بالمضادات الحيوية لمدة 10 أيام على الأقل. عادة ما يفضل الدوكسيسيكلين والكينولون ويمكن إعطاؤهما لمدة أربعة أسابيع.
الجراحة
في حالات معينة، مثل انفتال الخصية أو سرطان الخصية، قد تكون هناك حاجة لعملية جراحية. انفتال الخصية هو حالة ملحة يجب معالجتها على الفور لتجنب فقدان إمدادات الدم إلى الخصية. يمكن أن يحدث الضرر بعد ست ساعات إذا انقطع تدفق الدم. تشمل بعض أنواع جراحة آلام الخصية ما يلي:
- إزالة التواء الخصية
- استئصال البربخ
- استئصال الخصية
المراجع
- Boniface, Michael (16 Dec 2018). "Acute Scrotum Pain". StatPearls. PMID 29262236. مؤرشف من الأصل في 13 أبريل 2020. الوسيط
|CitationClass=تم تجاهله (مساعدة) - Leslie, Stephen (2 May 2019). "Chronic Testicular Pain (Orchialgia)". StatPearls. PMID 29494088. مؤرشف من الأصل في 13 أبريل 2020. الوسيط
|CitationClass=تم تجاهله (مساعدة) - W, Gossman; Mp, Boniface; M, Mohseni. "Acute Scrotum Pain". PubMed (باللغة الإنجليزية). PMID 29262236. مؤرشف من الأصل في 18 مارس 2020. اطلع عليه بتاريخ 18 مارس 2020. الوسيط
|CitationClass=تم تجاهله (مساعدة) - Stephen W.; Sajjad, Hussain; Siref, Larry E. (2020). StatPearls. Treasure Island (FL): StatPearls Publishing. PMID 29494088. مؤرشف من الأصل في 18 مارس 2020. الوسيط
|CitationClass=تم تجاهله (مساعدة) - Team, Almaany. "ترجمة و معنى subacute بالعربي في قاموس المعاني. قاموس عربي انجليزي مصطلحات صفحة 1". www.almaany.com (باللغة الإنجليزية). مؤرشف من الأصل في 18 مارس 2020. اطلع عليه بتاريخ 18 مارس 2020. الوسيط
|CitationClass=تم تجاهله (مساعدة) - Wampler, Stephen M.; Llanes, Mikel (2010-09). "Common Scrotal and Testicular Problems". Primary Care: Clinics in Office Practice. 37 (3): 613–626. doi:10.1016/j.pop.2010.04.009. ISSN 0095-4543. مؤرشف من الأصل في 13 أبريل 2020. الوسيط
|CitationClass=تم تجاهله (مساعدة); تحقق من التاريخ في:|تاريخ=(مساعدة) - "Testicle pain Causes". Mayo Clinic (باللغة الإنجليزية). مؤرشف من الأصل في 12 يوليو 2019. اطلع عليه بتاريخ 09 يونيو 2020. الوسيط
|CitationClass=تم تجاهله (مساعدة) - "Testicular Pain Possible Causes". Cleveland Clinic. مؤرشف من الأصل في 9 يونيو 2020. اطلع عليه بتاريخ 09 يونيو 2020. الوسيط
|CitationClass=تم تجاهله (مساعدة) - "How Your Doctor Can Treat Testicle Pain". Verywell Health (باللغة الإنجليزية). مؤرشف من الأصل في 9 يونيو 2020. اطلع عليه بتاريخ 09 يونيو 2020. الوسيط
|CitationClass=تم تجاهله (مساعدة) - "How Your Doctor Can Treat Testicle Pain". Verywell Health (باللغة الإنجليزية). مؤرشف من الأصل في 09 يونيو 2020. اطلع عليه بتاريخ 09 يونيو 2020. الوسيط
|CitationClass=تم تجاهله (مساعدة) - "Testicular Pain Care and Treatment". Cleveland Clinic. مؤرشف من الأصل في 9 يونيو 2020. اطلع عليه بتاريخ 09 يونيو 2020. الوسيط
|CitationClass=تم تجاهله (مساعدة) - "What Causes Testicle Pain and How to Treat It". Healthline (باللغة الإنجليزية). مؤرشف من الأصل في 12 ديسمبر 2013. اطلع عليه بتاريخ 09 يونيو 2020. الوسيط
|CitationClass=تم تجاهله (مساعدة) - "Pain in Testicles Treatment: First Aid Information for Testicular Pain". WebMD (باللغة الإنجليزية). مؤرشف من الأصل في 28 نوفمبر 2019. اطلع عليه بتاريخ 09 يونيو 2020. الوسيط
|CitationClass=تم تجاهله (مساعدة)
- بوابة طب
